2022年10月11日
;99 (15)
住院医师及研究员组
神经影像教学:眼外肌转移所致水平复视
Merve Atik,大卫·内森·阿巴内尔,查看ORCID配置文件Ugur森
第一次出版2022年8月19日
DOI: https://doi.org/10.1212/WNL.0000000000201061
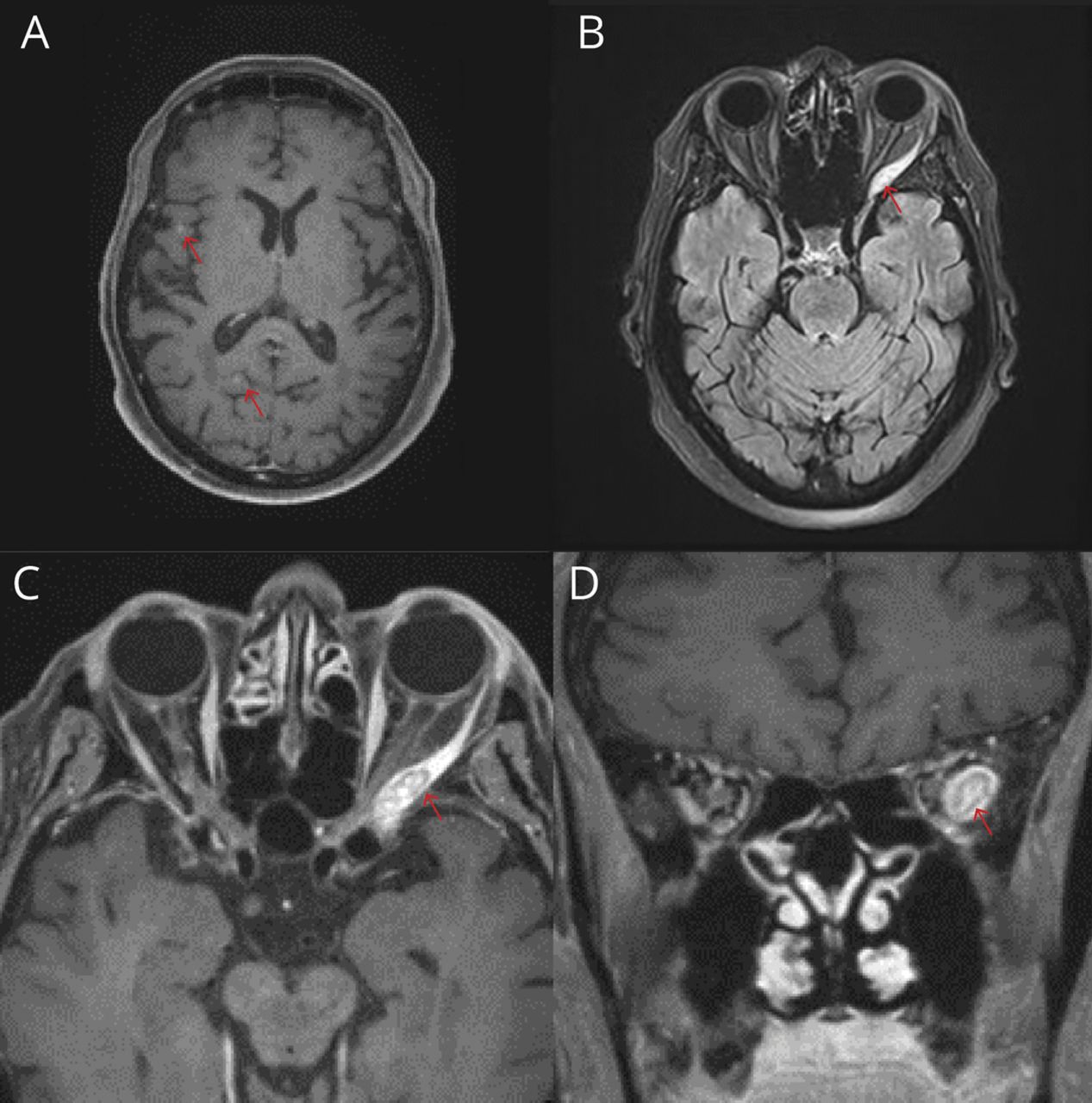
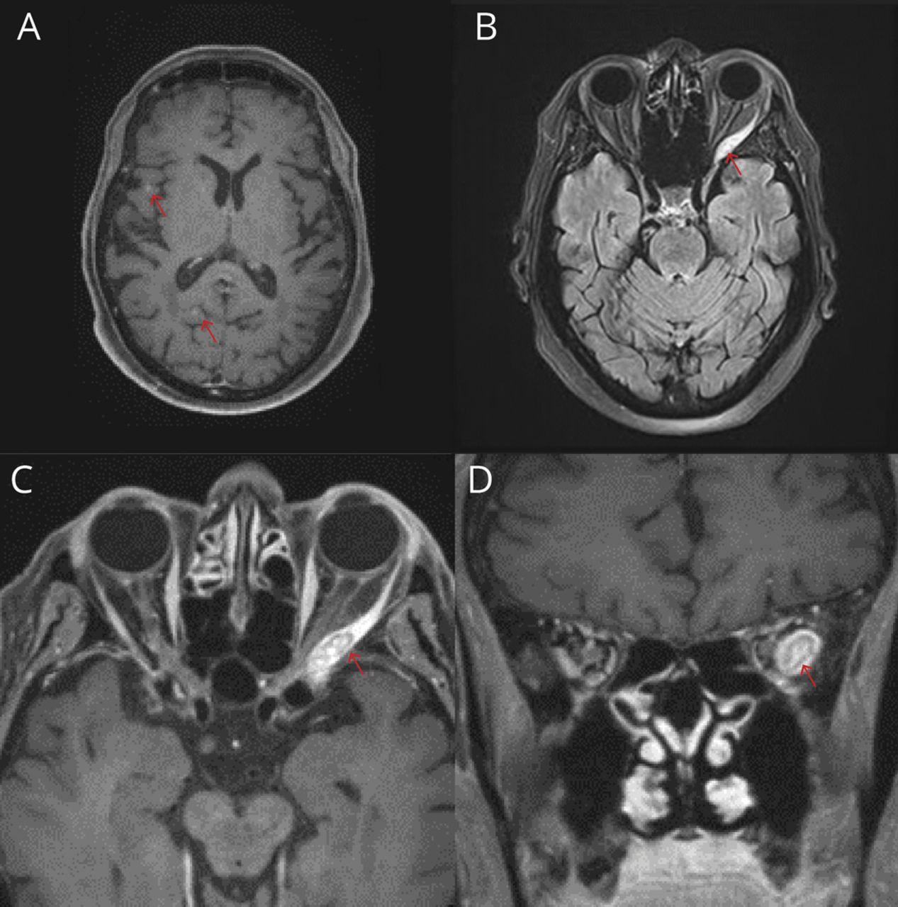
一位80岁的女性,先前切除了右大腿黑素瘤,出现急性双眼复视。神经学检查显示左眼不能外展,右眼内收正常。其他检查正常。左外侧直肌麻痹可由缺血性、炎症、自身免疫、压迫或肿瘤病因引起。MRI轨道发现了一个与眼外肌转移一致的增强的左外侧直肌病变。脑部核磁共振显示多处亚厘米强化病灶(数字).1随后的淋巴结活检证实是转移性黑色素瘤。尽管进行了放疗和bfraf靶向全身治疗,患者病情迅速恶化,并在初始评估后5个月死亡。2
数字
大脑和轨道的核磁共振成像
(A) t1加权MRI轴向对比后显示亚厘米右额部和右枕部强化病灶与转移一致(箭头)。(B) t2加权液体衰减反转恢复MRI显示左外侧直肌病变(箭头)。(C)眶侧t1加权MRI增强后,轴向视图显示累及左外侧直肌的病变增强(箭头)。(D)眶侧t1加权MRI增强后,冠状面显示病变增强,累及左外侧直肌(箭头)。
研究资金
没有针对性的资金报告。
信息披露
作者报告没有相关披露。去首页Neurology.org/N全面披露。
附录的作者
脚注
去首页Neurology.org/N全面披露。作者认为相关的资金信息和披露(如果有的话)将在文章末尾提供。
提交并经外部同行评审。处理编辑是Roy Strowd III,医学博士,医学博士,医学硕士。
- 收到了2022年1月10日。
- 最终接受2022年6月17日。
- ©2022美国神经病学学会首页
参考文献
信件:快速在线通信
本文尚未发表评论。
需求
如果你要上传关于文章的信件:
您必须在六个月内更新您的披露:http://submit.首页neurology.org
您的合著者必须发送一份完整的出版协议表格来首页(对于主要/通讯作者不需要填写以下表格即可),然后再上传您的评论。
如果你在回复一篇关于你最初撰写的文章的评论:
您(和共同作者)不需要填写表格或检查披露,因为作者表格仍然有效
并适用于信件。
提交规格:
- 文章必须少于200字,参考文献少于5篇。参考文献1必须是你所评论的文章。
- 投稿者不得超过5人。(例外:原作者回复可以包括文章的所有原作者)
- 只可提交发稿日起6个月内发表的文章。
- 不要冗余。在提交之前阅读文章上已经发布的任何评论。
- 提交的意见在发表前须经过编辑和编辑审查。


