SCA-12:地震和小脑皮质萎缩与CAG重复扩张有关
文摘
摘要目的:描述一个新的脊髓小脑的共济失调的临床和neuroradiologic特性,SCA-12,索引中的家庭。
背景:作者最近联系SCA-12小说CAG重复扩张5 q31-33位于染色体上的5 '区域内PPP2R2B一个基因编码一个brain-specific调节亚基蛋白磷酸酶2。
方法:渊源者的神经功能和9症状第一SCA-12亲戚家人都编译和,在某些个人、相关的发现对大脑MRI或CT变化。
结果:SCA-12通常在4日十年行动震颤的头部或武器(出现在受影响的个人的10/10)。反射亢进(8/10)是一个共同特征,小脑体征(8/10),包括共济失调、测距不准,构音障碍,发展逐渐突出和禁用,但低于在其他SCA小脑功能障碍。微妙的帕金森病(9/10)和老年痴呆症(2/10)观察SCA-12后期,和心理症状,包括抑郁,焦虑,或妄想,出现在一些受影响的家庭成员(4/10)。两个人研究nondisabling神经新生地迹象,包括眼球震颤和下肢肌张力障碍。影响个人的大脑图像显示大脑和小脑萎缩。
结论:SCA-12慢慢进步,常染色体显性遗传、神经退行性疾病,与其他SCA的不同之处在于,它通常提供行动震颤患者在30年代中期,通常包括反射亢进和微妙的帕金森症状。小脑功能障碍,包括步态共济失调,相对nondisabling,和认知或可能发生精神障碍。Neuroradiologic研究显示小脑和大脑皮层萎缩。
脊髓小脑的共济失调(SCA)是居多的遗传的,进步的,神经退行性疾病与变量和重叠的表型不容易区别彼此仅靠临床特征。也影响个人展览小脑功能障碍但许多神经迹象表明异常的其他地区的中央(大脑皮层、基底神经节、脑干、视网膜和脊髓)或周围神经系统。主要依据临床特征,这些晚发性、遗传性神经退行性疾病被A.E.哈丁分化成三种类型的成人主导小脑共济失调(ADCA)。1人类分子遗传学的最新进展已导致重新分类ADCA基于基因型的鉴定,和这些疾病目前包括SCA 1至8和10至14。2 - 6⇓⇓⇓⇓据估计,20 - 40%的主导性遗传性脊髓小脑的混乱的状况依然链接到特定的遗传标记。7号到9号⇓⇓
我们最近发现了一个大的德国血统的美国血统(R)与一种新的脊髓小脑的共济失调,SCA-12。4这种疾病被定义为存在CAG扩张5 q31-33位于染色体上的假定的启动子区域内PPP2R2B(也称为PP2A-PR55β)基因编码一种brain-specific调节亚基的蛋白磷酸酶2 (PP2A PP2)。4PP2A是丝氨酸/苏氨酸蛋白磷酸酶参与许多细胞过程的监管涉及蛋白质的磷酸化。10、11⇓功能异常的后果增加CAG重复的启动子PPP2R2B仍然未知。本文描述了临床和neuroradiologic特征与SCA-12这个原始的家庭。行动震颤的头部或手臂,反射亢进,发展相对温和的小脑功能障碍,微妙的帕金森病,和晚发性痴呆有助于区分SCA-12从其他脊髓小脑的共济失调。
方法。
神经系统检查(E.O.和m .)渊源者(患者III-5),在他被发现在一个CAG重复扩张PPP2R2B的基因,4和9症状的亲戚。详细neuroophthalmologic评估病人IV-11 (pc)执行。磁共振成像的大脑影响的四人,和头部CT的渊源者了。
结果。
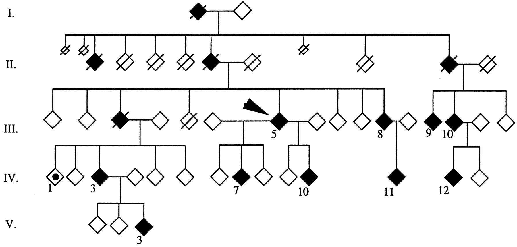
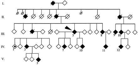
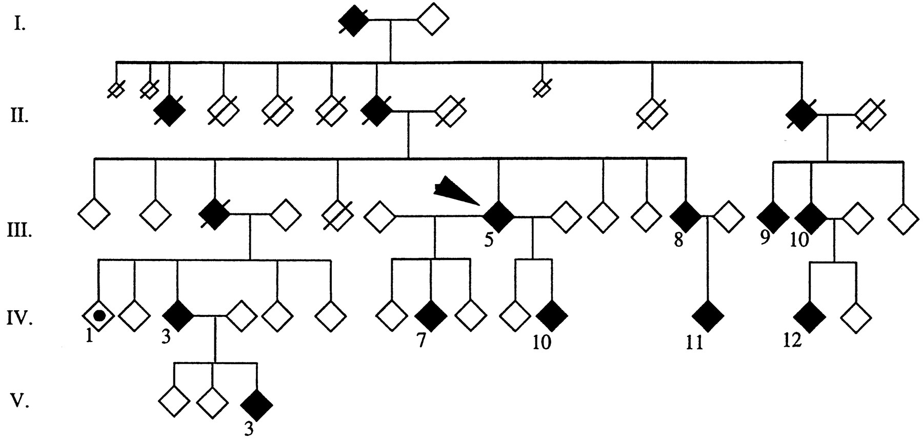
与SCA-12这个第一家庭的出身,血统“R”所示图1。
案例报告。
渊源者(患者III-5)。
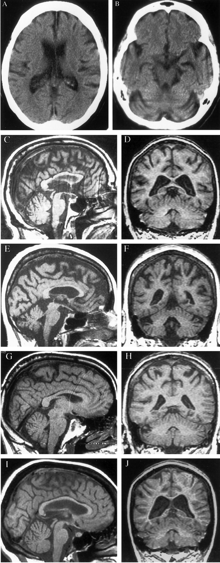
渊源者(患者III-5)是一个64岁,右撇子妇女健康时,38岁,她开发的姿势和动能震颤在怀里。在未来10年一个震动她的头出现在振幅逐渐增加。当病人在50年代直立的姿势变得不稳定,她发明了一种广泛的、蹒跚步态。异常的反应被发现在60岁时,以及著名的上肢测距不准和温和的构音障碍。脑部MRI表现55岁据报道显示小脑萎缩。CT,享年62岁(图2中,A和B)透露温和,广义大脑半球、小脑萎缩。她的CSF是正常的。在63岁时她需要沃克,在过去的一年里她用轮椅。她已经失禁的尿液在过去的两年。定向障碍和记忆丧失逐渐增加在过去的几年里,她现在最需要援助的日常活动。家庭成员报告,她反复发作的抑郁情绪,易怒,快感缺乏。
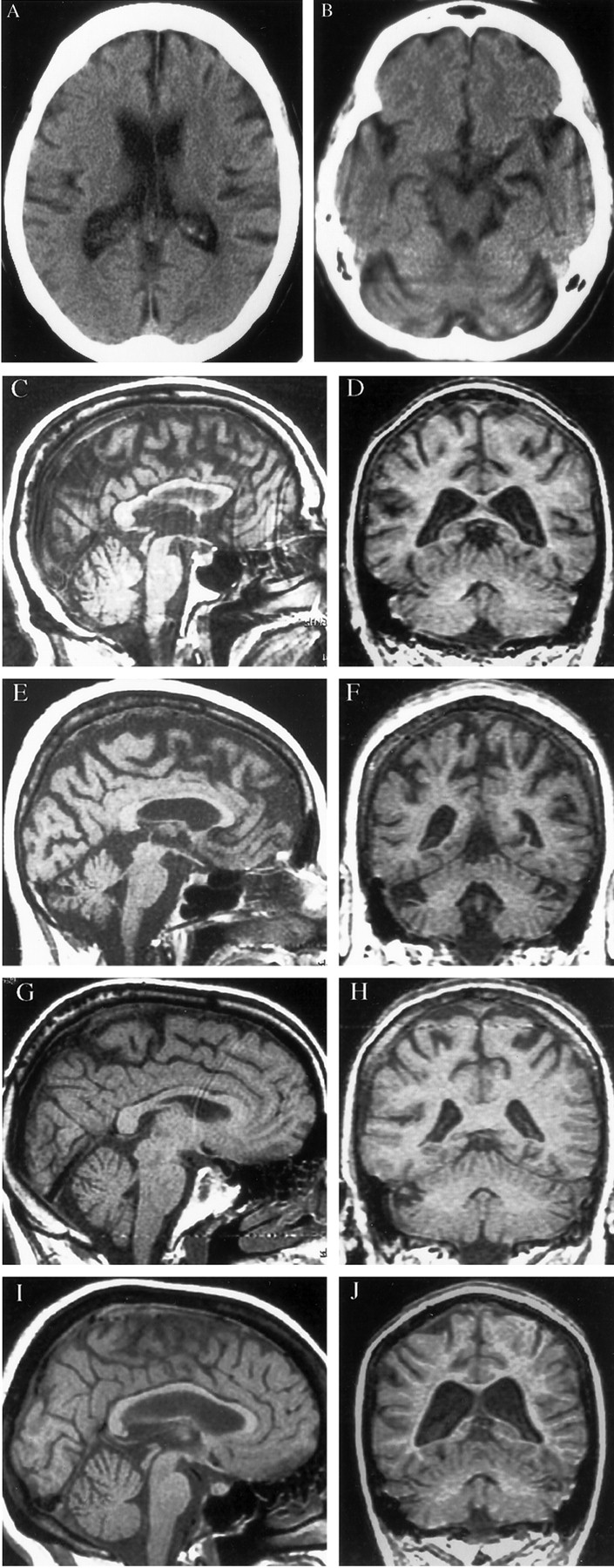
图2。t1加权磁共振成像与SCA-12选定的家庭成员。(A, B)头部CT的渊源者,一个64岁的女人(病人III-5) 60岁,4年前以前描述的神经系统检查。CT显示中度小脑和大脑皮质萎缩和侧脑室扩大真空交货。(C, D)大脑核磁共振的64岁的老人(病人III-10)拍摄的时候前面描述的神经系统检查。矢状面MRI (C)显示轻度小脑萎缩与保护脑干体积。冠状图像(D)显示中度脑皮层,皮层下白质、小脑萎缩和侧脑室扩大。基底神经节和其他皮层下灰质区域(图中未显示)并不明显萎缩。59岁的女人(E, F) MRI(病人III-8)当时她的神经系统检查揭示中度脑皮质和小脑萎缩影响小脑蚓体侧小脑半球。(G H) MRI的41岁的男人(病人IV-11)在他的神经系统检查揭示轻中度小脑和大脑皮质萎缩。40岁的女人(I, J) MRI(病人IV-12)时,她的神经系统检查。矢状图像(I)显示轻度小脑萎缩但正常脑干体积。冠状核磁共振(J)揭示了大脑皮层和皮层下萎缩与侧脑室扩大真空交货。
神经系统检查的渊源者64岁是认知障碍,包括定向障碍、记忆丧失、无法计算,执拗,奔袭忽视的建议。她的细微精神状态检查(MMSE)12分数是8/28。颅神经检查是不起眼的,包括眼球运动。她和伸肌弥漫性hyperreflexic足底反应,原始反射,并增加语气在她的胳膊和腿,她显示中度缺乏自发运动和轻微的动作迟缓。她的考试最突出的特点是大幅度,低频震动她的头(大约3 Hz),出现在她坐或站立,这是减毒但没有停止当她把头向后顶在一个支持或更改她的头的方向。家庭成员的报道,在睡眠时头部震颤不明显。头部震颤的方向变化之间的“是的是的”和一个“禁忌”的方向。她的胸锁乳突肌的肌肉轻微过度增大的双边。她有相似,大约3赫兹频率颤抖的伸出胳膊期间坚持适度dysmetric finger-to-nose测试。没有地震的怀里休息。她温和的构音障碍的,hypophonic演讲。 Her wide-based, ataxic gait appeared to result from cerebellar dysfunction with apraxia and also had parkinsonian features, including small steps and “en bloc” turns. Her upright posture was anteroflexed, and she exhibited retropulsion.
病人III-10。
病人III-10是64岁高龄,右手男性的父亲的表妹渊源者。在他三十多岁时,他注意到在他怀里颤抖写作或持有对象而不是在休息。地震在他的上肢在振幅随时间增加,在他四十多岁时,被震颤的加入,明显坐或站立时但不是当仰卧位。随着地震在他的手和手臂变得更加突出他发现越来越难写或从眼镜,喝,目前他不能削减自己的食物。他震颤与普萘洛尔治疗80毫克每日两次多年没有显著受益。在过去五年里他所指出的一个温和的步态不稳定的感觉,虽然他走没有帮助,没有意外下降。他否认直立性头晕,正常的肠和膀胱控制。他不知道有任何认知功能障碍。
病人III-10大幅度的神经系统检查是显著的,大约3-Hz姿势和动能颤抖的双臂终端测距不准。他smaller-amplitude和类似的低频地震的头,下颌骨,伸出舌头。他广泛hyperreflexic,伸肌足底反应,交叉引用膝打击乐,容易引起原始反射。他跳阅温和dysmetric,追求动作被打断。测距不准在他怀里大于他的腿。他的步态是温和的广泛的和混乱的痉挛性组件。他无法执行同步走。他的演讲是温和的构音障碍的。认知是正常范围内,基于MMSE分数28/30和设施,他说他的病史。病人III-10大脑核磁共振(图2中,C和D)显示中度脑皮质和小脑萎缩保护脑干结构。
在SCA-12总结临床发现。
神经系统影响的迹象,这个第一家庭的成员与SCA-12中进行了总结表。(详细的研究成果,本文的在线版本www.neurology.org访问。)首页行动震颤(姿势或动力地震)13手臂或负责人在场的所有10个家庭成员的影响。地震是第一个神经信号除了两个人在他眼球震颤(病人IV-11)是先天性的,下肢肌张力障碍在儿童早期(病人对3)明显。年龄的基础上首次亮相的震颤(最常见的初始神经信号),疾病发作SCA-12范围从8到55岁,平均34年,平均36.5年。头部的动作颤抖或手臂加上小脑功能障碍的迹象,反射亢进,微妙的动作迟缓的手指,脚趾敲,缺乏自发的运动是明显的8 10家庭成员的影响。地震也影响了下颌骨和声音在1患者2例,伸出的舌头。动作颤抖的腿没有观察到,手臂颤抖,但并没有在休息的时候。
共济失调变量表现家庭成员之间,明显低于其他SCA的人。患者的步态III-5 III-9,脚上最不稳定,似乎把失用症,帕金森病,小脑功能障碍的迹象。病人的步态III-10有轻微的剪切质量结合小脑的迹象。共济失调是温和(只包含执行困难串联步态)或其他家庭成员的缺席。同样,肢体测距不准和dysdiadochokinesia 7 8例轻度。微妙的构音障碍出现10例患者中4例。眼球运动异常被认为在4个人,但在只有1(病人IV-11)。眼球震颤异常是诱发横向的目光在2个人,1(病人IV-11)先天性眼球震颤和单边内斜视。
帕金森神经迹象出现在8的10个家庭成员和包括一个微妙的影响缺乏自发运动和轻微的动作迟缓。增加武器的语气,最符合刚度特性,在10 4就非常明显。其他帕金森症状包括局灶性肌张力障碍(laterocollis或gait-induced双边脚内旋),姿势anteroflexion,后退的趋势。反射亢进出现在8的10人,和伸肌足底反应引起的5 8。原始反射,包括掌握反射,反射,加油和霍夫曼或Meyerson迹象,被发现与反射亢进5的8个人。疾病持续时间与神经系统异常的发生率的迹象。认知异常出现2例由可怜的顺行记忆形成,定向障碍、失用症,hemi-inattention。精神疾病,包括焦虑和抑郁,在场,由历史,在4的10个家庭成员,据报道,其中一个有偏执妄想。
大脑图像。
渊源者的脑CT和MRI 4影响家庭成员(见图2)轻中度萎缩的大脑皮层和相对保护脑干和小脑皮层下灰质区域。
在SCA-12 CAG重复长度。
CAG重复长度范围的个人在这个家庭的影响,从66年到78年,不重叠的重复长度分布在正常人群(7 - 28)。4小数量的影响个人(10)和重复的小范围的长度(66 - 78)不允许可靠的评估可能的重复长度和临床严重程度之间的相关性。一个人(病人IV-1), 49岁的CAG扩张67但是没有神经症状或体征。可能是神经系统在未来将开发或迹象,相反,这可能代表不完全外显率的一个例子。
讨论。
的临床表型SCA-12(见表和在线版本)所定义的神经系统评估的第一家庭这个独特的CAG发现扩张,4特点是最初的行动地震武器或头,通常开始在成年早期34年(平均),通常最初诊断为特发性震颤。在接下来的10到20年发展体现这种神经退行性疾病的逐渐增加的地震振幅和轻度小脑功能障碍的迹象,包括步态共济失调、测距不准肢体和眼球运动,dysdiadochokinesia和构音障碍。SCA-12的反射亢进是一种常见的特性,和伸肌足底响应和原始反射被观察到在年长的家庭成员的影响。微妙的帕金森症状,包括运动徐缓和肌肉张力增加,频繁的表现。年青神经迹象(眼球震颤、肌张力障碍)在两个病人可能SCA-12的表现,尽管这些迹象可能与CAG扩张无关。两个病人的一种高级形式SCA-12发达标志着生命的后期认知障碍。精神障碍(焦虑和抑郁)在几个家庭成员在场。
SCA-12的症状和体征是暗示在多种中枢神经系统进行性神经功能障碍的地区,包括小脑、大脑皮层,,可能,基底神经节。神经退行性变的有些区域内支持脑CT和MRI,揭示萎缩的小脑和大脑皮层相对保护皮层下灰质结构和脑干。小脑蚓部的萎缩是更加突出比小脑半球。没有明确的微分的参与特定的大脑皮层区域。虽然轻微的帕金森症状和局部肌张力障碍是基底神经节功能障碍的暗示,这些迹象(例如,缺乏运动、刚度和肌张力障碍)可能会导致异常的神经支配的基底神经节神经元(从脑干或大脑皮层)而不是从主要基底神经节神经元变性。数字的温和放缓开发可能是由于小脑或脑皮质,而不是基底神经节功能障碍。没有临床证据SCA-12的周围神经病变。
SCA-12是唯一SCA行动地震是最常见的和最早的迹象,尽管一个动作在SCA-2地震报道,偶尔,在SCA-3 SCA-6, dentatorubral-pallidolluysian萎缩(DRPLA)。2不自主运动SCA-14“颤抖”表现在受影响人发病年龄在27年,但这些运动被认为代表肌阵挛而不是行动的颤动。6地震影响最严重的患者SCA-12像特发性震颤,和几个家庭成员在早期被诊断为特发性震颤的临床课程。在其他受影响的家庭成员(特别是病人III-10)地震包括终端测距不准和将被定义为一个意向震颤。至少有两个病人减少地震报道突出(振幅)和β受体阻断剂治疗后或苯巴比妥衍生品、标准治疗特发性震颤。据报道酒精抑制震颤在一个人的身上。
反射亢进和伸肌足底响应,一般发现与SCA-12这个家庭,SCA 1到8中并不罕见。2、14⇓痴呆,观察渊源者和病人III-9,包括著名的方向障碍和记忆缺失。使用语言是保存完好的但大大减少。这两个病人认知功能障碍在很大程度上造成了残疾但是SCA-12可能不会发生在所有的人。病人III-10,谁在64年渊源者是相同的年龄,最突出的小脑的迹象,但正常的认知技能。痴呆与其他SCA和已报道的人,如果存在,通常在疾病的后期发展。2,14、15⇓⇓精神症状出现在四个家庭成员可能来自neuropathologic变化与SCA-12联系在一起;或者,他们可能会出现独立或在神经系统残疾。脑皮质变性可能负责SCA-12痴呆和精神疾病,但小脑变性也贡献,最近的证据表明,小脑功能障碍可能会影响情绪和认知。16、17⇓
SCA-12是第二个已知SCA SCA-8之后,18基因突变的异常扩张CAG三核苷酸重复不受到多麸醯胺酸转化。虽然它仍然可能突变5 '地区的扩张PPP2R2B是连锁不平衡的多态性SCA-12致病突变,最近的识别第二个家庭拥有相似的扩张带来相同的表型变异20.让这个解释不太可能。CAG扩张突变的影响PPP2R2BPP2A的函数表达式和一个潜在的变化,如果有的话,还没有成立于SCA-12。然而,广泛的神经元的分布PPP2R2B,19包括在浦肯野细胞,组成型表达与临床一致SCA-12 neuroradiologic多个中枢神经系统区域的参与,包括小脑。
总之,SCA-12诊断考虑病人的初始神经信号动作震颤和后来发展微妙的迹象小脑功能障碍,反射亢进,帕金森病,或认知功能障碍。
确认
亨廷顿氏舞蹈症的赠款支持的美国社会和美国国立卫生研究院(NS16375, MH01275、MH50763 DA00225)。
承认
作者感谢家人的亲切和她们的医生合作,包括A.J.萨姆纳。他们也感谢m .谢尔和c . Liszewski援助和主机Molliver帝国和有益的讨论。
- 收到了2000年9月12日。
- 接受2000年12月6日。
引用
信:快速的网络通信
你可能也会感兴趣
提醒我
推荐的文章
- 文章
杂合的STUB1错义变异引起共济失调,认知能力下降,STUB1定位错觉凯特琳拉蒂默,Dong-Hui陈迈乌米八木等。
首页神经学:遗传学,2020年2月20日 - 文章
纵向随访对矛盾的VIM丘脑脑深部电刺激或特发性震颤隆Tsuboi,倡导建立Jabarkheel,帕梅拉·r·Zeilman et al。
首页神经学,2020年2月11日 - 文章
拷贝数变异的LINGO1家族矛盾的震颤Vafa Alakbarzade托马斯·Iype巴里Chioza et al。
首页神经学:遗传学,04年2月,2019年 - 观点和评论
震颤在肌张力障碍是肌张力障碍的表型特征吗?乔凡尼看来,安东内拉·康特·拉斯泰利,安吉洛Gigante et al。
首页神经学,2015年2月6日


= CAG扩张患者临床上不受影响;箭头=渊源者。(稍微修改保存保密。)
