临床推理:一位老妇人颈静脉球异常和严重的头痛
第一节
历史
一个68岁的老妇人历史的II型糖尿病,高血压、冠状动脉疾病(s / p冠状血管成形术前2年),和右半身不遂继发于左内囊梗死前1年开发中央胸痛在晚上散步。她花了一个平板电脑的三硝酸甘油酯(GTN)舌下,立即解除她的胸部疼痛。然而,她开发了一个急性严重的头痛,开始在她的左耳,突然蔓延到她的整个头部。在几分钟内,头痛在强度达到顶峰。头痛与她的左耳耳鸣和眩晕的感觉。她没有呕吐、结膜充血、流泪、畏光,或者声音恐惧症。她的头痛没有改善口服止痛药,她没有偏头痛头痛或其他类型的历史。她说情景左耳耳鸣和饱腹感的1年。她服用美托洛尔、阿斯匹林、阿托伐他汀和替米沙坦片剂。在这一事件之前,她从来没有舌下GTN规定的胸痛。 On examination, her pulse rate was 100 beats per minute and regular with palpable peripheral pulses. Her blood pressure was 140/90 mm Hg. She had a mild residual right facial palsy. The remainder of her clinical examination was normal.
第二节
我们的病人抱怨头痛在几分钟内,在严重程度达到顶峰。头痛疾患的国际分类第3版(ICHD-3)定义了一个头痛,一分钟内峰值强度霹雳头痛。然而,因为我们无法确认准确时间她的症状,这是她第一次一生一集,我们认为她头痛是thunderclap-like头痛寻找不祥的原因,包括蛛网膜下腔出血、可逆的大脑血管收缩综合症(传真)、垂体卒中,皮质静脉窦血栓形成,后部可逆性脑病综合症,颅内动脉瘤。没有根本原因,雷声头痛可能是一种原发性良性复发性头痛。1
她头痛沉淀后舌下GTN。ICHD-3分类GTN-related头痛为“一氧化氮donor-related头痛。”2立即GTN-related头痛是额颞叶头痛1小时内开始GTN吸收和消散后1小时内一氧化氮的释放已经结束。后循环中风也可能产生头痛、眩晕和耳鸣。然而,这样的病人通常会有神经赤字。此外,急性发作的梅尼埃病(又名内耳眩晕可能产生急性眩晕和耳鸣,但不包括突然头痛症状。
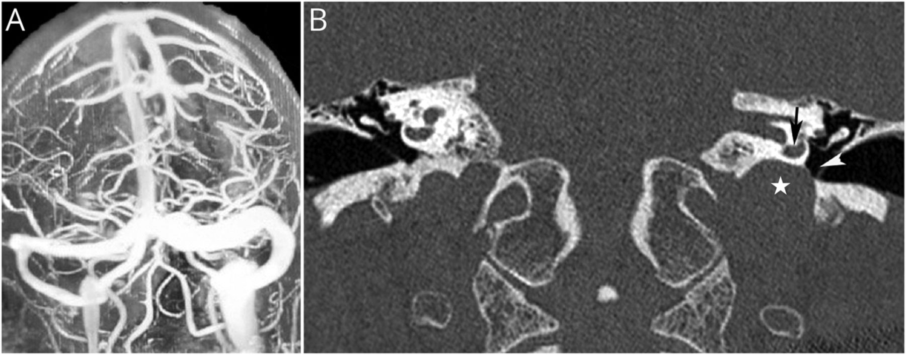
头颅CT扫描并没有表现出任何蛛网膜下腔出血的证据。腰椎穿刺脑脊液检查显示正常。核磁共振成像的大脑是正常的。先生血管造影显示动脉瘤的正常动脉环没有任何证据或传真。然而,postcontrast先生造影术显示扩张左颈静脉球与普通硬脑膜的脑静脉窦和深。
第三节
扩张左颈静脉球表明诊断为颈静脉球异常(JBA)。JBA可以是成员的颈静脉球(HRJB)或颈静脉球憩室。3HRJB被认为是当颈静脉球达到内部声学道的水平,而颈静脉球憩室是一个outpouching因扩张颈静脉球。JBA动脉瘤性扩张是一个在场的颈静脉球可能保持无症状或症状二次压力/裂开到周围的结构,包括前庭导水管、半规管,面部神经。我们的病人的历史情景左耳耳鸣和饱腹感。这一次,她看到头痛伴有急性脉动的左耳耳鸣和眩晕。确认诊断、高分辨率CT (HRCT)因为执行颞骨CT扫描是更敏感的诊断JBA内耳及其与结构的关系。HRCT显示颞骨HRJB的裂开到中耳(图)。
(一)磁共振造影术显示扩张左颈静脉球左横窦和颈内静脉与突出。(B)颞骨CT也显示扩张左颈静脉球(白色)靠近下的耳蜗(黑色箭头),张口进入左中耳(白色箭头)。
第四节
JBA可以产生migraine-like头痛和棘手的问题。4,5我们的病人有头痛后立即舌下GTN的使用。GTN产生急性、双边frontoparietal严重的头痛由于血管扩张。头痛从左后听觉的起始位置和相关建议左侧耳鸣和眩晕急性左HRJB由于GTN的扩张。长期左耳耳鸣也与左HRJB一致。GTN产生动脉和小静脉的血管舒张的氮oxide-cyclic鸟苷酸途径。舌下GTN-related头痛是短暂的,因为颅内动脉富含交感神经血管舒缩性纤维后立即正常化GTN-related血管舒张。与动脉,静脉内向中模不良。6HRJB会肥大等异常扩张静脉内膜的层和薄的弹性板和平滑肌层。7因此,舌下GTN可能长期扩张影响HRJB产生急性发作但长期头痛,头痛持续时间越长在我们的病人解释道。
她头痛后在24小时内解决,她仍然无症状除了情景左耳耳鸣。她提供HRJB的手术治疗,但她选择继续保守治疗。
讨论
无症状的颈静脉的解剖学变异灯泡并不少见。JBA通常是偶然发现的,可以看到多达8%的CT扫描。3异常包括颈静脉球憩室,驾驶愉悦颈静脉球,或者一个不寻常的侧颈静脉球的位置。JBA通常在大多数病人仍是临床沉默,尽管有些人可能会抱怨听觉丰满,单方面听力损失,耳鸣和眩晕。3,- - - - - -,5耳痛、migraine-like或霹雳头痛、颅神经介入很少JBA的表现。
ICHD-3没有定义为头痛归因于HRJB诊断标准。然而,头痛的特点和相关的功能在我们的病人共享类似的特征引起头痛的颅内囊状动脉瘤ICHD-3所定义的。2头痛在颅内动脉瘤发生的突然膨胀的动脉瘤。ICHD-3诊断颅内动脉瘤的特点包括放射动脉瘤的证据,或突然雷声头痛,头痛发生的时间与其他症状动脉瘤(相关压力效应的动脉瘤,像第三神经麻痹在沟通后动脉动脉瘤),和动脉瘤治疗后缓解头痛。2,8看到与颅内动脉瘤、急性扩张的HRJB GTN可能产生在我们的病人突然头痛。她同侧头痛伴随症状有关二次压力对周围结构的形式急性左耳鸣和眩晕,头痛和她自发地改善后的效果GTN结束了。
GTN-related头痛表型的范围可以从先兆型偏头痛的情景紧张性头痛患者慢性紧张性头痛,或者他们可以产生一个新的集群集与丛集性头痛患者。2我们病人的临床特征与头痛被GTN独自难以解释。GTN产生双边额颞叶搏动性头痛。在我们的病人,头痛并成为holocranial起源于左retroaural区域。随行的左耳鸣和眩晕头痛不看到GTN头痛,通常消退后一氧化氮的释放。因此,GTN并不完全解释头痛持续了超过24小时,但可能揭露quasi-symptomatic HRJB在我们的病人。cause-to-effect关系仍然是相关的。
HRJB会侵蚀优前庭导水管,后半规管、中耳和后方面神经。大多数情况下,它会侵蚀到前庭导水管并产生耳鸣、眩晕、听力损失,很少的。它还可以保持临床沉默。第二个最常见的结构是涉及面部神经,从而产生面部瘫痪或半面痉挛复发。裂开后半圆的或内部听觉运河不常见但经常有症状,导致感音神经性听力损失。中耳裂开可以产生耳鸣和传导性听力损失。9
最近的一项研究10分类这些异常基于他们的关系和后半规管,内部听觉运河,裂开的存在与否。在我们的病人,颈静脉球位于下方的下边缘后半规管,张口进入中耳,因此,它可以被归类为一种2 b。
HRJB与听觉症状持续或复发性面部麻痹可能接受血管内治疗方法使用一个阻塞支架设备或通过手术HRJB的重新定位。
研究资金
没有针对性的资金报告。
信息披露
作者报告没有披露相关的手稿。去首页Neurology.org/N为充分披露。
附录的作者
脚注
去首页Neurology.org/N为充分披露。资金信息和披露认为作者相关的,如果有的话,年底提供这篇文章。
提交和外部同行评议。处理编辑器是惠特利Aamodt博士英里。
- 收到了2021年11月8日。
- 接受的最终形式2022年5月2日。
- ©2022美国神经病学学会的首页
引用
信:快速的网络通信
需求
如果你上传一个字母有关的一篇文章:
你必须在六个月内更新你的信息披露:http://submit.首页neurology.org
你的合作者必须发送完成出版协议形式来首页员工(不是必要的领导/通讯作者如下表单就足够了)在你上传你的评论。
如果你回复评论,写过一篇文章你最初撰写:
你(和合作者)不需要填写表单或检查信息披露作为作者形式仍然有效
和申请信。
提交规格:
- 提交必须与< < 200字5引用。参考1必须你评论的文章。
- 提交不应该超过5作者。(例外:原作者回复可以包括所有原始作者的文章)
- 6个月内提交只在文章发表日期的问题。
- 不会是多余的。读任何评论已经张贴在本文之前提交。
- 提交评论编辑和编辑审查发布之前。


