2018年4月17日
;90 (16)
居民和其他部分
教学实验:醉酒驾车在克雅二氏症和脑电图的发现
Aravind Ganesh,丽莎·c·霍伊特,Yahya Agha-Khani,迈克尔·哈默杨
第一次出版2018年4月16日,
DOI: https://doi.org/10.1212/WNL.0000000000005336
一个62岁的女人,以前健康了3周的进步短期记忆丧失,计算障碍,书写困难、食欲丧失、和频繁的情景左臂矛盾的姿态和眉高程。在考试,她也有手指失认症,构音障碍,agraphesthesia,双边实体感觉缺失,肌阵挛,观念运动的失用症(左更糟),和wide-based步态。脑电图显示放缓和周期性的单侧性的排放在右半球三相的形态,较少涉及到左边,反映临床不对称(图1)。1大脑MRI显示扩散限制与皮质的双边基底神经节的过程更加突出右边涉及多个脑回,符合克雅二氏症(图2)。2
图1
脑电图的结果不对称和周期性放缓边音的排放在克雅二氏症
代表时代的脑电图显示(A)后左边的阿尔法节律vs theta-delta右半球和(B)周期性放缓边音的排放在右半球三相的形态。
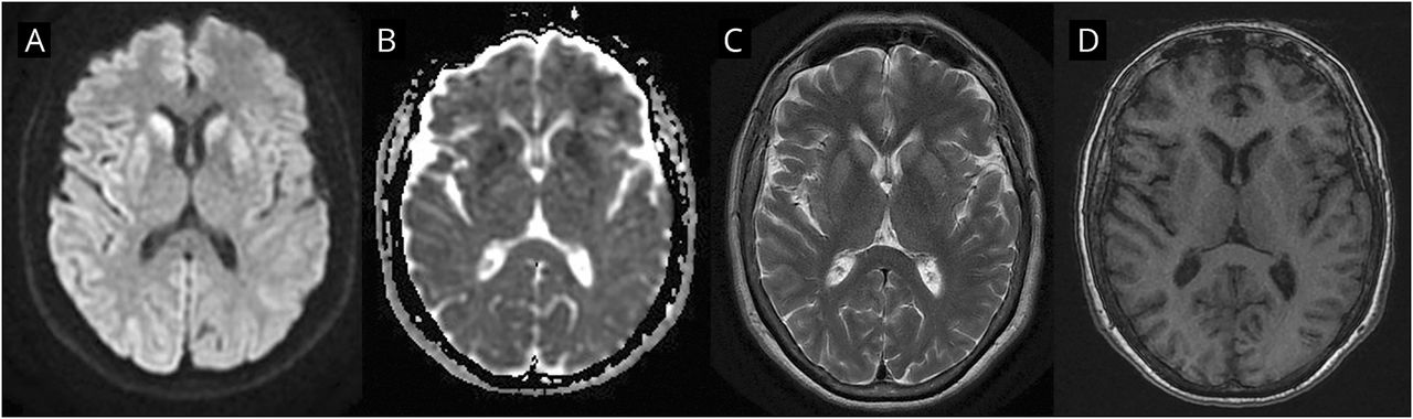
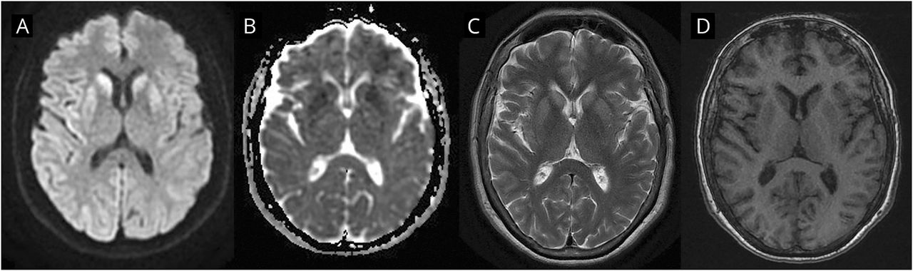
图2
核磁共振成像发现克雅二氏症的皮层和纹状体扩散限制
轴向部分(A) diffusion-weighted成像,(B)表观扩散系数,(C) T2加权,和(D) T1加权磁共振成像序列显示真正的扩散限制两国尾状核和壳核和多个脑回,更在右边(皮质过程),但没有其他变化在T2和T1。
作者的贡献
Ganesh博士:概念,采集的数据,和写作的最初草案手稿。霍伊特博士:概念,采集的数据,和写作的最初草案手稿。Agha-Khani博士:采集的数据和重要的知识内容的修订手稿。杨医生:概念和重要的知识内容的修订手稿。
研究资金
没有针对性的资金报告。
信息披露
答:Ganesh的服务首页神经病学®居民和其他部分的编辑委员会。l·霍伊特,y Agha-Khani, m . Yeung报告没有披露相关的手稿。去首页Neurology.org/N为充分披露。
脚注
去首页Neurology.org/N为充分披露。资金信息和披露认为作者相关的,如果有的话,年底提供这篇文章。
教学幻灯片:links.lww.com/WNL/A354。
- ©2018美国神经病学学会的首页
信:快速的网络通信
-
作者回复:醉酒驾车在克雅二氏症和脑电图的发现
- 阿拉Ganesh,首页神经病学的居民,卡尔加里大学
- 迈克尔MC杨,神经学家,卡尔加里大学
2018年6月1日提交 -
读者反应:醉酒驾车在克雅二氏症和脑电图的发现
- Junliang元,神经学家,神经学部门、北京朝阳医院、首首页都医科大学(中国,北京)
- Wenli胡,神经学家,神经学部门、北京朝阳医院、首首页都医科大学(中国,北京)
2018年5月2日提交
你可能也会感兴趣
广告
相关文章
-
没有找到相关文章。
提醒我
推荐的文章
- 居民和其他部分
居民&的轮约翰·j·Millichap调查指出,罗伊·e·Strowd三世et al。
首页神经学,2018年4月23日 - 文章
进步后皮质功能障碍一系列临床病理的
j·a·雷纳,j·m·伯恩斯,c, e .侯等。
首页神经学,2004年10月11日 - 文章
克雅二氏症病理关联扩散磁共振成像的变化d . n .礼仪,p . Parchi Tonon et al。
首页神经学,2009年4月20日 - 文章
Diffusion-weighted MRI hyperintensity模式库贾氏症有别于其他快速的痴呆症p .维塔利大肠Maccagnano,大肠Caverzasi et al。
首页神经学,2011年4月6日


