Neurologic and neuroimaging findings in patients with COVID-19
A retrospective multicenter study
Citation Manager Formats
Make Comment
See Comments
Abstract
Objectiveth描述神经成像结果和报告e epidemiologic and clinical characteristics of patients with coronavirus disease 2019 (COVID-19) with neurologic manifestations.
MethodsIn this retrospective multicenter study (11 hospitals), we included 64 patients with confirmed COVID-19 with neurologic manifestations who underwent a brain MRI.
ResultsThe cohort included 43 men (67%) and 21 women (33%); their median age was 66 (range 20–92) years. Thirty-six (56%) brain MRIs were considered abnormal, possibly related to severe acute respiratory syndrome coronavirus. Ischemic strokes (27%), leptomeningeal enhancement (17%), and encephalitis (13%) were the most frequent neuroimaging findings. Confusion (53%) was the most common neurologic manifestation, followed by impaired consciousness (39%), presence of clinical signs of corticospinal tract involvement (31%), agitation (31%), and headache (16%). The profile of patients experiencing ischemic stroke was different from that of other patients with abnormal brain imaging: the former less frequently had acute respiratory distress syndrome (p= 0.006) and more frequently had corticospinal tract signs (p= 0.02). Patients with encephalitis were younger (p= 0.007), whereas agitation was more frequent for patients with leptomeningeal enhancement (p= 0.009).
ConclusionsPatients with COVID-19 may develop a wide range of neurologic symptoms, which can be associated with severe and fatal complications such as ischemic stroke or encephalitis. In terms of meningoencephalitis involvement, even if a direct effect of the virus cannot be excluded, the pathophysiology seems to involve an immune or inflammatory process given the presence of signs of inflammation in both CSF and neuroimaging but the lack of virus in CSF.
ClinicalTrials.gov identifierNCT04368390.
Glossary
- ADEM=
- acute disseminated encephalomyelitis;
- ARDS=
- acute respiratory distress syndrome;
- CLOCC=
- cytotoxic lesion of the corpus callosum;
- COVID-19=
- coronavirus disease 2019;
- FLAIR=
- fluid-attenuated inversion recovery;
- GM=
- gray matter;
- hCoV=
- human coronavirus;
- ICU=
- intensive care unit;
- LME=
- leptomeningeal enhancement;
- MCA=
- multiple correspondence analysis;
- 我RS-CoV=
- Middle East respiratory syndrome coronavirus;
- RT-PCR=
- reverse transcriptase PCR;
- SARS-CoV=
- severe acute respiratory syndrome coronavirus
In December 2019, many unexplained pneumonia cases occurred in China.1,2In January 2020, the causative agent was identified as a novel coronavirus, which has been called severe acute respiratory syndrome coronavirus 2 (SARS-CoV-2), giving the disease the name coronavirus disease 2019 (COVID-19). Coronaviruses have neuroinvasive capacities because they are isolated in both brains and CSF of infected animals and humans.3,–,8然而,很少有与人类神经系统并发症oronaviruses (hCoVs) were documented in the past 2 decades.
Concerning COVID-19, 5 recent publications have presented neuroimaging presentations of patients with neurologic complications.9,–,13
The first studies that focused on clinical features of patients with COVID-191,2,11showed neurologic manifestations such as headache, dizziness, confusion, hypogeusia, hyposmia, and more severe neurologic disorders, especially for patients hospitalized in intensive care units (ICUs). In a recent cohort of 214 patients,1124.8% of them presented CNS manifestations, and 6 cases of strokes were diagnosed. The neurologic symptoms were more common in cases of severe respiratory infection.11It has recently been reported12that patients referred to ICU frequently experienced encephalopathy with agitation, confusion, and corticospinal tract signs. Brain MRI revealed in some patients leptomeningeal enhancement (LME) and cerebral blood flow abnormalities.
尽管有这些发现,大脑injuri的潜力es related to COVID-19 have not been well described with neuroimaging in a large cohort. Thus, our aims were to describe the neuroimaging findings in a population of COVID-19 with neurologic manifestations who underwent brain MRI, to assess the frequency of these abnormalities, and to correlate these findings with clinical features.
Methods
This retrospective national multicenter study was initiated by the French Neuroradiology Society.
Patient cohort
Patients with COVID-19 from 11 French centers, including 6 university hospitals and 5 general hospitals, were included from March 16, 2020, until April 9, 2020. The number of cases included from each center was as follows: 29 in Strasbourg, 11 in Colmar, 7 in Paris (Bichat), 5 in Haguenau, 4 in Nancy, 4 again in Paris (Sainte-Anne), 3 in Rennes, 2 in Dijon, 1 in Saint-Etienne, 1 in Forbach, and 1 in Antony.
The diagnosis of COVID-19 was based on the following criteria: possible exposure history, symptoms clinically compatible with COVID-19, and detection of SARS-CoV-2 by reverse transcriptase-PCR (RT-PCR) assays on the nasopharyngeal, throat, or lower respiratory tract swabs. Inclusion criteria were diagnosis of COVID-19 with neurologic manifestation and a brain MRI assessment. Exclusion criteria were missing data or noncontributory (lack of sequences, numerous artifacts) data regarding brain MRI.
The diagnosis of acute respiratory distress syndrome (ARDS) was based on Berlin criteria.14
Clinical and laboratory data were extracted from the patients' electronic medical records in the hospital information system.
Virologic assessment
Quantitative real-time RT-PCR tests for SARS-CoV-2 nucleic acid were performed on upper or lower respiratory tract swabs and CSF. Primer and probe sequences were targeting 2 regions on theRdRpgene, which are specific to SARS-CoV-2. Assay sensitivity was ≈10 copies per reaction.
Brain MRI protocols
Imaging studies were conducted on 1.5T or 3T MRI. The multicenter nature of the study and the various clinical presentations did not allow standardization of sequences.
The most frequently sequences performed were 3D T1-weighted spin-echo with and without contrast-enhanced imaging, diffusion-weighted imaging, gradient echo T2 or susceptibility-weighted imaging, 2D or 3D fluid-attenuated inversion recovery (FLAIR) postcontrast, and 3D time-of-flight magnetic resonance angiography of the circle of Willis
Brain MRI reading
After anonymization, images were presented to readers with our GE Picture Archiving and Communication System (General Electric, Milwaukee, WI). Two neuroradiologists (S.K. and F.L., with 20 and 9 years of experience in neuroradiology, respectively) who were blinded to all patient data independently reviewed all brain MRIs. The final diagnosis was determined by consensus, and if consensus could not be reached, a third neuroradiologist (S.B., with 9 years of experience in neuroradiology) was questioned.
Neuroimaging abnormalities were divided into 3 groups: ischemic stroke, encephalitis, and LME. Ischemic strokes were classified into large artery infarctions, watershed cerebral infarctions, lacunar infarctions, and hypoxic-ischemic injuries. Encephalitis was ranked as limbic encephalitis, cytotoxic lesion of the corpus callosum (CLOCC), radiologic acute disseminated encephalomyelitis (ADEM), radiologic acute hemorrhagic necrotizing encephalopathy, and miscellaneous encephalitis.
Encephalitis was defined as brain parenchymal abnormal FLAIR hyperintensity involving gray matter (GM), white matter, or basal ganglia with variable enhancement localized mainly in medial temporal and inferior frontal lobes in case of limbic encephalitis. The term CLOCC has been proposed recently to describe a clinicoradiologic syndrome characterized by a transient mild encephalopathy and a reversible lesion of the corpus callosum, localized mainly to the central part of the splenium on MRI. CLOCCs are the consequence of numerous etiologies, the 2 most frequent being antiepileptic drug withdrawal and infections. They are related to a cytokine increase inducing glutamate elevation in the extracellular space, leading to a dysfunction of callosal neurons and microglia with intracellular water influx, resulting in cytotoxic edema.15
ADEM is an autoimmune-mediated disease occurring after viral infections and vaccinations. Multifocal demyelinating lesions involving white matter but also GM (basal ganglia) are seen with variable enhancement. Acute hemorrhagic necrotizing encephalopathy is a fulminant inflammatory demyelinating disease, which is considered the most severe form of ADEM, associated with hemorrhagic lesions.
A brain MRI without acute significative abnormalities or showing lesions unrelated to SARS-CoV-2 was considered normal.
Statistical analysis
Data were described with frequency and proportion (number, percent) for categorical variables and mean, median, and range for quantitative data. Categorical data were compared with the Fisher exact test. Quantitative data were compared with analysis of variance. Multiple correspondence analysis (MCA) was used to give a simultaneous multivariate description of clinical and radiologic characteristics of all diagnostic groups. MCA plots display results either for the subjects or for their characteristics. Those plots are to be interpreted on the basis of the proximity of the data points: 2 subjects who are close on a plot share a common pattern of symptoms, and 2 clinical symptoms that are close on a plot describe similar types of subjects. Ellipses are drawn around the mean position of each characteristic such that nonoverlapping ellipses can be considered to show a contrast between the subjects who share 1 or the other characteristic.
Computations were made with 3.5.3 through R-Studio with the readxl, and FactoMineR packages (R Foundation for Statistical Computing, Vienna, Austria). A value ofp< 0.05 was considered significant.
Standard protocol approvals, registrations, and patient consents
这项研究是通过by the ethics standards committee on human experimentation of Strasbourg University Hospital (CE-2020-37) and was in accordance with the 1964 Declaration of Helsinki and its later amendments. Due to the emergency in the context of COVID-19 pandemic responsible for acute respiratory and neurologic manifestations pandemic, the requirement for patients' written informed consent was waived.
The study has been registered inClinicalTrials.gov(NCT04368390).
Data availability
We state that the data published are available and anonymized and will be shared on request by email to the corresponding author from any qualified investigator for purposes of replicating procedures and results.
Results
A total of 68 patients with COVID-19 were included in this multicenter study. Among them, 4 were excluded because their brain MRIs were considered noncontributory.
Clinical characteristics
The demographic and clinical characteristics of the 64 patients and their neurologic manifestations are summarized intables 1 through 3. The most frequent neurologic manifestations were confusion/agitation/alteration of consciousness, corticospinal tract signs, and headache.
History, neurologic manifestations, and clinical characteristics of the cohort
Characteristics of patients with COVID-19 with acute ischemic stroke
Characteristics of patients with COVID-19 with meningoencephalitis
Complementary data concerning patients with COVID-19 with acute ischemic stroke are given intable 2, including risk factors, clinical presentation, echocardiography and ECG results, neuroimaging description, and D-dimer serum level. Further information related to patients with COVID-19 with meningoencephalitis is given intable 3.
Neuroimaging findings
Among the 64 MRIs included, 41 (64%) were performed with gadolinium-based contrast agent administration. Thirty-one had a postcontrast FLAIR, and 18 had a delayed postcontrast FLAIR. The latter was achieved ≈10 minutes after the injection, after the realization of conventional postcontrast FLAIR and enhanced T1-weighted imaging. Thirty-six (56%) brain MRIs were considered abnormal, possibly related to SARS-CoV-2.
Ischemic strokes (27%) (figure e-1, available from Dryad,doi.org/10.5061/dryad.w9ghx3fm7), LME (17%) (figure 1), and encephalitis (13%) (figures 2and3and figure e-2, available from Dryad) were the most frequent neuroimaging findings. LME was seen on both postcontrast T1-weighted and FLAIR sequences and was even better visualized when delayed postcontrast FLAIR was performed. These signal abnormalities were not present on precontrast T1 or FLAIR images.
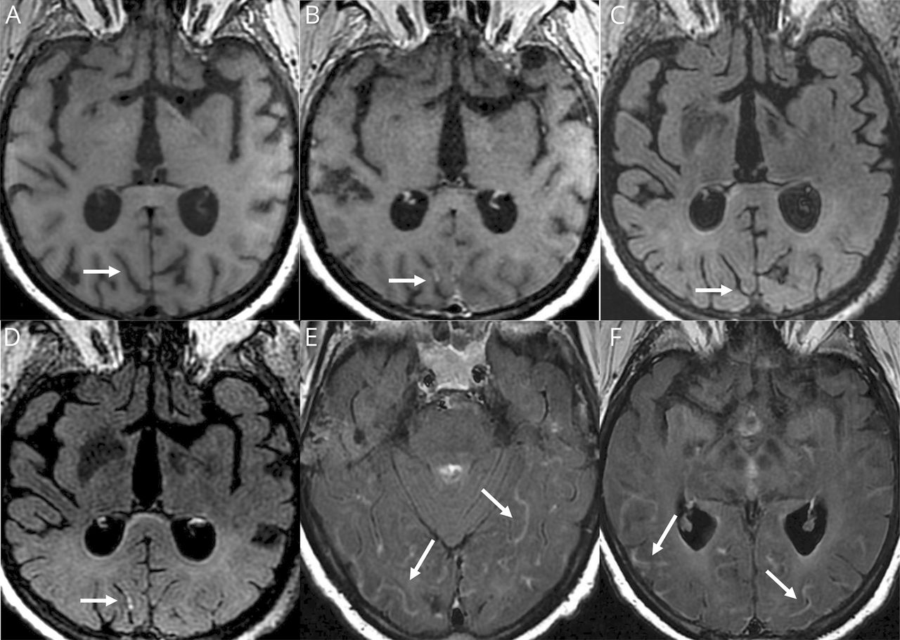
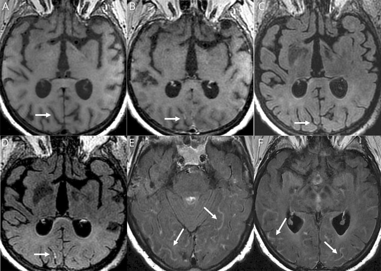
Axial T1 (A) before and (B) 5 minutes after contrast, axial FLAIR (C) before and (D) immediately after contrast, and (E and F) delayed (10 minutes) postcontrast axial fluid-attenuated inversion recovery (FLAIR) weighted MRIs. Woman 77 years of age: diffuse leptomeningeal linear FLAIR and T1 contrast enhancement (arrows) not visible on precontrast T1 and FLAIR (arrows) but seen better on delayed postcontrast FLAIR weighted MRIs (E and F).
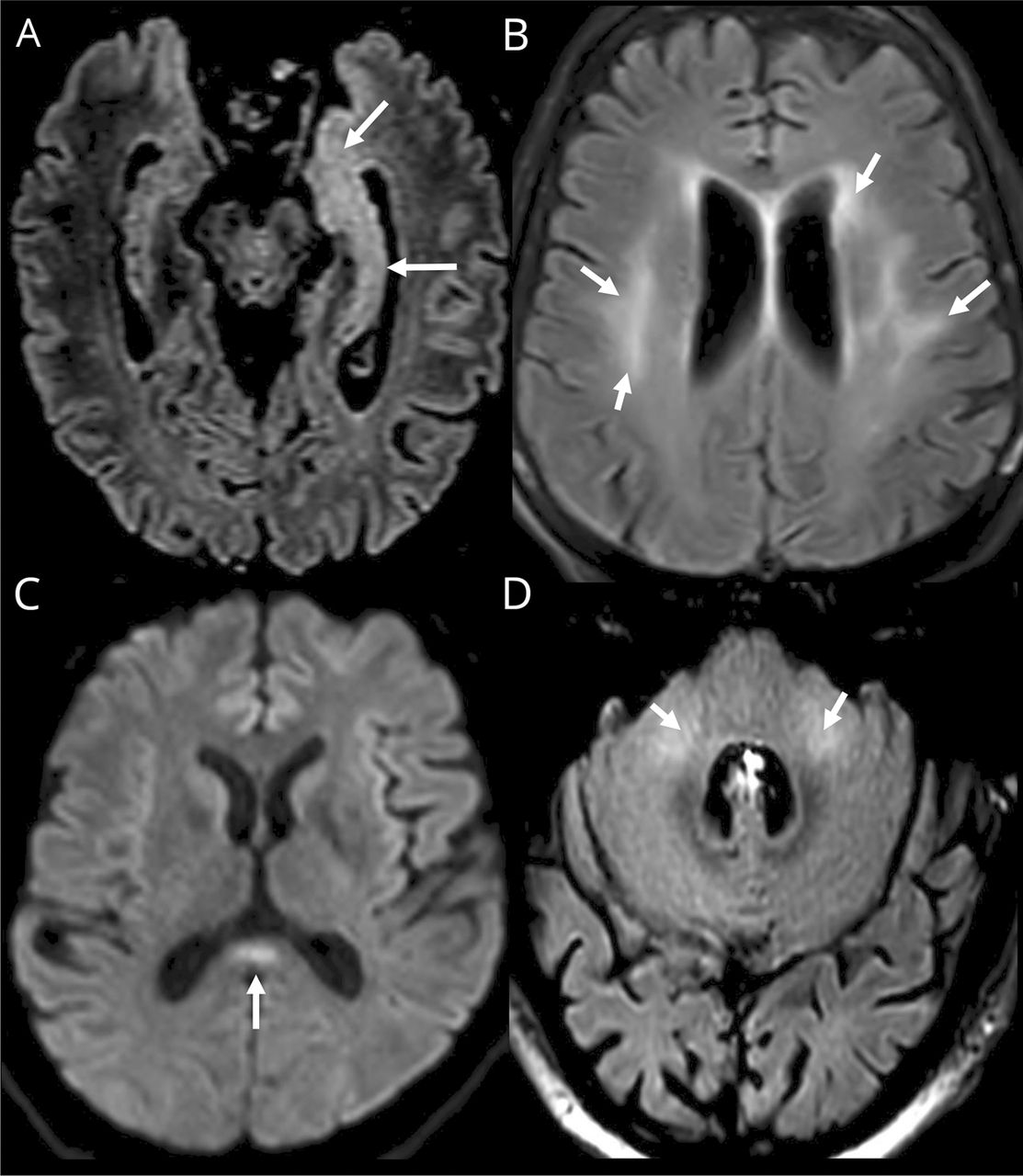
(A, B, D) Axial fluid-attenuated inversion recovery (FLAIR) and (C) diffusion-weighted MRIs. (A) Man 56 years of age: left hippocampus and amygdala FLAIR hyperintensity. (B) Woman 71 years of age: periventricular and subcortical white matter FLAIR confluent hyperintensities. (C) Man 55 years of age: corpus callosum splenium diffusion hyperintensity. (D) Man 64 years of age: FLAIR middle cerebellar peduncle hyperintensity.
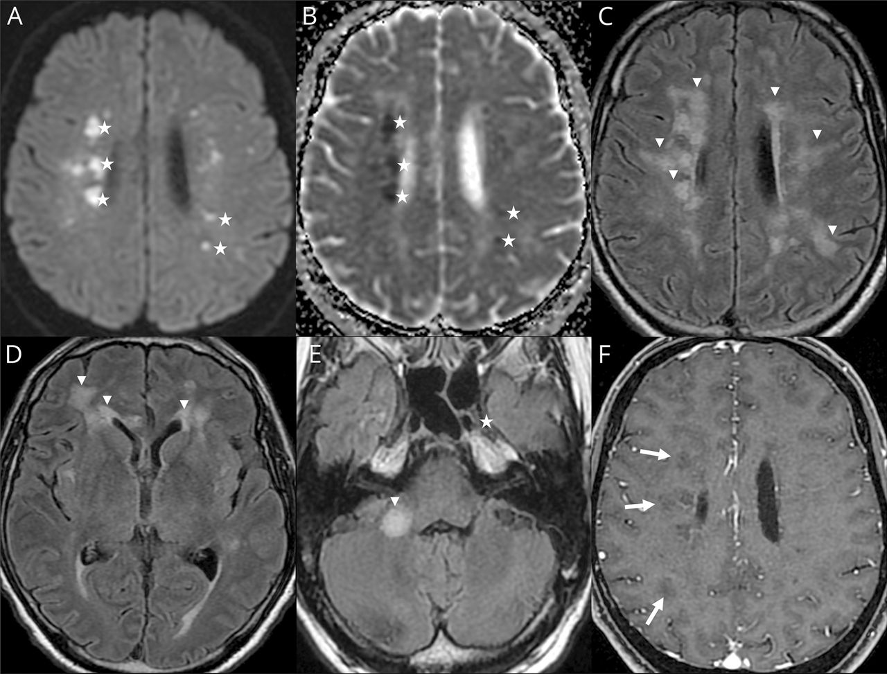
(A, E, I) Axial fluid-attenuated inversion recovery (FLAIR), (B, F, J) axial diffusion, (B, F, J) apparent diffusion coefficient (ADC) map, and (D, H, L) postcontrast T1-weighted MRIs. Man 60 years of age: subcortical, periventricular, corpus callosum, and posterior fossa white matter FLAIR hyperintensities without contrast enhancement (arrows). Some lesions appear hyperintense on diffusion-weighted MRIs, with decreased ADC corresponding to cytotoxic edema (stars). Other lesions present an ADC increase corresponding to vasogenic edema (cross).
Among the 8 encephalitis, 2 cases of limbic encephalitis, 2 cases of radiologic acute hemorrhagic necrotizing encephalopathy, 2 cases of miscellaneous encephalitis, 1 case of radiologic ADEM, and 1 case of CLOCC were described.
CSF analysis
Twenty-five (39%) patients underwent a lumbar puncture: 7 in the encephalitis group, 8 in the LME group, 2 in the ischemic stroke group, and 8 in the normal brain MRI group.
CSF glucose was normal in all cases.
In the encephalitis group (table 3), 6 patients showed markers of inflammation: 4 had pleocytosis, 5 had high levels of protein, 2 had elevated immunoglobulin G, and another had oligoclonal bands that were identical in CSF and serum. In the LME group (table 3), 6 patients showed markers of inflammation: 2 had pleocytosis, 3 had high levels of protein, 2 had elevated immunoglobulin G, and 4 had oligoclonal bands that were identical in CSF and serum. In the ischemic stroke group, 1 patient had a high level of protein.
The RT-PCR SARS-CoV-2 analysis was negative in the 20 patients who were investigated. The analysis was not realized for 5 patients: 1 with a normal brain MRI, 2 with an ischemic stroke, 1 with encephalitis, and 1 with LME. Cultures for other viruses or bacteria were always negative when performed.
Correlation analysis
There were statistically significant differences between the various groups concerning age (p= 0.007), the presence of pyramidal tract signs (p= 0.02), agitation (p= 0.009), and respiratory status (ARDS) (p= 0.006) (table 1).
The MCA showed that the ischemic stroke group could be distinguished from the 3 others, which largely overlap (figure 4). Most patients with ischemic stroke (numbers and dots in red on the plot) are located on the same lower-right half of the graph, indicating a commonality of symptoms. Those patients can be overall described as older with no ARDS, no oxygen requirement, no confusion, no disturbances of consciousness, and a lower death rate. The converse is true for the 3 other diagnoses that cannot be distinguished. Considering each clinical manifestation separately (figure e-3, available from Dryad,doi.org/10.5061/dryad.w9ghx3fm7), subjects can be distinguished mainly on the basis of a global pattern, depending on their oxygen requirement, seizure, sex, headaches, history of autoimmune disease, history of seizure, age, anosmia, confusion, and disturbances of consciousness.
The ischemic stroke group (red) can be distinguished from the 3 others, which largely overlap. Most patients with ischemic stroke (numbers and dots in red on the plot) are located on the same lower-right half of the graph, indicating a commonality of symptoms. Diag 1 (black) = normal brain MRI; Diag 2 (red) = ischemic stroke; Diag 3 (green) = encephalitis; Diag 4 (blue) = leptomeningeal enhancement.
Discussion
This is the first large, nationwide cohort of MRIs performed in patients with COVID-19 with neurologic manifestations.
The majority of patients had MRI abnormalities with serious and various findings beyond the severe respiratory disease (half of the patients had ARDS, and 11% died): cerebrovascular disease (especially ischemic stroke; large artery infarctions more frequently than watershed cerebral infarctions), encephalitis (including limbic encephalitis, radiologic ADEM, CLOCC, and radiologic acute hemorrhagic necrotizing encephalopathy), and focal or even diffuse LME. The heterogeneity of the imaging abnormalities was underpinned by heterogeneous clinical manifestations, ranging from anosmia, ageusia, or headache to more severe findings such as confusion with agitation, loss of consciousness, and corticospinal tract signs. Some correlations were found between clinical and imaging findings, allowing the identification of clinicoradiologic profiles of patients with COVID-19 displaying neurologic manifestations.
缺血性中风是1种clinicoradiologic ph值enotype; it was an acute event, arising in older patients who more frequently had corticospinal tract signs but was less frequently requiring oxygen or presenting an ARDS. This profile could be distinguished from the 2 others, LME and encephalitis. The encephalitis profile affected younger patients and seemed to be particularly severe because it was associated with the need for oxygen, ARDS, and death.
Stroke patients less frequently had ARDS, and this result is in agreement with the 6 patients with stroke previously reported in that only 2 patients were admitted to ICUs.16One may hypothesize that strokes in patients with COVID-19 could be due to procoagulant events leading to thrombosis17rather than to the systemic inflammatory process that accompanies ARDS, which is also directed against the CNS. However, this needs to be assessed by further studies dedicated to stroke and thrombosis in patients with COVID-19.
In our study, 17 (27%) patients had an acute ischemic stroke, as was previously reported with SARS-CoV,18Middle East respiratory syndrome coronavirus (MERS-CoV),19and SARS-CoV-2,11,16,17and among them, 11 had large artery infarctions (including 6 proximal artery occlusions, 2 cases of internal carotid artery dissection or occlusion) and 6 had watershed cerebral infarctions. For 15 of 17 patients with an ischemic stroke, the respiratory symptoms related to COVID-19 had begun before this acute event, while stroke preceded respiratory symptoms by 2 days for 2 patients.
Several mechanisms are likely to be associated. It is now known that SARS-CoV-2 could directly lead to myocardial injury, promoting cardiac arrhythmias associated with embolic events.20Six of our patients had arrhythmias, which were previously unknown for 3 of them. In the same way, a severe acute myocardial injury may be associated with a decrease in brain perfusion and therefore with watershed cerebral infarctions. As previously mentioned, it is acknowledged that viruses, particularly SARS-CoV-2,21are associated with an increase of prothrombotic events such as ischemic stroke.22,23Thereby, viral infections may elevate procoagulant markers, leading to thrombosis, disseminated intravascular coagulation, and hemorrhagic events.23As Beyrouti et al.16recently mentioned, all our patients tested showed elevated D-dimers, markedly elevated (>1000 µg/L) for 10 of the 11 patients tested.
Varicella zoster virus is also associated with direct vascular involvement and eventually arteritis promoting ischemic stroke events.22Furthermore, the more severe critically ill patients hospitalized in ICUs have probably had hypoxemia and hypotension, leading to brain injuries.18
Of the 36 abnormal MRIs, 8 diagnoses of encephalitis were made, and LME was described, especially on postcontrast T1-weighted and FLAIR, in 11 patients, either focal (single focus vs multiple foci) or diffuse, and preferentially located in the posterior, supratentorial regions of the brain.
Two main pathophysiologic hypotheses can be advanced to explain the neuroimaging findings in the inflammatory profile group. First, SARS-CoV-2 may have a neuroinvasive potential similar to other hCoVs because this family of viruses is related to each other genetically. It is not clear if the virus can infiltrate the CNS with active replication and direct damage to brain cells (viral encephalitis), as observed with other viruses such as herpes simplex virus. Likewise, viral meningitis due to direct infiltration of the virus into the CSF may also be considered because it was previously reported with SARS-CoV-1. Indeed, SARS-CoV-1 RNA was detected in the CSF of 2 patients with seizures.24,25A recent case report10has described for the first time a case of seizures with the detection of SARS-CoV-2 RNA in the CSF. Similarly, leptomeningeal inflammation may be present adjacent to subpial cortical lesions in the case of viral meningoencephalitis. In the case of viral encephalitis, CSF analysis usually demonstrates lymphocytic pleocytosis.26In addition, the CSF protein level is typically elevated in viral encephalitis. CSF viral RT-PCR is usually positive but can be negative if done too early. This was not the case in our series, and our results are in accordance with recently published data that demonstrated an absence of CSF pleocytosis and negative SARS-CoV-2 RT-PCR (5 of 5 patients) but elevated protein level (4 of 5 patients) in patients presenting cerebral MRI cortical abnormalities.13MRI pictures of viral encephalitis vary with causal pathogen. Nevertheless, viral encephalitis usually involves cerebral GM with diffusion restriction and can be associated with intralesional and diffuse leptomeningeal contrast enhancement. This was not the case in our series and did not argue for the direct effect of the virus. It is all the more likely that the direct detection of SARS-CoV-2 RNA by RT-PCR was always negative in all our CSF samples.
An alternative hypothesis appears more relevant: the neurovirulence of hCoVs, especially MERS-CoV, seems to be a consequence of immune-mediated processes.19,27,–,29Indeed, ADEM and Bickerstaff brainstem encephalitis, which were described with MERS-CoV,18,–,27are 2 examples of autoimmune demyelinating diseases resulting from a postinfectious or parainfectious process. A recent case report9has described a case of acute hemorrhagic necrotizing encephalopathy (which is the most severe form of ADEM) associated with COVID-19, which strengthens the hypothesis of a predominant immunologic mechanism. In our cohort, we also described 2 cases of limbic encephalitis and 1 case of CLOCC. Concerning the latter, no treatment had been started or stopped in previous weeks. Thus, 75% of encephalitis cases in our cohort (limbic encephalitis, CLOCC, radiologic ADEM, radiologic acute hemorrhagic necrotizing encephalopathy) are possibly considered immune-mediated diseases. Therefore, SARS-CoV-2–mediated disease is driven largely by immunologic processes, and the same mechanisms could explain LME. Indeed, the arachnoid and pial membranes form the leptomeninges, and a significant amount of antigen-presenting cells are present in the subarachnoid space.30Thus, initial immune activation occurs in the subarachnoid space, which is a site for antigen presentation, lymphocyte accumulation and proliferation, and antibody production.30All lead to an important local inflammatory infiltrate with a blood-CSF barrier disruption, which can also explain LME. Thus, LME can be linked to inflammatory or immunologic responses, as previously described in animal models of autoimmune encephalomyelitis,31with some neurotropic viruses such as human T-cell leukemia virus and HIV31and in several immune-mediated neurologic diseases.31此外,颅内模式非常相似been described in an animal study in piglets affected by gastroenteritis coronavirus.32Indeed, histology demonstrated diffuse pia matter gliosis with mild congestion of the meningeal and parenchymal vessels with neuronal degeneration, located mostly in posterior parietooccipital lobes.24Postcontrast FLAIR is the best sequence to highlight LME, but a potential pitfall is inhalation of increased levels of oxygen by patients who are intubated, which may increase subarachnoid space signal intensity noted on FLAIR images within the basal cisterns and sulcus along the cerebral convexities.33That is why we have chosen in this situation to acquire systematically precontrast and postcontrast FLAIR sequences to avoid misinterpretation of FLAIR hyperintensity within the subarachnoid spaces and not to misdescribe a meningeal enhancement. For our 11 patients with LME, no precontrast FLAIR signal abnormalities were visible in the subarachnoid spaces.
我们的研究也有一些局限性,主要因为我ts multicenter and retrospective design. First, brain MRI protocols were dictated by clinical need, and the patterns of working could be different among the 11 centers, even if neuroradiologists are used to work together. Thus, 36% of the MRIs were performed without administration of gadolinium-based contrast agents, notably preventing the detection of LME, therefore probably underestimating it. Moreover, LMEs are very subtle neuroimaging findings, which need the realization of delayed postcontrast FLAIR sequences, which were not done in the vast majority of the centers. Second, we did not realize a follow-up MRI, and some abnormalities could have appeared during follow-up. Third, outcomes were not available for all patients at the time of writing. Thus, the mortality rate is probably underestimated in our cohort. Fourth, although patients with COVID-19 may develop a wide range of neurologic symptoms, which can be associated with ischemic stroke or encephalitis, it is difficult to state without a controlled general neurologic population that such events are more frequent in patients with COVID-19. However, it now seems well established that thrombotic events are particularly frequent in patients with COVID-19.21Moreover, encephalitis, which is a rare disorder in the general population,34was surprisingly frequent in our population.
In this large multicentric national cohort, most patients with COVID-19 (56%) with neurologic manifestations had brain MRI abnormalities such as ischemic stroke, LME, and encephalitis. Because the detection of LME suggests the abnormality of brain MRI, it would be interesting to realize systematically postcontrast FLAIR acquisition in patients with COVID-19.
Concerning the cases of encephalitis and LME, even if a direct viral origin cannot be eliminated, the pathophysiology of brain damage related to SARS-COV-2 seems rather to involve an inflammatory or autoimmune response. The knowledge of the various clinicoradiologic manifestations of COVID-19 could be helpful for the best care of the patients and our understanding of the disease. In addition to SARS, cytokine storm syndrome, and heart failure, brain injuries may contribute to increased mortality. This highlights the importance of neurologic evaluation, especially for patients hospitalized in ICU with clinical deterioration or worsening of their symptoms, which can be associated with an acute neurologic event.
Study funding
No targeted funding reported.
Disclosure
The authors report no disclosures relevant to the manuscript. Go toNeurology.org/Nfor full disclosures.
Acknowledgment
The authors thank Marie Cécile Henry Feugeas for her work in data acquisition for this study.
Appendix Authors
Footnotes
Go toNeurology.org/Nfor full disclosures. Funding information and disclosures deemed relevant by the authors, if any, are provided at the end of the article.
↵*These authors contributed equally to this work.
CME Course:NPub.org/cmelist
- ReceivedApril 28, 2020.
- Accepted in final formJune 9, 2020.
- © 2020 American Academy of Neurology
References
- 1.↵
- 2.↵
- 3.↵
- GlassWG,
- SubbaraoK,
- MurphyB,
- MurphyPM
- 4.↵
- 5.↵
- ArbourN,
- DayR,
- NewcombeJ,
- TalbotPJ
- 6.↵
- 7.↵
- DesforgesM,
- Le CoupanecA,
- DubeauP,et al
- 8.↵
- 9.↵
- PoyiadjiN,
- ShahinG,
- NoujaimD,
- StoneM,
- PatelS,
- GriffithB
- 10.↵
- 11.↵
- 12.↵
- 13.↵
- KandemirliSG,
- DoganL,
- SarikayaZT,et al
- 14.↵
- 15.↵
- 16.↵
- BeyroutiR,
- Adams我,
- BenjaminL,et al
- 17.↵
- 18.↵
- 19.↵
- 20.↵
- GuoT,
- FanY,
- ChenM,et al
- 21.↵
- 22.↵
- 23.↵
- SubramaniamS,
- ScharrerI
- 24.↵
- HungEC,
- ChimSS,
- ChanPK,et al
- 25.↵
- 26.↵
- ToledanoM,
- DaviesNWS
- 27.↵
- 28.↵
- 29.↵
- YehEA,
- CollinsA,
- Cohen我,
- DuffnerPK,
- FadenH
- 30.↵
- 31.↵
- AbsintaM,
- CorteseIC,
- VuoloL,et al
- 32.↵
- PapatsirosVG,
- StylianakiI,
- PapakonstantinouG,
- PapaioannouN,
- ChristodoulopoulosG
- 33.↵
- 34.↵
- ParpiaAS,
- LiY,
- ChenC,
- DharB,
- CrowcroftNS
Letters: Rapid online correspondence
-
Reader response: Neurologic and neuroimaging findings in patients with COVID-19: A retrospective multicenter study
- AnandKumar,Assistant Professor,Department of Neurology,Banaras Hindu University, Institute of Medical Sciences (Varanasi, India)
- NehaLall,Junior Resident, Radiotherapy & Radiation Medicine,Banaras Hindu University, Institute of Medical Sciences (Varanasi, India)
- Varun KumarSingh,Assistant Professor,Department of Neurology,Banaras Hindu University, Institute of Medical Sciences (Varanasi, India)
- AbhishekPathak,Associate Professor,Department of Neurology,Banaras Hindu University, Institute of Medical Sciences (Varanasi, India)
Submitted October 03, 2020
REQUIREMENTS
If you are uploading a letter concerning an article:
You must have updated your disclosures within six months:http://submit.neurology.org
Your co-authors must send a completedPublishing Agreement Formto首页Staff (not necessary for the lead/corresponding author as the form below will suffice) before you upload your comment.
If you are responding to a comment that was written about an article you originally authored:
You (and co-authors) do not need to fill out forms or check disclosures as author forms are still valid
and apply to letter.
Submission specifications:
- Submissions must be < 200 words with < 5 references. Reference 1 must be the article on which you are commenting.
- Submissions should not have more than 5 authors. (Exception: original author replies can include all original authors of the article)
- Submit only on articles published within 6 months of issue date.
- Do not be redundant. Read any comments already posted on the article prior to submission.
- Submitted comments are subject to editing and editor review prior to posting.
You May Also be Interested in
More Online
Dr. Steven Greenberg and Dr. Erika Williams
► Watch
Related Articles
Topics Discussed
Alert Me
Recommended articles
- Views & Reviews
Presentations and mechanisms of CNS disorders related to COVID-19Marta Bodro, Yaroslau Compta, Raquel Sánchez-Valle et al.
Neurology: Neuroimmunology & Neuroinflammation, December 11, 2020 - Review
Potential Neurologic Manifestations of COVID-19Anna S. Nordvig, Kathryn T. Fong, Joshua Z. Willey et al.
Neurology: Clinical Practice, June 30, 2020 - Article
Impact of Coronavirus Disease 2019 in a French Cohort of Myasthenia GravisGuilhem Solé, Stéphane Mathis, Diane Friedman et al.
Neurology, February 10, 2021 - Resident & Fellow Section
Pearls & Oy-sters: Facial nerve palsy in COVID-19 infectionYihui Goh, Darius L.L. Beh, Andrew Makmur et al.
Neurology, May 21, 2020


