2019年10月29日
;93 (18)
居民和其他部分
教学实验:一种罕见的异染性脑白质营养不良与多个双边脑神经增强
视图ORCID概要Purabi Sonowal,卢拉迪,阿曼达·韦伯,Deniz Altinok
第一次出版2019年的10月28日,
DOI: https://doi.org/10.1212/WNL.0000000000008400
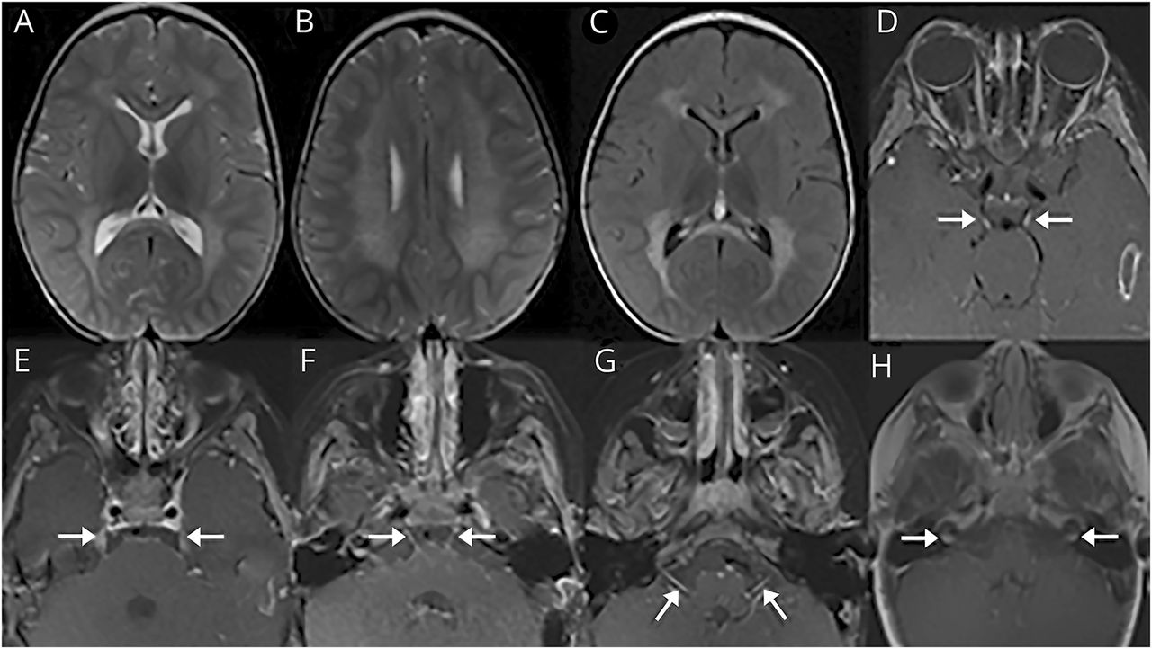
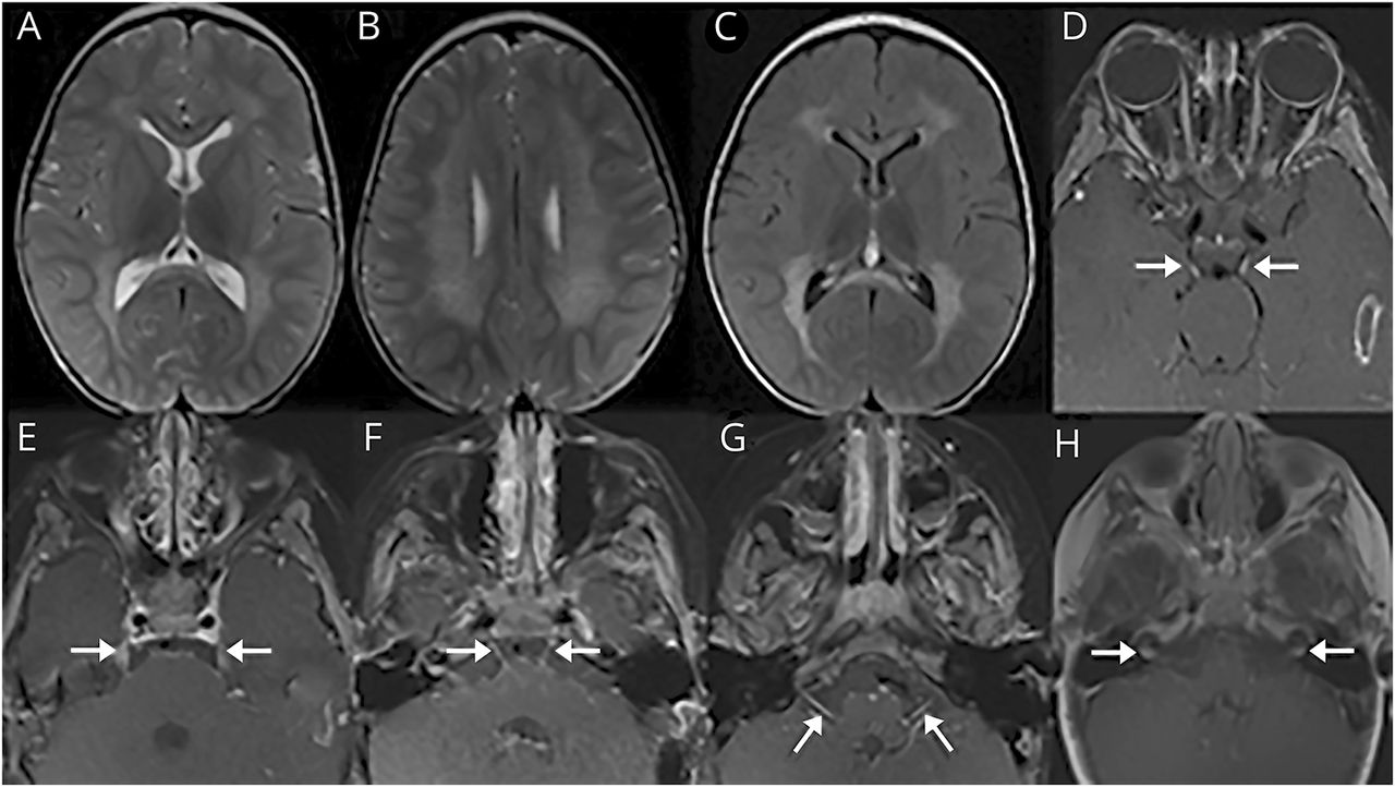
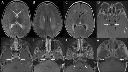
32-month-old男孩,足月出生的人,面对进步发展回归从14个月大的时候。考试,他水平眼球震颤,减少呕吐反射,过度紧张、抑郁反应。大脑MRI显示对称T2 / fluid-attenuated反转恢复支流hyperintensities在室周的白质,胼胝体,中枢semiovale(保留皮层下U纤维)增强的多发性颅神经(图)。的特点leopard-like外观hyperintensities促使进一步评价异染性脑白质营养不良(MLD)。1,2Arylsulfatase发现酶活性很低,和病人的纯合子的致病性变异ARSA基因(c.465 + 1 g),确认MLD。
图
成像
轴向T2 (A, B)和fluid-attenuated反转恢复(C)图像显示对称支流hyperintensities leopard-like外观在室周的白质,中枢semiovale(爱惜皮层下U纤维)、膝、胼胝体压部。轴向超声造影T1图像显示对称增强两国第三颅神经(D,箭头),双边第五颅神经(E,箭头),双边第六颅神经(F,箭头),双边第七颅神经(G,箭头)和双边第八颅神经(H,箭头)。
研究资金
没有针对性的资金报告。
信息披露
作者报告没有披露相关的手稿。去首页Neurology.org/N为充分披露。
附录的作者
脚注
去首页Neurology.org/N为充分披露。资金信息和披露认为作者相关的,如果有的话,年底提供这篇文章。
- ©2019美国神经病学学会的首页
信:快速的网络通信
你可能也会感兴趣
广告
相关文章
提醒我
推荐的文章
- 文章
大脑N-acetylaspartate水平与运动机能异染性脑白质营养不良c我大理,低速齿轮汉森,西北巴顿et al。
首页神经学,2010年11月22日 - 文章
延迟posthypoxic脱髓鞘与arylsulfatase缺乏和乳酸酸中毒质子光谱先生
杰伊·a·戈特弗里德斯蒂芬a . Mayer Dikoma Shungu et al。
首页神经学,1997年11月1日 - 文章
遗传成人亚历山大的疾病与腭肌阵挛,痉挛性下肢轻瘫,小脑性共济失调J.D. Schwankhaus, J.E. Parisi得到Gulledge et al。
首页神经学,1995年12月1日 - 观点和评论
重新定义ALSP表型和AARS2 mutation-related脑白质营养不良拉胡尔看到马修·e·亚当斯David s . (merrill Lynch)等。
首页神经学:遗传学,2017年2月15日


