居民&的轮
最近发表的文章的摘要首页®居民和其他部分
2019年10月1日的问题
这个问题包含一个珍珠& Oy-sters显示孤立的面孔失认症的主诉胶质母细胞瘤。教学实验案例显示Collet-Sicard综合症和听力损失与血管球jugulotympanicum。神经影像学教学视频案例描述了亚急性硬化性全脑炎慢周期性的肌阵挛和威尔逊暴发性疾病。
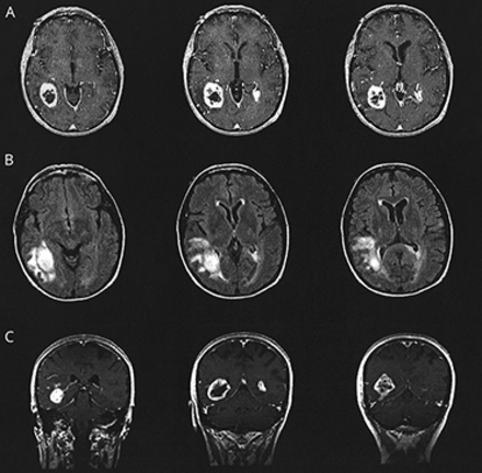
珍珠和Oy-sters:孤立的面孔失认症的主诉胶质母细胞瘤:面对欺骗
在本文中,我们提出一个胶质母细胞瘤患者主要涉及temporo-occipital叶,其主要的抱怨是人面失认症”。我们利用这个机会来讨论其他相关病因以及神经解剖学的面孔失认症。
页面642年
教学实验:Collet-Sicard综合症和听力损失与血管球jugulotympanicum
在本文中,我们提出一个病人出现进行性颅神经的参与IX-XII显示颈静脉孔和舌下运河参与,以及脑神经八世参与。
页面e1408
教学视频的实验:慢周期性肌阵挛亚急性硬化性全脑炎和威尔逊暴发性疾病
我们文档慢周期性的肌阵挛发达偏执型分裂症和34岁的秘鲁人,6个月后,levodopa-unresponsive帕金森症和瀑布,进展到无着丝粒的缄默症。
页面e1410
2019年10月8日的问题
这个问题开始于临床推理篇关于挑战的脊髓结节病。这一问题还包括一个教学实验,表明急性出血可能不会出现在susceptibility-weighted成像。神经影像学教学视频讨论使用音叉诊断眩晕。
教学实验:未能看到血在瑞士
这张图片表明,急性出血可能不会出现在susceptibility-weighted成像,以前一直认为是非常敏感的血液。
页面e1495
2019年10月15日的问题
临床推理文章中这一问题提出了一种机械血栓切除术的急性缺血性中风的心房粘液瘤的设置。这一问题还包括2019年CNRF作文比赛赢家,“艺术在痴呆和恢复身份,”作为一个右脑。神经影像学教学视频上出现这个问题描述垂直半综合症。
急性缺血性中风的临床推理:机械血栓切除术在心房粘液瘤的设置
在本文中,我们描述了表示和医院的一个年轻的病人出现急性左大脑中动脉综合症由于心房粘液瘤治疗静脉组织纤溶酶原激活物和后续的血管内血栓切除术切除心脏肿瘤。
页面e1572
2019年10月22日的问题
临床推理案件这一问题提出了一种急性脑病和刚度的情况下一个30岁的人。这一问题还包括2教学实验。首先讨论了扩散脑血管ferumoxytol灌注后工件磁化率。在脑电图中第二个描述electroretinographic工件。
临床推理:急性脑病和刚性的情况下一个30岁的人
我们描述的炎症性脑白质病继发于假定levamisole-contaminated可卡因的使用,与相伴cocaine-induced神经毒性(安定药恶性综合征)。我们概述了临床表现,诊断评估,各种鉴别诊断和治疗。
页面759年
教学实验:弥漫性脑血管ferumoxytol灌注后工件磁化率
一个79岁的女人出现构音障碍、失语,进行性加重。由于她的宗教信仰(耶和华见证人),她贫血治疗ferumoxytol注资,而不是红细胞输血。
页面e1662
教学实验:在脑电图中Electroretinographic工件
图像显示视网膜电流图(ERG)工件在病人缺氧缺血性脑病和缺乏electrocerebral活动在整个脑电图记录除了ERG波形。
页面e1660
2019年10月29日的问题
神秘的情况在这个问题上讨论了Cowden综合症出现多种的脑炎。这一问题还包括2教学实验。第一个报告一例少见的异染性脑白质营养不良与多个双边脑神经增强。第二个描述脊髓疝颈corpectomy之后。
神秘的例子:Cowden综合症出现多种的脑炎
这个病人最初诊断出患有多种脑炎。然而,进一步的物理表现包括巨头、皮肤损伤,许多肿瘤病人指出Cowden综合征的诊断和潜在的遗传原因。
813页
教学实验:一种罕见的异染性脑白质营养不良与多个双边脑神经增强
32-month-old男孩,足月出生的人,面对进步发展回归从14个月大的时候。考试,他水平眼球震颤,减少呕吐反射,过度紧张、抑郁反应。
页面e1742
脚注
编辑的博客:NPub.org/rfblog
首页神经病学播客:188bet官网app网址NPub.org/rf
居民和其他临床推理书:NPub.org/crb
居民和其他ePearls:NPub.org/epearls
- ©2019美国神经病学学会的首页


