2020年9月22日
;95 (12)
居民和其他部分
教学实验:房颤消融后神经功能恶化
杰克逊a Narrett,罗宾·d·Ulep,贾斯汀·m·墨菲,视图ORCID概要安德鲁·m·Southerland
第一次出版2020年7月8日,
DOI: https://doi.org/10.1212/WNL.0000000000010205
杰克逊a Narrett
从神经学部门(J.A.N.首页,R.D.U.,J.M.M.,A.M.S.) and Public Health Sciences (A.M.S.), University of Virginia Health System, Charlottesville.
罗宾·d·Ulep
从神经学部门(J.A.N.首页,R.D.U.,J.M.M.,A.M.S.) and Public Health Sciences (A.M.S.), University of Virginia Health System, Charlottesville.
贾斯汀·m·墨菲
从神经学部门(J.A.N.首页,R.D.U.,J.M.M.,A.M.S.) and Public Health Sciences (A.M.S.), University of Virginia Health System, Charlottesville.
安德鲁·m·Southerland
从神经学部门(J.A.N.首页,R.D.U.,J.M.M.,A.M.S.) and Public Health Sciences (A.M.S.), University of Virginia Health System, Charlottesville.
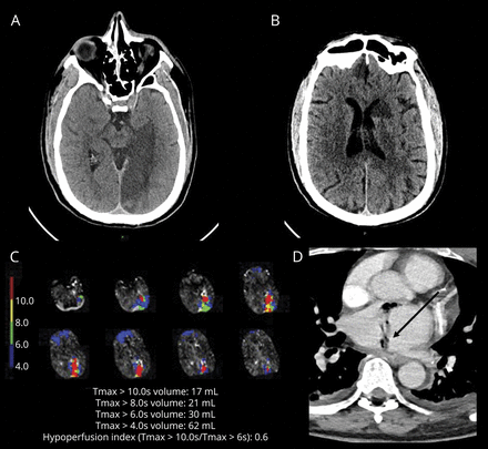
一个68岁的老人出现发烧和改变精神状态4周后心房颤动(房颤)的烧蚀过程。头部CT显示多病灶的embolic-appearing梗塞。胸部CT显示空气在左心房附件(图)。这些发现导致cardioembolic中风二级诊断脓毒性栓子atrioesophageal瘘AEF)。时可能发生在0.25%的房颤消融和体现1 - 6周postprocedure发烧、中风、终末器官的损害和/或脓毒性栓子。1经胸廓的超声心动图和胸部CT应考虑排除时患者的神经功能下降后房颤消融。1,2
图
选定的头部和胸部成像
轴头CT显示多病灶的脑梗塞(A)左侧颞枕叶和(B)基底神经节,(C) CT灌注(快速、Ischemaview,红木,CA)显示在多个血管灌注不足地区,空气和(D)轴向胸部CT显示在左心房和左心室附属物(箭头所指)。
研究资金
没有针对性的资金报告。
信息披露
作者报告没有披露相关的手稿。去首页Neurology.org/N为充分披露。
附录的作者
脚注
去首页Neurology.org/N为充分披露。资金信息和披露认为作者相关的,如果有的话,年底提供这篇文章。
教学幻灯片lww.com/WNL/B161
- ©2020美国神经病学学会的首页
信:快速的网络通信
你可能也会感兴趣
广告
相关文章
主题讨论
提醒我
推荐的文章
- 居民和其他部分
临床推理:一个62岁的老人与导管消融的历史呈现周期性的中风瓦莱丽•Jeanneret瑞安·b·彼得森卡洛斯美国凯斯·et al。
首页神经学,2020年8月6日 - 情况下
大脑和脊髓梗死二级atrial-esophageal瘘崔Swetha Renati,杨Meggen沃尔什等。
首页神经学:临床实践,2017年1月10日 - 居民和其他部分
临床推理:一个73岁的老人与结节病和多焦点的缺血性中风Michael Pichler詹姆斯·克洛斯Zelalem Temesgen et al。
首页神经学,2016年9月19日 - 文章
左心耳闭塞在心房纤颤颅内出血教授Horstmann,基督教Zugck Ulrike Krumsdorf et al。
首页神经学,2013年12月6日


