珍珠和卵巢:患有抗ri抗体和乳腺癌的妇女的步态不稳定,颌骨肌张力障碍和水平复视
摘要
一名40岁女性因6个月的进行性步态障碍、下肢主要无力、僵硬、跌倒、颌骨肌张力障碍、水平复视和体重减轻入院。神经系统检查显示水平凝视麻痹,下颌开口受限伴可触及咬肌肥大,痉挛性麻痹伴持续阵挛和足底向上反应。MRI显示脑桥背侧、髓质和上颈髓中央灰质t2高信号异常延伸至C3,未见钆增强。CSF蛋白和免疫球蛋白(IgG)指数轻度升高,伴有CSF特异性低克隆条带。小鼠脑间接免疫荧光和免疫印迹法检测脑脊液和血清中抗ri的神经自身抗体阳性。水通道蛋白-4 (AQP4)-IgG和髓磷脂少突胶质细胞糖蛋白(MOG)-IgG均为阴性。患者接受甲强的松龙1 g,持续5天,静脉注射免疫球蛋白2 g/kg, 2天,同时强的松锥型和肉毒毒素注射治疗颌骨肌张力障碍。PET-CT显示左侧腋窝淋巴结肿大,FDG摄取高。左腋窝淋巴结活检证实为局部浸润性高级乳腺腺癌。改良乳房根治术前出院后2周随访发现神经系统稳定。 Our case demonstrates a clinical triad highly suggestive of anti–Ri-associated paraneoplastic neurologic syndrome (Ri-PNS): gait instability, jaw dystonia, and horizontal gaze paresis. The more slowly progressive course and poor response to immunotherapy help distinguish it from AQP4-IgG–seropositive neuromyelitis optica spectrum disorder (NMOSD) and MOG-IgG–associated disease (MOGAD) that share similar radiographic features. Early diagnosis, prompt immunotherapy, and cancer treatment are paramount for disease stabilization.
珍珠
进行性步态不稳、颌骨肌张力障碍和水平复视三者高度提示Ri自身免疫和乳腺癌或肺癌并存。
神经系统症状往往早于癌症诊断或提示复发。
Oy-sters
尽管放射学特征重叠,但症状在数周至数月的进展有利于Ri-PNS,而NMOSD和MOGAD的最低点通常小于21天。
与颌骨肌张力障碍和阵发性喉痉挛相关的营养不良可导致发病率和死亡率。
病例报告
患者40岁,女性,有6个月的进行性步态障碍、下肢主要无力、僵硬、跌倒、下颌肌张力障碍和水平复视病史。她最初表现为轻微的步态不稳,后来发展为腿部僵硬并摔倒。在2个月内,她开始使用拐杖,到3个月时,她出现了更多的步态困难、下肢无力和抽筋,需要双侧辅助才能行走。她建议失眠者每晚只连续睡几个小时。
她出现了下巴张开困难,持续了两个多月,直到她只能用吸管进食,体重下降了20公斤。两周后,患者视力模糊,变为双眼水平复视。她入院接受检查。
神经系统检查显示心动过速高达135,左眼内斜视,双侧水平扫视几乎消失,追视平稳,收敛保留,下颌开口受限,可触及咬肌肥大,下肢主要无力和痉挛。患者上肢轻度肩关节外展5 - /5,肘关节外伸无力4+/5,右髋屈曲3/5,左髋屈曲4 - /5,右膝屈曲4+/5,左膝屈曲4+/5,右背屈曲2/5,下肢左背屈曲4 - /5。腿部的痉挛比手臂更严重。针刺、温度、关节本体感觉、振动感觉完好。深部肌腱反射弥漫性过度活跃(3+至4+),伴有持续的踝关节阵挛和双侧Babinski征。手指到鼻子的测试显示轻微的动作震颤,她的步态不稳定和痉挛需要双侧协助。
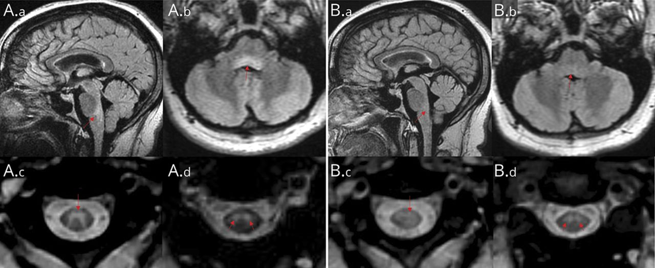
MRI显示脑桥背侧及髓质有高t2加权信号(图1A.a、A.b)及上颈髓,主要累及中央灰质(图1A.c, A.d),不加钆增强。脑脊液出现炎性改变,包括蛋白轻度升高(487 mg/L)、免疫球蛋白(IgG)指数(1.94)和CSF特异性寡克隆条带,否则无白细胞增多(4个细胞/µL)和正常葡萄糖(4.2 mmol/L)。
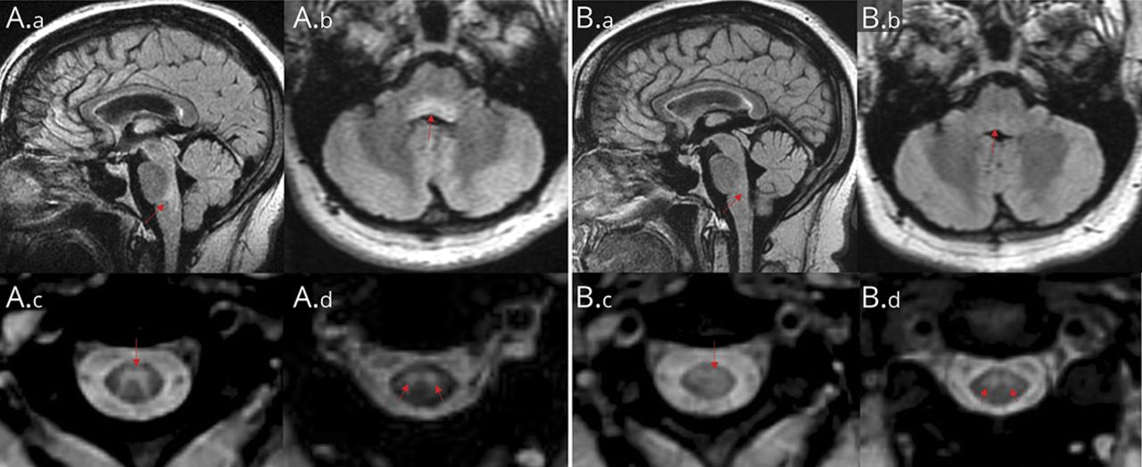
矢状位(A.a)和轴向(A.b) T2/液体衰减反转恢复(FLAIR)和轴向T2加权成像上颈脊髓C2 (A.c)和C2- c3 (A.d)中心灰质T2高信号(箭头)。1个月后,C2 (B.c)和C2-3 (B.d)水平脑干(B.a, B.b)和上颈髓t2高强度不明显。钆给药后t1加权成像无增强,扩散加权成像(DWI)及表观扩散系数(ADC)图像无扩散受限(未显示)。
小鼠脑间接免疫荧光(IIF)和免疫印迹(IIF血清滴度>1:7 680)检测血清抗ri阳性。IIF和免疫印迹也显示CSF中抗ri阳性(IIF以1:2检测;由于样本量有限,未对脑脊液滴度进行额外稀释)。细胞法检测血清水通道蛋白-4 (AQP4)-IgG和髓磷脂少突胶质细胞糖蛋白(MOG)-IgG均为阴性。维生素B1 (111 n188金宝慱官网下载mol/L)、B6 (37 nmol/L)和B12 (900 pmol/L)水平正常。另外,抗酸杆菌、隐球菌、单纯疱疹病毒、水痘带状疱疹病毒、梅毒螺旋体,包柔氏螺旋体burgdoferi.
PET-CT显示左乳肿块样密度,FDG摄取无显著增加(最大SUV 1.9),最符合良性纤维腺瘤,但也显示左侧腋窝淋巴结肿大,FDG摄取显著增加(最大SUV 6.0),怀疑为恶性肿瘤。左侧腋窝淋巴结组织病理证实:乳腺局部浸润性高级别腺癌,雌激素受体阳性,孕激素受体弱阳性,荧光原位杂交(FISH) HER2基因扩增。
患者静脉注射甲强的松龙1g,持续5天,静脉注射免疫球蛋白2g /kg,持续2天,随后口服强的松60mg,每2周逐渐减少5mg。她接受了肉毒毒素注射(20单位,咬肌;10个单位,侧翼状肌)治疗颌骨肌张力障碍,出院前改善甚微。
在2周的随访中,尽管水平注视和下肢力量有细微的改善,但她需要助行器,并表现出持续的水平注视缺陷,颌骨肌张力障碍,并额外减掉了5公斤。两周后,患者行左侧改良根治术,并发高碳酸低氧性呼吸衰竭,术后第3天在粘液清除无效/肺不张、左下叶肺炎、右下叶节段性肺栓塞的情况下需要鼻气管插管,阿哌沙班5 mg每天2次,哌拉西林/他唑巴坦7天,胸部物理治疗,气管造口术以确保长期气道。不能排除可能的阵发性喉痉挛。重复MRI显示脑干t2高信号异常的改善(图1B.a、B.b)及上颈髓(图1B.c, B.d),尽管神经系统改善有限。
讨论
我们强调了步态不稳、水平复视和颌骨肌张力障碍的三联征,应考虑进行抗神经元核自身抗体2型(ANNA-2,也称为抗ri)的检测。大多数抗ri -相关副肿瘤神经综合征(Ri-PNS)患者为女性(66%-78%),表现为进行性脑干、小脑和/或脊髓功能障碍,在数周至数月的时间内发展,绝大多数(>70%)发现潜在的乳腺癌或肺癌。1,-,3.
临床表现为中枢神经系统损伤表达神经肿瘤腹侧抗原(NOVA)-1和NOVA-2的神经解剖区域,这是一种rna结合蛋白,调节脑干和脊髓腹侧表达的神经元前mrna。1,4副肿瘤自身抗体,ANNA-2/抗ri,产生于对MHC i类T辅助细胞上加工的神经多肽的免疫介导反应。发病机制主要由ri特异性细胞毒性CD8驱动+T细胞,产生细胞毒性因子(如穿孔素和颗粒酶),靶向肿瘤和神经元表达一种共同的肿瘤神经抗原。5Ri-PNS对免疫治疗的反应通常较差,尽管早期癌症定向治疗和免疫治疗可能稳定。5
在28例Ri自身免疫患者的回顾性病例系列中,最常见的初始症状是步态不稳(86%)。6水平凝视麻痹(21%)和颌骨肌张力障碍(14%)也是常见的伴随症状。6这些发现与我们的患者在6个月内出现进行性步态障碍、共轭水平眼运动丧失和口下颌肌张力障碍相似。在一项前瞻性临床随访中,6例颌骨肌张力障碍患者中,5例营养严重受损,体重显著下降。1所有6例颌骨肌张力障碍患者均有水平注视麻痹,提示这两种结果一起发现时,可能是Ri-PNS的有用临床线索。同样,在36例抗ri患者的法国回顾性队列中,最常见的发病模式是小脑综合征(39%),表现为步态不稳定/共济失调和动作震颤,随后是脑干累及,引起动眼力障碍(17%)和口下颌或颈部肌张力障碍(17%),与本例患者相似。2在少数Ri-PNS病例中,可能会出现自主神经功能障碍(如心律失常)、阵发性喉痉挛和睡眠中枢性低通气(Ondine综合征),但一旦出现,可能会造成重大伤害,这表明有必要在怀疑时评估这些并发症。2,7
在法国队列中,33名患者(92%)被诊断为癌症。224例患者(73%)神经系统综合征早于癌症诊断。8例患者(22%)误诊,被误诊为慢性神经退行性疾病(如非典型帕金森病)或中枢神经系统神经炎症(如多发性硬化症),在此期间,潜在的癌症不会被发现。2在我们的患者中,早期无端跌倒、强直、眼下垂和震颤可能被误认为非典型帕金森病。5,8然而,经过几周到几个月的进展表明需要调查其他原因。
在鉴别诊断方面,具有针对Hu、Ma2/Ta和神经chondrin的自身抗体的患者也可能表现为进行性菱形脑炎,有或没有更广泛的神经功能障碍的证据。3.aqp4 - igg血清阳性视神经脊髓炎谱系障碍(NMOSD)和mog - igg相关障碍(MOGAD)可能表现为脑脊髓炎,并与Ri-PNS具有某些x线特征,但可通过时间特征和免疫治疗反应进行区分。神经影像学表现为累及背侧室管膜周围脑桥/髓质,并向下延伸至颈脊髓,具有中枢倾向,可能与AQP4-IgG NMOSD相似。同样地,脑干和中枢灰质为主的脊髓受累而没有MRI增强可能与MOGAD相似,然而与这些脱髓鞘疾病相关的复发预计将在数天至数周内(即少于21天)达到神经功能障碍的最低点。9相比之下,副肿瘤神经疾病通常在几周到几个月内进展缓慢,9通常对免疫治疗反应不佳。5对这些疾病进行了总结和比较表1.
Ri自身免疫的临床谱系和肿瘤伴随物正在通过详细的病例报告和病例系列得到阐明,但临床医生对这种罕见疾病可能缺乏认识。我们强调了高度提示Ri自身免疫的三联症状,应该促使在适当的临床背景下对这种疾病进行检测。这可能有助于神经系统自身免疫的早期诊断和管理,以及癌症定向治疗。尽管证据有限,但早期免疫治疗和癌症治疗对于预防不可逆的中枢神经系统损伤可能是至关重要的。此外,早期发现已知的并发症,如颌骨肌张力障碍引起的营养不良和阵发性喉痉挛,可能有助于减轻与抗ri相关的可预防的发病率和死亡率。
研究资金
作者报告说没有针对性的资金。
信息披露
作者报告没有披露与手稿相关的信息。去首页Neurology.org/N全面披露。
附录的作者
脚注
去首页Neurology.org/N全面披露。作者认为相关的资金信息和披露(如果有的话)将在文章末尾提供。
提交并经外部同行评审。处理编辑是Roy Strowd III,医学博士,医学博士,医学硕士。
- 收到了2021年11月15日。
- 最终接受2022年3月24日。
- ©2022美国神经病学学会首页
参考文献
- 1.↵
- 2.↵
- SimardC,
- Vogrig一个,
- JoubertB,等
- 3.↵
- 格劳F,
- Vogrig一个,
- Muniz-Castrillo年代,et al。
- 4.↵
- 5.↵
- 6.↵
- 7.↵
- 8.↵
- Takkar一个,
- 梅塔年代,
- 古普塔N,
- 邦萨尔年代,
- 拉尔V
- 9.↵
- 洛佩兹奇年代,
- 弗拉纳根EP
- 10.
- 弗拉纳根EP
信件:快速在线通信
需求
如果你要上传关于文章的信件:
您必须在六个月内更新您的披露:http://submit.首页neurology.org
您的合著者必须发送一份完整的出版协议表格来首页(对于主要/通讯作者不需要填写以下表格即可),然后再上传您的评论。
如果你在回复一篇关于你最初撰写的文章的评论:
您(和共同作者)不需要填写表格或检查披露,因为作者表格仍然有效
并适用于信件。
提交规格:
- 文章必须少于200字,参考文献少于5篇。参考文献1必须是你所评论的文章。
- 投稿者不得超过5人。(例外:原作者回复可以包括文章的所有原作者)
- 只可提交发稿日起6个月内发表的文章。
- 不要冗余。在提交之前阅读文章上已经发布的任何评论。
- 提交的意见在发表前须经过编辑和编辑审查。


