格林-巴利综合征的安慰剂和活跃的武器COVID-19疫苗临床试验
时间联系并不意味着因果关系
有报道称,格林-巴利综合征(GBS)和颅神经病变发生期间或之后不久严重急性呼吸系统综合症冠状病毒2 (SARS-CoV-2)感染。1,2最近的一些已知感染引发GBS。最近的流行病学队列研究没有发现冠状病毒疾病之间的因果关系的证据2019 (COVID-19)和GBS。3有一个适度的风险GBS归因于任何疫苗接种(约1 - 3其他病例每百万接种季节性流感的人),4这引起了全球的可能性COVID-19疫苗接种运动可能会导致一些人发展GBS。5文档提交给美国食品和药物管理局紧急使用授权强生COVID-19疫苗,d26.COV2。年代,a recombinant, replication-incompetent adenovirus serotype 26 (Ad26) vector encoding a full-length and stabilized SARS-CoV-2 spike protein, however, include reports of 2 patients, 1 in the placebo and 1 in the active arm of the trial, developing GBS within 2 weeks of receiving an injection.6,7在这里,我们报告的参与者接受疫苗的临床特征(5×1010病毒颗粒)预期剂量的临床实践和讨论为什么这里不能用于建立一个因果疫苗接种和GBS的发病之间的联系。
病例报告
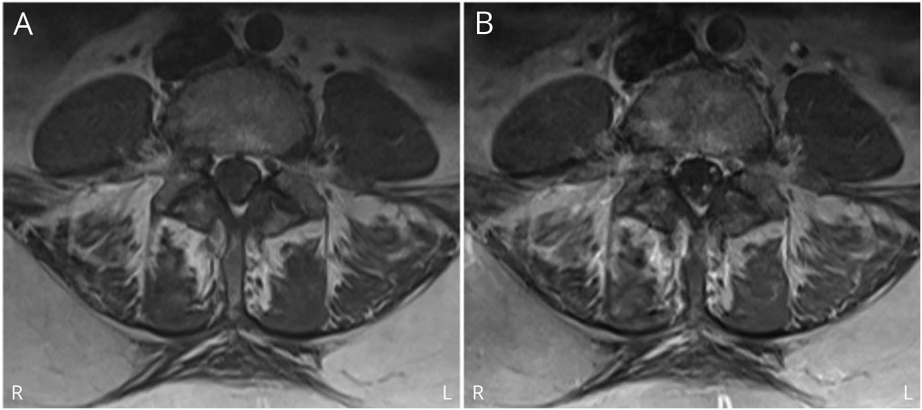
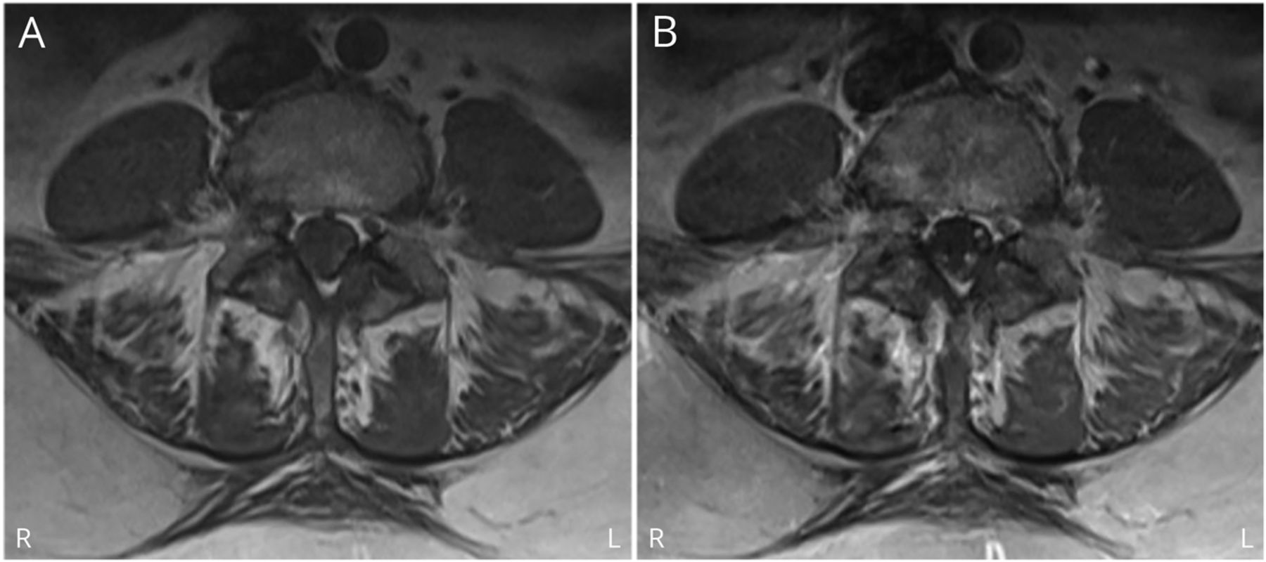
一个60岁的女人有偏头痛病史的她平时的健康状况,当她参加疫苗试验。逆转录酶聚合酶链反应(rt - pcr)测定SARS-CoV-2和抗体检测呈阴性筛选之前接种疫苗。她收到了疫苗在2020年12月10日。她仍远没有任何呼吸道和胃肠道症状,直到10天接种疫苗后,当她开始在她的后背和腿疼痛。有人看见她出现症状后进行的一项研究的访问4天(2020年12月24日)和当时的PCR分析SARS-CoV-2是负面的。第二天,她醒来,头痛,恶心,呕吐,和复视,她去了医院。神经系统检查正常,但她一夜之间治疗偏头痛。头痛和复视坚持出院后,12月27日,2020年,她被送到医院,这次是在神经学服务。首页考试那天显示左眼内斜眼中线的目光和双边眼部绑架赤字但强度、四肢感觉和反应都是正常的。到了第二天,她的症状已经发展到双边面部无力和麻木,反射消失,2/5疲软的双腿。 MRI of the lumbar spine demonstrated enhancement of the cauda equina (图)。脑部核磁共振是正常的。腰椎穿刺显示增加开启压力(29厘米H2O)和脑脊液蛋白升高(140 mg / dL), 9有核细胞,正常葡萄糖(63 mg / dL)。电生理学的研究2天入院后显示正常的复合肌肉和感觉神经动作电位和没有延迟响应(腓骨和胫骨F-waves后H-reflexes)的腿。针肌电图显示神经源性招聘在腿部肌肉(快速发射单元)。这些发现在GBS的最早的电生理学的异常。Antiganglioside抗体呈阴性。SARS-CoV-2 rt - pcr是在入学和重复了两次,导致负面的。她用静脉注射免疫球蛋白治疗2 g / kg / 2天开始于12月29日,2020年。她的力量慢慢改善,她出院康复入学后10天。
讨论
两名患者在强生COVID-19疫苗试验发达GBS注射后10天:1是安慰剂的胳膊,在活跃的疫苗的手臂。GBS的发病率是相同的双臂的审判。我们的病人在疫苗的手臂没有任何临床特征区分她从典型GBS患者。从现有证据,不可能画出因果推断协会COVID-19疫苗接种和GBS的发展。避免把COVID-19疫苗不良事件,并澄清GBS的风险是否等于或高于基准利率的人口,或由于风险报告等其他疫苗的季节性流感疫苗,大规模流行病学研究和荟萃分析的数据需要从几个不良事件监测系统,之前就曾有大流行和大规模疫苗接种的研究(例如,H1N1流感。4设定的全球疫苗接种的努力,是不可能得出这样的结论:任何特定情况下与疫苗有关。大荟萃分析显示年度原油GBS成年人发病率大约是8-19每百万8;我们预计,在10亿人,在8000 - 19000年每年将开发GBS。这意味着当我们向着目标前进10亿人注射疫苗来对抗COVID-19(希望这一数字将会更高),许多人将开发GBS的巧合在几周内接种疫苗。9偶然,我们希望看到900 - 2200人发展GBS在6周内收到1剂量疫苗(如强生(Johnson & Johnson)或1500 - 3700在10周内服用疫苗接种的方法(例如,辉瑞和现代化)。我们必须小心避免把不良事件的疫苗接种计划。9时间联系并不意味着因果关系。这一事实1其他强生疫苗试验的参与者也发达GBS后10天注射安慰剂支持论点的巧合而不是因果关系。神经学家必须教育和安抚病人,公众和政策制定者的安全性和合理性COVID-19疫苗更GBS的报告和其他自身免疫性疾病可能会出现。基于经验与其他疫苗接种计划和不良的监测系统中的数据COVID-19疫苗聚集到目前为止,接种疫苗的好处超过COVID-19感染的风险和相关的发病率和死亡率。我们建议之前GBS患者没有接受任何COVID-19疫苗接种禁忌,他们应该尽快接种疫苗。
研究资金
作者报告没有针对性的资金。
信息披露
霍尔德马尔克斯Loza博士,博士,约翰逊博士和朝圣者报告没有披露。阿马托博士曾为强生公司医学顾问委员会,Alexion, Sarepta, CSL贝林,Strongbridge制药公司。去首页Neurology.org/N为充分披露。
附录的作者
脚注
去首页Neurology.org/N为充分披露。资金信息和披露认为作者相关的,如果有的话,年底提供这篇文章。
编辑、页面1021年
- 收到了2021年1月21日。
- 接受的最终形式2021年3月11日。
- ©2021美国神经病学学会的首页
引用
- 1。↵
- 2。↵
- 3所示。↵
- 4所示。↵
- 5。↵
- 6。↵
FDA介绍文档。詹森Ad26.COV2。年代vaccine for the prevention of COVID-19: vaccines and related biological products advisory committee meeting。2020年。2021年3月22日通过。fda.gov /媒体/ 146217 /下载。
- 7所示。↵
- SadoffJ,
- Le空对空导弹米,
- ShukarevG,等
- 8。↵
- 9。↵
- 卢恩国会议员,
- Cornblath博士,
- 雅可布公元前,等
信:快速的网络通信
-
作者回复:格林-巴利综合征的安慰剂和活跃的武器COVID-19疫苗临床试验
- 安东尼阿玛托,神经学家,布莱根妇女医院和哈佛医学院
2021年6月11日提交 -
读者反应:格林-巴利综合征的安慰剂和活跃的武器COVID-19疫苗临床试验
- 贾斯汀Willer,参加神经学家,贾斯汀Willer MD电脑
2021年5月31日提交
你可能也会感兴趣
提醒我
推荐的文章
- 编辑
平息公众担心格林-巴利综合征和COVID-19接种疫苗——布尔多特博士那双丹尼斯•Killestein et al。
首页神经学,2021年4月6日 - 审查
COVID-19的潜在神经症状安娜·s . Nordvig凯瑟琳·t·方约书亚z开松机等。
首页神经学:临床实践,2020年6月30日 - 邀请的文章
COVID-19和神经肌肉疾病阿曼达·c·队旗,安东尼·a·阿马托et al。
首页神经学,2020年4月13日 - 文章
脑病与严重COVID-19目前单位的神经与血管的改变没有证据强有力的存在拉斐尔Bernard-Valnet, Perriot,马修-卡纳莱斯等。
首页神经学:神经免疫学和神经炎症,2021年6月16日


