临床推理:一个65岁的女人,亚急性hemiballism
第一节
65岁,right-hand-dominant史的女性高血压、高脂血症、糖尿病,控制不好和远程乳腺癌提供1周的进步,不随意离开hemibody运动。一个月前,她是一个克制的司机在汽车正面相撞可能短暂的意识丧失。病人在急诊室评估和被指出肌肉骨骼伤害不需要干预。不需要进行成像。自事故发生后,她形容感觉与口齿不清,“精神模糊”已逐步恶化和持久的左肩疼痛。
前1周左右在我们的设施,她非随意运动开始在她的左肩,描述为“假摔”,逐步进展将整个上肢蔓延到身体的同侧的腿和脸。这些运动变得更加频繁和增加幅度超过一个星期。没有意识的改变,肠道或膀胱功能丧失,或者在这些运动舌头咬,没有postevent混乱。由于干扰日常活动,她向应急部门进一步评估,在头部CT表现出有限的高密度的正确的基底神经节病变周围水肿。
病人的生命体征正常范围内,神经系统检查显著轻微的构音障碍的运动障碍的oromandibular面部动作,完整的力量(尽管受限于左肩疼痛),轻度左测距不准,dysdiadochokinesia离开了。在休息,她断断续续ballistic-choreic左上、下肢的运动参与的脸,舌头,恶化了有意的动作。
第二节
最初的微分hemichorea-hemiballism收购的原因包括血管、自体免疫/炎症、代谢、感染、毒素或药物,肿瘤或其他结构性的病因。1,- - - - - -,3特别是,中风,威尔逊疾病,甲状腺功能亢进,高血糖,系统性红斑狼疮导致这个综合症。1遗传原因不太可能因为年龄和CT异常。初步实验室研究了尿路感染的迹象(尿液积极白细胞酯酶和87白细胞)没有系统性感染或炎症的证据(7.1白细胞,红细胞沉降率26)和糖尿病控制不佳(血清葡萄糖425年,尿液微量酮,糖化血红蛋白14)。感染其他证据中没有看到CSF(阴性肺结核和细菌/真菌文化)或血清(弓形虫免疫球蛋白G和M)。
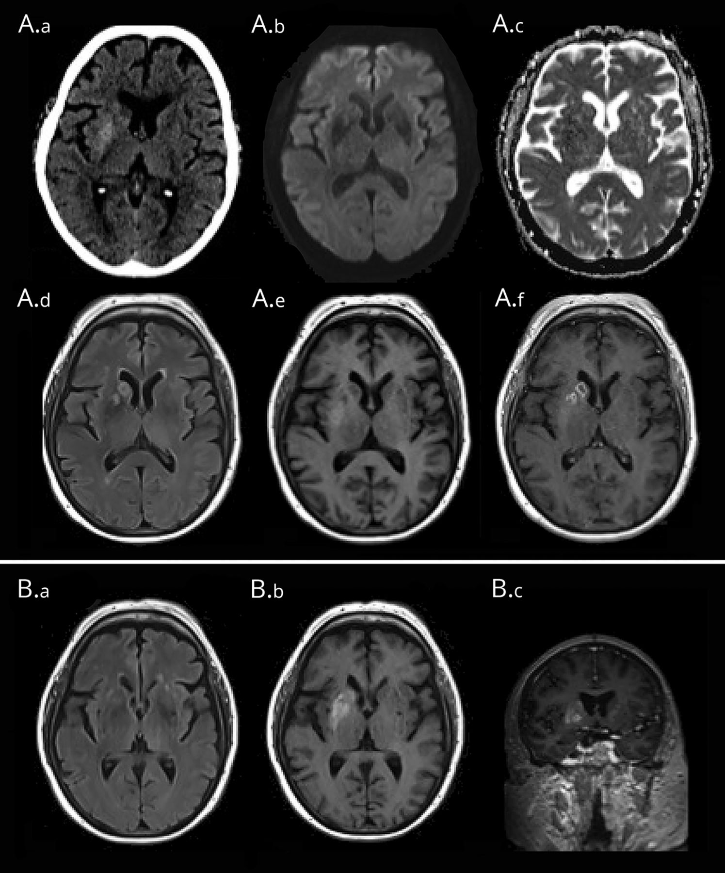
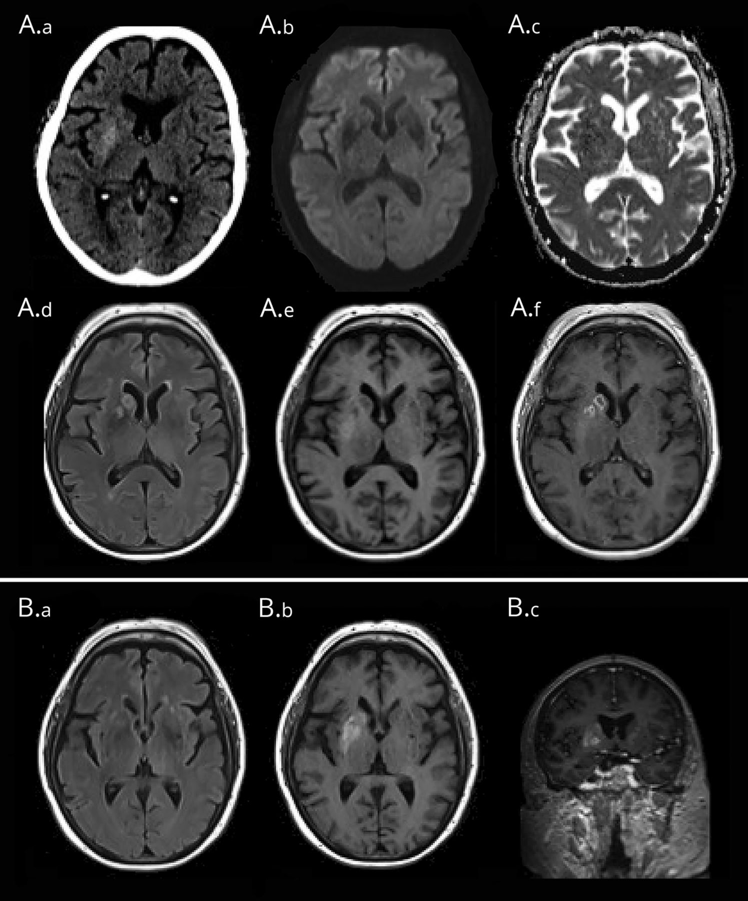
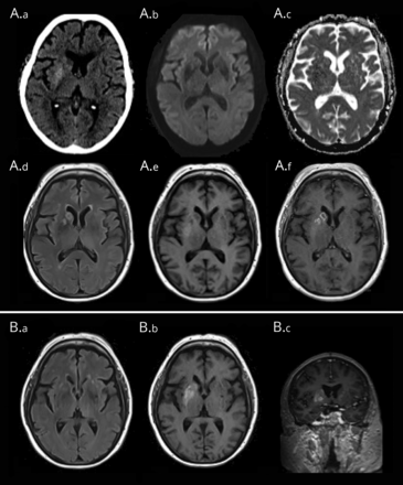
MRI大脑与对比获得入学透露rim-enhancing病变在正确的尾状的头和前方面正确的核不扩散限制但intralesional出血(图)。MRI是重复2个月后,并演示了新的融合性的领域涉及正确的豆状核的T1 hyperintensity保留正确的内囊体积随着失去正确的尾状核头部和分辨率的T2 hyperintensity地区(图)。
(一)初始成像。(一)初始CT: hypoattenuating的外观和微妙的膨胀性的右尾状核头;正确的核巧妙地hyperattenuating。(A.b-A.c)初始扩散:轻度增加信号的fluid-attenuated反转恢复(天赋)hyperintensity跟踪成像与增加扩散系数高表观扩散系数值。(公元)最初的天赋:圆形的区域增加信号包括尾状核头和壳。(A.e-A.f)初始T1前后:hypointense膨胀性的右尾状的头和前壳,它显示了边缘增强。微妙的T1信号增加核的剩余部分。在2个月(B)后续成像。(本科)天赋:解决hyperintensity涉及正确的豆状核。(反方向)T1 precontrast:支流区域涉及正确的基底神经节的T1缩短。 (B.c) T1 postcontrast: T1 shortening, without enhancement, of the caudate head, putamen, and globus pallidus. Interval right caudate head volume loss.
第三节
rim的微分/ ring-enhancing病变可以记得助记神奇的博士:转移,脓肿、胶质母细胞瘤,梗死(亚急性),挫伤,动脉瘤,淋巴瘤,髓鞘脱失,辐射坏死或解决血肿。4也可能值得考虑nonabscess感染结核瘤和脑囊尾蚴病等。常见元素的微分获得hemiballism的原因和ring-enhancing病灶缩小列表支持传染性,肿瘤和缺血性病因。除了增强病灶,成像也对putaminal T1 hyperintensity引人注目,这提出了一个可能的代谢过程和物质沉积的脂质,蛋白质,或含铁血黄素。这个复杂微分的青睐病因应该存在这个hyperintensity,暗示可能的继发性病理或非典型表现。
图表回顾的背景是著名的淋巴结阴性的乳腺癌肿瘤切除和实验室研究8天前报告证明599而前血糖水平的血糖水平与糖化血红蛋白7.0 120 - 200年的前3个月表现相比14演示。
第四节
患者亚急性发作了hemiballism头部外伤后1个月设置多个血管危险因素,acute-on-chronic高血糖,癌症的历史。成像是持久T1 hyperintensity豆状核和rim-enhancing病变的右尾状核头和前壳核发展到尾状体积损失。她开始对喹硫平hemiballism和严格的糖尿病控制建议。在出现症状后随访3个月,她的糖化血红蛋白是7.3和她运动明显减弱。她试着从喹硫平,但返回的小的hemiballism她重启喹硫平。历史,实验室研究,核磁共振的发现与区间变化,和临床进展表明高血糖的损伤与亚急性小血管梗塞最可能的诊断。
讨论
在这个65岁的妇女与多个医学并存病、亚急性发作一个相对不常见的运动障碍,典型的影像学表现提出了一个诊断挑战。为获得事业还有很长的微分hemiballism和那些没有更多的系统演示,血管、代谢,药物,和结构损伤被认为最有可能。而她的初始CT出血与肿瘤有关,她后来扩大了微分包含梗死磁共振扫描器,感染/炎症和代谢过程。ring-enhancing病变的基底神经节等传染病病原学的是有关弓形虫虽然她不符合经典的历史。显然她没有历史的免疫力低下她的糖尿病外,并且缺乏系统性症状或支持实验室研究表明传染病病原学。她的症状仅限于左hemibody没有脑病,反对自身免疫,炎症,或有毒的原因,进一步支持的实验室检查。她有一个远程乳腺癌的历史,这是转移到大脑,和最近的创伤;然而,成像不一致的过程。鉴于持续的高T1信号强度硬膜,高血糖的损伤的特点,5,6和尾状的进行性脑软化暗示梗死敏锐地升高血糖的临床症状出现的时间与附近多个血管危险因素,最后的诊断是亚急性小血管梗塞并发高血糖的损伤。
缺血性或出血性血管病变,最常见的原因在医院nongenetic舞蹈病人口超过50岁的病人,早期或延迟hemiballism在卒中后患者的1%。7相关病变在基底神经节和邻近白质,通常在香港的大脑中动脉或大脑后动脉。7卒中后运动困难,其中最常见的是hemichorea-hemiballism报道,3可能出现严重或推迟了几个月到几年后跟高度可变,可能是短暂的,复发,持久,或进步;然而,他们通常是自限性的,一般在6 - 12个月内解决。3
高血糖的hemiballism急性hemiballism是第二个最常见的原因。2与高血糖相关的第一例hemichorea-hemiballism被贝德威尔于1960年,最初是最常报道老年人,典型的东亚,糖尿病2型的女性。5高血糖发展了,hemiballistic运动出现,尽管案例报告表明急性和延迟出现运动障碍。2高信号强度在t1影像核是经典与这个条件有关。1
而糖尿病运动障碍的危险因素是由于高血糖,这也是缺血性中风的一个危险因素。糖尿病是独立60%中风复发的风险在那些超过65岁,是一个关键的首次缺血性中风的危险因素。8因此,尽管这些不同的卒中后hemiballism病因和hyperglycemia-hemiballism都是相对罕见,他们都可能来自于病理高血糖和其他血管危险因素控制不好。
在管理方面,严格的血糖控制是关键病因以及二级预防中风。hemichorea-hemiballism往往自发地解决症状,高血糖的hemiballism运动消失一旦葡萄糖校正后几小时,尽管20%的患者持续hemiballism超过3个月,这往往比在温和的演示。2中风患者hemiballism通常发病后6 - 12个月内解决。3然而,可能需要短期治疗控制症状。药物治疗主要由antidopaminergic治疗典型或非典型抗精神病药物阻止纹状体D2受体被认为是负责运动障碍的活动。3这个病人被3个月开始奎硫平和有良好的血糖控制(糖化血红蛋白7.3)有所改善,但持续的症状(视频1 - 3)。
视频1
手指触摸测试。Hemiballism finger-to-nose。下载补充视频1通过http://dx.doi.org/10.1212/006922_Video_1
视频2
步态。Hemiballism,步态。下载补充视频2通过http://dx.doi.org/10.1212/006922_Video_2
视频3
仰卧的手臂扩展。Hemiballism,手臂扩展。下载补充视频3通过http://dx.doi.org/10.1212/006922_Video_3
作者的贡献
k . Cacic:案例帐面价值和文献综述。b·斯蒂芬斯:案件审查。f . Cloran:神经放射学分析和图像的选择。答:(Frattalone案件审查。
研究资金
没有针对性的资金报告。
信息披露
作者报告没有披露相关的手稿。去首页Neurology.org/N为充分披露。
承认
作者感谢恩贝尔福,医学影像,记录和编辑相关的视频。
脚注
去首页Neurology.org/N为充分披露。资金信息和披露认为作者相关的,如果有的话,年底提供这篇文章。
- ©2019美国神经病学学会的首页
引用
- 1。↵
- 2。↵
- 3所示。↵
- Nakawah莫,
- 赖电子商务
- 4所示。↵
- 康O,
- Rafaey米
- 5。↵
- Suarez-Vega虚拟机,
- AlmarazCS,
- 贝尔纳多人工智能,
- Rodriguez-DiazR,
- 地方行政区域广告,
- 吉尔LM
- 6。↵
- 达斯l,
- 朋友R,
- 杜塔P,
- 巴恩一个
- 7所示。↵
- 8。↵
- Guzik一个,
- 布什内尔C
信:快速的网络通信
你可能也会感兴趣
相关文章
-
没有找到相关文章。
提醒我
推荐的文章
- 简短的沟通
Postanoxic帕金森症:临床、放射和病理的相关性由P.H. J.Y. Li Lai C.Y.陈等。
首页神经学,2000年8月22日 - 简短的沟通
痉挛性发声困难与左腹外侧putaminal病变有关w·c·s . b . Lee m . s . Lee金等。
首页神经学,1996年9月1日 - 文章
基于模型的比较TIA和缺血性中风的危险因素摩根大通(J.P. Whisnant, r•布朗,G.W.小等。
首页神经学,1999年8月1日 - 文章
纵向变化亨廷顿氏舞蹈症患者基底神经节卷e·h·Aylward李问:o·c·斯坦et al。
首页神经学,1997年2月1日


