2019年6月04
;92 (23)
居民和其他部分
教学实验:Steroid-responsive脑白质病炎症脑淀粉样血管病
视图ORCID概要大卫Dongkyung金,Teneille Gofton,g·布莱恩年轻
第一次出版2019年6月3日,
DOI: https://doi.org/10.1212/WNL.0000000000007612
一个减轻以往健康的60岁的女人插管头痛和个月历史的帷幕,历史的记忆丧失。MRI进行(图1)。数字减影血管造影的头,水痘一带状疱疹病毒PCR,免疫球蛋白G CSF,肝炎B / C, CSF隐球菌抗原,艾滋病毒、莱姆血清学和梅毒屏幕是负的。最初的鉴别诊断包括中枢神经系统血管炎和颅内淋巴瘤。她被诊断出患有炎症基于clinicoradiologic标准脑淀粉样血管病(敏感性为82%,特异性为97%),1梗死认为amyloid-β-related脉管炎亚型。几天之内的类固醇,她完全清醒,重复MRI 5个月后显示改善脑白质病(图2)。蒙特利尔认知评估分数23/30开始后的两周治疗和22/30 5个月后。
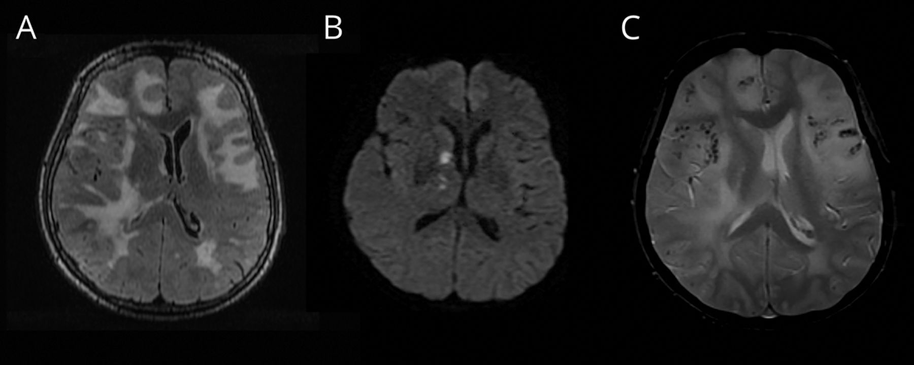
图1
最初的核磁共振
(一)t2加权融合性的脑白质病扩展到皮层下白质质量效应。(B) Diffusion-weighted成像10天后变化对表观扩散系数序列相关(见图)与梗塞是相一致的。(C)梯度回波序列显示microhemorrhages。
作者的贡献
号金:研究概念和设计、制备的手稿。t . Gofton G.B.年轻:研究概念和设计,监督的手稿。
研究资金
没有针对性的资金报告。
信息披露
作者报告没有披露相关的手稿。去首页Neurology.org/N为充分披露。
脚注
去首页Neurology.org/N为充分披露。
- ©2019美国神经病学学会的首页
信:快速的网络通信
你可能也会感兴趣
广告
相关文章
-
没有找到相关文章。
主题讨论
提醒我
推荐的文章
- 居民和其他部分
珍珠和Oy-sters: CAA-related炎症表现为亚急性帕金森病病人认知能力的下降Anjali基拉,娜塔莉Witek麦奇贝利等。
首页神经学,2019年6月3日 - 首页神经病学临床病理会议
一个63岁的老人头痛和行为恶化史蒂文·m·格林伯格约瑟夫·e·帕里,b .马克基冈等。
首页神经学,2007年3月5日 - 居民和其他部分
临床推理:一个56岁的女人,急性眩晕和复视圣人沙玛、Tia Chakraborty弗朗西斯·k·Buadi et al。
首页神经学,2018年4月16日 - 居民和其他部分
临床推理:一个73岁的老人复视和共济失调严厉的诉Gupta, Rohan Samant Murat Gokden et al。
首页神经学,2015年9月28日


