MRI-Visible血管周的空间和事件发生痴呆的风险
弗雷明汉心脏研究
文摘
背景和目标血管周的空间(pv)上可见核磁共振扫描可能代表中风和痴呆的病理生理学的重要方面,包括脑小血管疾病和glymphatic功能障碍。本研究旨在确定之间的关系MRI-visible pv负担和事件发生痴呆的风险。
方法本研究包括社区弗雷明汉心脏研究原始和后代群体的参与者与大脑可用MRI-PVS评级,免费的中风和痴呆。多变量Cox比例风险回归是用来获取风险比率(小时)和95%的CIs MRI-visible pv和事件痴呆之间的联系。pv额定使用验证方法在基底神经节(BG)和中枢semiovale(方案)。结果包括全因痴呆,老年痴呆(AD)和血管性痴呆(VaD)。
结果一千四百四十九名50岁以上男性(46%)包括在内。在一个平均8.3年的随访期间,全因痴呆的发生率,广告,和监督是15.8%,12.5%,和2.5%,分别。模型调整血管危险因素和心血管疾病、痴呆的风险稳步增长随着pv负担增加,上升2倍的二级pv (HR 2.44, 95%可信区间1.51 - -3.93)在参与者IV级的5倍(HR 5.05, 95%可信区间2.75 - -9.26)与年级我在全封闭pv。BG的危险增加1.6倍(HR 1.62, 95% CI 1.15 - -2.27)为II级2.6倍(HR 2.67, 95% CI 1.04 - -6.88)四年级与年级相比我pv。协会仍然重要的方案而不是BG,音量调整后白质高密度(WMHV),秘密梗塞,大脑总额。结果观察广告类似,但VaD,受限于少数事件,无统计学意义。
讨论高负担的pv方案与患痴呆症的风险增加相关,独立于血管危险因素,脑容量,WMHVs和隐蔽的梗塞。pv这个发现支持一个角色作为亚临床磁共振成像标记来识别个人在亚临床阶段高患痴呆症的风险可能会受益于早期干预。
术语表
- Aβ=
- β淀粉样蛋白;
- 广告=
- 老年痴呆;
- BG=
- 基底神经节;
- 创新艺人经纪公司=
- 脑淀粉样血管病;
- CBI=
- 秘密脑梗塞;
- 招商银行=
- 脑microbleeds;
- 方案=
- 椎体semiovale;
- 化学汽相淀积=
- 心血管疾病;
- CVSD=
- 脑小血管疾病;
- 菲律宾=
- 舒张压;
- DSM IV=
- 精神疾病诊断与统计手册(第四版) ;
- 人力资源=
- 风险比;
- 国际刑事法庭=
- 组内相关系数;
- FHS=
- 弗雷明汉心脏研究;
- pv=
- 血管周的空间;
- SBP=
- 收缩压;
- TCBVr=
- 总颅大脑体积;
- TE=
- 回声的时间;
- 通过采用=
- 血管性痴呆;
- WMHV=
- 白质hyperintensity体积
痴呆摧残了个人和家庭已拥有超过500万人的通病的影响在美国,14380万年在世界范围内,2及其普遍预计在短期内上升。1,2损伤的血管周的排水(glymphatic障碍)和脑小血管疾病(CSVD)可能发挥机械的作用在认知障碍从痴呆认知障碍。3,4神经功能与脑血管健康密切相关;因此,神经血管单元(即神经元、神经胶质和船)功能障碍5在大脑疾病可能是血管供应的功能障碍密切相关。血管周的空间(pv)的一个组件连接神经与血管的单位和更大的大脑血管,位于小血管和神经元之间的接口,和作为路线等清除代谢产物β淀粉样蛋白(Aβ)。6
动物研究表明,细动脉向大脑微循环,过渡更大的小动脉周围的pv过渡到虚拟空间7在微循环水平是富含水通道蛋白4通道,8,9形成血脑屏障的一部分,参与与间质流体和代谢物交换大脑实质隔间。减少血管周的aquaporin-4被发现在个人广告,增加Aβ沉积和Braak阶段。10额外的动物研究使用共焦显微镜检查显示血管周的体内流动的可视化,进一步表明血管周的流可能受损,因为高血压,11表明血管周的流功能障碍可能与血管危险因素如高血压带来的不利影响。
血管周的空间显示在MRI可以量化,可以反映CSVD和功能障碍的代谢物清除路线(即glymphatic功能障碍)。12,13血管周的排水功能障碍和CSVD在无症状的个体可能多年来逐步发展。因此,检测和量化的可见的pv MRI可作为亚临床血管和神经退行性变的风险和可能的标志是一个有用的工具,早期危险分层的人痴呆的风险。然而,之前荟萃分析发现相互矛盾的证据在pv和认知障碍的关系重要的研究之间的异质性和变化方法,呼吁更多的研究,以帮助确定潜在的神经退行性疾病的重要病理生理的参与。14,15针对流行痴呆的比例在美国和世界范围内,个人成为一个高危人群的早期检测基本任务和早期危险分层,反过来,对于描述和实施有效的预防措施是至关重要的为痴呆。
除了一个潜在角色痴呆风险的早期标志,pv可能反映了影响最常见的形式的零星CSVD:高血压动脉病(主要影响深刻的大脑区域)和脑淀粉样血管病(创新艺人经纪公司,影响叶的大脑区域),混合销售代表的一个相互作用或先进高血压血管损伤。16,17解剖研究这些动脉病的患病率是10%左右-30%的老年人和35% -90%的人患有痴呆症。18,- - - - - -,20.因此,pv可能代表一个亚临床生物标志物的高相关性,反映出痴呆的病理生理学的重要方面。本研究的目的是评估协会的pv事件痴呆大样本的社区和个人评估的差异本协会根据大脑pv的地形。
方法
样本
弗雷明汉心脏研究(FHS)原始和后代群体纳入本研究。原始队列(创1,N = 5209)由三分之二的成人男性和女性当时居住在弗雷明汉镇马,并检查每2年32倍。后代群体(Gen 2 N = 5124)于1971年开始招生,由最初的孩子,这些孩子的配偶。他们已经检查了每4年,现在在10日检查周期。
FHS参与者资格获得这项研究如果他们可用的pv,协变量和事件痴呆数据。参与者选择从原始及后代的同伴是50岁以上和自由的普遍痴呆、中风和其他神经疾病会影响大脑核磁共振(如肿瘤、多发性硬化症和头部创伤)。
总共有5341 pv评价MRI记录从4085年FHS参与者用相应的临床检查数据。受试者有不止一个pv评级,我们使用第一个可用的记录。4085人,1953人从原始和后代群体,年龄超过50岁的MRI扫描。一百四十名参与者被排除在外,因为普遍中风或痴呆或其他神经系统疾病,和一个额外的364名参与者被排除在外,因为丢失的结果或协变量数据,产生1449名参与者的研究样本。样本选择所示图1。
原件及后代群的弗雷明汉心脏研究参与者主要白人(91%)。
标准协议的审批、登记和病人同意
波士顿大学医学中心的机构审查委员会批准了这项研究协议,并从所有科目获得知情同意。
脑部核磁共振成像
大脑MRI收购措施,详细描述了图像处理方法。21,22参与者被成像在1 t(1999 - 2005)或1.5(2005年之后)Magnetom扫描仪(德国西门子医疗、埃朗根)。1.5 t MRI扫描仪协议包括双旋转回声日冕t2加权成像序列的3毫米相邻切片从鼻根到枕骨部的重复时间3300毫秒,回波时间(TE) TE1 20 / TE2 99 ms,回波列车长度7,视野24厘米,228×256年收购矩阵插值与激发一个456×512。1 t MRI扫描仪协议包括4毫米的双旋转回声日冕t2加权成像序列相邻切片从鼻根到枕骨部的重复时间2420毫秒,TE TE1 20 / TE2 90 ms,回波列车长度8女士,视野22厘米,182×256年收购矩阵插值与1激发256×256。
pv评级
我们使用标准的共识标准报告血管神经影像学改变标准(努力财团)23决定扩大血管周的空间的MRI特征。总之,pv符合以下标准:信号强度与CSF在所有序列,坚持穿透血管,线性(平行于渗透容器)或圆或卵圆形(垂直于穿透血管),和一个直径小于3毫米。
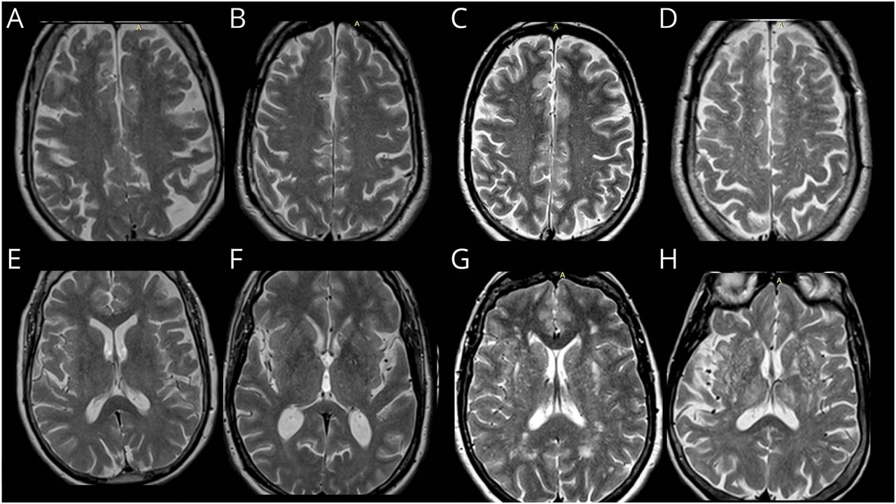
核磁共振扫描被评为3经验丰富的调查人员(neuroradiologist、血管神经学家和一个训练有素的研究助理)的受试者的人口统计学、临床和结果信息。当可用时,pv评级进行轴向核磁共振t2加权序列使用验证方法,根据他们的大脑pv地形分成中枢semiovale(方案)和基底神经节(BG)。15pv的负担是分为成绩基于pv数:我(1 - 10),二(11日至20日),3(- 40),和第四(> 40)。一个代表性的例子所示图2。
行椎体上部semiovale: (A)年级我(1 - 10 pv数),(B)二级(11日至20日pv数),(C)三级(意向pv数)和(D)年级第四(> 40 pv数)。底下一行基底神经节区:我(E)年级(1 - 10 pv数),(F)二级(11日至20日pv数),(G)三级(意向pv数)和(H)等级IV (> 40 pv数)。pv =血管周的空间,FHS =弗雷明汉心脏研究。
大的子集扫描(遗产从年长的MRI扫描数据集上图)被评为使用日冕收购,因为这个序列的高分辨率比轴向视图、评级方法类似于轴向扫描,我们最近验证,进一步提出eFigure 1 (links.lww.com/WNL/C371)的补充。扫描可用的轴向和日冕意见好分辨率显示,pv评级在BG和方案是高度相关的序列(组内相关系数(ICC) = 0.90)。扫描的差异和问题的pv类别或分化模拟解决了共识。
pv评级可靠性措施
Intrarater再现性为每个评定等级的评估,使用200扫描或20扫描(根据评定等级),2次2 - 4周。小数量的扫描测试重现性被认为是足够的广泛训练后评定等级。随机的顺序扫描了2阅读之间的会话。两分的再现性措施之间的比较主要的评定等级和二级评级机构使用200扫描和扫描。intrarater可靠性是好优秀的(ICC BG 0.76 - -0.81,方案0.76 - -0.83)。评分者间信度比较2独立读者非常好(ICC BG 0.81 - -0.86,方案0.80 - -0.81)。
评估事件痴呆
痴呆的定义使用DSM IV标准。28临床老年痴呆(AD)的诊断是基于国家标准的神经和交际障碍和中风和广告相关疾病协会明确,可能或可能的广告。29日血管性痴呆的诊断(VaD)是基于美国国家神经疾病和中风协会国际歌倒说是et l 'Enseignement en神经科学标准。30.参与者与临床广告和VaD的证据分类有两种疾病。全因痴呆包括任何类型的痴呆病例,包括广告和监督。
详细描述事件的监测方法在弗雷明汉心脏研究痴呆在其他地方发表。26,27简而言之,对痴呆进行持续监测通过弗雷明汉心脏研究临床评估,两年一次的问卷调查、年度电话健康史更新,和报告的参与者或他们的亲戚或保健提供者。关注认知症状可以提出的参与者,家庭成员,或弗雷明汉心脏研究人员或医生细微精神状态检查和评估下降> 3点的顺序访问,> 5点在所有访问,或分数低于education-specific降低点。这样的担忧引发进一步的详细的评估包括评估的所有记录,综合神经系统评估和神经心理学评价包括一个全面的认知能力的测试,面试的家庭成员,在某些情况下可用的解剖数据审查。潜在事故痴呆例裁决小组包括至少1神经学家和1神经心理学家。
从进入本研究随访间隔跨度(MRI的时间:1999年3月- 2015年8月),直到12月31日,2019年。参与者没有痴呆症的随访中(包括那些死于后续)审查的最后日期是痴呆自由。
协变量和其他研究变量
收缩压(SBP)、舒张压(菲律宾)血压都作为Framingham诊所的医生的平均2测量。高血压是由JNC-7定义分类(收缩期≥140毫米汞柱和/或舒张压≥90毫米汞柱或使用抗高血压药物)。目前吸烟被定义为自我报告的前一年考试使用。我们定义糖尿病随机血糖≥200 mg / dL(≥11.1更易/ L),最初,空腹血糖≥126 mg / dL(≥7更易/ L)的后代群体,或者使用胰岛素或口服降糖药物组。流行的心血管疾病(CVD)包括中风、短暂性脑缺血发作、冠心病、心力衰竭和外周动脉疾病。
药物的使用被自我评估。APOE基因型状态决定在1991年由DNA扩增技术和限制同形像。31日APOE-ε4使用任何ε4等位基因与没有状态进行了分析,基于之前报道加强协会的等位基因与痴呆风险32和创新艺人经纪公司。33教育水平的信息被收集在每一个考试周期和归类为没有高中学历,高中学历,一些大学或大学学位。
统计分析
基线研究参与者的特点,总结了整体pv地形,频率和百分比为分类变量和连续变量的均值和标准差。发病率(每1000人每年),计算分层pv地形,为每种类型的事件(全因痴呆、广告和VaD)事件的总数除以总随访时间和乘以1000。我们使用多变量Cox比例风险回归分析获得风险比率(小时)和95%的CIs全因痴呆和老年痴呆症亚型。方案和BG pv(成绩I-IV)都视为与一级分类预测参考。此外,我们创建了一个直言CSO-BG混合分数反映高负担(III或IV级pv)在两地区,严格的方案,严格BG,或这两个地区(0 =没有,1 = BG地区,2 =全封闭区域,或3 =这两个地区),得分0作为参照组。
多变量Cox回归模型评估包括:模型1调整年龄和性别;模型2另外FHS队列,调整的时间间隔检查周期和磁共振成像,和教育水平;和模型3另外血管危险因素调整的糖尿病、吸烟状态、高血压和心血管疾病流行。探索性分析分层按年龄、性别、和APOEε4等位基因的存在也评估潜在影响进行修改。我们也评估年龄四分位数和二次术语对年龄在我们的模型来探索非线性年龄的影响。额外的探索性模型进行评估从其他CSVD pv和痴呆的独立协会或神经退化标记,同时调整的协变量模型3:4 WMHV调整的模型,模型5 CBI调整的模型6调整总颅大脑体积比(TCBVr)和模型7大叶性调整的招商银行。
基于上述模型,调整为每个地区生存概率计算和绘制结果随访时间。此外,该比例风险假设是评估测试时间交互与pv成绩和使用互补的双对数图。随着时间的推移,小时没有显著变化。
所有统计分析使用SAS 9.4版本(SAS研究所、卡里、数控),和一个p值< 0.05被认为是具有统计学意义。
数据可用性
数据从这个手稿可能与合格的调查员在FHS数据共享程序概述Ref。34。
结果
描述性统计
我们的分析包括1449名受试者符合所有入选标准(图1和表1和2)。我们观察到pv在所有参与者中,有5%的最高负担(IV)级方案和BG的1.1%。介绍了基线特征表1和2。参与者负担较高的pv或大脑区域都是老和更有可能有高血压。他们也更可能有其他CSVD措施包括提高WMHV患病率增加,CBI和CMBs的存在。参与者排除在本研究(n = 364)略旧,类似的血管危险因素流行(列出额外的数据eTable 1)。
痴呆发病率和发病率
我们观察229例老年痴呆症病例(15.8%)的任何原因在随访期内(平均时间8.3(四分位范围9.3年)),182 (12.5%)AD-type痴呆和36(2.5%)和监督。原油发病率增加pv负担增加方案和BG地区和中最高等级IV pv患者负担任何痴呆,广告,和VaD亚型(表3)。
多变量分析
全因痴呆
我们观察到,全因痴呆的风险是重要的,稳步增长随着pv的负担增加,并独立于血管危险因素和流行的心血管疾病(表3)。在调整了年龄、性别、FHS队列,在核磁共振成像和检测周期,教育、血管危险因素,和心血管疾病(模式3),全因老年痴呆症风险增加2倍以上的pv二级(HR 2.44, 95% CI 1.51 - -3.93)和5倍参与者与pv年级第四(HR 5.05, 95%可信区间2.75 - -9.26)与年级相比我的方案。也观察到类似的结果我们的最小调整模型(模型1)(表4)。
也观察到类似的发现与BG pv,哪里危险增加1.6倍(HR 1.62, 95% CI 1.15 - -2.27)为二级pv和2.6倍(HR 2.67, 95% CI 1.04 - -6.88)年级IV ePVS与年级我(3)模型。模型探索非线性影响的年龄并没有改变关联方案或BG。
我们进一步评估pv是否与痴呆相关,独立于其他CSVD标记。在模型中另外调整WMHV(模式4),我们观察到轻微的衰减的全封闭pv负担和事件之间的关联痴呆,但仍保持强劲和显著(表4)。相比之下,BG地区pv负担的关联事件痴呆已不再重要。分析评估混合pv分数显示高pv负担的重要关联事件全因痴呆由全封闭pv,但不是BG。在分层分析年龄、性别、或APOE-ɛ4基因型,观察到的关联子组之间是相似的。
图3显示生存函数模型3比较跨pv生存体验组。生存曲线,代表一个人的概率仍然dementia-free超越特定的年的随访中,清楚地显示了两个方案的群体差异和BG。差异尤为显著的大约4至5年的随访后,更加突出了参与者方案高pv负担。dementia-free生存超过5年的随访的概率是98%我为92%年级年级第四方案pv。在10年的随访中,这些估计分别为93%和73%,分别。
老年痴呆
鉴于大多数入射痴呆病例的广告类型,我们观察到类似的结果相比,全因痴呆。广告显著增加的风险方案pv负担增加,血管危险因素,独立的心血管疾病流行,WMHV。BG pv负担也与更高的广告风险独立相关的血管危险因素和心血管疾病流行,但协会WMHV调整后减毒,不再重要。分析评估混合pv分数显示显著高pv负担与事件的关联广告由全封闭pv,但不是BG。
通过采用
虽然我们观察到较高的发病率的增加和监督pv成绩,我们无法进行多变量分析,因为少量的VaD事件子组(N = 36) pv的负担。
多变量分析调整CSVD和神经退行性变的措施
CBI的测量、TCBVr WMHV与ePVS完整的样本数据。然而,招商银行评级仅可在一个更小的子集参与者(n = 285),从而限制的解释结果讨论部分(eTable 2中列出了额外的数据,links.lww.com/WNL/C371)。我们进行了单独的分析使用模型3另外调整WMHV, CBI, TCBVr或招商银行(eTable 2中列出了额外的数据,links.lww.com/WNL/C371在补充)。在CBI分析调整,没有观察到显著变化。调整WMHV, CBI或TCBVr减毒的结果只剩下的重大方案pv。
总体样本和小样本的临床特点与招商银行数据(N = 285)是相同的。在小样本可用招商银行数据,关联是衰减的。尺度效应降低了对零和大型CIs,但如上所述,这个小样本不代表完整的示例包括在剩下的分析并进行解释时应特别谨慎。
讨论
以人群为基础的队列研究的无症状的个体,我们发现pv负担与因各种原因引起的痴呆风险和广告。pv的风险增加的负担增加,心血管疾病独立血管危险因素和普遍。近16%的参与者开发事件痴呆平均随访时间超过8年,大约19年,那些高pv负担之间有2倍(二级)和5倍(四年级)更高的风险。全封闭pv和事件痴呆的协会是独立于缺血性CSVD措施(由WMHV CBI)和神经退化(由TCBVr),但不是BG pv。招商银行数据仅可在参与者的一个子集,在他叶的招商银行似乎减弱了关系,但是需要小心解释由于样本规模小得多的研究。
如果确实pv证明代表glymphatic功能障碍,除了考虑CSVD的标志,我们的结果支持这两个过程的角色痴呆的风险,与量效关系,增加痴呆pv负担更高的事件有关。
我们的研究结果是一致的几个以前的研究包括较小的样本,pv负担与普遍痴呆,35,36事件痴呆,37,38和2以前的以人群为基础的研究。39尺度效应观察到在我们和其他研究表明高负担pv有着紧密的联系,尽管不同的方法用于pv的存在和负担。然而,之前荟萃分析发现相互矛盾的证据在pv和认知障碍的关系。异质性最有可能来自不同的pv评级方法和样本特征的差异。我们的研究结果表明,pv负担的角色作为亚临床痴呆风险加剧的标记需要重新考虑,但进一步的研究使用自动化,可靠的pv定量方法测量需要确认我们的观察和确认我们的假设。
我们的研究扩展了以前的研究,包括一个更大的样本,更广泛的年龄范围从中年,延长随访期。后者提供了一个较短的临床相关的观测研究随访时间可能无法检测到事件痴呆的结果。检查风险的生存曲线的分析表明,开始发散后约4 - 5年的随访中,和pv组之间的差异更加明显超过10年。这个观察表明长机会之窗为潜在的预防干预措施后痴呆的识别高pv负担。然而,pv负担是否可以作为替代标记和治疗痴呆的目标需要进一步评估的临床试验。
潜在的分子机制解释glymphatic障碍协会和CSVD事件痴呆仍有待阐明,但一些研究表明,至少在某些情况下,它可能涉及通路与Aβ无关。40我们推测可能的机制受损的血管和血管周的功能与老年痴呆症是复杂的,可能调用关键流程微血管功能障碍,如内皮功能障碍,41血脑屏障功能障碍,42vasoreactivity受损,43血管硬化,不正常的血液流动和组织液排水,44微血管缺血,45和炎症,46其中许多可能会相互作用,导致继发性神经退化。
我们的研究有几个优点包括其前瞻性群组设计,包含大样本混杂因素全面表征,包含大脑缺血性脑血管疾病的MRI标记评估pv痴呆风险的独立作用,小心和准确的确定事件长期痴呆。大脑核磁共振测量可靠和盲法临床和人口特征和结果确定。
这项研究有一些局限性。本研究选择的参与者是基于MRI的可用性。与会者包括一般健康,比排除在补充表1 (links.lww.com/WNL/C371),可能偏置我们的结果对低风险。虽然我们不同的MRI序列对pv使用验证方法,我们发现,调整统计模型的MRI序列(轴向或冠状视图)改变不了结果。最后,我们的结果大多是基于欧洲血统的弗雷明汉心脏研究的参与者,从而防止其他民族或种族的泛化结果。
在这个大型前瞻性队列研究社区个体自由的中风和痴呆,高pv的负担,尤其是在全封闭,较高的事件有关痴呆。协会显示量效关系和独立于血管危险因素。这些发现表明,pv负担可能有用确定个人在亚临床阶段增加痴呆的风险。
研究资金
这项工作(设计,开展的研究中,收集和管理的数据)得到了弗雷明汉心脏研究的国家心脏、肺、血液研究所合同(HHSN268201500001I n01 - hc - 25195)和由国家神经疾病和中风研究所(R01-NS017950-37),国家老龄化研究所(R01 AG059725、AG008122 AG054076, K23AG038444, R03 AG048180-01A1, AG033193), NIH资助(e AG010129)。
信息披露
作者报告没有相关的信息披露。去首页Neurology.org/N为充分披露。
附录的作者
脚注
去首页Neurology.org/N为充分披露。资金信息和披露认为作者相关的,如果有的话,年底提供这篇文章。
本文处理费用将由国家卫生研究院资助的。
提交和外部同行评议。处理编辑器是琳达好时,医学博士,FAAN。
↵*这些作者的贡献同样高级作者。
编辑、页面1019年
CME过程:NPub.org/cmelist
- 收到了2022年3月11日。
- 接受的最终形式2022年8月10日。
- 版权©2022年作者(年代)。发表的Wolters Kluwer健康,公司代表美国神经病学学会。首页
这是一个开放的分布式根据文章Creative Commons Attribution-NonCommercial-NoDerivatives许可证4.0 (CC BY-NC-ND),它允许下载和共享工作提供适当的引用。不能改变的工作以任何方式或使用未经许可的商业杂志。
引用
- 1。↵
- 2。↵
- 3所示。↵
- 4所示。↵
- 江Y,
- 王Y,
- 元Z,et al。
- 5。↵
- 6。↵
- 7所示。↵
- 8。↵
- 9。↵
- Hoddevik嗯,
- 汗跳频,
- 压力年代,
- Ottersen人事处,
- Boldt乙肝,
- Amiry-Moghaddam米
- 10。↵
- ZeppenfeldDM,
- 西蒙米,
- HaswellJD,et al。
- 11。↵
- 12。↵
- 13。↵
- 14。↵
- SmeijerD,
- 伊克可,
- 希拉年代
- 15。↵
- 16。↵
- 17所示。↵
- 18岁。↵
- 19所示。↵
- 20.↵
- 21。↵
- 22。↵
- 23。↵
- 24。↵
- 25。↵
- 26岁。↵
- 27。↵
- 28。↵
American-Psychatric-Association。精神疾病诊断与统计手册,4日ed艾德;2000年。
- 29。↵
- 30.↵
- 31日。↵
- 32。↵
- 33。↵
- 34。↵
- 35。↵
- 36。↵
- 拉米雷斯J,
- BerezukC,
- ·麦克尼利AA,
- 斯科特CJ,
- 高F,
- 黑色的SE
- 37岁。↵
- 38。↵
- 39岁。↵
- 朱YC,
- DufouilC,
- Soumare一个,
- MazoyerB,
- ChabriatH,
- TzourioC
- 40。↵
- 41岁。↵
- 王F,
- 曹Y,
- 马l,
- 裴H,
- RauschWD,
- 李H
- 42。↵
- 蔡Z,
- 乔PF,
- 王ydF4y2BaCQ,
- 蔡米,
- 周NK,
- 李问
- 43。↵
- Alwatban米,
- Murman戴斯。莱纳姆:,
- BashfordG
- 44岁。↵
- 45岁。↵
- 46岁。↵
- 哈基姆我


