跳转到主要内容
广告
  • 首页Neurology.org
  • 期刊
    • 首页
    • 临床实践
    • 教育
    • 遗传学
    • 神经免疫学和神经炎症
  • 在线部分
    • 首页神经学视频杂志俱乐部
    • 多样性,股本,包含(一些)
    • 首页神经学:临床实践加速器
    • 实践的嗡嗡声
    • 当前实践
    • 居民和同伴
    • 无国界
  • 188app官网下载
    • COVID-19
    • 争议和辩论
    • 健康差异
    • 信息图
    • 188app下载地址
    • 零假设
    • 188app苹果
    • 话题无所不包的
    • 188app下载
    • UDDA修订系列
  • 188bet官网app网址
  • 芝加哥商品交易所
  • 关于
    • 关于期刊
    • 联系我们
    • 188app
  • 作者
    • 提交新的手稿
    • 提交修改后的手稿
    • 作者中心

高级搜索

主菜单

  • 首页Neurology.org
  • 期刊
    • 首页
    • 临床实践
    • 教育
    • 遗传学
    • 神经免疫学和神经炎症
  • 在线部分
    • 首页神经学视频杂志俱乐部
    • 多样性,股本,包含(一些)
    • 首页神经学:临床实践加速器
    • 实践的嗡嗡声
    • 当前实践
    • 居民和同伴
    • 无国界
  • 188app官网下载
    • COVID-19
    • 争议和辩论
    • 健康差异
    • 信息图
    • 188app下载地址
    • 零假设
    • 188app苹果
    • 话题无所不包的
    • 188app下载
    • UDDA修订系列
  • 188bet官网app网址
  • 芝加哥商品交易所
  • 关于
    • 关于期刊
    • 联系我们
    • 188app
  • 作者
    • 提交新的手稿
    • 提交修改后的手稿
    • 作者中心
  • 家
  • 最新文章
  • 最新一期
  • 过去的问题
  • 首页神经学视频杂志俱乐部
  • 居民和同伴

用户菜单

  • 订阅
  • 我的提醒
  • 登录

搜索

  • 高级搜索
首页
家
最广泛的阅读和高度引用同行评议的神经病学杂志上首页
  • 订阅
  • 我的提醒
  • 登录
网站的标志
  • 家
  • 最新文章
  • 最新一期
  • 过去的问题
  • 首页神经学视频杂志俱乐部
  • 居民和同伴

分享

2012年8月28日 ;79 (9) 居民和其他部分

教学神经图片:体温过低和胼胝体发育不全的夏皮罗综合症

太冷,即使是海盗

Daniel l .肯尼,米歇尔•托莱达诺,布莱恩·d·莫斯利
第一次出版2012年8月27日, DOI: https://doi.org/10.1212/WNL.0b013e318266fc66
Daniel l .肯尼
部门的儿童和青少年神经学、神经学部门(D.L.K.)和神经学部门(M.T.首页B.D.M.),梅奥诊所,罗切斯特MN。
医学博士
  • 在谷歌学术搜索找到这位作者
  • 在PubMed找到这位作者
  • 寻找作者在这个地点上
米歇尔•托莱达诺
部门的儿童和青少年神经学、神经学部门(D.L.K.)和神经学部门(M.T.首页B.D.M.),梅奥诊所,罗切斯特MN。
医学博士
  • 在谷歌学术搜索找到这位作者
  • 在PubMed找到这位作者
  • 寻找作者在这个地点上
布莱恩·d·莫斯利
部门的儿童和青少年神经学、神经学部门(D.L.K.)和神经学部门(M.T.首页B.D.M.),梅奥诊所,罗切斯特MN。
医学博士
  • 在谷歌学术搜索找到这位作者
  • 在PubMed找到这位作者
  • 寻找作者在这个地点上
完整的PDF
引用
教学神经图片:体温过低和胼胝体发育不全的夏皮罗综合症
太冷,即使是海盗
丹尼尔·L。肯尼,米歇尔托莱达诺,布莱恩·D。莫斯利
首页 2012年8月, 79年 (9) e78; DOI:10.1212 / WNL.0b013e318266fc66

引用管理器格式

  • 助理
  • 书挡
  • 值得
  • 尾注(标记)
  • 尾注8 (xml)
  • 枸杞
  • Mendeley
  • 论文
  • RefWorks标记
  • Ref经理
  • RIS
  • Zotero
权限

做出评论

看到评论

下载
1612年

分享

  • 文章
  • 数据与数据
  • 信息与信息披露
加载

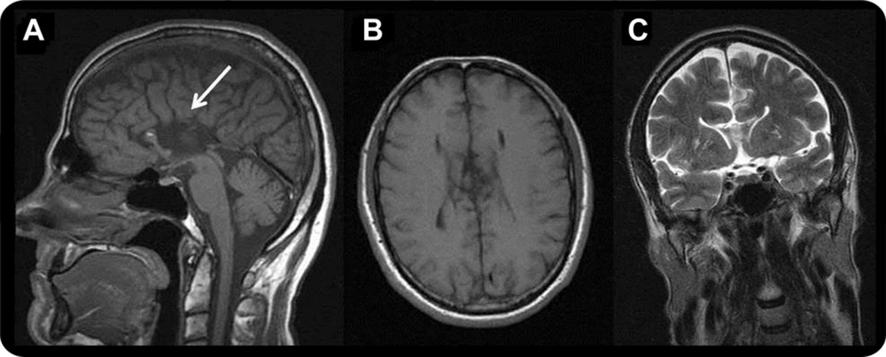
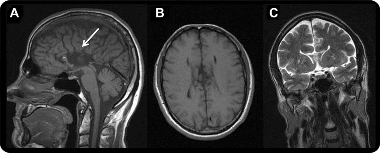
58岁的男人面对每日一小时的低体温、多汗、低血压。实验室研究的结果,包括促甲状腺激素,免费的甲状腺素,总/可利用睾酮、皮质醇,早上和尿同渗重摩,是正常的。核磁共振成像的大脑显示胼胝体发育不全(图A和B)与夏皮罗综合征一致。

图
  • 下载图
  • 打开新标签
  • 下载演示文稿
图 核磁共振成像的大脑

(一)矢状t1和(B)轴向t1影像显示胼胝体发育不全(箭头所指)暗示夏皮罗综合症。没有注意到垂体异常。(C)冠t2加权图像显示海盗头盔或麋鹿头外观认为侧脑室的胼胝体的缺失。

夏皮罗综合征是一种罕见的疾病中描述少于60名患者。它由周期性低体温,多汗,胼胝体发育不全。1,2任何条件胼胝体发育不全导致侧心室承担海盗头盔外观(图C)。夏皮罗的低体温症综合征可能是由于下丘脑功能障碍和可能对可乐定。2

作者的贡献

Drs。肯尼和莫斯利做出实质性贡献的设计研究和起草的手稿。Drs。托莱达诺的修订手稿作出了实质性的贡献。所有作者最终批准出版的版本。

脚注

  • 作者报告没有披露相关的手稿。去首页Neurology.org为充分披露。

  • 版权©2012年长企业公司,。

引用

  1. 1。↵
    1. 夏皮罗或者说是,
    2. 威廉姆斯“大酒店”,
    3. 李子F
    。自发的复发性低体温陪同胼胝体发育不全。大脑1969年;92年:423年- - - - - -436年。
    OpenUrl 免费的全文
  2. 2。↵
    1. 克莱因CJ,
    2. 西尔柏MH,
    3. Halliwill小,
    4. 的妇女不同SA,
    5. 苏亚雷斯遗传算法,
    6. 低巴勒斯坦权力机构
    。基底前脑畸形多汗和体温过低:变体夏皮罗的综合症。首页2001年;56:254年- - - - - -256年。
    OpenUrl 文摘/免费的全文
视图抽象

信:快速的网络通信

没有对本文发表评论。
评论

需求

你必须确保披露已经过去6个月内更新。请到我们的提交网站添加或更新你的披露信息。

你的合作者必须发送完成出版协议形式来首页员工(不是必要的领导/通讯作者如下表单就足够了)在你上传你的评论。

如果你回复评论,写过一篇文章你最初撰写:
你(和合作者)不需要填写表单或检查信息披露作为作者形式仍然有效
和申请信。

提交规格:

  • 提交必须与< < 200字5引用。参考1必须你评论的文章。
  • 提交不应该超过5作者。(例外:原作者回复可以包括所有原始作者的文章)
  • 6个月内提交只在文章发表日期的问题。
  • 不会是多余的。读任何评论已经张贴在本文之前提交。
  • 提交评论编辑和编辑审查发布之前。

更多的指导方针和信息在争议和辩论

写评论

关于文本格式的更多信息

纯文本

  • 不允许HTML标记。
  • 网页地址和电子邮件地址自动转化为链接。
  • 行和段落自动打破。
作者信息
注:第一作者的作者也必须相应的评论。
第一次或名字,如。“彼得”。
最后,或家庭,名字,如。“MacMoody”。
你的电子邮件地址,例如higgs-boson@gmail.com
你的角色和/或职业。“整形外科医生”。
您的组织或机构(如果适用),例如:“皇家自由医院”。
出版协议
注意:所有作者,除了第一/通讯作者,必须完成一个独立的出版协议形式前向编辑部提供通过电子邮件可以发表评论。
验证码
这个问题测试你是否人类访问者,并防止自动垃圾邮件提交。

垂直制表符

你可能也会感兴趣

回到顶部
  • 文章
    • 作者的贡献
    • 脚注
    • 引用
  • 数据与数据
  • 信息与信息披露
广告

直接医疗成本与多发性硬化症:以人群为基础的队列研究在不列颠哥伦比亚,加拿大,2001 - 2020

丹尼斯Bourdette博士和林赛Wooliscroft博士

►看

相关文章

  • 没有找到相关文章。

主题讨论

  • 自主神经疾病
  • 核磁共振成像

提醒我

  • 提醒我当eletters出版

推荐的文章

  • 临床和伦理挑战
    诊断和管理周期的体温过低
    尼古拉斯·a·索道起重机等。
    首页神经学:临床实践,2013年12月04日
  • 神经 图片
    小计胼胝体发育不全与复发hyperhidrosis-hypothermia(夏皮罗综合征)
    尼古拉Tambasco,弗朗西斯科·克·维Bocola et al。
    首页神经学,2005年7月11日
  • 神经科学研究的临床意义
    温度调节
    最近的概念和剩余的问题
    爱德华多·e·Benarroch et al。
    首页神经学,2007年9月17日
  • 简短的沟通
    Agyria-pachygyria和胼胝体发育不全:常染色体隐形遗传与新生儿死亡
    l . Sztriha l . Al-Gazali因et al。
    首页神经学,1998年5月1日
首页神经学:101 (9)

文章

  • 提前打印
  • 最新一期
  • 过去的问题
  • 受欢迎的文章
  • 188app下载

关于

  • 关于期刊
  • 道德政策
  • 188app
  • 1888博金宝
  • 做广告

提交

  • 作者中心
  • 提交一份手稿
  • 信息审核人员
  • 河畔的指导方针
  • 权限

用户

  • 订阅
  • 激活订阅
  • 报名参加eAlerts
  • RSS提要
网站的标志
  • 神经学访问模首页板在Facebook上
  • 在Twitte首页r上关注神经病学模板
  • 访问YouT首页ube上的神经学
  • 首页
  • 首页神经学:临床实践
  • 首页神经学:教育
  • 首页神经学:遗传学
  • 首页神经学:神经免疫学和神经炎症
  • AAN.com
  • AANnews
  • 连续体
  • 大脑和生活
  • 首页今天神经学

Wolters Kluwer标志

首页神经病学|打印ISSN:0028年- - - - - -3878年
在线ISSN: 1526 - 632 x

188金宝搏官网登录

  • 隐私政策
  • 反馈
  • 做广告
Baidu
map