2019年10月29日
;93 (18)
居民和其他部分
教学实验:脊髓疝颈corpectomy之后
Melike Guryildirim,穆罕默德Kocak,苏密特g . Dua
第一次出版2019年的10月28日,
DOI: https://doi.org/10.1212/WNL.0000000000008401
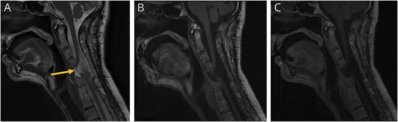
一个48岁的男子提出广义疼痛恶化。他有一个复杂的历史颈椎畸形和C2-T4前部和后部检测融合。在神经系统检查、颅神经、感觉和力量都完好无损。影像表现突出的脊髓的corpectomy缺陷和脊髓软化椎间盘髓索(图)。组件的病人的痛苦是由于脊髓软化。脊髓疝(原理图),医源性时,主要发生在后路的设置和相关pseudomeningocele形成。原理图也可以开发颈椎前路减压和潜在的并发症硬脑膜的缺陷是最可能的机制。1,2
图
成像
MRI显示脊髓疝入C5 corpectomy缺陷(一个矢状t2加权图像[B]矢状t1加权图像没有对比,[C]矢状t1加权图像对比)。矢状核磁共振造影显示腰椎间盘突出脊髓前方的C5 corpectomy缺陷。有明显变薄的颈线在这个级别异常T2 hyperintensity,兼容脊髓软化(箭头)。Precontrast和postcontrast t1影像不展示任何异常增强。
作者的贡献
m . Guryildirim:起草/修改手稿,数据采集、研究或设计概念,分析或解释的数据,接受责任行为的研究和最终批准,监督学习。m . Kocak:起草/修改手稿,分析或解释的数据,接受责任行为的研究和最终批准,监督学习。信号发生器Dua:起草/修改手稿,接受责任进行研究和最终批准,知识的输入。
研究资金
没有针对性的资金报告。
信息披露
作者报告没有披露相关的手稿。去首页Neurology.org/N为充分披露。
脚注
去首页Neurology.org/N为充分披露。
- ©2019美国神经病学学会的首页
信:快速的网络通信
你可能也会感兴趣
广告
提醒我
推荐的文章
- 居民和其他部分
珍珠和Oy-sters:咳嗽头痛继发畸形类型詹姆斯·e·贝茨埃里卡·奥古斯汀等。
首页神经学,2014年10月13日 - 居民和其他部分
临床推理:一名54岁的男子单方面虚弱和血管危险因素Vasileios Lioutas何塞•r•罗梅罗,Michael s . Kleinman et al。
首页神经学,2012年7月23日 - 文章
的临床和MRI表型sarcoidosis-associated脊髓病Olwen c·墨菲,安德里亚·Salazar-Camelo豪尔赫·a·吉梅内斯等。
首页神经学:神经免疫学和神经炎症,08年4月,2020年 - 居民和其他部分
临床推理:慢慢进步的痛苦的下肢轻瘫Marzia Corbetto Fioravante卡彭,Vincenzo保时捷跑车等。
首页神经学,2014年4月21日


