前临床推理:患者脊髓损伤后发达改变精神状态下降
文摘
一名18岁男子与一个完整的历史创伤性脊髓损伤(SCI) C5-C7 3年前出现反应迟钝和缺氧后下降。没有明显的青紫或肿胀的迹象。经过广泛且模糊初始检查,MRI大脑没有对比显示,大量广泛地分散点状的疫源地的扩散限制和众多microhemorrhages的证据。全身骨骼的一项调查显示适度影响,nondisplaced,远端股骨metaphyses双边不完全骨折。这种情况下表示讨论了SCI患者的特殊考虑,检查鉴别诊断,检查和管理小瀑布或其他创伤后精神状态改变在这个人口。
第一节
一名18岁男子提出到医院后改变精神状态下降。他经历了一个完整的创伤性脊髓损伤(SCI)在C5-C7 3年。在基线,有一些保留近端武器的力量,尽管他需要帮助转移。他能够养活自己与适应的器具。他的两腿被plegic。他自主神经反射性异常和神经源性肠和膀胱,但认知完好无损。当天表示,有把握的肩带在他的腿时他被从一个坐站的位置。头了,但是他没有一开始失去意识。三十分钟受伤后,他出现不舒服,报道呼吸困难和刺痛在他的手中。家庭管理10毫克口服安定,他经常焦虑。
紧急医疗服务的到来,氧饱和度为78%,所以补充氧气。病人来到急诊室反应迟钝,不打开他的眼睛也不命令后,只有两国武器对有害刺激的屈肌运动。没有青紫或肿胀的迹象。他获得了苯二氮拮抗剂flumazenil没有改善。
动脉血气pCO显示正常2的水平。胸部x光片不起眼的。头部CT显示没有异常和稳定的从3年前。头部和颈部CT血管造影和CT灌注并没有发现大血管闭塞,解剖或灌注赤字表明急性中风。颈椎CT显示C4-C7融合与完整的硬件。快速反应脑电图证实β活动符合已知的安定管理;没有癫痫发作和癫痫样的活动。尿毒性筛选显示苯二氮卓类,四氢大麻酚,鸦片、可卡因。家庭报告病人的使用对乙酰氨基酚与可待因和大麻,但没有已知的可卡因或静脉注射毒品的历史。病人被Neuro-intensive护理单元。
第二节
昏迷和剥皮姿态本地化中脑,花托,或双边半球,所以最初考虑更多的全球神经的过程。纳洛酮是管理可能中毒,没有考试的变化。毒理学服务认为已知的药物和物质不能充分解释所有症状。视频脑电图得到吧,没收仍考虑和显示广义放缓的时期突然抑制。Postconcussive综合症被认为是不太可能,因为症状的持续时间和严重程度。
他随后发展恶化缺氧和呼吸急促,需要插管。胸部x光显示吸入性肺炎和双边肺水肿、超音波检查发现提示,它演示了一个两心室射血分数25%的全球运动功能减退。心电图显示正常窦性心律和不完全右束支块。实验室研究显示一个新的20400 /μL白细胞增多(中性优势和bandemia)和血小板减少到92000 /μL。原降钙素升高,2.64 ng / mL(< 0.1),表明感染的存在。为可能的脓毒症经验头孢吡肟和万古霉素发起。c反应蛋白42 mg / L(< 10)和肺动脉栓塞超过10000 ng / mL(< 255)建议的炎症反应。心脏损伤是由脑利钠肽升高,142 pg / mL(< 100)和肌钙蛋白I, 0.32 ng / mL (< 0.04)。显示20000 CFU /毫升尿液文化肺炎克雷伯菌;痰液和血培养结果为阴性。CSF是正常的,100 mg / dL的葡萄糖,51 mg / dL的蛋白质,1有核细胞,和消极的文化和meningitis-encephalitis面板。
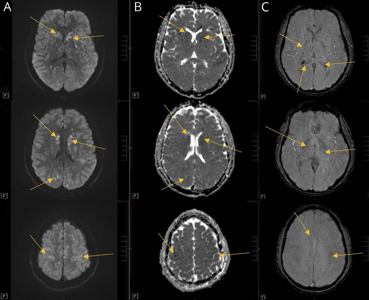
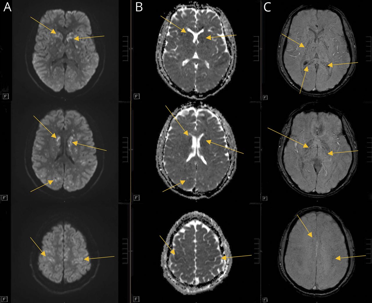
符合最初的本地化双边半球,MRI大脑没有对比postfall第一天显示广泛的证据bihemispheric受伤,广泛地分散点状的疫源地的扩散限制(图1)和大量的证据bihemispheric microhemorrhages (图2)。
(Diffusion-weighted成像hypertintensities驾车,)和表观扩散系数序列hypointensities (ADC, B)显示弥漫性点状的疫源地的扩散限制,与susceptibility-weighted成像hypointensities显示许多microhemorrhages(瑞士,C)。
第三节
MRI发现点状的疫源地的限制扩散和microhemorrhages建议过程涉及小血管、鉴别诊断包括血管炎,microangiopathic流程或栓子的原因。血管炎似乎不太可能,考虑到严重的时间进程。没有裂细胞外围涂片显示血栓性血小板减少性紫癜或弥散性血管内凝血。非常小的模式与扩散斑点状的microhemorrhages梗塞是符合心脏栓子,通常会导致更大的梗塞和没有bihemispheric microhemorrhages。技术超声心动图显示没有栓塞或卵圆孔未闭的心脏内的来源。Four-limb静脉双深静脉血栓形成的研究显示没有证据。
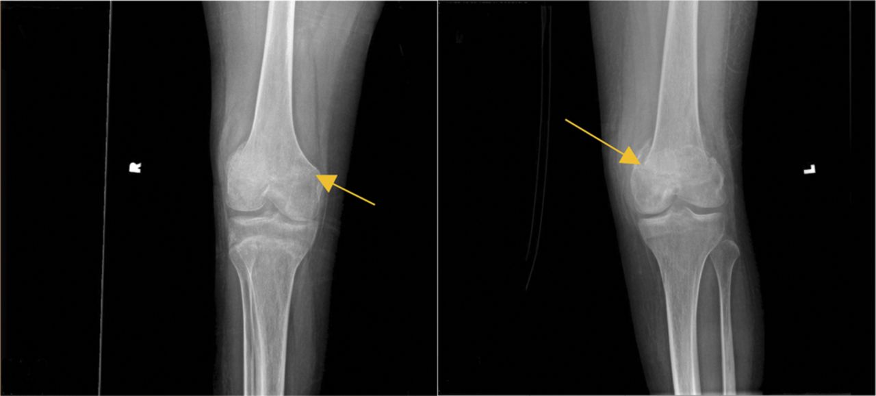
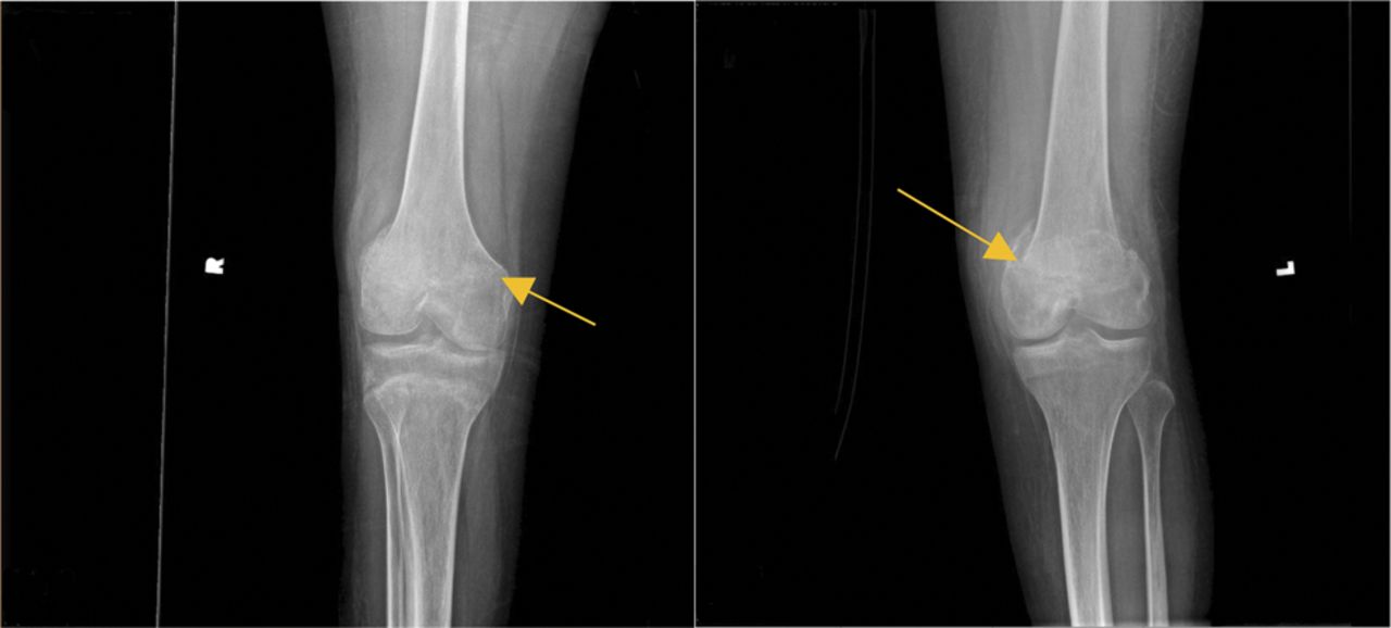
空气或脂肪栓子引起急性micropulmonary栓子紧随其后的大脑似乎栓子,鉴于呼吸之前投诉后的急性神经改变病人的下降。然而,最初,没有明显的栓子来源。没有明显的瘀伤的迹象显示骨折。在医院的第二天,出血点发达在腋窝和腹股沟。评估对隐匿性骨折骨调查显示新皮质step-offs沿横向方面的远端股骨metaphyses双边,可疑为轻微影响,nondisplaced,不完全骨折。随后的股骨和胫骨腓骨x射线证实了这些发现。整形外科手术把膝盖防盗控制系统。病人被诊断为脂肪栓塞综合征(包括脑脂肪栓塞)。虽然好处可用数据有限,甲基强的松龙(100毫克(四)日常管理1周,1周锥度。他的课程是复杂的脑水肿和脑积水,要求渗透疗法和外部心室排水位置。
病人在住院期间,保持在一个最小意识状态,呼吸机依赖,需要气管造口术和经皮胃造口术管。后住在急性康复机构和正在进行的治疗,他现在是警报和导向,使用一个字母,苦相单词和交流工作持续发声与室内空气的气管造口术。他有一个鞘内巴氯芬泵痉挛状态的武器。他可以把自己维持姿势直立但是需要最大的援助。
讨论
SCI患者已知高长骨骨折的风险,这发生在一个年度发病率2% - -6%的人口。1,2在这种情况下,x射线显示只有轻微影响,nondisplaced骨折,提高是否SCI患者的脂肪栓塞的风险甚至轻微骨折。
SCI后,病人变得容易骨折由于严重减少损伤的骨密度水平以下。骨质流失的特点是去矿化作用的小梁晶格结构在股骨远端和胫骨近端骺,取而代之的是脂肪的骨髓。3这些患者的骨量影响因素包括损伤的程度和位置,肌肉痉挛状态、年龄、性别、受伤后负重活动,和持续时间。4,5在这种情况下,骨折的常见原因包括轮椅转移,把看不见的对象,和其他低效活动;重大创伤并不是必要的。1,2膝盖是经常在这些伤害的第一接触点,使它特别容易骨折。3双边股骨骨折增加脂肪栓塞的风险,发病率是33%与1% - -3%相比,在单一长骨骨折。6脂肪栓子通常建立在24 - 72小时的损伤。6脂肪栓塞综合征(FES)发生在脂肪栓子导致多系统器官衰竭,通常包括肺,皮肤,神经系统并发症。神经系统症状包括头痛、行为改变、癫痫、和改变意识。更罕见的表现包括剥皮姿态,脑水肿,脑积水,阵发性交感神经过度活跃。7系统性影响包括发热、心动过速、视网膜参与,黄疸,肾功能障碍、贫血、血小板减少症、炎症标志物升高。8在这种情况下,脂肪栓子心肌损伤可能导致新的心脏衰竭。
一个脂肪栓塞病理生理学理论表明,创伤髓内压力增加,导致骨髓进入静脉窦,释放脂肪滴进入静脉栓塞和封闭在小血管血流量。因此,发病率增加的脂肪栓子预计将在SCI患者创伤后,考虑到骨髓脂肪含量增加。3然而,数据对于轻微创伤后脂肪栓塞患者SCI是有限的。脂肪栓塞患者更常见的被报道的杜氏肌肉营养不良症(DMD)——人口重大损失的骨密度取代多脂肪的骨髓。系列在一个案例中,5例5岁被发现经验菲斯呼吸和轻微创伤后神经症状。也有报道称,致命的轻微外伤后菲斯在DMD患者。9,10值得注意的是,没有明确骨折成像和/或尸检。9
脑脂肪栓塞常常表现为自限性疾病最终的完全恢复。支持治疗和治疗有症状的管理仍然是支柱。糖皮质激素通常用于脂肪栓塞的预防,和一些作者报道治疗限制postinjury游离脂肪酸水平上升和生硬的炎性反应。11其他治疗方法提出了有限的或相互矛盾的证据,包括抗凝、dehydrocholate钠20%,低分子右旋糖酐,白蛋白,5%的酒精葡萄糖溶液,脱水代理、冷却疗法,高压氧。7不幸的是,结果是常见的差,死亡率高达10%。7因此,必须考虑脂肪栓塞的高危患者减少骨density-including SCI-who患者存在合适的神经系统和呼吸系统症状轻微下降或创伤后,即使没有明显的创伤存在的迹象。
研究资金
作者报告没有针对性的资金。
信息披露
作者报告没有相关的信息披露。去首页Neurology.org/N为充分披露。
附录的作者
脚注
去首页Neurology.org/N为充分披露。资金信息和披露认为作者相关的,如果有的话,年底提供这篇文章。
提交和外部同行评议。处理编辑器是惠特利Aamodt博士英里。
- 收到了2022年2月11日。
- 接受的最终形式2022年8月24日。
- ©2022美国神经病学学会的首页
引用
信:快速的网络通信
需求
如果你上传一个字母有关的一篇文章:
你必须在六个月内更新你的信息披露:http://submit.首页neurology.org
你的合作者必须发送完成出版协议形式来首页员工(不是必要的领导/通讯作者如下表单就足够了)在你上传你的评论。
如果你回复评论,写过一篇文章你最初撰写:
你(和合作者)不需要填写表单或检查信息披露作为作者形式仍然有效
和申请信。
提交规格:
- 提交必须与< < 200字5引用。参考1必须你评论的文章。
- 提交不应该超过5作者。(例外:原作者回复可以包括所有原始作者的文章)
- 6个月内提交只在文章发表日期的问题。
- 不会是多余的。读任何评论已经张贴在本文之前提交。
- 提交评论编辑和编辑审查发布之前。


