2020年5月26日,
;94 (21)
居民和其他部分
教学实验:视网膜病变3型脊髓小脑的共济失调
视图ORCID概要法比奥·a·Nascimento,Matheus g·费雷拉,Naoye Shiokawa,马里奥·t·佐藤,赫利奥A.G. Teive
第一次出版2020年4月24日,
DOI: https://doi.org/10.1212/WNL.0000000000009484
法比奥·a·Nascimento
从神经学部门(F.A.N.),贝勒医学院,休斯首页顿,TX;和神经学部门(M.G.F.首页,H.A.G.T.), Department of Internal Medicine, and Department of Ophthalmology (N.S., M.T.S.), Universidade Federal do Paraná, Curitiba, Brazil.
Matheus g·费雷拉
从神经学部门(F.A.N.),贝勒医学院,休斯首页顿,TX;和神经学部门(M.G.F.首页,H.A.G.T.), Department of Internal Medicine, and Department of Ophthalmology (N.S., M.T.S.), Universidade Federal do Paraná, Curitiba, Brazil.
Naoye Shiokawa
从神经学部门(F.A.N.),贝勒医学院,休斯首页顿,TX;和神经学部门(M.G.F.首页,H.A.G.T.), Department of Internal Medicine, and Department of Ophthalmology (N.S., M.T.S.), Universidade Federal do Paraná, Curitiba, Brazil.
马里奥·t·佐藤
从神经学部门(F.A.N.),贝勒医学院,休斯首页顿,TX;和神经学部门(M.G.F.首页,H.A.G.T.), Department of Internal Medicine, and Department of Ophthalmology (N.S., M.T.S.), Universidade Federal do Paraná, Curitiba, Brazil.
赫利奥A.G. Teive
从神经学部门(F.A.N.),贝勒医学院,休斯首页顿,TX;和神经学部门(M.G.F.首页,H.A.G.T.), Department of Internal Medicine, and Department of Ophthalmology (N.S., M.T.S.), Universidade Federal do Paraná, Curitiba, Brazil.
一名17岁的非洲巴西女人面对一年的历史进步共济失调,构音障碍,视力下降。家族史是非凡的多个亲戚与类似汽车症状但没有视觉的投诉。检查显示向上凝视麻痹、构音障碍、共济失调、语气和反应增加。Fundoscopic检查和后续的光学相干断层扫描显示双边萎缩性黄斑病变(图1和图2)。基因测试证实的诊断脊髓小脑的共济失调3型(SCA3)揭示异常CAG重复ATXN3基因病理等位基因有68重复,14重复正常等位基因。
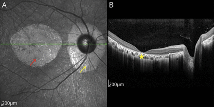
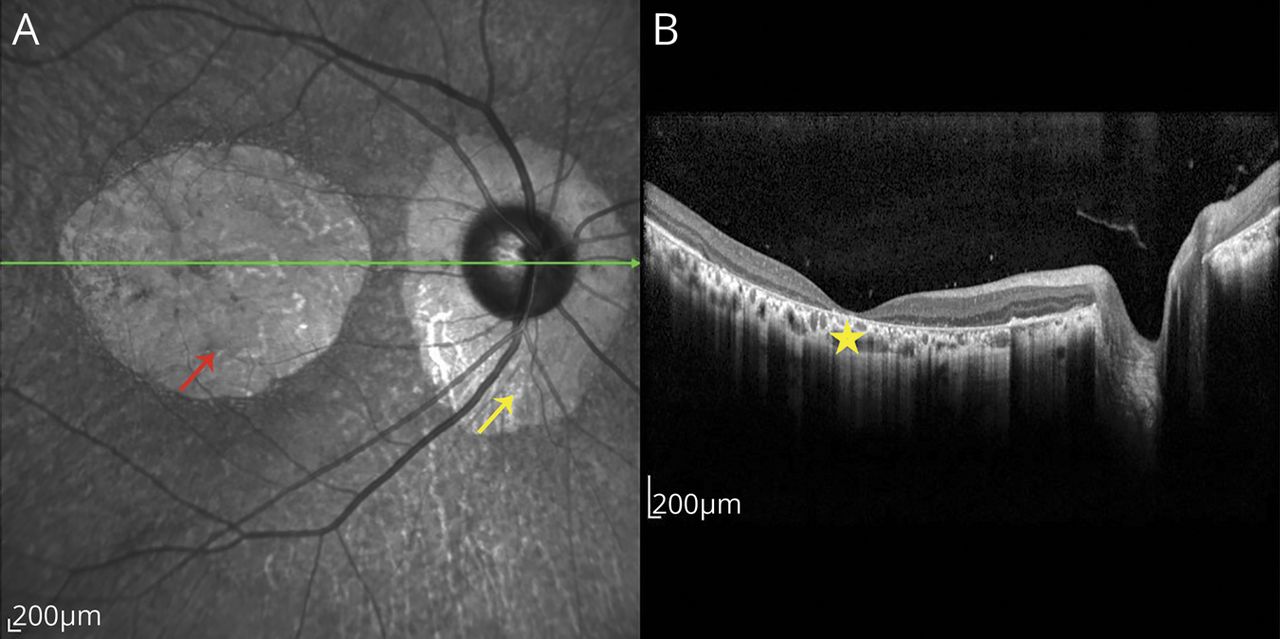
图2
光学相干断层扫描,右眼
(一)近红外光显示黄斑萎缩(红色箭头)和视神经盘旁脉络膜萎缩(黄色箭头)。(B)完成视网膜中央凹萎缩,失去深黄斑层在萎缩性地形,和损失的视神经盘旁视网膜色素上皮(明星)。
视网膜病变,一个典型的发现在脊髓小脑的共济失调型7中,1很少与SCA3有关。2,- - - - - -,4进一步的研究应该阐明这个协会,从而可能扩大SCA3的表型频谱。
研究资金
没有针对性的资金报告。
信息披露
粮农组织Nascimento的一员首页®居民&编辑团队的部分。M.G.费雷拉,n . Shiokawa M.T.佐藤,H.A.G. Teive报告没有相关的信息披露。去首页Neurology.org/N为充分披露。
附录的作者
脚注
去首页Neurology.org/N为充分披露。资金信息和披露认为作者相关的,如果有的话,年底提供这篇文章。
- ©2020美国神经病学学会的首页
引用
信:快速的网络通信
-
作者回复:教学实验:视网膜病变3型脊髓小脑的共济失调
- 法比奥。Nascimento,首页神经病学的居民,贝勒大学医学院
- 日光反射信号器。Ghizoni Teive,神经学家,大学联邦做巴拉
2020年5月28日提交 -
读者反应:教学实验:视网膜病变3型脊髓小脑的共济失调
- 罗伯特。伊根,Neuro-Ophthalmology,眼睛和血管神经病学LLC首页
2020年5月26日提交
需求
如果你上传一个字母有关的一篇文章:
你必须在六个月内更新你的信息披露:http://submit.首页neurology.org
你的合作者必须发送完成出版协议形式来首页员工(不是必要的领导/通讯作者如下表单就足够了)在你上传你的评论。
如果你回复评论,写过一篇文章你最初撰写:
你(和合作者)不需要填写表单或检查信息披露作为作者形式仍然有效
和申请信。
提交规格:
- 提交必须与< < 200字5引用。参考1必须你评论的文章。
- 提交不应该超过5作者。(例外:原作者回复可以包括所有原始作者的文章)
- 6个月内提交只在文章发表日期的问题。
- 不会是多余的。读任何评论已经张贴在本文之前提交。
- 提交评论编辑和编辑审查发布之前。
你可能也会感兴趣
广告
相关文章
提醒我
推荐的文章
- 观点和评论
Fingolimod-associated黄斑水肿发病率、检测和管理
Nieraj Jain, m . Tariq巴蒂等。
首页神经学,2012年2月27日 - 文章
视网膜和视神经头小畸型的变化光学相干断层扫描研究
阿纳斯塔西娅Pilat Eleni Papageorgiou,弗兰克Proudlock et al。
首页神经学,2018年7月11日 - 文章
纵向眼睛的视网膜显微结构变化与交叉的压缩Ga-In李,Ki年幼的儿子,Kyung-Ah公园等。
首页神经学,2020年10月22日 - 文章
视网膜变薄的同事与nigral新创帕金森病多巴胺损失Jeeyun安,Tae Wan Jee-Young Lee金等。
首页神经学,2018年8月15日


