跳转到主要内容
广告
  • 首页Neurology.org
  • 期刊
    • 首页
    • 临床实践
    • 教育
    • 遗传学
    • 神经免疫学和神经炎症
  • 在线部分
    • 首页神经学视频杂志俱乐部
    • 多样性,股本,包含(一些)
    • 首页神经学:临床实践加速器
    • 实践的嗡嗡声
    • 当前实践
    • 居民和同伴
    • 无国界
  • 188app官网下载
    • COVID-19
    • 争议和辩论
    • 健康差异
    • 信息图
    • 首页神经学的未来预测系列
    • 零假设
    • 188app苹果
    • 话题无所不包的
    • 188app下载
  • 188bet官网app网址
  • 芝加哥商品交易所
  • 关于
    • 关于期刊
    • 1888博金宝
    • 188app
  • 作者
    • 提交新的手稿
    • 提交修改后的手稿
    • 作者中心

高级搜索

主菜单

  • 首页Neurology.org
  • 期刊
    • 首页
    • 临床实践
    • 教育
    • 遗传学
    • 神经免疫学和神经炎症
  • 在线部分
    • 首页神经学视频杂志俱乐部
    • 多样性,股本,包含(一些)
    • 首页神经学:临床实践加速器
    • 实践的嗡嗡声
    • 当前实践
    • 居民和同伴
    • 无国界
  • 188app官网下载
    • COVID-19
    • 争议和辩论
    • 健康差异
    • 信息图
    • 首页神经学的未来预测系列
    • 零假设
    • 188app苹果
    • 话题无所不包的
    • 188app下载
  • 188bet官网app网址
  • 芝加哥商品交易所
  • 关于
    • 关于期刊
    • 1888博金宝
    • 188app
  • 作者
    • 提交新的手稿
    • 提交修改后的手稿
    • 作者中心
  • 家
  • 最新文章
  • 最新一期
  • 过去的问题
  • 首页神经学视频杂志俱乐部
  • 居民和同伴

用户菜单

  • 订阅
  • 我的提醒
  • 登录

搜索

  • 高级搜索
首页
家
最广泛的阅读和高度引用同行评议的神经病学杂志上首页
  • 订阅
  • 我的提醒
  • 登录
网站的标志
  • 家
  • 最新文章
  • 最新一期
  • 过去的问题
  • 首页神经学视频杂志俱乐部
  • 居民和同伴

分享

2018年8月21日 ;91 (8) 居民和其他部分

临床推理:一个54岁的女人,混乱和视觉障碍

凯尔·c·罗西,瑞秋Brandstadter,玛德琳·c·字段,詹妮弗·梁,苏珊胫骨
第一次出版2018年8月20日, DOI: https://doi.org/10.1212/WNL.0000000000006045
凯尔·c·罗西
从神经学部门(K.C.R.首页,R.B.,米。C.F., S.S.) and Division of Liver Diseases (J.L.), Icahn School of Medicine at Mount Sinai, New York, NY.
  • 在谷歌学术搜索找到这位作者
  • 在PubMed找到这位作者
  • 寻找作者在这个地点上
瑞秋Brandstadter
从神经学部门(K.C.R.首页,R.B.,米。C.F., S.S.) and Division of Liver Diseases (J.L.), Icahn School of Medicine at Mount Sinai, New York, NY.
  • 在谷歌学术搜索找到这位作者
  • 在PubMed找到这位作者
  • 寻找作者在这个地点上
玛德琳·c·字段
从神经学部门(K.C.R.首页,R.B.,米。C.F., S.S.) and Division of Liver Diseases (J.L.), Icahn School of Medicine at Mount Sinai, New York, NY.
  • 在谷歌学术搜索找到这位作者
  • 在PubMed找到这位作者
  • 寻找作者在这个地点上
詹妮弗·梁
从神经学部门(K.C.R.首页,R.B.,米。C.F., S.S.) and Division of Liver Diseases (J.L.), Icahn School of Medicine at Mount Sinai, New York, NY.
  • 在谷歌学术搜索找到这位作者
  • 在PubMed找到这位作者
  • 寻找作者在这个地点上
苏珊胫骨
从神经学部门(K.C.R.首页,R.B.,米。C.F., S.S.) and Division of Liver Diseases (J.L.), Icahn School of Medicine at Mount Sinai, New York, NY.
  • 在谷歌学术搜索找到这位作者
  • 在PubMed找到这位作者
  • 寻找作者在这个地点上
完整的PDF
引用
临床推理:一个54岁的女人,混乱和视觉障碍
凯尔·C。罗西,瑞秋Brandstadter,玛德琳C。字段,珍妮花梁,苏珊胫骨
首页 2018年8月, 91年 (8) 363 - 367; DOI:10.1212 / WNL.0000000000006045

引用管理器格式

  • 助理
  • 书挡
  • 值得
  • 尾注(标记)
  • 尾注8 (xml)
  • 枸杞
  • Mendeley
  • 论文
  • RefWorks标记
  • Ref经理
  • RIS
  • Zotero
权限

做出评论

看到评论

下载
754年

分享

  • 文章
  • 数据与数据
  • 信息与信息披露
加载

第一节

一位54岁的妇女的急诊科几天的视觉干扰。她的病史包括与门体静脉的脑病(PSE)酒精性肝硬化,慢性低钠血症,慢性疼痛的阿片类药物。她最近住院治疗肝性脑病,但现在5天的新视觉障碍提出描述主要是无法看到和专注能力受损。病人的丈夫证实,这一集是不同于她的过去的PSE,指出,她似乎无法参加他在他们交谈,他想知道她看待事物都不存在。通常她的PSE发作表现为嗜睡,困惑,迷失方向,而现在她警惕,面向自己,认出熟悉的人,能够有一个谈话尽管她视觉投诉。

病人也支持holocephalic,沉闷的头痛。她从酒精已经戒酒9个月,否认物质滥用。她符合PSE的乳果糖和rifaximin,并报告3 - 4每天排便。她每周都需要大容量穿刺术程序腹水。眼科咨询获得和显示为她没有明确的病因视觉投诉,但神经咨询建议。

考虑的问题:

  1. 你这种情况下的视觉障碍的鉴别诊断和失代偿肝硬化病人吗?

  2. 你将怎样把你的体检缩小你的差吗?

到第二节

第二节

演讲的视觉干扰,注意力不集中唤起广泛的鉴别诊断,尤其是在肝硬化患者。我们认为是肝性脑病,代谢紊乱,如电解质或酸碱异常,药物毒性(例如,环孢霉素或他克莫司与后部可逆性脑病综合症,或引起镇静抗胆碱能类以及模糊版本和困难的住宿),脑炎,精神病。

检查发现正常的生命体征、腹水和点蚀双边下肢水肿。病人是面向人的地方,而不是月。她表现出水平眼球震颤四面八方包括主要的目光。她眨了眨眼睛可靠双边的威胁,有正常的视动的反应,她的学生都是平等的和反应性的双边。她标志着动眼神经的失用症,因此不能跟踪对象通过她的视野。她不能直观地固定下来,从而难以命名对象在她的视野。她无法描述的图片,无法描述她的视野。协调测试,病人无法睁着眼睛目标考官的手指,并将misreach对象的整个视野。有轻微的双边上肢的扑翼样震颤。

考虑的问题:

  1. 这个病人的历史和考试是兼容经典神经综合症?这个定位在哪里?

  2. 你将以什么实验室和影像学研究焦点你的差吗?

  3. 有哪些潜在的这种综合征的病因的急性时间课程?

去第三节

第三节

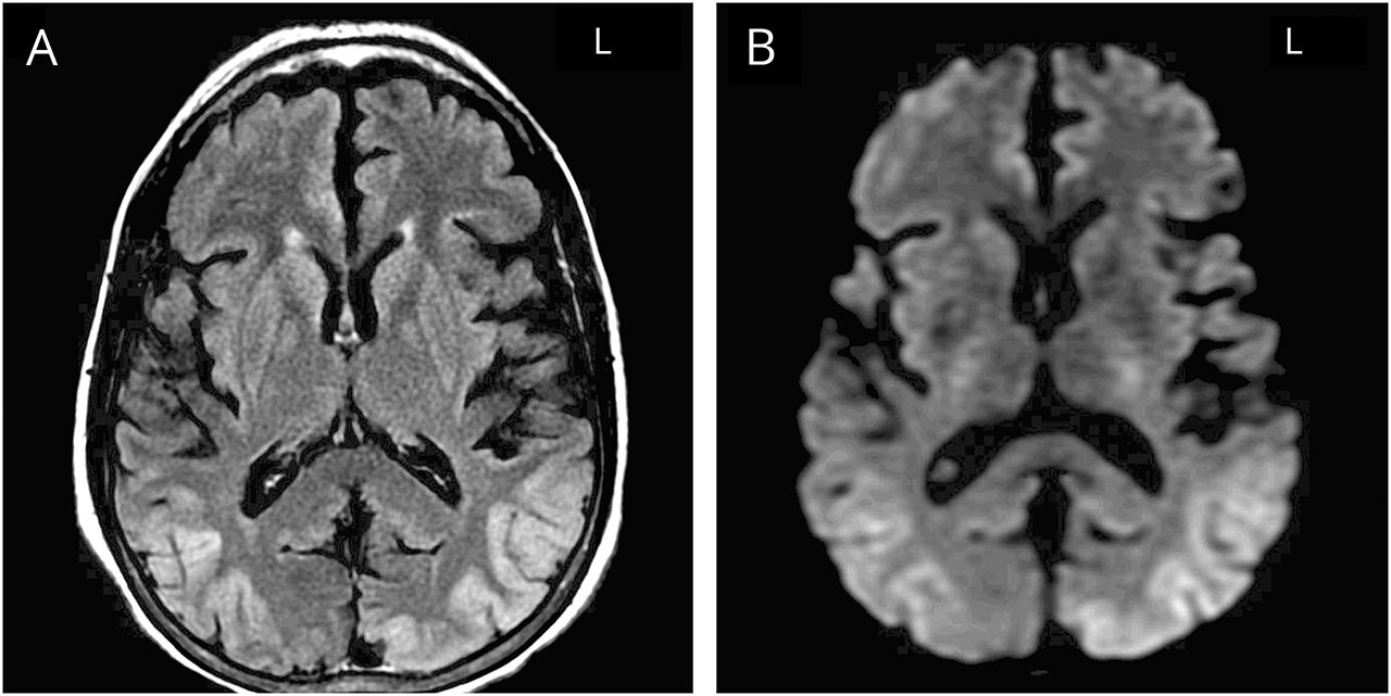
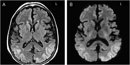
实验室检测显示钠125毫克当量/ L。CT扫描的头部没有对比显示没有异常。磁共振成像的大脑与对比表明两国parieto-occipital皮质T2 hyperintensities有限主要是大脑皮层灰质与扩散限制在相同的分布(图)。没有质量、梗塞或异常增强了。连续视频脑电图显示快速振荡对枕活动,然后将缓慢慢spike-and-wave与一些前传播模式。这往往是紧随其后的是快速左枕活动,spike-and-wave放缓。该模式符合电记录的癫痫持续状态。视频,病人在这个时期积极症状,断断续续的眼睛偏差和发作减少质疑,有时说话和支持视觉幻觉。抽搐发作、focal-motor表现或其他的情景性发作的事件从未目睹整个住院治疗。

图
  • 下载图
  • 打开新标签
  • 下载演示文稿
图 核磁共振成像的大脑

(一)轴向t2加权fluid-attenuated反转恢复序列显示双边parieto-occipital皮质hyperintensities局限主要是大脑皮层灰质。(B) Diffusion-weighted成像序列显示轻微的扩散限制在相同的分布。

病人注射氯羟去甲安定,最初的症状和解决电记录的发作。然而,她继续有耐火材料与levetiracetam电记录的癫痫脑电图,需要治疗,lacosamide和苯妥英。临床和电记录的癫痫最终解决,苯妥英几天成功逐渐减弱。接下来的日子她住院治疗,视觉症状改善。她出院回家基线levetiracetam和lacosamide精神状态。

考虑的问题:

  1. 你的最终配方和诊断是什么?

进入第四节

第四节

考试结果包括动眼神经的失用症、simultanagnosia和视神经共济失调没有全球生产总值(gdp)的变更与PSE的精神状态一般。MRI显示双边parieto-occipital皮质T2 hyperintensities,促使脑电图,揭示焦枕叶癫痫持续状态。综上所述,这些研究结果最符合Balint综合症引起的焦点nonconvulsive癫痫持续状态。

讨论

我们描述一个案件Balint综合征由于双边枕nonconvulsive癫痫持续状态。病人的复发PSE的历史和阿片类药物使用导致初始诊断混乱和由于她投诉的性质,眼科是呼吁神经综合症被发现之前的咨询。Balint综合征继发于nonconvulsive癫痫持续状态(NCSE)很少被报道在过去,和从未与PSE酒精性肝硬变的设置。1脑电图在这种情况下显示频繁交替左,右侧“乒乓球”枕叶癫痫和T2双边parieto-occipital hyperintensities和扩散限制MRI最有可能是由于这种不断发作的活动。

Balint2综合征首次报道1909年双边顶叶综合症引起动眼神经的失用症的三和弦,simultanagnosia,视神经共济失调。其中,simultanagnosia可能是最具体的,可以认为是一种极端形式的视觉领域中的对象之间的竞争。3光学共济失调是一个高阶赤字达到视觉的目标。共同寻找将misreaching对象的字段侧病变(或整个字段如果两个半球的影响),但它也可以包括电动机等任务困难预先成形的手抓住。眼球运动的失用症是指在控制赤字,自愿的,和有目的的眼球运动。2而显然,Balint综合症定位后parieto-occipital皮层,2016年由于出血成像Balint综合症的案例研究使用磁共振扩散张量tractography演示上纵束的双边受伤,这是建议的机制综合症在作者的病人。4

在我们的案例中,病人完成整个星座的症状但鉴于她反复PSE的历史有初步对肝性脑病的关心。虽然Balint综合症的研究涉及parieto-occipital皮层作为关注神经基板的位置,感觉,和visuomotor控制包括到达和把握,5底层综合症的病因多种多样;它可以造成两国中间分水岭梗塞脑artery-posterior脑动脉分布,双边parieto-occipital质量病变,神经退化过程,如阿尔茨海默病的情况并不常见。后部可逆性脑病综合征(总统)被认为是在这种情况下,但病人的血压正常,没有服用任何药物经典与总统有关,和她的影像学异常主要是皮质。癫痫是一种相对少见Balint综合症的病因。1

虽然不是经典的三合会的一部分,混乱或改变精神状态也经常报道Balint综合症,这是最有可能继发于视觉空间定向障碍。综合症与各种行为障碍,这可能混淆的解释病人的焦赤字,并可能掩盖了经典的三和弦。6这些相关的行为干扰可能造成严重的视觉空间工作记忆障碍,影响病人的无法正确执行的动作和行为与日常生活联系在一起。7

这种情况下的另一个不寻常的部分是病人的癫痫的病因。而在肝性脑病发作和NCSE有些罕见,他们会发生,通常没有明显的诱发因素导致病人的NCSE的最终诊断。8,9在这种情况下,病人的发作可能是相关的有毒代谢异常与失代偿肝硬化或者只是由于低钠血症。而她没有深刻的低钠水平,绝对钠水平不是一个好的预测患者是否有症状,甚至轻度低钠血症可导致癫痫发作和昏迷,如果快速发展。10可能在NCSE Balint综合症更常见,以及在肝性脑病NCSE更常见。本例中发现一种罕见的和迷人的神经综合症与一个完全可逆的病因。

作者的贡献

凯尔·c·罗西照顾病人,构思的报告,写的手稿。瑞秋Brandstadter照顾和诊断病人,怀孕的情况报告,并参与了手稿。玛德琳字段解释EEG和批判性回顾了手稿。詹妮弗·梁从肝脏医学视角批判性回顾了手稿。苏珊Shin批判性回顾了手稿。

研究资金

没有针对性的资金报告。

信息披露

作者报告没有披露相关的手稿。去首页Neurology.org/N为充分披露。

脚注

  • 去首页Neurology.org/N为充分披露。资金信息和披露认为作者相关的,如果有的话,年底提供这篇文章。

  • ©2018美国神经病学学会的首页

引用

  1. 1。↵
    1. RistićAJ,
    2. Marjanović我,
    3. Brajkovićl,等
    。Balint-like综合症是一个不同寻常的代表non-convulsive癫痫持续状态。癫痫Disord2012年;14:80年- - - - - -84年。
    OpenUrl PubMed
  2. 2。↵
    1. BalintR
    。“Schauens”Seelenlahmung des, optische Ataxie, raumliche Storung Aufmerksamkeit。Monatschr Psychiat神经1909年;25:51- - - - - -81年。
    OpenUrl CrossRef
  3. 3所示。↵
    1. 杰克逊通用汽车,
    2. 斯文森R,
    3. 莫特D,
    4. 侯赛因米,
    5. 杰克逊老
    。注意,竞争,顶叶:见解Balint综合征。Psychol Res2009年;73年:263年- - - - - -270年。
    OpenUrl CrossRef PubMed
  4. 4所示。↵
    1. 张成泽上海,
    2. 常CH,
    3. 荣格YJ,
    4. 搜索引擎优化摩根大通
    。双边损伤患者的上纵束Balint综合症。首页2016年;87年:1519年- - - - - -1520年。
    OpenUrl 文摘/免费的全文
  5. 5。↵
    1. 里索米,
    2. Vecera年代
    。Psychoanatomical Balint基质的综合症。J神经Neurosurg精神病学2002年;72年:162年- - - - - -178年。
    OpenUrl 文摘/免费的全文
  6. 6。↵
    1. 里索米
    。“Balint综合症”和相关的视觉空间的障碍。Baillieres中国神经1993年;2:415年- - - - - -437年。
    OpenUrl PubMed
  7. 7所示。↵
    1. Funayama米,
    2. 中川昭一Y,
    3. SunagawaK
    。的视觉空间工作记忆在Balint综合症患者严重受损。皮质2015年;69年:255年- - - - - -264年。
    OpenUrl
  8. 8。↵
    1. JhunP,
    2. 金H
    。在肝性脑病Nonconvulsive癫痫持续状态。西地中海J紧急情况2011年;12:372年- - - - - -374年。
    OpenUrl PubMed
  9. 9。↵
    1. 田中H,
    2. 建筑师H,
    3. 智库Y,
    4. HamagamiH,
    5. 信T,
    6. Ichinose米
    。肝性脑病与癫痫状态:一个案例报告。世界杂志2006年;12:1793年- - - - - -1794年。
    OpenUrl PubMed
  10. 10。↵
    1. EspayAJ
    。神经系统并发症的电解质紊乱和酸碱平衡。手册中国神经2014年;119年:365年- - - - - -382年。
    OpenUrl

信:快速的网络通信

  • 作者回复:眼球震颤Balint综合症?
    • 凯尔·C。罗西,临床神经生理学的,贝斯以色列女执事医疗中心
    • 瑞秋Brandstadter,神经学家,伊坎在西奈山医学院
    • 玛德琳C。字段,神经学家,伊坎在西奈山医学院
    • 苏珊胫骨,神经学家,伊坎在西奈山医学院
    2018年10月24日提交
  • 眼球震颤Balint综合症?
    • LeaPollak,神经学家,神经学部门,Barzilai首页医疗中心BGU内盖夫(以色列)
    2018年10月1日提交
评论

需求

你必须确保披露已经过去6个月内更新。请到我们的提交网站添加或更新你的披露信息。

你的合作者必须发送完成出版协议形式来首页员工(不是必要的领导/通讯作者如下表单就足够了)在你上传你的评论。

如果你回复评论,写过一篇文章你最初撰写:
你(和合作者)不需要填写表单或检查信息披露作为作者形式仍然有效
和申请信。

提交规格:

  • 提交必须与< < 200字5引用。参考1必须你评论的文章。
  • 提交不应该超过5作者。(例外:原作者回复可以包括所有原始作者的文章)
  • 6个月内提交只在文章发表日期的问题。
  • 不会是多余的。读任何评论已经张贴在本文之前提交。
  • 提交评论编辑和编辑审查发布之前。

更多的指导方针和信息在争议和辩论

写评论

关于文本格式的更多信息

纯文本

  • 不允许HTML标记。
  • 网页地址和电子邮件地址自动转化为链接。
  • 行和段落自动打破。
作者信息
注:第一作者的作者也必须相应的评论。
第一次或名字,如。“彼得”。
最后,或家庭,名字,如。“MacMoody”。
你的电子邮件地址,例如higgs-boson@gmail.com
你的角色和/或职业。“整形外科医生”。
您的组织或机构(如果适用),例如:“皇家自由医院”。
出版协议
注意:所有作者,除了第一/通讯作者,必须完成一个独立的出版协议形式前向编辑部提供通过电子邮件可以发表评论。
验证码
这个问题测试你是否人类访问者,并防止自动垃圾邮件提交。

垂直制表符

你可能也会感兴趣

回到顶部
  • 文章
    • 第一节
    • 第二节
    • 第三节
    • 第四节
    • 讨论
    • 作者的贡献
    • 研究资金
    • 信息披露
    • 脚注
    • 引用
  • 数据与数据
  • 信息与信息披露
广告

协会神经丝光与帕金森病的发展和严重性

Rodolfo Savica博士和Parichita Choudhury博士

►看

相关文章

  • 没有找到相关文章。

主题讨论

  • 所有医疗/系统性疾病
  • 所有Neuro-ophthalmology
  • 临床神经学检查首页
  • 视觉处理
  • 癫痫持续状态

提醒我

  • 提醒我当eletters出版

推荐的文章

  • 神经 图片
    双边损伤患者的上纵束Balint综合症
    常唱Ho张成泽,Chul胡恩,年轻的金荣格et al。
    首页神经学,2016年10月3日
  • 居民和其他部分
    临床推理:一个61岁的老人与共轭凝视偏差、轻偏瘫和不对称反应
    Chi-Ying林、霁Yeoun Yoo阿米什Doshi et al。
    首页神经学,2017年8月28日
  • 居民和其他部分
    教学视频的实验:肝脊髓病
    一个不寻常的肝性脑病的神经并发症
    维尼Boaratti Ciarlariello作坊当学徒,马科斯费尼Fujino, Marcio迪亚斯de Almeida)等。
    首页神经学,2019年7月15日
  • 文章
    加快出版
    Neurospectroscopic改变和苍白球hyperintensity可逆肝性脑病的相关核磁共振标记
    j . Pujol j . Kulisevsky莫雷诺et al。
    首页神经学,1996年12月1日
首页神经学:100 (20)

文章

  • 提前打印
  • 最新一期
  • 过去的问题
  • 受欢迎的文章
  • 188app下载

关于

  • 关于期刊
  • 道德政策
  • 188app
  • 1888博金宝
  • 做广告

提交

  • 作者中心
  • 提交一份手稿
  • 信息审核人员
  • 河畔的指导方针
  • 权限

用户

  • 订阅
  • 激活订阅
  • 报名参加eAlerts
  • RSS提要
网站的标志
  • 神经学访问模首页板在Facebook上
  • 在Twitte首页r上关注神经病学模板
  • 访问YouT首页ube上的神经学
  • 首页
  • 首页神经学:临床实践
  • 首页神经学:教育
  • 首页神经学:遗传学
  • 首页神经学:神经免疫学和神经炎症
  • AAN.com
  • AANnews
  • 连续体
  • 大脑和生活
  • 首页今天神经学

Wolters Kluwer标志

首页神经病学|打印ISSN:0028年- - - - - -3878年
在线ISSN: 1526 - 632 x

188金宝搏官网登录

  • 隐私政策
  • 反馈
  • 做广告
Baidu
map