Diffusion-weighted MRI异常作为克雅二氏症的早期诊断标志物
做出评论
看到评论
文摘
摘要目的:评估的有效性diffusion-weighted MRI(驾车)克雅氏病(CJD)的早期诊断。
方法:连续36例(56 - 82岁)登记,和26被醉酒驾车了。九是明确的根据世界卫生组织的标准,和27是可能的。醉酒驾车的比例异常,周期性大幅波复合物(PSWCs)脑电图,检测CSF 14-3-3蛋白,增加的CSF特异性神经元烯醇酶(> 25 ng / mL)在第一次考试比较。对于醉酒驾车,32例(31 - 84岁)显示进步的痴呆或受损的意识作为疾病控制。
结果:醉酒驾车异常的百分比为92.3%,PSWCs 50.0%, 14-3-3蛋白检测84.0%,分析了无增加73.3%。两个32控制受试者误判酒后驾驶。醉酒驾车的敏感性为92.3% (95% CI 74.8 - 99.5%)和特异性93.8% (95% CI 79.2 - 99.2%)。17个病人没有显示PSWCs第一脑电图异常酒后发现仍明显发现。四个病人- 14-3-3蛋白也显示驾车异常。醉酒驾车异常发现早在3周的症状持续时间在四个病人谁PSWCs尚未明显。
结论:醉酒驾车可以检测特征病变在大多数库贾氏症患者无论PSWCs的存在。酒后驾车是最敏感的测试库贾氏症的早期临床诊断;应该考虑将其纳入正式库贾氏症的临床诊断标准。
克雅氏病(CJD)是一种传染性疾病,进步的,致命的海绵状脑病。1牛海绵状脑病的传播对人类变异型克雅氏病2集中关注库贾氏症增加。疾病的主要表现是快速进行性痴呆,广义肌阵挛,周期性大幅波复合物(PSWCs)脑电图。然而,情况并不一致显示这种典型的表现被认可,和疾病表现的频谱扩展。3、4⇓早期、准确的诊断是很重要的,防止疾病传播,但诊断并不容易,尤其是在疾病的早期阶段。
PSWCs脑电图上被用作中央诊断测试库贾氏症之一。5然而,PSWCs只观察到60%的患者3、4⇓通常出现在中间阶段的疾病。此外,PSWCs并不总是特定库贾氏症。6因此PSWCs有限使用的库贾氏症的早期诊断。brain-specific蛋白质如14-3-3蛋白的检测6和特异性神经元烯醇酶7(研究)脑脊液还支持库贾氏症的诊断。虽然14-3-3的敏感性和特异性的蛋白质6和分析了无7高于PSWCs,8假阳性结果中观察到的一些神经系统疾病,如单纯疱疹脑炎、脑血管疾病,6桥本脑病,9和多种神经紊乱。10
最近,一些报道称,diffusion-weighted MRI(驾车)可以展示库贾氏症早期脑损伤病人当扫描- t2加权MRI检查(T2I)。11在这项研究中,我们评估的有用性醉酒驾车的早期临床诊断库贾氏症通过比较它与其他序列先生如T2I和fluid-attenuated反转恢复成像(天赋)和与其他诊断测试包括PSWC, CSF 14-3-3蛋白和CSF分析了无作为世界卫生组织(世卫组织)库贾氏症诊断标准。12
病人和方法。
学习小组。
连续36个库贾氏症患者从1月1日,1994年6月30日,2003年,在美国神经学、东北大学医院,及其相关医院(56 - 82岁,平均年龄为68.9岁;首页21人)参加本研究。这些病人包括病人在我们之前的报道。13 - 15⇓⇓根据世界卫生组织的标准,129是明确的和27是可能的。人类朊蛋白基因(遗传的研究含有朊)27岁患者,20是零星的库贾氏症(17蛋氨酸在密码子129纯合性含有朊,其中3个是明确的;14时可能的诊断水平,2人明确的缬氨酸纯合性和1是谁可能有蛋氨酸/缬氨酸杂合性)。六个家族库贾氏症(两个明确的,四个可能的,两人V180I15和一个E200K16;人M232R)。17两个病人接受尸体硬脑膜(医源性库贾氏症),一个是明确的,一个是可能的(人蛋氨酸在密码子129纯合性含有朊)。病人由各种库贾氏症的临床表型包括罕见变异与临床课程更长的时间。这些患者中列出的配置文件表1。
疾病控制。
我们回顾了回顾性的临床记录患者承认美国神经学、东北大学医院,从1998年1月1日至2003年6月30日。首页排除患者突然发病或脑膜脑炎的症状,如高热、脖子僵硬,等等,81例亚急性痴呆或受损的意识进步1到几个月。32(31 - 84岁,平均年龄为61.9岁;15人)的81个病人经历了驾车考试。他们作为疾病控制酒后驾车,因为获得一大群人怀疑库贾氏症,而是另一种诊断是困难的。这些患者,4人严重怀疑库贾氏症,最后诊断为谁在两个被IV维生素代谢脑病,提高管理,一个是线粒体脑病作为实验证实了一种酶,和一个是corticobasal神经节变性验证了尸检。这些控件包括路易体痴呆和阿尔茨海默病(AD)、脑血管疾病、中枢神经系统感染、代谢或线粒体脑病,中枢神经系统恶性肿瘤,corticobasal神经节变性,区间形式的CO中毒,等等。与路易体痴呆,广告,和脑血管疾病库贾氏症的主要鉴别诊断,18和中枢神经系统感染、脑病和中枢神经系统恶性肿瘤有时展示积极的CSF 14-3-3蛋白测试,19这是一个重要的诊断标记库贾氏症。6疾病控制中列出表2。
我们比较敏感的序列先生的积极成果如醉酒驾车,T2I和天赋。我们也评估interobserver协议。我们比较的敏感醉酒驾车的积极成果,PSWC, brain-specific蛋白质如14-3-3在脑脊液蛋白质和了无库贾氏症的诊断。PSWC和积极分析14-3-3蛋白中包括诊断标准。12这些考试进行了3 - 25周后发病的平均持续时间为10.7周后开始(见表1)。
方法。
驾车技术。
扫描进行大量的单位。1.5或1.0 T先生单元(标记地平线LX,通用电气医疗系统、密尔沃基、WI;或Magnetom愿景、西门子、德国埃朗根)使用。醉酒驾车进行在库贾氏症26例单发旋转回声echo-planar成像。成像参数如下:4700 - 5000/93到120/1或2(时间/有效回波时间/不重复。励磁的),10 - 15轴部分5 -或6毫米截面厚度1.5 - 3.0 mm的十字路口差距,128×128矩阵,220 - 230 mm的视野,和diffusion-encoding强度(b因素)的1000 s /毫米2。在23个库贾氏症病例,26日T2I执行,在17 26库贾氏症的情况下,才能进行。醉酒驾车、T2I和天赋在同一天进行先生使用相同的单位。
核磁共振的调查。
核磁共振扫描复印件的回顾性评估两位神经放射盲的临床信息,分别研究了每种类型的序列,没有指的是其他序列,独立和个人。我们接受三种类型的高强度损伤对醉酒驾车CJD-related病变:病变在纹状体(尾状或putaminal或两者),丘脑枕等病变,病变在皮质(大脑和小脑)。我们也接受了病变的几种类型的组合。我们不仅接受了对称的病变也不对称或单方面病变。醉酒驾车疾病控制集团的扫描也回顾性评估困难副本结合五醉酒驾车扫描相同的两个库贾氏症病人的神经放射,完全忽视临床信息以减少观察者偏见。
PSWCs。
脑电图记录使用国际10 - 20体系。PSWCs被定义为分散两相或三相的大幅波复合物与100和600毫秒之间的持续时间和一个intercomplex间隔500至2000毫秒。5
Brain-specific脑脊液蛋白质。
14-3-3蛋白免疫测定CSF通过使用多克隆抗体进行免疫印迹14-3-3蛋白β对碘氧基苯甲醚,SC 629(圣克鲁斯生物技术、圣克鲁斯,CA)。乐队对抗体的存在,SC 629年调查。CSF中分析了无商业使用ELISA测定(SRL实验室、东京、日本),和一个值> 25 ng / mL20.被认为是积极的。
统计分析的诊断敏感性酒后驾车,PSWCs,了无14-3-3蛋白CSF,积极醉酒驾车,T2I,和天赋,interobserver协议率使用Fisher精确概率测试完成。
结果。
核磁共振成像。
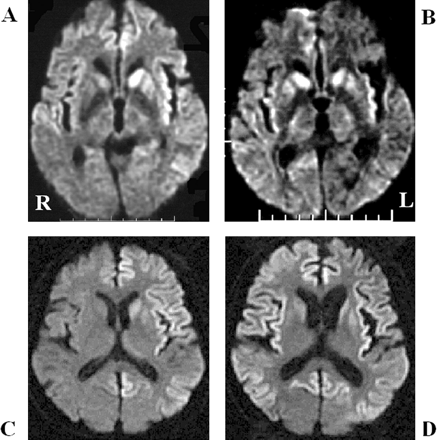
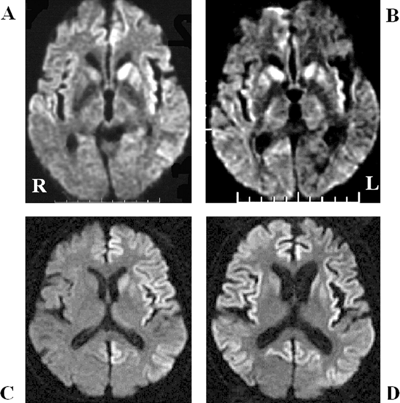
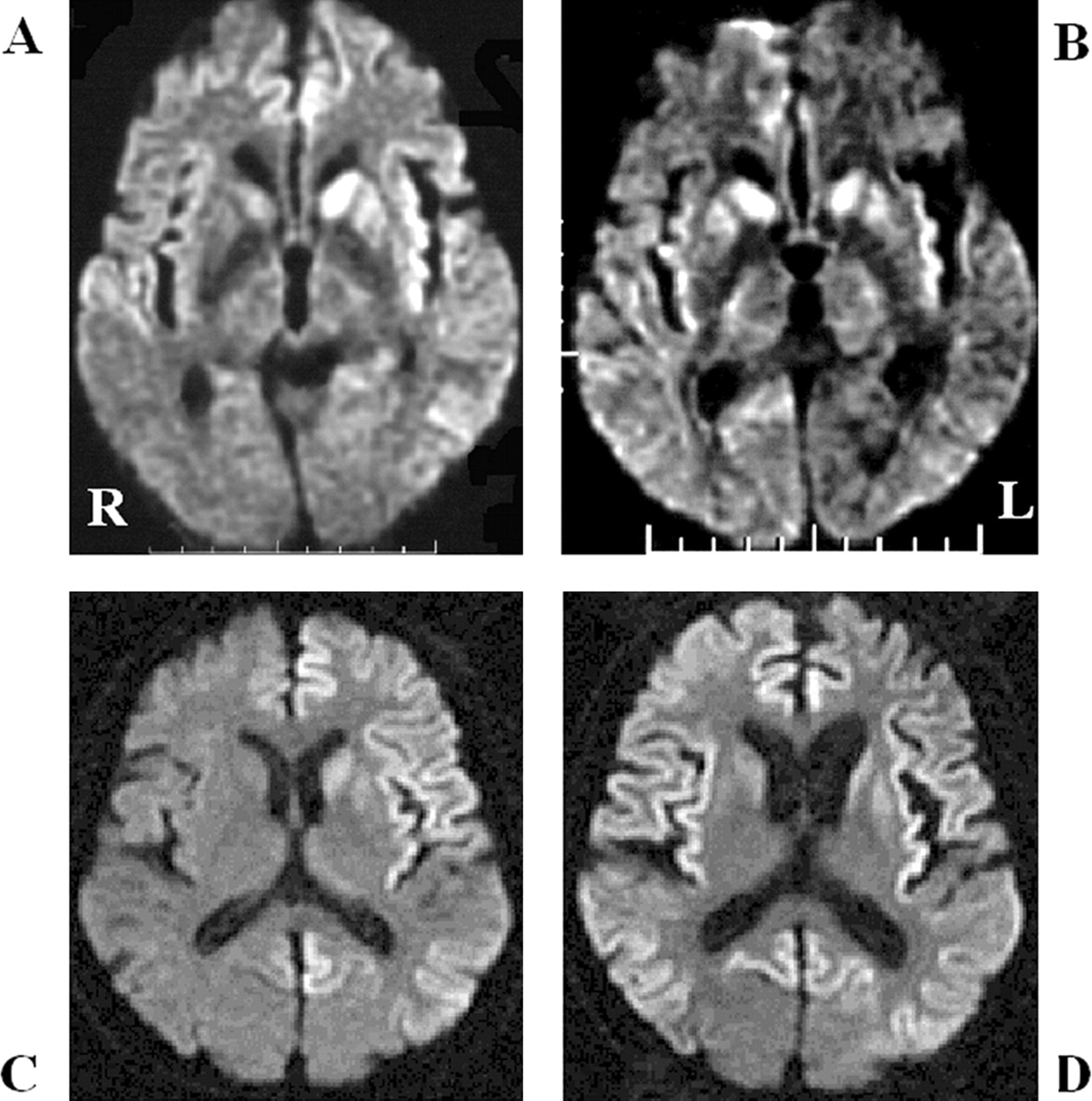
酒后驾驶是在26日检查库贾氏症患者发病后3到25周平均持续时间为10.7周。24库贾氏症患者表现出高强度脑损伤的驾车考试。两个观察者,醉酒驾车的库贾氏症诊断的敏感性为92.3%。interobserver协议率为100%。3例(12.5%)显示只在尾状头和硬膜损伤,10例(41.7%)患者显示线性损伤只有在大脑皮层,和11例(45.8%)患者显示病变基底神经节和大脑皮层(图1)。其中,只有三个病人(12.5%)显示,丘脑病变。没有病人显示高强度在小脑病变。高强度损伤在驾车之前出现脑萎缩。病变包括纹状体初并不总是对称的但是后来对称(图2),尽管对称的纹状体病变是众所周知的在库贾氏症。11在某些情况下,高强度损伤与连续驾车并不总是进展的疾病,而有时信号强度降低了疾病进展的一些病变。在某些情况下,皮质高信号强度不同,解剖分布(图3)。在终端阶段与深刻的脑萎缩,高强度损伤变得不清楚。T2I DWI-examined 26日在23日检查病人,但T2I扫描被排除在外,因为低质量由于运动构件。一位观察家认为11 22患者阳性(50.0%),而另一个观察者认为8阳性(36.4%)。interobserver协议率为68.2%,低于酒后驾车(p< 0.005)。在这两个观察者,醉酒驾车是比T2I更敏感(p一个观察者,< 0.005p另一个观察者p < 0.0005)。天赋是17 26患者的检查。一位观察家认为10 17例阳性(58.8%),和另一个观察者认为7是积极的(41.2%)。interobserver协议率为82.4%,也低于酒后驾车(p< 0.05)。醉酒驾车是比天赋更敏感(p一个观察者,< 0.01p另一个观察者p < 0.0005)。我们在图4一个例子中,只有醉酒驾车可以检测高强度异常病变。
图2。按时间顺序的改变的纹状体和皮质病变。零星的克雅氏病(CJD)显示基底神经节的进展信号变化不对称对称(B) (A)。(A)和(B)之间的间隔是2个月。的家族与V180I突变库贾氏症显示大脑皮层的进展和尾状核头信号变化不对称(C)对称(D)。(C)和(D)之间的间隔是4个月。
图3。按时间顺序的改变皮质病变的零星克雅二氏症(sCJD)。皮质高强度在sCJD随着时间的推移而改变的情况下,增加和减少信号强度在不同的地区。高强度的双边枕叶皮层(A)减少(C,箭头),而信号强度在左岛和颞皮层(A)明显增加(C,箭头)。(一)和(C)之间的间隔是1个月。右颞叶皮层的高强度和双边枕叶皮层(B)减少(D,箭头为左颞叶皮层和箭头双边内侧枕叶皮层)。(B)和(D)之间的间隔是1个月。注意,高强度损伤中描述diffusion-weighted成像并不是简单地扩大疾病的进展。
图4。比较显眼的克雅氏病疾病变化相同的病人在不同的核磁共振序列。t2加权成像(A)和fluid-attenuated反转恢复成像(B)显示正常的结果,和diffusion-weighted MRI (C)展示了高强度在大脑皮层病变。
醉酒驾车未能发现任何损伤两个病人在第一次考试。第二个醉酒驾车显示高强度在纹状体病变患者之一。重复醉酒驾车扫描其他病人没有任何高强度的病变在他的整个疾病过程。尸检,protease-resistant 2型朊蛋白被发现在这个病人的免疫印迹分析使用单克隆抗体3 f4(图章实验室、Dedham, MA),和没有海绵状的变化。这种情况下被列为MM2-thalamic根据Parchi的分类(表1)。3
高强度醉酒驾车是符合我们的标准观察到病变的疾病控制的病人。一位观察家认为,一个69岁的女人,隐球菌脑膜脑炎和一个60岁的女人区间形式的CO中毒是误判。另一个观察者认为,一名48岁的女性与单纯疱疹脑炎和47岁的酒精性脑病是误判。两个观察者,假阳性率6.3%,interobserver协议率为87.5%。没有高度CJD-suspected证明高强度损伤的病人。醉酒驾车的敏感性为92.3% (95% CI 74.8 - 99.5%)和特异性93.8% (95% CI 79.2 - 99.2%)。
醉酒驾车的出现之前发现了脑损伤PSWCs 10位病人的脑电图。醉酒驾车异常发现早在3周的症状持续时间在四个病人谁PSWCs尚未明显。七个八个病人没有显示PSWCs在整个疾病过程,第一个醉酒驾车脑损伤(见得到了明确的论证表1)。
PSWCs脑电图。
从所有36例脑电图记录。十八岁的36例(50.0%)患者显示PSWCs第一脑电图符合标准。在10的18 PSWC-negative病人,连续脑电图显示PSWCs。然而,8个病人(22.2%)没有显示PSWCs进一步连续脑电图记录。的遗传分析含有朊证明了四个点突变V180I和人在密码子129 MV,尸检显示两人VV2和人MM2-thalamic(见表1)。通常,这些类型的库贾氏症患者没有显示PSWCs。3
Brain-specific脑脊液蛋白质。
14-3-3蛋白在25例检查,分析了无30。21岁的25例(84.0%)阳性14-3-3蛋白质和22的30例(73.3%)阳性了无。在24个病人检查对于brain-specific蛋白质,16都是积极的,4例阴性,和4 NSE-negative患者阳性14-3-3蛋白质(见表1)。
比较敏感的醉酒驾车,PSWCs脑电图,brain-specific脑脊液蛋白测定在诊断库贾氏症。
醉酒驾车检查对鉴别诊断的敏感性为92.3%,PSWCs 50.0%, 14-3-3蛋白84.0%,分析了无73.3%。醉酒驾车是比PSWCs更敏感(p< 0.0005)。14-3-3蛋白比PSWCs更敏感(p< 0.01)。醉酒驾车往往比14-3-3更敏感的蛋白质和了无,但差异不显著(p= 0.36,p= 0.06)(图5)。在所有10个病人PSWCs连续脑电图记录,醉酒驾车的病变早已经被发现。醉酒驾车是积极的在三四个14-3-3六七NSE-negative protein-negative病人和病人。在只有一个病人MM2-thalamic被归类为一种罕见的变异,3醉酒驾车,PSWC, 14-3-3蛋白,分析了无都是负面的。
讨论。
MRI没有被认为是一个敏感的非侵入性诊断测试库贾氏症21;人们以前认为脑电图是最可靠的诊断测试。5增加信号强度在基底神经节T2I于1988年第一次描述了,22这是证明在描述库贾氏症病变的MRI是有用的。23尽管醉酒驾车库贾氏症的早期诊断的有效性建议,11、13⇓相比没有人能够描述序列如T2I先生之间的病变,天赋,和酒后驾驶或醉酒驾车在库贾氏症诊断的准确性,尤其是库贾氏症的早期临床诊断,与其他非侵入性测试包括脑电图。在这项研究中,我们发现,醉酒驾车的敏感性是92.3%,酒后驾驶更敏感比传统T2I检测CJD-related病变和天赋。T2I和天赋的敏感是40 - 50%,不足为一线测试鉴别诊断。此外,CJD-related病变,我们证明在醉酒驾车没有检测到少量的控制与广告,与路易体痴呆,和脑血管痴呆的主要鉴别诊断库贾氏症。18我们演示了醉酒驾车的优越性在其他非侵入性诊断测试,比较其灵敏度与PSWCs脑电图,14-3-3蛋白,分析了无检查鉴别诊断。出乎意料,醉酒驾车的interobserver协议利率是100%,显著高于T2I和天赋。这表明醉酒驾车,可以描绘CJD-related病变明显、可靠地,可能代表一个非常重要的鉴别诊断的诊断测试。像我们展示了以前,13酒后驾车比T2I运动工件的宽容和天赋。这种优势在库贾氏症患者尤为重要的非随意运动肌阵挛混蛋。这种宽容可能的原因之一的高灵敏度和高interobserver协议的速度驾车相比T2I和天赋。
积极的利率由我们两个观察员T2I 36.4和50.0%,这些都大大低于T2I之前报道积极率为79.3%。23我们认为,这种差异可以占时的不同MRI检查;平均持续时间为我们的患者从发病到MRI检查是10.7周(2.6个月),而以前的报告是8.1个月。23T2I积极率67.3%也报告;然而,积极的第一T2I报告是43.2%。24这在我们的结果几乎是一样的。
目前,PSWCs库贾氏症的诊断中发挥核心作用。12然而,在PSWC-negative病人的情况下,库贾氏症的诊断有时困难,这种情况下被归类为“库贾氏症。”12我们演示了在这项研究中,酒后驾车不仅是积极比PSWCs的存在还早,醉酒驾车是积极的在库贾氏症受试者没有PSWCs在他们的疾病。在怀疑库贾氏症患者诊断为“库贾氏症,”诊断的准确性DWI-positive病人和DWI-negative患者之间是不同的。库贾氏症的可能性更高DWI-positive病人和低DWI-negative病人。
每个观察者判断为假阳性2 32疾病的控制。然而,两个观察人士不同意结果:一位观察家认为醉酒驾车的隐球菌脑膜脑炎和区间形式的CO中毒是假阳性,而另一个观察者判断醉酒驾车的单纯疱疹脑炎和酒精性脑病为假阳性。然而,仔细在脑脊液和脑脊液细胞增多的存在历史研究显著降低库贾氏症的可能性。醉酒驾车是非常有用的库贾氏症区别于广告,血管性痴呆,和路易体痴呆与库贾氏症的主要鉴别诊断18和占绝大多数痴呆老年病人。25醉酒驾车的线粒体脑病、乳酸酸中毒和类似中风发作(看见),威尔逊疾病和韦尼克脑病可以证明类似异常。然而,临床过程和实验室结果容易区分库贾氏症。酒后驾车在低血糖,26缺氧,27和可逆的后部脑白质病综合症28也被报道证明高强度损伤类似库贾氏症。然而,这些特殊的事件,显然不同于库贾氏症。我们必须提到一个15岁的男孩的最后诊断中枢神经系统狼疮是指日本库贾氏症监测委员会。意识障碍发达亚急性,醉酒驾车显示分散高强度损伤大脑皮层和基底神经节。他的神经症状改善后强的松的管理。中枢神经系统vasculitic疾病鉴别诊断也需要被排除在外。
的病理结果与CJD-related有关高强度损伤在酒后驾车仍然是有争议的。海绵状的变化29日存款和朊病毒蛋白30.是候选人。醉酒驾车考试的时滞尸检病理检查阻碍一个准确的理解。尸检的一次醉酒驾车的家族与V180I库贾氏症显示突出的高强度在大脑皮层显示严重海绵状变化而弱朊蛋白免疫组织化学染色那里。零星的库贾氏症患者的尸检MM2-thalamic的醉酒驾车了消极的结果在整个疾病过程并没有发现海绵状变化而软弱的朊蛋白染色。根据我们的经验有限,我们推测,酒后驾驶有关的高强度损伤描述海绵状变化而非朊蛋白沉积;然而,需要更多的动物和尸体解剖研究证实了这一点。目前还不清楚为什么有些高强度损伤与疾病的发展变得不那么突出。我们需要积累radiopathologic研究几种类型的库贾氏症。
本研究的弱点是理想的数量控制,库贾氏症嫌疑人最终替代诊断,太小了,因为它是很难获得大量这样的病人,也缺乏病理诊断在大多数库贾氏症患者,结果只有9的36个患者明确的,因为在很多情况下难以获得尸检。要克服这些弱点,病理证实库贾氏症患者的多中心分析和理想的控制是必要的。
最后,在解释诊断测试的结果,我们必须明白酒后驾车等实验室检测,brain-specific蛋白质,脑电图反映不同方面的疾病。Brain-specific蛋白质反映神经元的持续的快速和大规模破坏,和脑电图反映了大脑受伤的当前状态。
确认
作者感谢Drs。凯基Chida Nobuyuki佐藤,玲子Fukatsu, Takanori Oikawa, Hiroshi黑田,Takafumi长谷川,Atsushi武田,丰田菊池,铃木Naoki Masahiro浅野,Kazutaka金病人的护理。他们也感谢博士Tetsuyuki Kitamoto分析朊蛋白基因和布伦特先生贝尔阅读手稿。
脚注
参见页面410年、436和450
提出了部分美国神经学会第127届会议上,10月14日,2002年,纽约。
- 收到了2003年4月16日。
- 接受2004年3月18日。
引用
信:快速的网络通信
你可能也会感兴趣
提醒我
推荐的文章
- 文章
表型变化致命性家族失眠症(d178n - 129 m)基因型Zerr, a . Giese o . Windl et al。
首页神经学,1998年11月1日 - 文章
分析脑电图及脑脊液14-3-3蛋白质作为艾滋病克雅二氏症的诊断Zerr,科林斯m . Pocchiari s . et al。
首页神经学,2000年9月26日 - 文章
硬脑膜的临床特征和诊断graft-associated克雅二氏症m . Noguchi-Shinohara h t, t . Kitamoto et al。
首页神经学,2007年7月23日 - 文章
CSF测试克雅二氏症的鉴别诊断p . Sanchez-Juan a .绿色Ladogana et al。
首页神经学,2006年8月21日


