常规MRI标准来区分进步疾病Treatment-Induced影响中高档(3 - 4年级)神经胶质瘤
做出评论
看到评论
文摘
背景和目标后处理放射辐照高档的恶化(3 - 4年级)神经胶质瘤(HGG)可能的结果真正进步的疾病或treatment-induced效应(领带)。这些实体之间的区别是非常重要的但仍是诊断挑战。本研究评估传统MRI的诊断价值特征来区分进步疾病在HGGs领带。
方法本单中心回顾性队列研究连续,我们包括成人HGG治疗(化疗)放疗和随后开发了一种新的或增加充当常规随访MRI病灶。领带和进步疾病影像上定义为稳定/下降≥6周或响应评估神经肿瘤学学会举办的进展和组织学检查是领带没有可行的肿瘤或进步的疾病。两个神经放射评估21预选的进步病变的MRI特征。统计分析包括开发一个完整的多变量逻辑回归模型,减少诊断模型与模型和科恩kappa评分者间信度(IRR)系数。
结果共有210名患者(平均年龄61岁,四分位范围54 - 68,189名男性),包括284个病灶,其中141名(50%)有进步的疾病。进步的疾病的平均时间为2(0.7 - -6.1)和领带0.9(0.7 - -3.5)个月后放疗。多变量建模和模型降阶后,下列因素占了上风:辐射剂量(比值比(或)0.68,95% CI 0.49 - -0.93),长时间进程(TTP;或3.56,95% CI 1.84 - -6.88),边缘增强(或2.04,95%可信区间1.09 - -3.83),肥皂泡增强(或2.63,95%可信区间1.39 - -4.98),和isointense表观扩散系数(ADC)信号(或2.11,95%可信区间1.05 - -4.24)。口服补液盐> 1显示进步的疾病的几率更高。Hosmer & Lemeshow测试显示良好的校准(p= 0.947)和接受者操作特征曲线下的面积是0.722 (95% CI 0.66 - -0.78)。胶质母细胞瘤的子群,TTP,边缘增强,ADC信号意义重大。IRR之间神经放射分析显示中度到近乎完美的协议预测项目但是可怜的协议。
讨论常规MRI中的几个特征重要预测因子为进行性疾病之间的歧视和领带。然而,IRR是变量。这项研究的常规MRI特征应该被纳入一个多通道的诊断模型与先进的成像技术。
证据的分类这项研究提供了二类证据表明辐照HGGs患者,辐射剂量,再TTP,边缘增强,肥皂泡沫增强,isointense ADC信号区分进行性疾病和领带。
术语表
- ADC=
- 表观扩散系数;
- AUC=
- 曲线下的面积;
- CE=
- 对比度增强;
- EQD2=
- 等效剂量2 Gy;
- 天赋=
- fluid-attenuated反转恢复;
- HGG=
- 高级神经胶质瘤;
- IDH=
- 异柠檬酸脱氢酶;
- 位差=
- 四分位范围;
- IRR=
- 评分者间信度;
- 净现值=
- 消极的预测价值;
- 或=
- 优势比;
- PPV=
- 阳性预测值;
- RANO=
- 反应评估神经肿瘤学学会举办的;
- 中华民国=
- 接受者操作特性;
- 领带=
- treatment-induced效果;
- TTP=
- 时间发展;
- WT=
- 野生型
弥散性神经胶质瘤是最常见的成人初级intra-axial恶性肿瘤1和2016年世卫组织分类标准根据组织学和分子遗传学特征为2级,3或4。2高级神经胶质瘤(HGGs 3/4级)包括异柠檬酸脱氢酶(IDH)突变星形细胞瘤,1 p / 19 q-codeleted少突神经胶质瘤,和更积极的IDH-wild-type (WT)肿瘤。尽管积极的治疗,生存是最可怜的亚型。
后处理放射或临床恶化可能的结果真正进步的疾病或抗肿瘤的治疗效果。treatment-induced效应(领带)是由恶性肿瘤的组织损伤或周围的健康细胞,并包括临时pseudoprogression,正常后3到6个月内放疗、坏死和late-delayed放射性坏死/辐射。3,- - - - - -,8
在MRI上,领带和进步的疾病都可以显示对比度增强(CE),质量效应和水肿。附带的进行性疾病的临床症状或领带不允许可靠的歧视。4,9,10然而,这样的一个区别是进一步发展的重要政策。而进步的疾病需要改变抗肿瘤药治疗,领带不,尽管领带可能需要特定symptom-directed疗法。
当前黄金标准区分进步疾病和领带是病理检查的组织通过入侵和昂贵的脑活检。此外,组织学的进步的解释疾病和领带是很困难的。
非侵入性技术进步疾病之间的分化和领带被调查。多个研究先进的成像技术,包括灌注MRI进行。3,11然而,灌注成像的空间分辨率相对较低,对常规随访并不总是可用,可以通过运动严重退化或易感性的文物。因此本研究的重点是在传统MRI特征,可以从常规后续成像。在回顾性队列研究(18 - 169名患者),胼胝体的参与,结合多个增强病变12和中线穿越,12室增强,12,- - - - - -,16出现一个新的增强病变,15和更低的表观扩散系数(ADC)值13,16,17与进步的疾病有关,而水泡或瑞士奶酪表象中描述postradiation坏死肿瘤。18,19由于缺乏研究和小样本的大小,一个可靠的区分和领带的进步疾病常规MRI随访的大多数应用和可用的方法,还没有充分调查。
我们的主要目的是评估常规MRI的诊断价值特征来区分进步疾病患者从领带HGG和新的或增加T1 CE治疗后。本研究旨在提供一个领带或进行性疾病的决定因素和诊断模型建立预测模型来预测疾病状态。
方法
标准协议的审批、登记和病人同意
制度伦理/生物医学委员会批准使用病人数据上下文中的另一项研究中,为病人提供了书面的知情同意在将来的研究中使用核磁共振响应评价(协议16 - 342/16 - 229)。这个收集单中心前瞻性队列的回顾性分析,所有的连续,成人患者之间的组织病理学诊断为主要HGG 1月1日2011年10月1日,2017年,合格的列入。入选标准是:(1)年龄≥18年,(2)治疗放疗HGG,(3)开发一个新的或增加CE病变与常规MRI常规随访期间,可以任意大小,和(4)可参考测试,包括病理,放射,或临床随访,这是用于诊断进步多学科会议期间疾病或领带。
图像采集
后续的神经胶质瘤中,我们使用1.5 t或3 t磁共振扫描仪(飞利浦医疗保健)。常规MRI由T1W MRI和没有造影剂,T2-turbo自旋回波/ fluid-attenuated反转恢复(天赋)的MRI和ADC MRI,检索和postradiotherapy此后每3个月。T2天赋获得在一片4毫米的厚度5毫米的差距和0.41毫米的平面分辨率。后T1钆收购3方向一片厚度5毫米和6毫米的差距的平面分辨率0.9毫米或3 d切片厚度1.1毫米和1.1毫米的差距。患者与1.5或3 t MRI扫描基于可用性。我们只使用常规MRI标准,这不是混杂因素。
时间点和定义的结果
在随访中,第一个核磁共振显示一个新的或增加CE停止放疗后分类通过查看放射学报告和临床记录进展MRI(指数测试2)。MRI进展前MRI被认为是基线MRI(指数测试1)。领带和进步的疾病可以放射检查(后续成像),建立临床或病理组织。临床领带被定义为一个稳定或改善临床状态至少6周内。放射系被定义为稳定或减少CE最少6周内最新的扫描显示稳定的参考扫描。组织学领带被定义为领带没有可行的肿瘤,与≤1有丝分裂,和进步的疾病被定义为任何可行的增殖在复发肿瘤切除。放射进步疾病被定义为进一步提高病变导致进步的疾病根据反应评估神经肿瘤学学会举办的(RANO)标准。20.
临床决定因素
以下收集基线特征:性别;初次诊断年龄;类型的操作;histomolecular肿瘤类型;类型的治疗;接受的辐射剂量(等效剂量2 Gy [EQD2]);进展(TTP),定义为停止放疗和进步之间的时期疾病或领带;和临床恶化进展。组织病理学解释根据世界卫生组织2007年评级制度,回顾2016年谁更新标准。2016年世卫组织分类,病变分为(1)星形细胞瘤3年级,IDH-mutant; (2) oligodendrogliomas grade 3, 1p19q codeleted and IDH-mutant; (3) astrocytomas grade 4, IDH-mutant; and (4) glioblastomas grade 4, IDH-WT.2神经胶质瘤没有可用IDH状态被排除在这一亚组分析。神经胶质瘤级别3和4 - IDH应用(反映出缺乏一个IDH1突变R132H)被归类为胶质母细胞瘤4级,IDH-WT,包括< 10%的误分类的风险。
定量因素被分成组:年龄(50 - 59岁,49岁的≤60 - 69,≥70岁),TTP(0 - 3、3 - 5 > 5个月),肿瘤大小在基线(< 1000、1000 - 2000 > 2000 mm2)和损伤增长(不可测疾病基线,0 - 10%,10 - 25%,25 - 50%,> 50%)。TTP的分类是基于常规扫描的时间(4周postradiotherapy然后每∼3个月)。0 - 3个月的时间间隔pseudoprogression代表传统的区间,10作为原始RANO注册标准,20.而后来的著作也展示在之后的时间点pseudoprogression潜力。21
临床信息和指标测试结果的评估者可以参考测试(初级研究员K.H.v.L)。为了减少观察者偏见,蒙蔽第二观察者(有经验的神经肿瘤学T.J.S.),他没有告知该指数测试结果,检查所有的不确定性和随机样本的疾病状态。随访期为固定至少6周的至少有一个额外的随访MRI。
放射因素
我们确定哪些常规MRI特征应该评估研究文学和小组讨论。事先讨论的观察员评估MRI特征优化一致性。首先,初级研究员(K.H.v.L)的MRI特征检索,然后结果进行性疾病或领带从患者电子文件和临床特征。主要分析(回归模型),一个有经验的neuroradiologist (T.D.W.)评估MRI特征。第二个经验neuroradiologist (J.W.D.) 100名患者的样本重新评分者间信度(IRR)分析。我们估计的样本量IRR与样本量估计量的二进制结果N.cohen科恩Kappa统计。kappa在R以下值:概率评级机构将记录一个积极的诊断= 0.5,真实kappa统计根据以往的文献,k1 = 0.715,22零假设k0 = 0.4,双向的α= 0.05,= 0.8。我们发现n = 64,围捕了100(包irr, R版本4.0.3)。3观察员被蒙蔽的MRI结果评估。我们计算一个IRR(科恩kappa系数23)之间的初级研究员和第一neuroradiologist和2神经放射。反映临床实践,神经放射不执行一个共识阅读。
以下从基线的MRI影像特征进行检索:肿瘤大小和结节性和胼胝体的增强。
以下发展核磁共振成像特征进行检索:肿瘤大小,增强跨越中线,12坏死,肥皂泡增强,18,19,24瑞士奶酪增强,18,19,24波阵面传播模式,12,14,16,19T1信号、天赋信号和ADC信号,3次得分,iso -或hyperintensity而正常白质。跟踪diffusion-weighted成像b1000,该地区的新的或增加CE审查的存在视觉上明显的焦hyperintense地区。这些焦点区域的ADC值就比在正常白质ADC的测量。T1影像,该地区的新的或增加CE审查的存在视觉上明显的焦hyperintensities相比正常白质。
肥皂泡增强被定义为坏死的小区域。24瑞士奶酪增强被定义为更加分散和较大的坏死区域用肥皂泡沫增强。24波阵面传播模式被定义为模糊边界增强而不是明确的边界。12
以下特点从比较基线和检索过程扫描:肿瘤的比例增长,新的增强,14,15多个新的增强,12,16增加边际外科腔周围的增强,15新结节性增强,14,- - - - - -,16新胼胝体的增强,12,14,- - - - - -,16新的或增强透明隔,增加12新的或增加室增强,12,- - - - - -,16增加,稳定,或减少质量效应,天赋异常。室增强被定义为渗透到心室的边界。14质量效应是在沟的变窄的情况下,压缩心室或中线的转变。以防多个新的或增加充当病变进展扫描检测,这些病变都分开了。所有关于肿瘤大小与RANO标准进行测量20.并指出单独为每个病变。显示在重要的MRI特征图1和无意义的MRI特点是聚集在eFigure 1 (links.lww.com/WNL/B943)。
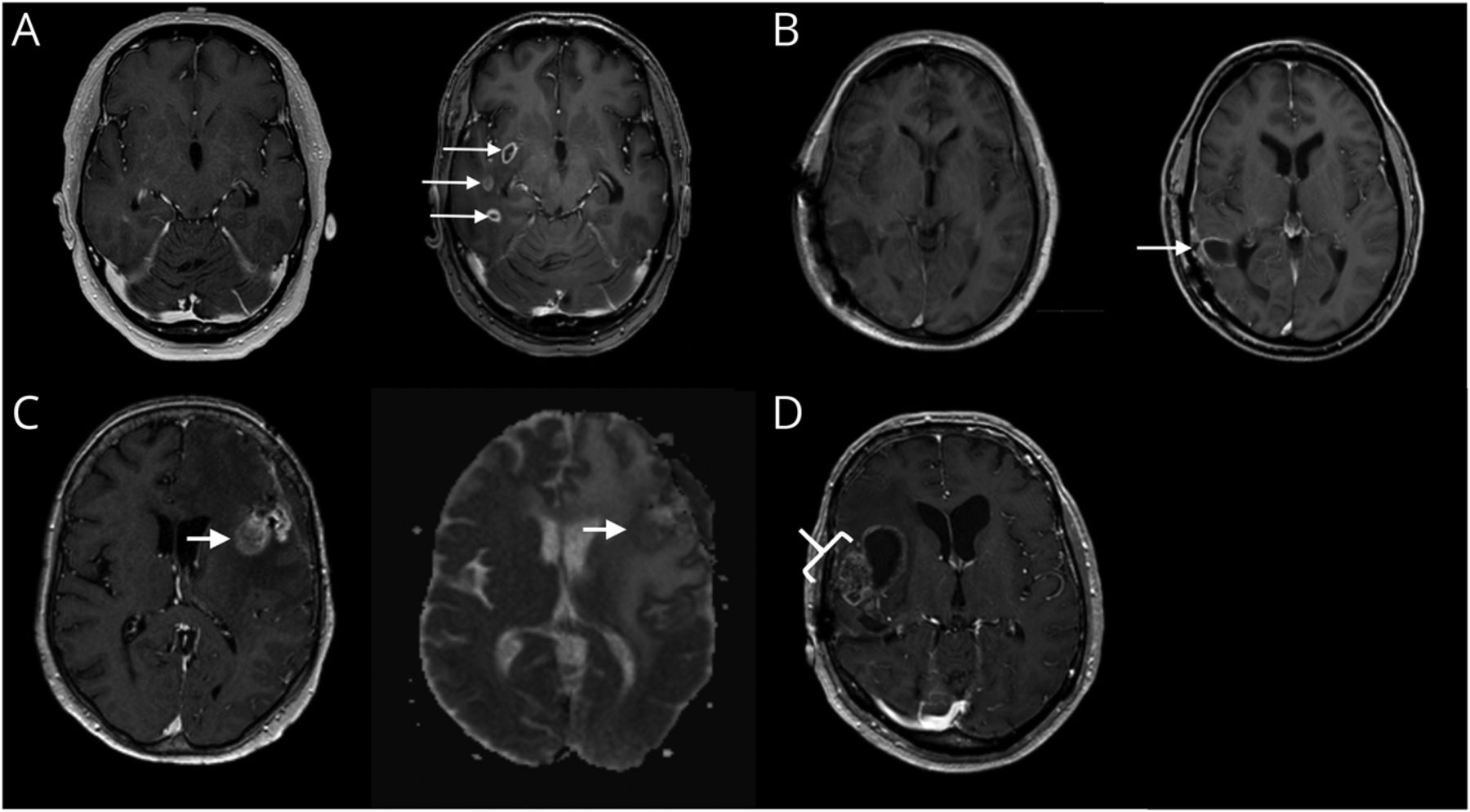
(A)一个64岁的男子与一个异柠檬酸脱氢酶(IDH)野生型(WT)胶质母细胞瘤放疗治疗。左:MRI术前基线。右:随访MRI(基线后93天)与多个新的对比增强。(B)一个58岁的男人IDH-WT胶质母细胞瘤与temozolomide-based放化疗治疗。左:基线MRI切除后手术腔。右:随访MRI(基线后91天),增加手术腔的边缘增强。(C) 65岁的女人胶质母细胞瘤,IDH状态未知,接受放射治疗。左:T1-MRI造影剂。右:Isointense ADC信号与健康的白质。(D) 66岁的男子与一个IDH-mutated星形细胞瘤4级处理temozolomide-based放化疗:肥皂泡增强(小区域坏死17)。
分析
分析包括以下步骤:
缺失值分析
单变量逻辑回归分析,生成优势比(ORs)与独联体和95%p值,灵敏度,特异性、正面和负面预测值(PPV NPV)显著或最高的物品
检查多重共线性
多变量逻辑回归分析和诊断的发展模式与口服补液盐,95% CIs,p值;Hosmer和Lemeshow拟合优度测试是用于校准的模型;诊断精度计算了接受者操作特征(ROC)曲线和曲线下面积(AUC) 95%可信区间
预测模型:模型减少了向后与SPSS二元逻辑回归手工输入方法和似然比检测阈值p值为0.1时为了开发一种预测模型
我们没有任何不确定的指数或引用测试。如果一个行列式是失踪> 5%的情况下,它被排除在进一步分析。缺失值的< 5%,listwise删除了。我们选择不执行多个归责,因为我们有一个非常低的失踪,导致有限的归责的优势。决定因素之间的多重共线性研究通过计算皮尔逊相关系数。的绝对值的相关系数> 0.4,我们建立了共线性和选择最相关的变量,根据可用的文学。口服补液盐> 1显示进步的疾病的几率更高。
一个异常值和极值分析直方图。描述性统计的基线特征包括频率或范围意味着(SD)或中位数(四分位范围(差))。所有统计分析2-tailed和SPSS进行,版本25.0和26.0(2017年和2019年,IBM SPSS统计)。重要性水平组p< 0.05。
评估模型的普遍性,(1)患者进行了亚组分析一个可用histomolecular诊断根据2016年世界卫生组织标准,(2)与temozolomide-based放化疗治疗胶质母细胞瘤患者(代表最普遍的亚组病人),(3)患者的肿瘤大小或多或少地超过1000毫米2和超过2000毫米2和(4)患者组织学参考测试vs患者临床/影像学参考测试(后续)。2个不同的参考标准有其优点和缺点,和组织学通常被认为是最明确的证据提供进步的疾病或领带,尽管所选子集和抽样误差的风险。25对于每个子群,进行步骤1到步骤4。
数据可用性
数据没有提供在文章中由于空间的限制可能是共享的(匿名)的要求任何合格的调查员为了复制过程和结果。
结果
病人的选择
在2011年1月1日,10月1日,2017年,694名患者接受HGG的诊断。这些病人,210年共有284处病灶是包含在目前的研究中。图2描述了病人选择过程。我们记录的基线特征表1每损伤与损伤特征进行了统计分析。在这些病变中,141年终于被列为进步143年疾病和领带。所有病变189例(284 67%)属于男性病人。年龄从23到88年。参考测试224病变是临床或放射,而在60病变组织学是可用的。特定的子组化疗太小进行统计分析和组一分为二成子群只接受放疗和一群接受放疗和化疗。平均随访期间患者放射参考测试是20周(范围5.4 - -206.4)和患者组织学参考测试7.9周(范围1.4 - -71)。在一个病人,放射后续还不到6周,我们跟着病人临床。这个病人有他最后的后续扫描显示进步的疾病指数5.4周后测试2和3周后死亡。目前没有病人接受贝伐单抗的指数测试2。
缺失值
缺失值分析没有透露任何因素缺失值> 5%。行列式缺失值< 5%是脑出血患者的基线扫描1 5病变预防胼胝体的增强的评价标准。此外,4例显示缺失的因素,因为他们的主要治疗没有表现在我们的机构。基线的MRI扫描和扫描进展,但没有扩散或T1扫描无对比剂。这些缺失的值被认为是不太可能大大影响了结果。
诊断模型
在单变量逻辑回归(显著的结果表2),联合治疗与放射治疗只(或0.36,95% CI 0.18 - -0.70)和更高的放疗剂量预测领带(或0.67,95%可信区间0.48 - -0.93)。此外,一个更长的TTP(或2.29,95%可信区间1.29 - -4.07),坏死(或2.02,95%可信区间1.06 - -3.85),和肥皂泡沫增强(或2.21,95%可信区间1.30 - -3.76)与进步的疾病。坏死的诊断测试属性(95% CI)包括敏感性124 141(88%)(81% - -93%),特异性31 143 (22%)(15% - -29%),PPV 124 236(53%)(50% - -55%),和48 NPV 31 (65%) (51% - -76%)。诊断测试属性(95% CI)的肥皂泡增强包括敏感性112 141(79%)(72% - -86%),特异性52 143 (36%)(29% - -45%),PPV 112 203(55%)(52% - -59%),和NPV 52 81 (64%) (55% - -73%)。
我们发现相关的各种变量之间的多重共线性多变量逻辑回归分析影响资格(eTable 1,links.lww.com/WNL/B943)。因此,以下因素被拒绝:肿瘤大小在发展,增强跨越中线,质量效应与基线相比,坏死,新的增强病灶,先前存在的胼胝体的增强。根据以往的文献和单变量分析,5因素合并与另一个公认的决定因素:尽管共线性类型的治疗(与辐射剂量共线)和新胼胝体的增强(共线的新增强透明隔和新/室增加增强)。
多变量逻辑回归分析(表2)确认之间的关联的风险较高的辐射剂量和领带(或0.73,95%可信区间0.53 - -0.99)。此外,较长的TTP(或4.15,95%可信区间1.86 - -9.26),肥皂泡增强(或2.96,95%可信区间1.39 - -6.30),和isointense ADC信号与正常白质(-5.98或2.67,95% CI 1.19)显示与进步的疾病。模型的校准与Hosmer被认为是好的,Lemeshow拟合优度测试(p= 0.660)和ROC曲线显示一个可接受的歧视(AUC 0.771, 95%可信区间0.72 - -0.83)。详细结果eTable 2所示(links.lww.com/WNL/B943)。
预测模型
在减少完整的诊断模型(鉴于eTable 2中,links.lww.com/WNL/B94318)生成预测模型,在逐步向后选择决定因素被排除在外。生成的预测模型(表3)包含1预测领带(更高的辐射剂量)和5进行性疾病的预测(TTP,开发多个新病灶,边缘增强,增加肥皂泡沫增强,isointense ADC信号与正常白质相比)。Hosmer和Lemeshow测试显示p校准值的0.947和AUC达到0.722 (95% CI 0.66 - -0.78)。
谁2016分类
246的一个子集病变可以(重新)分类根据世卫组织2016年标准(eTable 3,links.lww.com/WNL/B943)。单变量分析预测领带和不断发展的疾病会表现出与年龄和2预测的领带(联合治疗与放射治疗和放疗剂量更高)和5进行性疾病的预测(胶质母细胞瘤亚型,TTP,坏死,肥皂泡增强,和波前传播增强)。在多变量分析中,胶质母细胞瘤亚型(或16.03,95%可信区间2.48 - -103.43),一个更长的TTP(或6.78,95%可信区间2.50 - -18.34),和肥皂泡沫增强(或3.05,95% CI 1.23 - -7.58)预测进步疾病和更高的放疗剂量(-0.57或0.14,95% CI 0.03)与领带。
其他子群分析
表4提出了重大项目的子群与temozolomide放化疗治疗胶质母细胞瘤。eTable 4 (links.lww.com/WNL/B943显示详细的结果。分析显示一个关联随着年龄的增长,我们发现2额外的进步预测疾病(TTP长和边缘增强)。在多变量分析中,较长的TTP(或5.58,95%可信区间2.00 - -15.53),增加边际增强(或5.18,95%可信区间1.69 - -15.94),和一个isointense ADC信号与白质(-8.98或3.02,95% CI 1.02)与进步的疾病。
关于子群肿瘤大小低于1000毫米2(eTables 5和6,links.lww.com/WNL/B943),单变量分析发现2预测领带(放疗、化疗治疗和放疗剂量)和6进行性疾病的预测(TTP,更大的肿瘤大小在基线和进展,坏死,肥皂泡增强,和波前传播增强)。在多变量分析中,更高的辐射剂量(-0.94或0.68,95% CI 0.49)与领带。更长的TTP(或5.75,95% CI 2.37 - -13.96)和肥皂泡沫增强(或2.50,95%可信区间1.09 - -5.73)与进步的疾病。由于小样本大小,没有可靠的结论可以为子组病变大小从1000到2000毫米2(n = 18)或> 2000 mm2(n = 11)。
单变量分析小组放射/临床随访(n = 224) (eTable 7,links.lww.com/WNL/B943)显示2预测领带(类型的治疗和EQD2)和3进行性疾病的预测(女性性,临床恶化,hypointense ADC信号与白质相比)。在多变量分析中,EQD2(-0.99或0.69,95% CI 0.48)预测的领带,并增加天赋异常与白质(或6.49,95%可信区间1.24 - -33.92),和一个hypointense ADC信号与白质(-15.55或4.31,95% CI 1.19)与进步的疾病。
我们执行一个事后三年级的亚组分析神经胶质瘤和子群的组织学参考测试。由于较少的病变(n = 35 nonglioblastomas和n = 60组织学参考测试),我们执行一个分析与预测模型的重要物品(eTables 8和9,links.lww.com/WNL/B943)。子群星形细胞瘤,少突神经胶质瘤,oligoastrocytomas肥皂泡增强与进步的疾病(或9.33,95%可信区间1.91 - -45.58)。我们没有进行多变量分析。子群的组织学参考测试,肥皂泡增强(或6.06,95% CI 1.04 - -35.24)和边缘增强(或8.67,95%可信区间1.34 - -56.12)在单变量和多变量分析与进步的相关疾病。
评分者间信度
IRR (表5)之间的初级研究员和neuroradiologist轻微到中度。IRR 2神经放射显示中度到近乎完美的协议之间的显著预测项目的主要分析。IRR的其他决定因素普遍不高。
证据的分类
这项研究提供了二类证据表明辐照HGGs患者,辐射剂量、长时间发展,边缘增强,肥皂泡沫增强,isointense ADC信号区分进行性疾病和领带。
讨论
在这个单中心队列研究,传统MRI的诊断价值特征评估的能力区分进步疾病患者和领带HGG后放疗。各种特征与疾病相关的独立地位(进步的疾病和领带)。之后将这些特征纳入一个诊断和预后模型,模型的校准和准确性被认为是好的(AUC-ROC 0.722)。时机出现的进步的病变是一个重要因素,TTP超过5个月后放疗有最高的预测价值(或3.56,95%可信区间1.84 - -6.88)。这个发现在所有复制但3子组:随着时间的推移,领带变得越来越进步的疾病变得更有可能,说明HGG的发展的必然趋势。
辐射剂量,表示为EQD2,预测除了2小的子组。更高的放疗剂量之前有关越来越纯净的领带26,- - - - - -,29日;相反,低放射剂量可能不太有效,导致更高的进步的疾病的几率。
肥皂泡增强被形容为一个领带在以前文献的特征。18,19,24相反,在我们的大多数分析,肥皂泡增强疾病进展的预测因子。这可能是肥皂泡的模糊定义的结果,也导致在一个温和的IRR系数(0.414)尽管先天的规范。目标群体的影响,因为在前面引用的研究中,使用非标准,加速辐射方案18和近距离放射疗法,19这不同于我们的治疗方案和可能的发展增加治疗相关的坏死。此外,这些作者只包括领带,他们没有研究患者肥皂泡增强进步疾病患者。18,19
次于或isointense白质ADC信号与正常相比能显著进步的疾病在大多数多变量分析。这是符合先前的研究报道低复发组ADC值而不再发生的组。13,16,17
模型降阶后,多个新病灶,边缘增强预测进行性疾病增加。项目多个新的病变可以反映复发的预后不良,多病灶的扩散神经胶质瘤。多个病灶和边缘增强并不是独立的,在早些时候重要预测因子,较小规模的研究。12,14,- - - - - -,16
这些结果支持EQD2决定因素的有效性,TTP,肥皂泡增强,似乎重要预测因子。在4组、小样本大小可以解释选择的结果。与先前的文献相比,室增强并不是一个疾病进展的预测在我们的研究中。12,- - - - - -,16然而,只有1的5组作者指出(遥远)室增强作为一个独立的预测多变量分析后早期发展。13
可靠性之间神经放射比初级研究员和neuroradiologist之间,但仍然变量,可怜的许多特点。这表明这些MRI项应由训练有素的评定等级的评估;另外,机器学习技术可以用来克服评分者间信变异。我们发现科恩Kappa多个新的病变(0.855)与卡帕多灶肿瘤复发的早期报告(0.836)。22然而,我们kappa系数为其他决定因素与之前文献相比比较低。15,22不完美的IRR可能导致一些MRI特征的不完美的诊断价值。
研究试图区分进步疾病和领带与常规MRI特点与治疗大型患者样本HGGs是罕见的。几年之大样本量聚集在我们的研究中构成一个代表性的HGG患者和基线特征相媲美的temozolomide-based放化疗的随机试验。30.结果的鲁棒性是由亚组分析的结果,这在很大程度上按照人口总研究的结果。
应该提到的各种限制。首先,研究设计是单中心和回顾。治疗和随访符合国家指导方针(国米)。然而,在我们的机构,正常的扫描间隔postradiation 4周内开始,紧随其后的是3个月扫描,而不是一个时间间隔。这可能导致一个高度的领带,因为这些影响更容易出现在第一次放射治疗3个月后,可能会错过的。9,10
第二,疑似放射进步disease-wherein患者治疗的医生认为疾病诊断进步obvious-were排除在这项研究中,可能会生成一个选择偏见。然而,这被认为是合理的选择,因为本研究的目的是确定预测标志物的临床相关的上下文进行性疾病之间的不确定性和领带。
第三,混合病变包括部分与进步的疾病以及领带被认为是进步的,进步以来疾病组件指导预后和临床管理。因此,放射特性分析在这项研究可能更准确检测进步的疾病比领带。
最后,我们没有考虑使用地塞米松,因为剂量地塞米松不一致在患者电子文件。这可能是负责低估或高估的领带,领带地塞米松被认为是对症治疗,这可能会影响外观和大小的MRI异常。
我们研究的目的是找到健壮的、一致的预测领带或进行性疾病,一般不开发一个适用的预测模型;这样一个模型没有使用灌注MRI似乎不完整。因此,没有外部验证这个模型将被执行。然而,它仍然是具有挑战性的辨别进步疾病和领带,即使灌注磁共振成像。3,11,31日,32此外,灌注磁共振成像不包括在RANO标准或临床试验的标准化的脑部肿瘤成像协议和灌注参数截止值不被广泛认可。20.,31日,33广泛批准临床使用radiomics参数更加稀缺和相关机器学习/人工智能技术进步疾病的歧视和领带。考虑到这些知识差距灌注磁共振成像和radiomics最优使用现成的特性从临床数据和常规MRI仍然是重要的。
我们确定了预测从常规MRI特征区分真正的进步疾病和treatment-induced HGGs放疗后效果。IRR的这些特性较差。我们建议这些因素应该被包括在未来潜在的诊断研究领带,整合传统MRI物品如灌注磁共振成像和radiomics与现代技术。
研究资金
基金会Vrienden联电乌特勒支和StophersenkankerNU基金会。
信息披露
作者报告没有披露相关的手稿。去首页Neurology.org/N为充分披露。
承认
这项工作是支持StophersenkankerNU基金会的捐赠T.J.S.和F.Y.F.D.V. Vrienden联电乌特勒支和基础。资金组织没有参与研究设计或执行。
附录的作者
脚注
去首页Neurology.org/N为充分披露。资金信息和披露认为作者相关的,如果有的话,年底提供这篇文章。
提交和外部同行评议。该处理编辑丽贝卡·伯奇,医学博士。
类的证据:NPub.org/coe
- 收到了2021年9月20日。
- 接受的最终形式2022年2月22日。
- 版权©2022年作者(年代)。发表的Wolters Kluwer健康,公司代表美国神经病学学会。首页
这是一个开放的分布式根据文章知识共享归属许可4.0 (CC),它允许无限制的使用、分配和复制在任何媒介,提供最初的工作是正确引用。
引用
- 1。↵
- 2。↵
- 3所示。↵
- 4所示。↵
- 5。↵
- 6。↵
- 7所示。↵
- 冬天科幻小说,
- LoebelF,
- 吕弗勒J,et al。
- 8。↵
- 9。↵
- 10。↵
- 11。↵
- 12。↵
- 13。↵
- 14。↵
- 15。↵
- 他一个,
- 伯纳LP,
- Barritault米,et al。
- 16。↵
- 17所示。↵
- 嗯巴勒斯坦权力机构,
- EskeyCJ,
- 邓恩摩根富林明,
- 拥抱海尔哥哥
- 18岁。↵
- 19所示。↵
- 20.↵
- 21。↵
- 22。↵
- 23。↵
- 24。↵
- 25。↵
- 海德尔作为,
- van den弯曲米,
- 温PY,et al。
- 26岁。↵
- 27。↵
- Nazem-Zadeh先生,
- 查普曼CH,
- ChenevertT,et al。
- 28。↵
- 29。↵
- 30.↵
- 31日。↵
- 32。↵
- 33。↵


