临床推理:急性运动性哑和脑病
第一节
70岁,右撇子的非洲裔美国人面对严重的腹部和分散的5天的身体疼痛。他有一个血红蛋白SC (Hb SC)疾病的历史,类风湿性关节炎(RA),引起肺栓塞(PE)当前演示之前1年。他不是在抗凝或任何精神性药物但最近完成了一个简短的类固醇关节疼痛。最初的评估包括一个完整的血细胞计数、综合代谢面板中,脂肪酶,尿液文化、血培养,尿液毒理学和CT扫描的腹部和骨盆(有或没有对比)。诊断评估是不起眼的,除了22000 / mm的白细胞增多3认为是类固醇。他随后治疗疾患危机静脉输液和阿片类药物。住院的第三天,他非语言,无法跟随命令,并把他的四肢。检查发现正常的生命体征。他是醒着的自发的眼睛打开间歇跟踪;学生是对称的,圆的,和活性;oculocephalic反射是完整的;和面部不对称。脑膜发炎缺席的迹象。他没有声音,没有遵循命令,有稀疏的自发的反重力运动四肢,对有害刺激没有反应。 He had hyperreflexia in upper and lower extremities with normal tone. No involuntary movements were observed. Neuroimaging included CT angiography of the head and neck and MRI of the brain (without contrast) inclusive of gradient echo sequences (GREs), which did not reveal an acute intracranial process. MRI of the brain without contrast with susceptibility-weighted imaging (SWI) performed a week later showed supratentorial multifocal microhemorrhages (图)。脑脊液显示0白细胞(白细胞),1红细胞(RBC)蛋白的升高178 mg / dL,黄变症。脑电图显示没有痫性放电。他无法解释的神经衰落,他被转移到我们的医院。
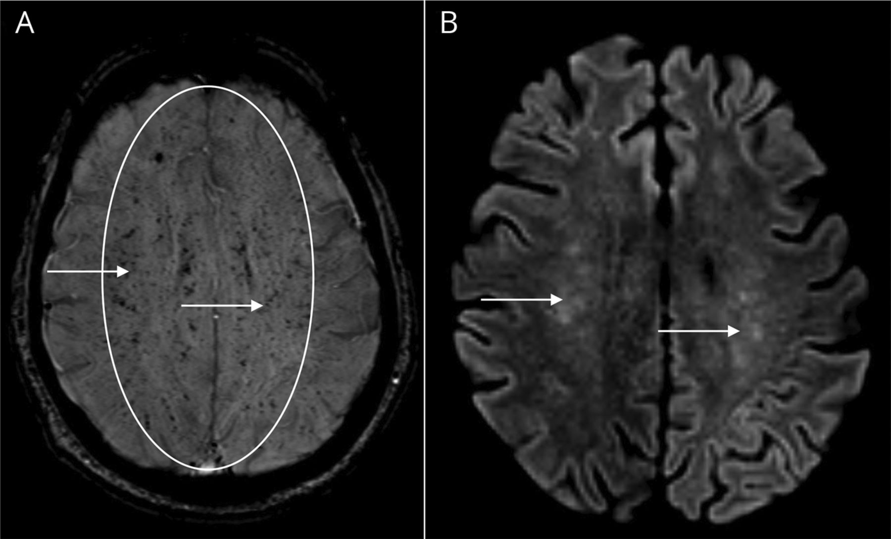
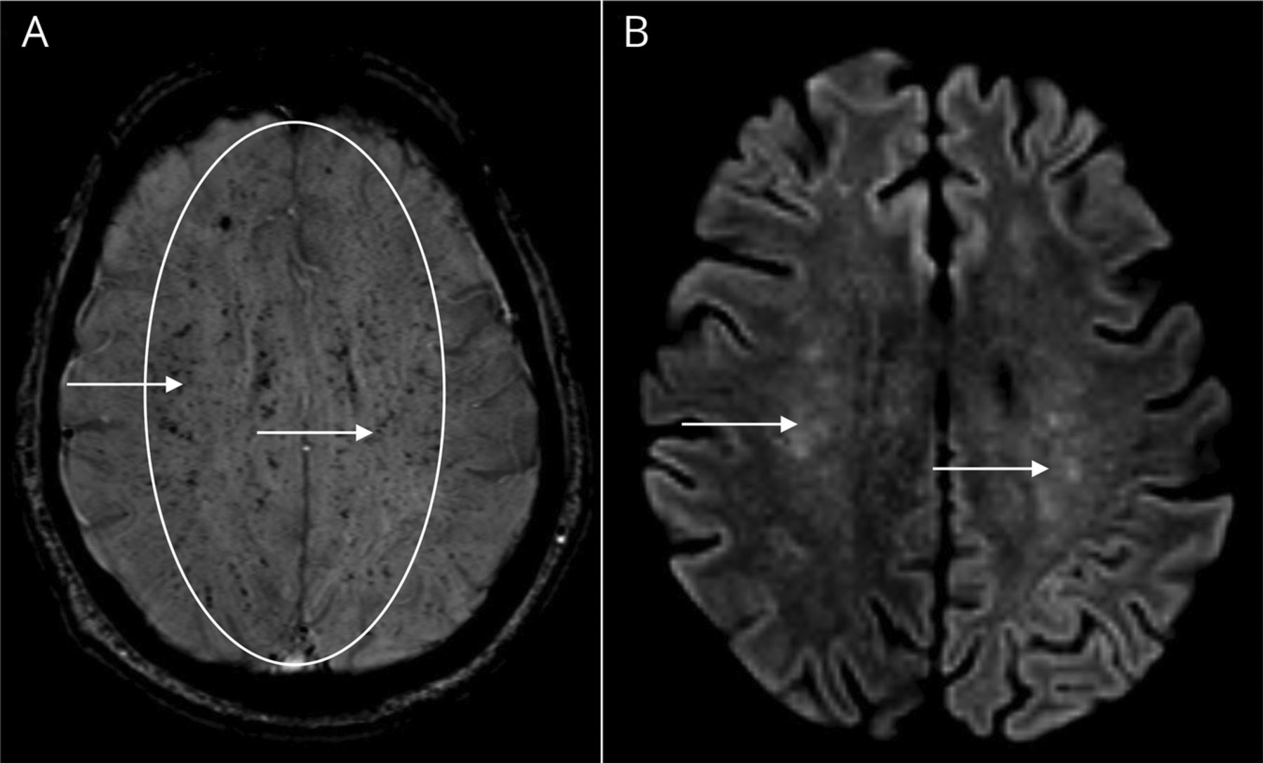
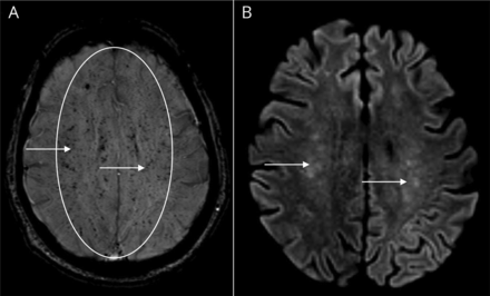
(一)瑞士核桃仁的皮质下区域中的多个hypointensities模式。(B)与星际模式多种hyperintense醉酒驾车,片状双边深度和皮层下白质病变。醉酒驾车= diffusion-weighted成像;瑞士= susceptibility-weighted成像。
第二节
缺乏自发运动和理解有障碍的演讲的特点是无着丝粒的缄默症。这是一个比较罕见的神经综合征的特点是一个完整的意识水平和感觉运动能力,但同时降低目标导向行为和减少情绪。患者处于清醒状态存在深刻的冷漠,似乎对疼痛、口渴或饥饿。无着丝粒的缄默症必须从昏迷分化(通过代谢异常或形成疝症状)、脑干脑炎或渗透性脱髓鞘等病变,药物过量(阿片类药物,苯二氮卓类等),基底动脉闭塞(闭锁综合症),和紧张症。
无着丝粒的缄默症可以挑战本地化。它可以造成破坏大脑的许多领域包括背外侧或前额叶皮层,fronto-subcortical电路、前扣带皮层,尾状核、壳核、中脑、丘脑(双边)。1
运动不能缄默症的鉴别诊断包括缺血性或出血性梗塞,感染性脑栓子,一级或二级血管炎、细菌性或病毒性脑炎,脱髓鞘疾病如多发性硬化症或急性播散性脑脊髓炎,自身免疫性脑炎、结节病、其他炎症性脑炎,原发性中枢神经系统恶性肿瘤(即。、淋巴瘤)和leptomeningeal癌扩散。
几个fronto-subcortical结构包括前扣带皮层、基底神经节,内侧丘脑腹侧被盖区和黑质致密部参与动机和行为的神经回路启动。在我们的病人中,扩散microhemorrhages可能扰乱了fronto-subcortical结构之间的集成的信息导致无着丝粒的缄默症。
第三节
涉及多个血管领土的出血性中风的鉴别诊断包括外伤、脑淀粉样血管病,可逆的大脑血管收缩综合症,转移性肿瘤、脓肿和中枢神经系统或全身性感染,如心内膜炎、血管炎、凝血障碍。MRI大脑有或没有对比显示异常T2 fluid-attenuated反转恢复hyperintensity线性和结节性增强和广泛的瑞士hypointensities涉及放射冠、胼胝体、室周的白质,基底神经节,脑干和小脑展示microhemorrhages符合“核桃仁”模式和扩散限制在双边深度和皮层下白质符合“星际”模式(图)。这种模式提出脑脂肪栓塞(CFE)。
重复CSF研究显示2 WBC /µL 5红细胞/µL,高蛋白质(129 mg / dL),和黄变症红细胞(860 /µL)。黄变症很可能从广泛的微血管损伤,脑脊液蛋白高,血脑屏障的破坏。CSF性病研究实验室和脑膜炎面板,流式细胞术,细胞学稀松平常的。重复实验室检测显示减少血红蛋白从10到8 g / dL,血小板50000 /毫米3网织红细胞计数的11%,乳酸脱氢酶688 U / L,铁蛋白780 ng / mL,结合珠蛋白< 30 mg / dL。碱性磷酸酶是170 IU / L。ADAMTS13活动是正常的111%。188金宝慱官网下载外周血涂片显示异常的红细胞形态与泪珠细胞,镰状细胞,血小板,红细胞和大量的有核,提示骨髓坏死。
抗核抗体面板和类风湿因子阳性1:160效价,符合他的RA的诊断。c反应蛋白和红细胞沉降率正常,RA恶化或其他自身免疫性疾病可能。细小病毒B19 IgM、莱姆病抗体和肝炎面板稀松平常的。
血液、尿液、脑脊液文化稀松平常的。CT的胸部,腹部和骨盆有无对比是不起眼的感染或肿瘤病因。肱骨头的部分可视化人体CT扫描证实骨坏死。经胸廓的超声心动图没有透露任何植物或瓣膜病理,以及泡沫研究正常排除感染性或静脉栓子。数字减影血管造影的大脑并没有透露任何公开的大型或中型船血管炎。右额叶脑活检进行评估RA的设置的血管炎,脑脊液蛋白质和白细胞升高,临床表现。病理显示实质病灶出血和组织坏死与空泡形成没有证据表明炎症和血管炎。
运动性缄默症的诊断是由二级CFE。脂肪栓塞可能导致由于潜在的Hb SC疾病骨髓坏死。
诊断与diffusion-weighted当怀疑CFE应该包括磁共振成像的大脑成像(驾车)和瑞士序列。大多数CFE的报告文学在长骨骨折的设置;然而,在没有外伤的情况下,检查应包括评估骨髓坏死的原因。诊断测试应该评估人、凝血病/血栓性疾病(例如,disseminated intravascular coagulation, thrombotic thrombocytopenic purpura, antiphospholipid syndrome), autoimmune disease, infections, HIV infection/AIDS, and malignancy.
第四节
考虑到分散microhemorrhages二级CFE活动溶血的设置,我们建议紧急与12个单位的红细胞表面包装交换输血。他出现发烧输血后2天。一种传染性评估是毋庸置疑。所有四肢的胸部CT血管造影和双超声显示急性PE和右midbrachial深静脉血栓形成,因此,抗凝就开始了。眼科评估显示分散“棉花斑点,”支持血管闭塞。
虽然没有在显著改善病人的检查结束时四周住院,重复电泳显示88% Hb, 5% Hb年代,5% Hb c .月度交换输血是推荐的。未来的审判的多巴胺受体激动剂或金刚烷胺治疗运动不能被认为是,但不试着在这住院治疗。他仍然在医疗设施,3个月后,他通过由于不明原因从最初的演示。
讨论
脂肪栓塞综合征(FES)需要在体循环脂肪小滴的存在与一个可识别的临床模式如呼吸道症状、瘀斑的皮疹,神经症状,发热、血液异常,和死亡。2,- - - - - -,4这种综合症经常骨科创伤的结果也从nontraumatic骨髓坏死等事件。3脂肪栓子进入脑循环被称为脑脂肪栓子。4从《神经系统症状包括脑病,缺血性中风,出血性中风,或癫痫发作。5
镰状细胞病(SCD)可以与菲斯有关。6在81%的情况下,菲斯表现在non-Hb党卫军SCD,表明骨髓坏死,菲斯可能更有可能发生在温和的化合物如Hb SC的表型。6,7
加拿大皇家银行镰状可能导致股骨头坏死骨髓。菲斯病理生理学尚未完全阐明;然而,相信创伤后脂肪microglobules进入静脉循环。另一个理论是,生化和炎症过程支撑脂肪栓塞。4系统性栓塞机制可能涉及脂肪栓子旅行通过卵圆孔未闭;然而,这并不适用于我们的病人。4菲斯与夸张有关炎症反应和高发病率和死亡率。4到目前为止,还没有研究报道在个人CFE SCD的长期结果。
我们的Hb SC患者疾病经验丰富的急性神经认知疾患危机后下降。我们的病人的演讲是很重要的两个原因。首先,这可能是唯一的诊断报告无着丝粒的缄默症造成CFE设置的严重的神经损伤,如核磁共振。1CFE的重要影像学表现包括星际模式对醉酒驾车和核桃仁模式在瑞士。8,9第二,延迟诊断导致延迟交换输血。6,7使人放心GRE序列初始MRI大脑可能导致延迟。10瑞士序列可能是有助于作出早期诊断,因为它可能优于GRE序列检测microhemorrhages,这通常发生在《。11
《应考虑患者的镰状细胞急性神经症状。瑞士比GRE序列可能更敏感,MRI可能加快诊断。延迟交换输血可能影响结果。
研究资金
没有针对性的资金报告。
信息披露
作者报告没有相关的信息披露。去首页Neurology.org/N为充分披露。
附录的作者
脚注
去首页Neurology.org/N为充分披露。资金信息和披露认为作者相关的,如果有的话,年底提供这篇文章。
提交和外部同行评议。处理编辑器是惠特利Aamodt博士英里。
- 收到了2022年1月12日。
- 接受的最终形式2022年7月21日。
- ©2022美国神经病学学会的首页


