2019年10月15日
;93 (16)
居民和其他部分
教学视频的实验:垂直半综合症
劳拉·唐纳森,爱德华Margolin
第一次出版2019年10月14日,
DOI: https://doi.org/10.1212/WNL.0000000000008332
爱德华Margolin
系的眼科(清醒),麦克马斯特大学,汉密尔顿;和眼科及视觉科学(E.M.),多伦多大学加拿大。
医学博士
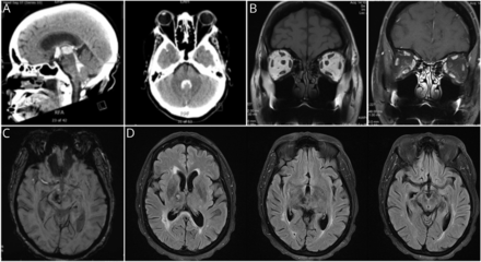
高血压史的一个51岁的女人面对左虚弱和复视。成像显示一个大出血性梗塞涉及右侧丘脑和吻侧中脑与脑室扩展(图)。Neuro-ophthalmic检查证明与限制的双边upgaze麻痹infraduction右边(视频1),克服了娃娃的头操作(视频2)。双边盖子收缩有显著降低收敛以及convergence-retraction眼球震颤。垂直的和一个一半综合征是一种罕见的表现造成单方面thalamomesencephalic中风与参与的间质核吻侧内侧纵束和后连合1在这里伴着背中脑综合症。
图
对thalamomesencephalic中风导致垂直半综合症
(一)矢状轴向(右)(左)和CT图像显示急性脑室,intrathalamic和中脑的出血。(B) MRI冠状切片显示正常的轨道(左:t1,右:t1脂肪饱和postcontrast)。(C) Susceptibility-weighted轴切片显示含铁血黄素沉积和(D) t2加权fluid-attenuated反转恢复图像显示体积丧失正确的丘脑和中脑个月后严重的侮辱。
视频1
Neuro-ophthalmic检查证明双边upgaze麻痹infraduction限制在右边。下载补充视频1通过http://dx.doi.org/10.1212/008332_Video_1
视频2
双边upgaze麻痹与右边infraduction克服限制一个娃娃的头回旋余地。下载补充视频2通过http://dx.doi.org/10.1212/008332_Video_2
研究资金
没有针对性的资金报告。
信息披露
作者报告没有披露相关的手稿。去首页Neurology.org/N为充分披露。
附录的作者
脚注
去首页Neurology.org/N为充分披露。资金信息和披露认为作者相关的,如果有的话,年底提供这篇文章。
- ©2019美国神经病学学会的首页
信:快速的网络通信
你可能也会感兴趣
广告
相关文章
主题讨论
提醒我
推荐的文章
- 居民和其他部分
临床推理:一个48岁的男子出现复视Niranjan k . Pehere Kebede高飞et al。
首页神经学,2020年11月16日 - 文章
异常朝向上脑干梗塞Pseudoabducens麻痹
p . Pullicino n . Lincoff B.T. Truax et al。
首页神经学,08年8月,2000年 - 文章
异常扭转快速眼球运动阶段的单边吻侧中脑疾病p . Riordan-Eva m . Faldon j . a . Buttner-Ennever et al。
首页神经学,1996年7月1日 - 医学假说
一个假设的方案的脑干控制垂直的目光Roongroj Bhidayasiri戈登·t·植物r·约翰·利等。
首页神经学,2000年5月23日


