2019年2月19日
;92 (8)
科学杂志
造型酷似中国纯失读症中的错误
Shi-Lin杨,湘汉,强东
第一次出版2019年2月18日,
DOI: https://doi.org/10.1212/WNL.0000000000006964
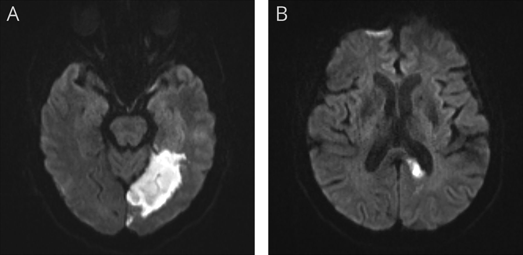
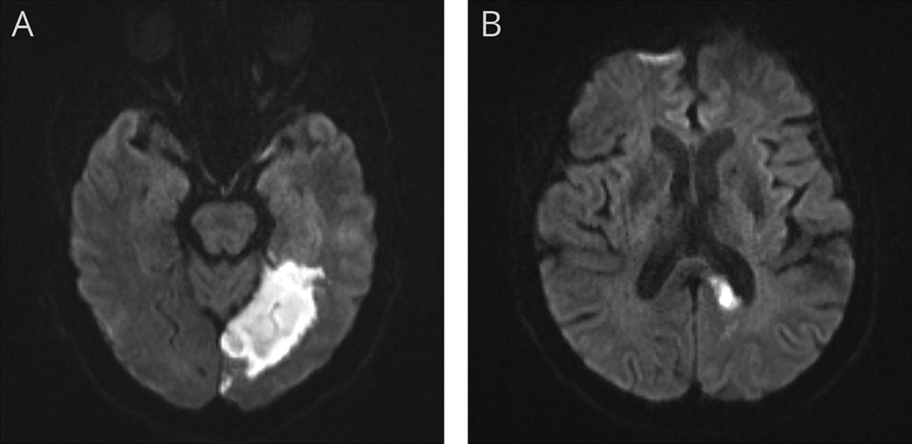
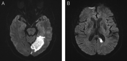
一个64岁的有文化的中国人面对突然发生的阅读困难。检查发现右同音异义的偏盲和纯失读症。口服阅读测试表明,他经常读一个字符与另一个类似的形状但不同的含义和发音(图1)。脑部MRI显示急性梗死涉及左枕叶、颞叶,胼胝体压部(图2)。纯失读症是临床分离综合征在患者第一次描述了类似的梗死Dejerine于1892年。1造型酷似错误可能是中国纯失读症现象的特点。
作者的贡献
S.-L。杨:收集和解释数据,手稿起草。x汉:收集和解释数据。董问::监督重要的修订手稿。
研究资金
没有针对性的资金报告。
信息披露
作者报告没有披露相关的手稿。去首页Neurology.org/N为充分披露。
脚注
↵*这些作者的贡献同样这项工作。
去首页Neurology.org/N为充分披露。资金信息和披露认为作者相关的,如果有的话,年底提供这篇文章。
- ©2019美国神经病学学会的首页
信:快速的网络通信
你可能也会感兴趣
广告
相关文章
-
没有找到相关文章。
主题讨论
提醒我
推荐的文章
- 临床/科学的笔记
纯失读症不能断开综合症朱利安•Benito-Leon卡门Sanchez-Suarez Jaime Diaz-Guzman et al。
首页神经学,1997年7月1日 - 临床/科学的笔记
失读症没有失写症儿童急性播散性脑脊髓炎罗伯特·d·小约书亚·l·戈尔茨坦等。
首页神经学,2006年8月21日 - 文章
手语失语症由于左枕叶病变失聪的签名者Kozue齐藤,米卡大Satoshi上野et al。
首页神经学,2007年10月1日 - 观点和评论
失语症进步在过去的25年
Argye e·希利斯等。
首页神经学、09年7月,2007年


