2022年9月27日
;99 (13)
住院医师及研究员组
教学神经影像:大脑中的星空
李魏,德仁侯,香港晒黑
第一次出版2022年7月19日,
DOI: https://doi.org/10.1212/WNL.0000000000201035
香港晒黑
来自长沙市第一医院神经医学中心(w.l.h t);中南大学湘雅第三医院神经内科(D.H.)首页
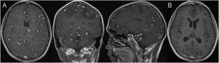
一名30岁hiv阳性男性,有经常河浴史,出现头痛和发烧。神经系统检查显示脑膜刺激。脑MRI增强T1WI显示颅内弥漫性结节,信号强度高,呈星空状(图一个).血清IgG抗体裂体吸虫属采用ELISA法检测种。高通量测序证实脑脊液中存在血吸虫病。这些发现和缺乏肉芽肿疾病表明诊断为播散性脑血吸虫病。给予糖皮质激素和吡喹酮治疗(60 mg/kg, 2次/天,连续5天)。一年后,MRI随访显示病灶明显吸收(图B).
研究资金
本研究由长沙市自然科学基金资助(No.Kq2202008)。
信息披露
作者报告没有相关披露。去首页Neurology.org/N全面披露。
附录的作者
脚注
去首页Neurology.org/N全面披露。
提交并经外部同行评审。处理编辑是Roy Strowd III,医学博士,医学博士,医学硕士。
- 收到了2022年1月14日。
- 最终接受2022年6月15日。
- ©2022美国神经病学学会首页
信件:快速在线通信
本文尚未发表评论。
需求
如果你要上传关于文章的信件:
您必须在六个月内更新您的披露:http://submit.首页neurology.org
您的合著者必须发送一份完整的出版协议表格来首页(对于主要/通讯作者不需要填写以下表格即可),然后再上传您的评论。
如果你在回复一篇关于你最初撰写的文章的评论:
您(和共同作者)不需要填写表格或检查披露,因为作者表格仍然有效
并适用于信件。
提交规格:
- 文章必须少于200字,参考文献少于5篇。参考文献1必须是你所评论的文章。
- 投稿者不得超过5人。(例外:原作者回复可以包括文章的所有原作者)
- 只可提交发稿日起6个月内发表的文章。
- 不要冗余。在提交之前阅读文章上已经发布的任何评论。
- 提交的意见在发表前须经过编辑和编辑审查。


