临床推理:一个72岁的老人与一个渐进认知和小脑综合症
第一节
72岁的右撇子的人被称为认知神经学诊所后不自觉地致力于一个住院病人精神病学单位2年了。首页他无法给一个连贯的历史,这是来自他的妻子。他的出生和早期发展的。他曾担任过一系列工作包括在商船队工作了两年。他承认之前失业。他没有喝酒过度,是一个老烟枪。他是健康和医学上直到5年在评估之前,当他发达进步的平衡和行为问题。这包括共济失调步态要求间歇使用轮椅,口齿不清,和记忆力减退。他变得越来越急躁,积极与偏执的想法配偶不忠。
进一步的历史显示强烈的认知问题的家族史。病人的父亲逝世,享年63岁,诊断“痴呆”和著名的记忆丧失。病人有两兄弟,死于车祸,另一个与61岁“老年痴呆症”的诊断。他哥哥的儿子,在咨询的时候,有一个报道诊断早发性“痴呆”54岁。这些亲戚都从未见过神经病学家和没有任何神经系统检查的文档。
而在精神病学住院,住院病人每天1.5毫克的利培酮治疗。他无缘无故与其他病人。他从自我忽视了减肥。他能养活自己,但需要帮助与日常生活的所有活动。没有缺陷或异常运动。他病情在此期间没有其他器官功能障碍。
眼睛的检查显示频繁在主要位置和方波混蛋混蛋眼球震颤双边。说话含糊构音障碍。在四肢,语气和反射正常。他举行了双边finger-to-nose测距不准,一个正常的立场,和广泛的步态。伯格是负面的迹象,没有肌肉萎缩或束状。没有frontal-release迹象或肢体失用症。
病人是冷漠的,没有发起对话。他会迅速忘记对他说什么。艾登布鲁克的认知考试(修订版)显示一个总分100的51分部分的得分的注意力和取向10/18,11/28,记忆流利1/14,24/26,语言和视觉空间的5/16。
第二节
病人有神经问题在多个领域的中枢神经系统。认知问题指向一个大脑损伤。是全球性的问题,但有明显的赤字行为,执行功能,和记忆。这些点在额叶和颞叶病变。这些障碍的严重程度和程度的影响他的生活显示一个潜在的痴呆。演讲中,平衡问题,发现眼球震颤和past-pointing检查表明全球小脑病变。
应该根据初步调查发现可逆的医疗问题虽然这些通常会出现亚急性发作。完整的通用药物检查并没有透露任何其他异常。基本的实验室调查包括电解质、全血细胞计数,肝酶,肾功能,甲状腺功能,维生素B12,叶酸是正常的。自身抗体和屏幕antineuronal抗体是正常的。病人有一个正常的艾滋病毒检测和梅毒的屏幕。一个胸部x光是正常的。病人接受了脑成像和1.5 t MRI (T1和T2加权序列包括T2 fluid-attenuated反转恢复),基于neuroradiologic评论显示轻微的皮质和白质脑萎缩(在没有特定的分布)根据全球小脑皮质萎缩评定量表和严重萎缩(图)。
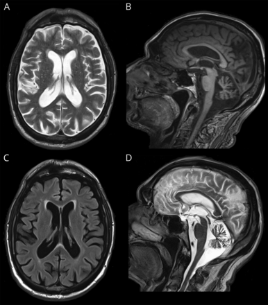
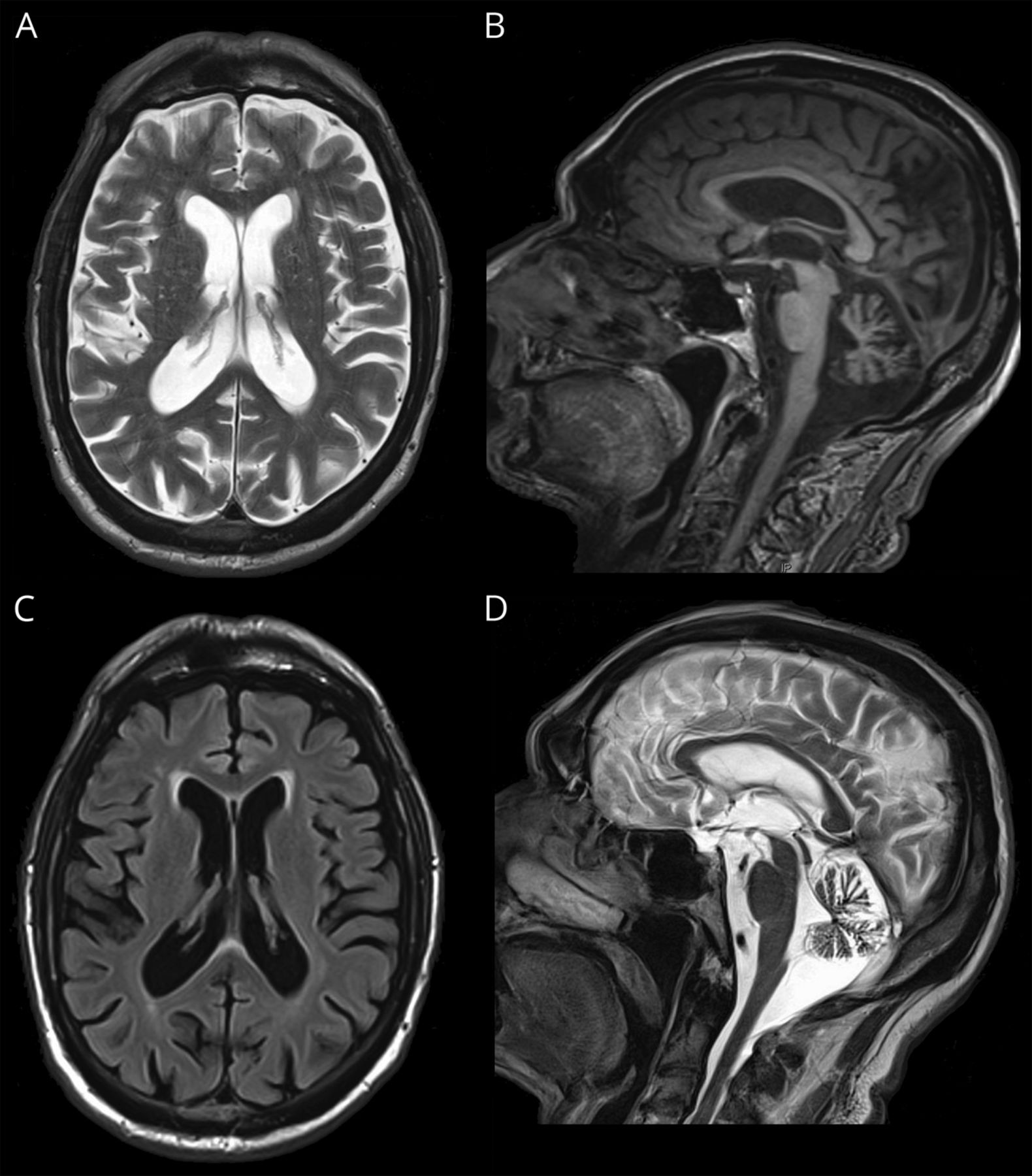
结构1.5 t MRI扫描。(一)t2加权轴节展示全球中央脑萎缩的开沟和轻度脑室扩大。(B) t1矢状切面显示严重小脑萎缩。(C) T2 fluid-attenuated反转恢复轴部分显示轻微的室周的小血管疾病的侧脑室前角附近。(D) t2加权小脑矢状切面显示严重小脑萎缩。
合并小脑和认知功能障碍可引起代谢或遗传条件和家族史可能提供关键的见解的传播方式。有连续几代人参与,传播的一个常染色体显性遗传方式被怀疑。
第三节
病人的认知和小脑综合症阴险的发作。综上所述,这些研究结果与代谢最常遇到的问题,如酒精过量,韦尼克脑病,或营养和激素失衡,如甲状腺功能减退。然而,患者既没有抵押品历史来适应这也没有一个支持性的生化概要文件。传染性病因如艾滋病和梅毒被认为是但是没有通用医疗等附加功能和生化异常。由于机会性感染艾滋病毒可以导致小脑性共济失调,尽管三期梅毒可以很少引起pancerebellar综合症,它也伴随着感觉性共济失调疾病,由于后列眼睛迹象(如Argyll-Robertson瞳孔、葡萄膜炎和/或角膜炎)和“闪光像”影响背部和腹部疼痛,缺乏我们的病人。颗粒细胞neuronopathy由于JC病毒再活化,是另一个条件是导致累进小脑性共济失调,但我们的病人没有免疫力低下。免疫介导性问题有或没有一个相关的癌症可能会出现小脑和认知症状,这些疾病的范围正在扩大。然而,一个期望亚急性发病数周,数月免疫介导性条件。如果怀疑自身免疫性病因,脑脊液检查可能是有用的,因为它可能表明淋巴细胞脑脊液细胞增多或高蛋白质。我们的病人正常脑脊液概要文件没有细胞和正常的葡萄糖和蛋白质的价值观。 Syndromes associated with anti-GAD, GABAB,胶质原纤维酸性蛋白(GFAP)抗体可能导致认知和小脑综合症,但他们通常是与其他相关线索,如核磁共振和脑脊液异常变化。临床课程可能包括癫痫和皮质hyperintensities anti-GAD, GABA meningitic综合症B和脑膜脑炎或线异常对比度增强anti-GFAP综合症。1可以与anti-Yo多种小脑综合症,anti-Hu和anti-Ri抗体,但这些都是负面的。2例较短的历史上的临床进展持续几周几个月,评估神秘器官恶性肿瘤CT扫描的胸部,腹部和骨盆和/或全身PET CT扫描可能是有用的。PET CT扫描显示,没有证据表明恶性肿瘤的病人。
强大的家族历史在我们的病人显示了一个遗传的原因。有许多小脑综合症与痴呆有关。常见的遗传性共济失调如Friedreich共济失调和常染色体隐性Charlevoix-Saguenay出现在年轻患者痉挛性共济失调和通常不与进步的认知缺陷。后者可能会遇到其他情况出现共济失调等脆性X tremor-associated综合症(FXTAS) cerebrotendinous黄瘤病(CTX)和C型尼曼氏病(NPC)。3,4核磁共振的发现有助于进一步缩小差异,区分这些条件。FXTAS和CTX通常与白质的变化特征后窝和人大可能显示胼胝体的变薄,小脑萎缩。严重的小脑萎缩出现在我们的病人可能指向脊髓小脑的共济失调(sca)。SCA-2 3和-17年可能会出现小脑以及认知综合症。生化和基因测试(扩张对sca重复测试和新一代测序共济失调面板),所有这些条件-在我们的病人。
第四节
小脑综合症不是经典的阿尔茨海默病,患者通常出现在额颞叶痴呆(FTD),或与路易体痴呆。相比之下,多系统萎缩可以表现为小脑综合症,但认知症状不突出的在这种情况下,我们的病人没有其他症状,比如支持快速眼动行为障碍和锥体束外的迹象。在这种情况下,测试以下突变导致常染色体显性形式的痴呆是负面的:淀粉样前体蛋白(应用程序),presenilin 1和2,microtubule-associated tau蛋白(MAPT)和progranulin (PGRN)。5,6病人也接受测试的异常扩张C9orf72基因,基因包括在大多数电池板分开测试。测试C9orf72显示异常重复尺寸确认诊断C9orf72有关的行为FTD变体。
讨论
扩张GGGGCC hexanucleotide重复的C9orf72基因是最常见的遗传原因FTD和肌萎缩性脊髓侧索硬化症(ALS)。7的表型behavioral-variant FTD演示其次是运动神经疾病是最常见的。还有一个已知的重叠的条件(例如,FTD和肌萎缩性侧索硬化症)。临床表型可能还包括锥体外系症状但没有前面描述的小脑性共济失调。精神病是很好的描述在协会的存在C9orf72和偏执妄想我们病人的历史上是一个重要的特性。7之间的不同发病年龄43,68年。有一个常染色体显性遗传的传播方式。三分之一的新病例没有任何神经障碍的家族病史。核磁共振的发现可能包括额叶、颞叶和顶叶皮层萎缩和丘脑和小脑的变薄。组织病理学、TDP-43沉积通常是发现在受影响的网站。没有可用的治疗但是潜在疗法的临床试验正在进行。
小脑萎缩被描述的一部分C9orf72有关的FTD但突出临床共济失调了这里没有前面描述的。8小脑萎缩是全球性的小叶VIIa-Crus我被优先受到影响。小脑蚓部可能在FTD由于萎缩MAPT突变。其他遗传FTD症状(例如,PGRN)相对节约的小脑。
研究资金
没有针对性的资金报告。
信息披露
作者报告没有披露相关的手稿。去首页Neurology.org/N为充分披露。
附录的作者
脚注
去首页Neurology.org/N为充分披露。资金信息和披露认为作者相关的,如果有的话,年底提供这篇文章。
- ©2020美国神经病学学会的首页
引用
信:快速的网络通信
你可能也会感兴趣
相关文章
提醒我
推荐的文章
- 文章
Multiparametric MRI研究C9orf72 ALS分层的基因型阿伦•l Bokde苏珊彼得•比德伯恩等。
首页神经学,2013年6月14日 - 文章
基因预测的生存行为变异的额颞叶退化凯莉·卡斯韦尔,科里·t·麦克米兰,莎朗x谢et al。
首页神经学,2019年9月19日 - 文章
C9ORF72重复扩张在临床和neuropathologic额颞叶痴呆组玛丽安Hallupp卡罗尔·Dobson-Stone劳伦Bartley et al。
首页神经学,08年8月,2012年 - 文章
的贡献ATXN2中介polyQ扩展频谱的神经退行性疾病瑟瑞娜Lattante,斯蒂芬妮Millecamps,乔凡尼Stevanin et al。
首页神经学,2014年8月6日


