2022年9月20日
;99 (12)
住院医师及研究员组
教学神经影像:下丘脑参与儿童视神经脊髓炎谱系障碍
查看ORCID配置文件胡安·埃斯特班·科特-奥罗斯科,查看ORCID配置文件纳塔莉亚Velez-Tirado
第一次出版2022年7月8日,
DOI: https://doi.org/10.1212/WNL.0000000000201011
胡安·埃斯特班·科特-奥罗斯科
来自波哥大新格拉纳达中央军事大学军事医院首页儿科神经内科;Clínica del Country (J.E.C.-O。, N.V.-T.), Bogotá;儿科免疫和过敏科(n.v.t t .), Fundación医院Pediátrico La Misericordia,波哥大,哥伦比亚。
纳塔莉亚Velez-Tirado
来自波哥大新格拉纳达中央军事大学军事医院首页儿科神经内科;Clínica del Country (J.E.C.-O。, N.V.-T.), Bogotá;儿科免疫和过敏科(n.v.t t .), Fundación医院Pediátrico La Misericordia,波哥大,哥伦比亚。
一名10岁女孩出现了15天的日间过度嗜睡和突然入睡、睡前幻觉、低食欲和行为改变的病史。脑部核磁共振检查显示双侧下丘脑病变(数字).我们发现血清中AQP4 -IgG抗体阳性,脑脊液中下丘脑泌素水平低(93 pg/mL)。诊断为继发于视神经脊髓炎谱系障碍的发作性睡病。服用糖皮质激素后病情好转。接受硫唑嘌呤免疫抑制维持治疗10个月后,随访神经影像学无新病变。任何间脑性临床综合征,如伴有下丘脑累及的嗜睡症,都应提示进行血清AQP4 -IgG检测。1,2
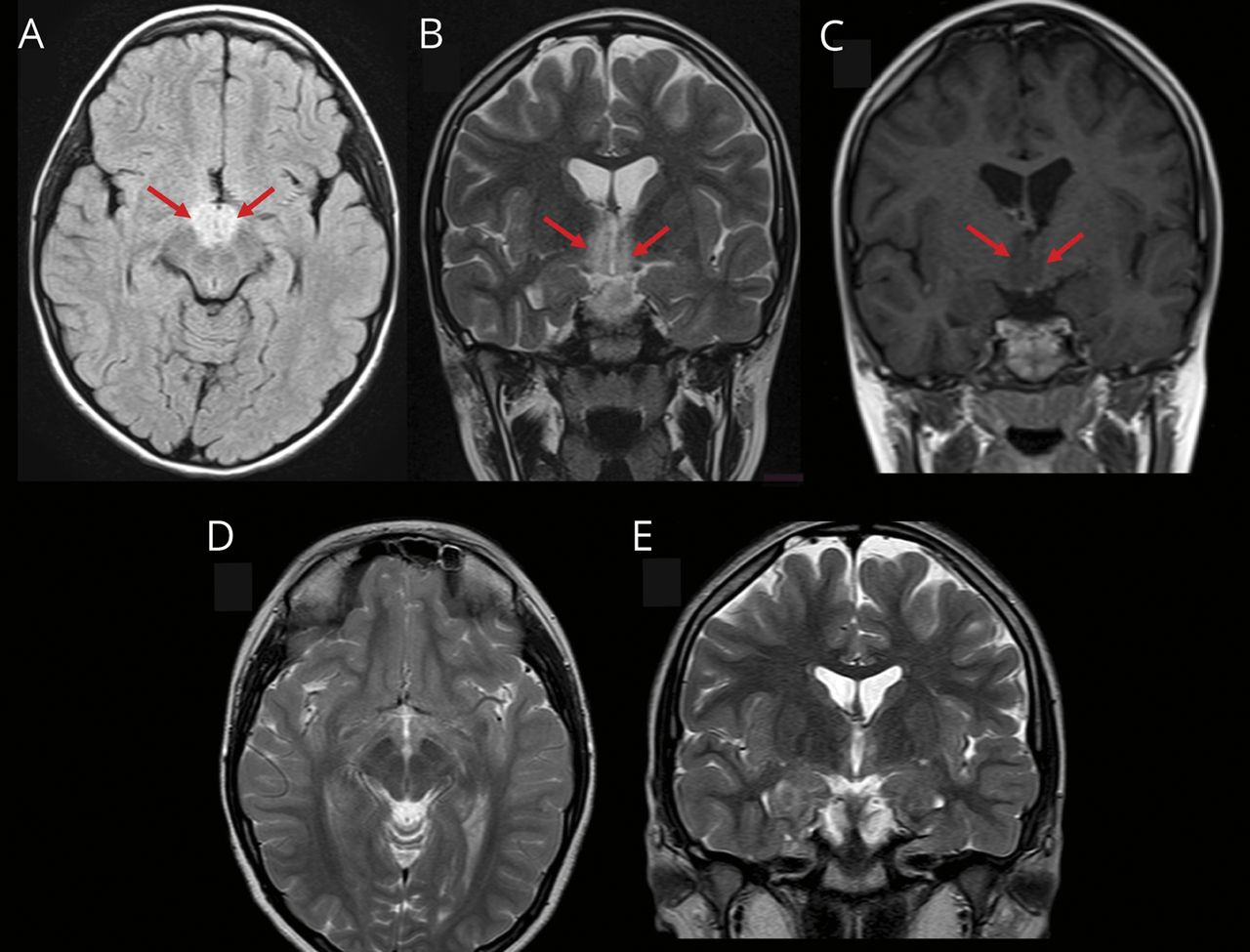
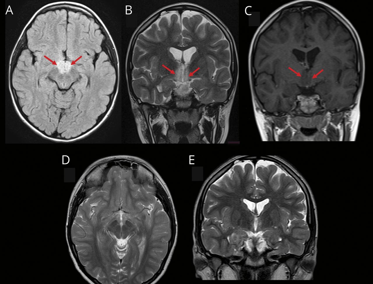
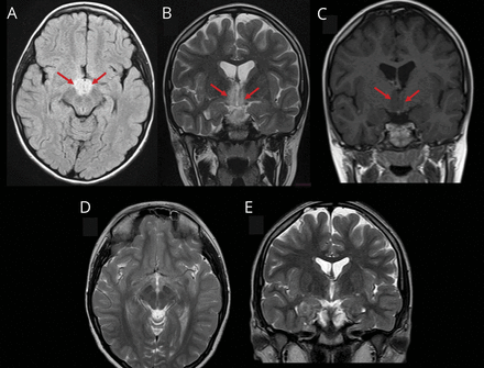
数字
脑部核磁共振成像
症状2周后的脑MRI, (A)轴向液体衰减反转恢复成像和(B)冠状位t2加权图像显示双侧下丘脑高强度非强化病变(C)(箭头)。(D)和(E) t2加权图像显示诊断和治疗3个月后病变的分辨率。
研究资金
没有针对性的资金报告。
信息披露
作者报告没有相关披露。去首页Neurology.org/N全面披露。
附录的作者
脚注
去首页Neurology.org/N全面披露。
↵*这些作者对这项工作做出了同样的贡献。
提交并经外部同行评审。处理编辑是Roy Strowd III,医学博士,医学博士,医学硕士。
- 收到了2022年1月14日。
- 最终接受2022年6月9日。
- ©2022美国神经病学学会首页
信件:快速在线通信
本文尚未发表评论。
需求
如果你要上传关于文章的信件:
您必须在六个月内更新您的披露:http://submit.首页neurology.org
您的合著者必须发送一份完整的出版协议表格来首页(对于主要/通讯作者不需要填写以下表格即可),然后再上传您的评论。
如果你在回复一篇关于你最初撰写的文章的评论:
您(和共同作者)不需要填写表格或检查披露,因为作者表格仍然有效
并适用于信件。
提交规格:
- 文章必须少于200字,参考文献少于5篇。参考文献1必须是你所评论的文章。
- 投稿者不得超过5人。(例外:原作者回复可以包括文章的所有原作者)
- 只可提交发稿日起6个月内发表的文章。
- 不要冗余。在提交之前阅读文章上已经发布的任何评论。
- 提交的意见在发表前须经过编辑和编辑审查。


