临床推理:一个73岁的老人与复发性失语、头痛、和混乱
第一节
一个73岁的老人突然出现右侧的弱点,失语症,轻度头痛。病史是阻塞性睡眠呼吸暂停相关,高血压、糖尿病、血脂异常,而他是适当的治疗,除了服用阿司匹林一级预防。初始的验血,头部CT和血管成像是正常的。MRI显示nonenhancing, nonrestricting T2 hyperintensity左颞叶,除了多个microhemorrhages (图1中,A和B)。解决在24小时内出现症状,出院第二抗血小板剂(氯吡格雷)。三个星期后,发生了第二集失语症和右侧的弱点,在数小时内解决。他回到医院的第二天,症状又复发。他一直不断地抱怨头痛,和他的家人已经指出过去一个月逐渐认知能力下降。重复的验血和红细胞沉降率是正常的。MRI显示持续的microhemorrhages和表面铁尘肺,左颞叶皮层下的变化,恶化以及。软脑膜显影并且
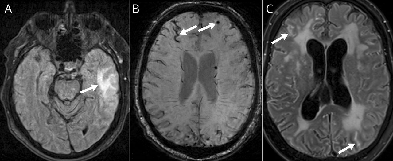
(一)T2 fluid-attenuated反转恢复图像显示左侧颞叶hyperintensity(箭头所指)。(B) Susceptibility-weighted图像显示microhemorrhages和表面的铁尘肺(箭头)。(C) 6个月gadolinium-enhanced T2 fluid-attenuated反转恢复显示leptomeningeal增强(箭头)。
第二节
微分包含TIA,尽管缺乏核磁共振扩散限制和刻板的事件,尽管正常血管成像的可能性。超声心动图和动态心电监测进行72小时也正常。复发事件是典型的局部癫痫发作,颞叶hyperintensity加大的情况下,一个低级的神经胶质瘤是一个潜在的原因和levetiracetam发起。执行例行小时脑电图和没有捕获任何临床事件或癫痫异常;然而,药物治疗是持续的。病人的年龄、头痛、局灶性神经症状提示调查巨细胞动脉炎,但红细胞沉降率是正常的。
leptomeningeal增强与CSF分析,调查显示标志着蛋白质高程为1.87 g / L;然而,零总有核或红细胞/μL,革兰氏染色剂是负数,CSF血糖正常,未发现寡克隆条带,流式细胞术对恶性肿瘤细胞学检测呈阴性。没有开启压力。鉴于总有核细胞的缺失,以及缺乏发烧、单纯疱疹病毒并不是发送尽管颞叶在MRI异常。高蛋白质是炎症病因的暗示,但是血管成像没有显示变化对中枢神经系统的主要脉管炎怀疑(PACNS),和胸部CT表现,并没有显示肺门淋巴结病,可以看到在结节病。尽管负面CSF细胞学和流式细胞术,淋巴瘤仍然是一个潜在的微分和CT腹部和骨盆没有异常了。
复发的临床过程神经症状、头痛、和认知能力下降,存在多个microhemorrhages表面铁尘肺和leptomeningeal增强和炎症CSF分析暗示β-amyloid-related脉管炎(磨料)。
第三节
磨料的推定诊断治疗开始5天的四甲基强的松龙1000毫克每日口服强的松每天50毫克,紧随其后,氯吡格雷是停止。脑活检和环磷酰胺推荐,但头痛,神经系统检查,leptomeningeal增强改善。因此,病人和他的家人递延脑活检采样的实质和脑膜,磨料的黄金标准测试。病人的认知测试最初改善从20/30到24/30的蒙特利尔认知评估治疗1月后,但他依然疲惫,归因于使用类固醇,断奶40毫克每日1个月出院后。两个月出院后,甲氨喋呤加强的松减少磨料复发的风险。尽管这些调整,病人的疲劳恶化和他的认知逐步下降。
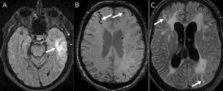
出院后6个月,混乱的进展,头痛加剧,促使回到医院病人步态开发困难。验血结果包括绝对中性粒细胞计数、甲状腺、肝、肾功能,和血清炎症标记物包括红细胞沉降率、抗核抗体,antineutrophil胞质抗体是正常的。传染病检查艾滋病,梅毒,莱姆莱姆疏螺旋体病是负面的。重复CSF分析了蛋白质高程为1.06 g / L,略低于之前;再一次,零总有核细胞或红细胞被检测到,细胞学是负数,CSF葡萄糖是正常的,分枝杆菌和革兰氏染色剂,真菌文化,文化是负的。打开脑脊液压力没有得到。克雅二氏症测试与CSF 14-3-3,τ,和端点quaking-induced转换试验呈阴性。血清和CSF多种自身免疫性抗体面板是负面的。重复CT胸部、腹部和骨盆是负的。MRI显示解决以前观察到左颞hyperintensity,但发展的一个新的左顶叶梗死瘀斑的出血,以及恶化leptomeningeal增强(图1 c)。
第四节
由于关心磨料复发,静脉注射免疫球蛋白G的2 G / kg / 5天之后,四甲基强的松龙1000毫克每日5天交付。脑活检和环磷酰胺再次推荐;然而,随着患者的认知状况和预期的生活质量是守卫,和家人讨论后,没有采取进一步的诊断调查或治疗方法。病人死亡,尸检。
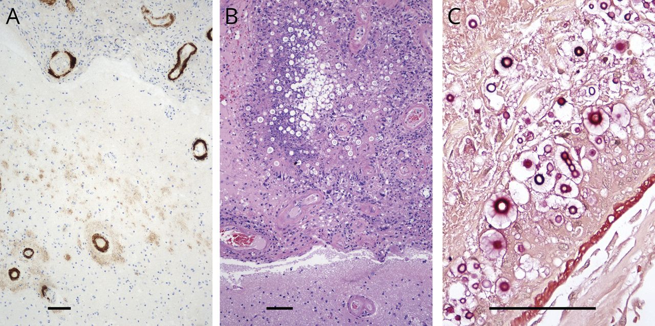
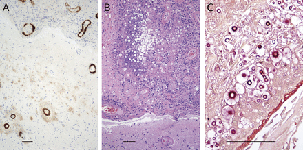
Neuropathologic检查发现明显蛛网膜增厚和4×2.5×3.5厘米亚急性左顶叶梗死。在大脑半球,显微镜β-amyloid积累被发现在皮层和arachnoidal动脉和小动脉墙壁,有时支离破碎(图2一个),局部单核炎症细胞包围。焦含铁血黄素在蛛网膜指出。除了第一个过程,蛛网膜充满了肉芽肿(图2 b)符合halo-surrounded崭露头角的有机体隐球菌sp酵母(图2 c)。附近的蛛网膜梗塞尤其相关,和动脉显示抹去动脉内膜炎,可能导致梗塞。
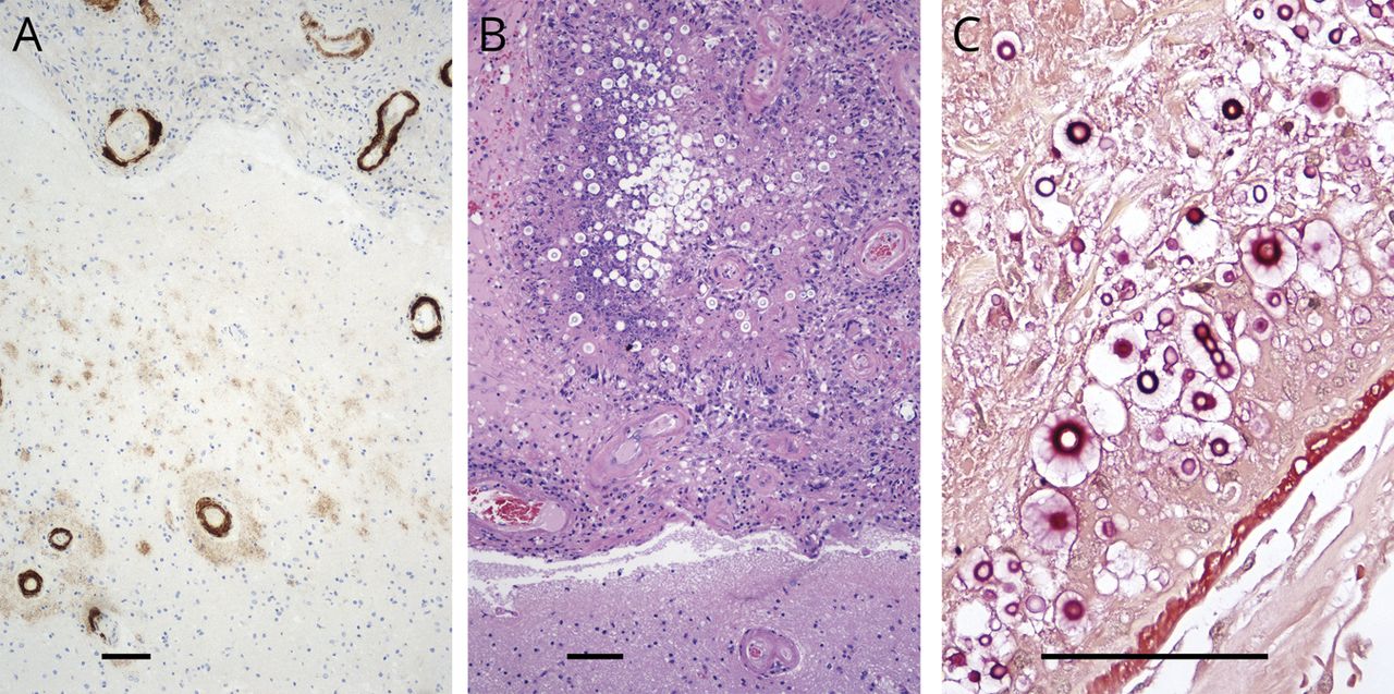
(A) Aβ抗体染色显示Aβ皮质小动脉内积累,偶尔与不规则干扰由于先前的淀粉样吞噬作用。(B)肉芽肿炎症蛛网膜(苏木精和伊红)。与粘蛋白(C)蛛网膜胭脂隐球菌生物物种。100µm大小栏显示。
考虑的问题:
发展中隐球菌脑膜炎的风险因素是什么?
诊断脑脊液文化的产量是多少隐球菌sp酵母和最具体的和敏感的测试是什么?
隐球菌脑膜炎的治疗方法是什么?预后是什么?
讨论
新型隐球菌酵母菌负责30 - 66感染每年在美国和世界范围内最常见的真菌感染中枢神经系统。1艾滋病患者CD4细胞计数低于100细胞/μL在美国,隐球菌脑膜炎的发病率可能高达3%。2在艾滋病毒阴性患者免疫力低下,在我们的病人,可能没有引起颅内压(ICP)的迹象或fungicemia传播。CSF分析可能显示开启压力增加,总有核细胞计数升高20 - 200细胞/μL以单核细胞为主,hypoglycorrhachia,这不是在我们的病人,虽然脑脊液蛋白也升高。3革兰氏染色剂通常是正常的新型隐球菌由于与宿主淋巴细胞,真菌文化通常是正常的。然而,隐球菌抗原可以快速检测CSF与乳胶凝集试验检测或酶联免疫测定产量的敏感性和特异性超过90%,并已被报道出现神经症状前3周。4隐球菌脑膜炎的治疗需要抗真菌,控制了ICP,减少免疫抑制。第四感应与两性霉素B +口服结合氟胞嘧啶使用至少6周患者的神经受累,其次是口服氟康唑为额外的8周,建议。5预后取决于潜在的并发症和隐球菌抗原滴度,但即使有及时适当的治疗,死亡率可能是10% - -30%。6
患者可能有非特异性症状,如头痛、认知改变,共济失调,隐球菌脑膜脑炎或岩洞。此外,CSF分析磨料还可以显示开启压力增加,高蛋白质,和总有核细胞。MRI可能不区分磨料和隐球菌脑膜脑炎,既可能显示leptomeningeal增强,脑萎缩,或脑积水,偶尔脑梗塞,如我们的病人。7临床和影像学结果可以检测磨料的可能性高,但需要没有肿瘤,感染,或其他原因。8因此,活检的脑实质或脑膜血管检查需要明确诊断。组织活检在磨料将展示β-amyloid积累vasculitic区域内的血管壁破坏,就像在我们的病人尸检,并从PACNS区别,结节病,或血管内淋巴瘤。起始的免疫抑制药物改善结果在岩洞,作为我们最初看到病人的临床症状,认知测试,减少脑脊液蛋白质,和解决左颞叶病变。9随后的免疫功能不全的状态可以让病人容易机会性感染,也可能是一系列事件导致隐球菌脑膜炎患者。
高度怀疑的心理指标为隐球菌脑膜炎患者与非特异性免疫抑制症状,和检测CSF隐球菌抗原,很重要,因为这是一个潜在的治疗实体与高死亡率。
研究资金
没有针对性的资金报告。
信息披露
作者报告没有披露相关的手稿。去首页Neurology.org/N为充分披露。
附录的作者
脚注
去首页Neurology.org/N为充分披露。资金信息和披露认为作者相关的,如果有的话,年底提供这篇文章。
- ©2020美国神经病学学会的首页
引用
信:快速的网络通信
你可能也会感兴趣
相关文章
主题讨论
提醒我
推荐的文章
- 居民和其他部分
临床推理:一位81岁的妇女与降低意识和波动对面部下垂兰迪·范·Ommeren Aaron Izenberg史蒂文Shadowitz et al。
首页神经学,2020年4月21日 - 文章
中枢神经系统的主要脉管炎与脑淀粉样血管病有关报告两病例,并作文献之回顾
Nathan喷泉,大卫·a·埃伯哈德等。
首页神经学,1996年1月1日 - 文章
探索性蛋白质组学分析涉及选择补级联原发性中枢神经系统血管炎凯莉Mandel-Brehm,汉娜Retallack说道,吉塞尔·m·克努森等。
首页神经学,2019年7月3日 - 居民和其他部分
珍珠和Oy-sters:中枢神经系统的主要脉管炎出现复发性颅内出血杰西卡大米、尼古拉斯·兰德尔•Woltjer Stienstra et al。
首页神经学,2020年2月10日


