2022年5月24日
;98 (21)
住院医师及研究员组
教学神经影像:双侧多侧小回畸形所致药物难治性癫痫伴发育性构音障碍
曼达岛Goveen,Ayush阿加瓦尔,Ajay Garg,查看ORCID配置文件阿恰尔·库马尔·斯里瓦斯塔瓦
第一次出版2022年4月4日,
DOI: https://doi.org/10.1212/WNL.0000000000200665
曼达岛Goveen
来自新德里全印度医学科学研究所神经内科(m.g.首页, a.a., A.K.S.)和神经放射学(A.G.)。
Ayush阿加瓦尔
来自新德里全印度医学科学研究所神经内科(m.g.首页, a.a., A.K.S.)和神经放射学(A.G.)。
Ajay Garg
来自新德里全印度医学科学研究所神经内科(m.g.首页, a.a., A.K.S.)和神经放射学(A.G.)。
阿恰尔·库马尔·斯里瓦斯塔瓦
来自新德里全印度医学科学研究所神经内科(m.g.首页, a.a., A.K.S.)和神经放射学(A.G.)。
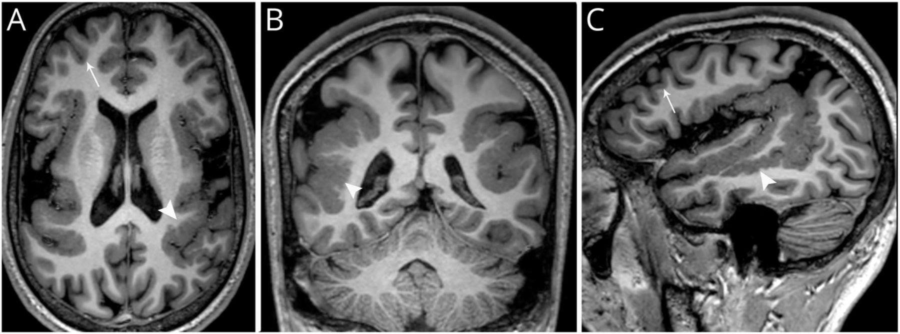
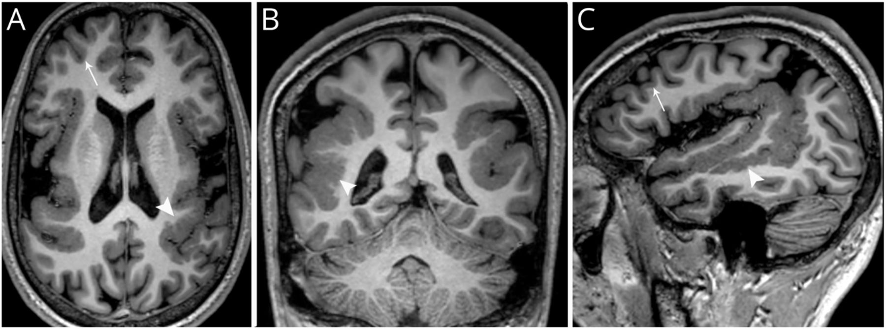
一个15岁的男孩提出了5年顽固性局灶性癫痫发作,每天4-6次。癫痫发作的符号学描述为左半边身体麻木,接着是强直姿势和头部向左移动,并持续30秒的意识丧失。其他症状包括认知障碍,言语迟缓和言语困难。神经心理学评估显示智力和认知能力受损。脑部MRI显示双侧左半球多小回症(图中,得了)。BPP是一种皮质发育畸形1特点是Sylvian裂缝变宽,异常小的脑回和浅沟数量增加。患者表现为构音障碍和难治性癫痫。2
图1
轴位(A)、冠状面(B)和矢状面(C) t1加权图像显示皮层表面沿双侧侧裂和颞上沟呈波动和不规则
与额极灰质(箭头)相比,多微回皮层明显增厚,灰质交界处(箭头)也可见点状和不规则。
研究资金
作者报告说,没有针对性的资助
信息披露
作者没有报告与手稿相关的披露。去首页Neurology.org/N完整的信息披露。
附录的作者
脚注
去首页Neurology.org/N完整的信息披露。
提交和外部同行评审。主编是罗伊·斯特劳德三世,医学博士、医学博士、医学硕士。
- 收到了2021年11月4日。
- 接受最终形式2022年3月16日。
- ©2022美国神经病学学会首页
信件:快速在线通信
本文没有发表评论。
需求
如果你上传的是与文章有关的信件:
您必须在六个月内更新您的信息披露:http://submit.首页neurology.org
您的共同作者必须发送一份完整的出版协议表格来首页在您上传您的评论之前,员工(不需要主要/通讯作者,因为下面的表格就足够了)。
如果你是在回复一篇关于你原创文章的评论:
您(和共同作者)不需要填写表格或检查披露信息,因为作者表格仍然有效
并适用于信件。
提交规格:
- 投稿必须少于200字,参考文献少于5篇。参考文献1必须是你正在评论的文章。
- 投稿者不得超过5人。(例外:原作者回复可以包括文章的所有原作者)
- 只可提交6个月内发表的文章。
- 不要多余。在提交之前,阅读任何已经张贴在文章上的评论。
- 提交的评论在发布之前要经过编辑和编辑的审查。


