MRI病灶进化的比较在不同的中枢神经系统脱髓鞘疾病
做出评论
看到评论
文摘
背景和目的很少有研究比较损伤演化不同中枢神经系统脱髓鞘疾病,但这可能是重要的诊断知识和理解疾病发病机理的差异。我们试图比较MRI T2损伤演化在髓少突细胞糖蛋白G免疫球蛋白(免疫球蛋白)相关的障碍(MOGAD),水通道蛋白4 IgG-positive neuromyelitis视谱系障碍(AQP4-IgG-NMOSD)和多发性硬化症(MS)。
方法在这种描述性研究,我们回顾性MOGAD患者梅奥诊所,AQP4-IgG-NMOSD,或者女士和(1)脑脊髓炎攻击;(2)可用攻击MRI在6周内;和(3)随访MRI超过6个月没有复发间隔。两个神经病学家确定每个病人的症状或最大T2病灶病变(索引)。核磁共振成像是独立审核2神经放射蒙蔽T2病灶的诊断,以确定解决方案的共识。索引T2病灶区域手动敏锐地概述和在随访评估变化的大小。
结果我们包括156例(MOGAD, 38岁;AQP4-IgG-NMOSD 51;女士,67)与172年攻击(大脑,81;脊髓炎,91)。之间的年龄(中值(范围))不同MOGAD (25 (2 - 74)), AQP4-IgG-NMOSD(53(10 - 78))和MS (37 (16 - 61)) (p< 0.01)和女性性成为主流AQP4-IgG-NMOSD(41/51[80%])和(51/67[76%])女士团体而不是那些MOGAD (17/38 [45%])。完成解决MOGAD指数T2病灶更频繁(大脑,13/18 (72%);比AQP4-IgG-NMOSD脊柱,22/28[79%])(大脑,3/21 (14%);脊柱,0/34[0%])和MS(大脑,7/42 (17%);脊柱,0/29 [0%])(p< 0.001)。解决所有T2病灶最常发生在MOGAD(大脑,7/18 (39%);比AQP4-IgG-NMOSD脊柱,22/28[79%])(大脑,2/21 (10%);脊柱,0/34[0%])和MS(大脑,2/42 (5%);脊柱,0/29 [0%])(p< 0.01)。有一个更大的值(范围)T2病灶面积减少毫米2在后续的轴向脑部MRI MOGAD(213(55 - 873))比AQP4-IgG-NMOSD (104 [-597 - 0.7]) (p= 0.02)和MS (36 (0 - 506)) (p< 0.001)和减少大小在脊柱矢状面MRI随访MOGAD(262(0 - 888))和AQP4-IgG-NMOSD(309(0 - 1885))是相似的(p= 0.4)和大于女士(23 (0 - 152))(p< 0.001)。
讨论MRI T2病灶完全MOGAD解决更多AQP4-IgG-NMOSD和女士这牵涉到诊断、监测疾病活动,和临床试验设计,同时提供洞察中枢神经系统脱髓鞘疾病的发病机理。
术语表
- AQP4=
- 水通道蛋白4;
- AQP4-IgG-NMOSD=
- 水通道蛋白4-immunoglobulin G-positive neuromyelitis视谱系障碍;
- eds=
- 扩大残疾状态量表;
- 天赋=
- fluid-attenuated反转恢复;
- 免疫球蛋白=
- 免疫球蛋白G;
- 丙种球蛋白=
- 静脉注射免疫球蛋白;
- MOG=
- 髓鞘少突细胞糖蛋白;
- MOGAD=
- 髓鞘少突细胞glycoprotein-immunoglobulin G-associated障碍;
- 女士=
- 多发性硬化症;
- 丛=
- 血浆置换
髓少突细胞糖蛋白(MOG)免疫球蛋白G(免疫球蛋白)相关疾病(MOGAD),水通道蛋白4 (AQP4) -IgG-positive neuromyelitis视谱系障碍(AQP4-IgG-NMOSD)和多发性硬化症(MS)是不同的中枢神经系统炎性脱髓鞘疾病。1,- - - - - -,4尽管有一些重叠的表现,之前的研究强调了这些疾病实体之间的主要区别,特别是有关攻击的严重程度和临床过程。5,- - - - - -,7而AQP4-IgG-NMOSD和MOGAD具有严重的攻击,通常导致重大急性残疾(如截瘫、脑病、失明),往往伴随着大大脑核磁共振T2病灶最大直径(> 3厘米)或脊髓(≥3相邻椎体部分),女士攻击通常是温和的临床严重程度和伴随着较小的病变在脑和脊髓MRI,块状病变女士簇状虽然发生在一些病人。5,6,8,- - - - - -,11从长远来看,然而,这些疾病的过程中一般不会反映初始攻击的严重性:MOGAD患者经常有更好的结果比那些AQP4-IgG-NMOSD尽管同样严重的袭击在最低点,而次要进步残疾本质上是独家女士尽管在这个条件温和的疾病袭击。12,- - - - - -,14这些临床差异的确切原因尚不清楚。
大多数核磁共振研究这三个障碍都集中在攻击损伤位置和形态或萎缩的全球措施,而T2病灶进化很少被评估。5,6,10,15,- - - - - -,17研究不同的脱髓鞘病变MRI的演化后的初始攻击可能会改善我们的理解疾病过程的差异,告知诊断,帮助监测疾病活动的最优策略和治疗计划。我们调查的时间演化脱髓鞘病变MRI大脑或脊髓后一个临床攻击MOGAD患者,AQP4-IgG-NMOSD,女士。
方法
标准协议的审批、登记和病人同意
这项研究是梅奥诊所的机构审查委员会批准。所有患者同意使用他们的医疗记录为研究目的。
识别疾病的人群
三组患者的回顾性确定:(1)患者MOGAD连续出现在梅奥诊所之间的1月1日2004年8月31日,2019 (2)AQP4-IgG-NMOSD连续出现在梅奥诊所之间的1月1日2000年8月31日,2019;和(3)女士或临床孤立综合征患者从一宗群病人连续被神经学家(E.P.F.)梅奥诊所的门诊女士从1月1日,2015年5月30日,2018年,和之前确认的以人群为基础的队列(奥姆斯特德县、锰)的普遍情况下女士在12月31日,2011年。8只有患者特点MOGAD、AQP4-IgG-NMOSD或女士clinical-MRI表型包括按出版国际诊断标准。18,- - - - - -,20.共有19个病人之前报道。5,12,21
包含和排除标准
从这些军团,我们的入选标准要求如下:(1)第一个脑脊髓炎或攻击;(2)急性大脑或脊髓磁共振成像获得的6周内攻击最低点;和(3)急性MRI随访MRI后超过6个月。我们排除了那些涉及同一地区作为初始攻击间隔复发(脑部或脊柱),以避免重叠的MRI异常偏差评估单T2损伤演化。允许间隔复发影响中枢神经系统不同区域(例如,视神经炎在最初脊髓炎攻击)。当多个急性核磁共振成像,显示了一个最广泛的中枢神经系统畸形选择进行分析,因为这被认为是最具代表性的攻击最低点。与多个后续核磁共振成像的情况下,前最后MRI复发影响中枢神经系统的同一区域的初始攻击(如果有的话)或临床随访分析。在患者伴随的大脑和脊髓炎攻击同时,这些分别进行了分析。临床孤立视神经炎的攻击有或没有大脑或脊髓磁共振成像的证据无症状的介入并不被认为是大脑的攻击。临床孤立视神经炎患者不在,除非他们有一个后续的脑脊髓炎或攻击,这被认为是该指数攻击进行分析。
自身抗体检测
血清AQP4-IgG积极性是由生活(内部fluorescence-activated细胞分选试验)或固定HEK293细胞转染质粒编码AQP4 (n = 49)或组织免疫荧光(n = 2)。22血清MOG-IgG1积极性是临床验证证实了流式细胞术分析利用住全身MOG-transfected HEK293细胞。5这些测试样品分析包括急性发作的时候重新分析和归档存储样本。
临床特点
人口、实验室和临床数据抽象(静电的M.B)。复发被定义为神经障碍至少24小时的持续时间和发生一段时间后的缓解> 1个月。残疾评估了在最低点的初始攻击和最近的临床随访,随访MRI分析使用扩展残疾状态量表评分(eds)。
指数脱髓鞘病变的识别
医疗记录审查后,索引病变被定义为急性病变,临床表现或结构上解释,当多个可能的症状急性病变(如多病灶的脑T2 hyperintensities脑病患者),最大的被选为索引病变。这个索引病变最初确定为每个包括攻击2神经学家(静电的,E。P。F。) by consensus, and the neuroradiologists were advised of its location before imaging review.
MRI确定损伤演化和病变的大小
所有包括急性和后续的大脑和脊髓核磁共振成像是按照随机的顺序和独立的审查,2神经放射(克里K.N.K.)的诊断和血清学的地位。病变对随访MRI确定或持久性的决议,分歧发生时的讨论后,达成了共识。评估进化T2病灶大小随着时间的推移,一个neuroradiologist (K.N.K或S.A.M.)手动测量的最大轴向区域(毫米2)索引的大脑和脊髓病变,矢状面积最大和最长的病变长度相邻椎体部分(0.5以上)对脊髓损伤,急性和后续核磁共振成像(图1)。当检查指数病变位置随访MRI检查,第二个考试是并排显示索引检查和病变位置之前coregistered视觉表征和测量。图片上得到各种不同的扫描仪以外的中心和梅奥诊所和利用QREADS临床图像查看器5.10.8进行了分析。其他核磁共振参数收集包括(1)> 15 T2-hyperintense病变患者的频率T2 / fluid-attenuated反转恢复(天赋)图像;(2)T2 /天赋的infratentorial T2病灶图像;(3)在t2加权像的脊髓T2-hyperintense病变;(4)上的异常增强病变postgadolinium t1影像敏锐地在随访;和(5)中存在的残余lesional T1 hypointensity大脑或脊髓实质在随访。
左边的图中显示矢状(的一部分。一个。b, b。a) and axial (A.c, B.b) T2-weighted images of a longitudinally extensive spinal cord lesion associated with aquaporin 4–immunoglobulin G–positive neuromyelitis optica spectrum disorder (AQP4-IgG-NMOSD) acutely (A) and at follow-up (B). The largest acute axial area of the lesion was manually outlined acutely on sagittal (A.b, yellow outline) and axial (A.d, yellow outline) images and at follow-up (B.c) to determine lesion resolution/reduction. In the center of the figure, an acute brainstem T2-hyperintense lesion associated with myelin oligodendrocyte glycoprotein–immunoglobulin G–associated disorder (MOGAD) is shown on axial fluid-attenuated inversion recovery images (C.a). The largest axial T2 lesion area manually outlined acutely (C.b, yellow outline) resolves to undetectable at follow-up MRI (D). On the right, a multiple sclerosis (MS) myelitis T2-hyperintense lesion is shown (E.a, E.b) with the largest area of the T2-hyperintense lesion outlined acutely on both sagittal (E.b, yellow outline) and axial (E.d, yellow outline) images. Despite being smaller acutely compared to the lesions associated with AQP4-IgG-NMOSD and MOGAD, the MS lesion only shows moderate reduction in size at follow-up, where it is still clearly visible on both sagittal (F.a, yellow outline) and axial (F.b, F.c, yellow outline) images.
统计分析
连续和分类变量被报告为中值(范围)和数字(%),分别。比较在3组进行利用克鲁斯卡尔-沃利斯检验连续变量和Fisher精确检验分类变量。进行两两比较采用Wilcoxon等级测试和连续变量和Fisher精确检验分类变量。单变量逻辑回归潜在的关联进行了探讨。一个p值< 0.05被认为是统计学意义(JMP Pro 14.1.0)。创建图表与微软2010年灵能点。
数据可用性
匿名数据可用用于这项研究在合理请求从相应的作者。
结果
共有156名患者包括(MOGAD 38岁;AQP4-IgG-NMOSD 51;女士,67)共有172攻击(大脑,81;脊髓炎,91)。在16个病人(MOGAD 8;AQP4-IgG-NMOSD 4;女士,4)大脑和脊髓炎攻击进行了分析,发生在同一个月14。他们的人口统计数据、实验室和临床特点进行了总结表1。女士队列,临床表型最后后续如下:复发缓和多发性硬化症,n = 63;单一攻击进步女士,n = 2;和临床孤立综合征,n = 2。AQP4-IgG-NMOSD和MOGAD,没有病人发达进步课程最后随访。
所有患者MOGAD AQP4-IgG检测呈阴性,而在AQP4-IgG-NMOSD队列,38 MOG-IgG 51例(75%)进行了测试,与负面结果一致。MS组,36(54%)和67年(46%)的31日测试AQP4-IgG和MOG-IgG分别所有人血清反应阴性的,包括2临床孤立综合征患者抗体阴性。
描述的攻击
大脑症状伴随指数病变脑病或局灶性症状归因于幕上的大脑区域在12 (MOGAD 7;AQP4-IgG-NMOSD 0;女士,5;p= 0.003)、脑干、小脑综合征56 (MOGAD 10;AQP4-IgG-NMOSD 18;女士,28日;p13个(= 0.1),组合MOGAD, 1;AQP4-IgG-NMOSD 3;女士,9;p= 0.4)。初始脊髓炎患者攻击,颈脊髓MRI表现出参与31 (MOGAD 6;AQP4-IgG-NMOSD 9;女士,16;p= 0.02),胸参与21 (MOGAD 7;AQP4-IgG-NMOSD 11;女士3;p= 0.1),或参与这两个地区在39 (MOGAD, 15;AQP4-IgG-NMOSD 14;女士,10;p= 0.36)。MOGAD患者,包括袭击发生的急性播散性脑脊髓炎或核磁共振成像的证据多病灶的中枢神经系统的参与没有脑病在22/38(58%)或孤立的大脑(4/38[11%])或骨髓炎(12/38[32%])有或没有伴随的视神经炎的攻击。
间隔治疗
急性免疫疗法(6周内指数攻击最低点)是更常见的单一治疗静脉或口服糖皮质激素的MS组(43/46[93%])相比MOGAD(23/38[61%])和AQP4-IgG-NMOSD(29/46[63%])组(p< 0.001),尽管单药治疗静脉注射免疫球蛋白(丙种球蛋白;2患者MOGAD)或血浆置换(丛;1 AQP4-IgG-NMOSD患者)也被管理。除了糖皮质激素,1或更多辅助治疗急性利用在每个障碍包括以下:女士(丛,3);AQP4-IgG-NMOSD(丛,16;丙种球蛋白,2);和MOGAD(丛7;丙种球蛋白,6)。在急性期后,大多数患者在收到的3组不同的维护immunomodulating或免疫抑制代理,详细表1。
其他中枢神经系统间隔复发
复发在其他地区之间的神经系统被允许攻击MRI随访MRI。这包括脊髓炎患者复发间隔最初在8/21(38%)的患者大脑袭击AQP4-IgG-NMOSD, MOGAD患者(50%),9/18和16/42(38%)的患者(女士p= 0.83),间隔大脑或视神经炎复发患者的初始脊髓炎袭击AQP4-IgG-NMOSD患者(29%)的10/34,13/28 MOGAD患者(46%),5/29(17%)的患者(女士p= 0.07)。
MRI损伤演化
的急性和随访MRI特征包括攻击进行了总结和比较表2和3;代表大脑和脊髓MRI病灶进化的例子所示图1 - 3。图表的主要差异MRI病灶发展措施3包含在疾病组图4。患者大脑中攻击,中值(范围)可用的总数量后续每个病人大脑核磁共振成像在脑复发或持续接触临床是3 (1 - 14):AQP4-IgG-NMOSD, 3 (1 - 10);MOGAD 3 (1-13);女士,3.5 (1 - 14)。脊髓炎患者攻击,中值(范围)数量的可用之前每个病人随访脊髓磁共振脊髓炎复发或去年临床联系2 (1 - 8):AQP4-IgG-NMOSD, 2 (1 - 7);MOGAD 3 (1 - 7);女士2 (1 - 8)。
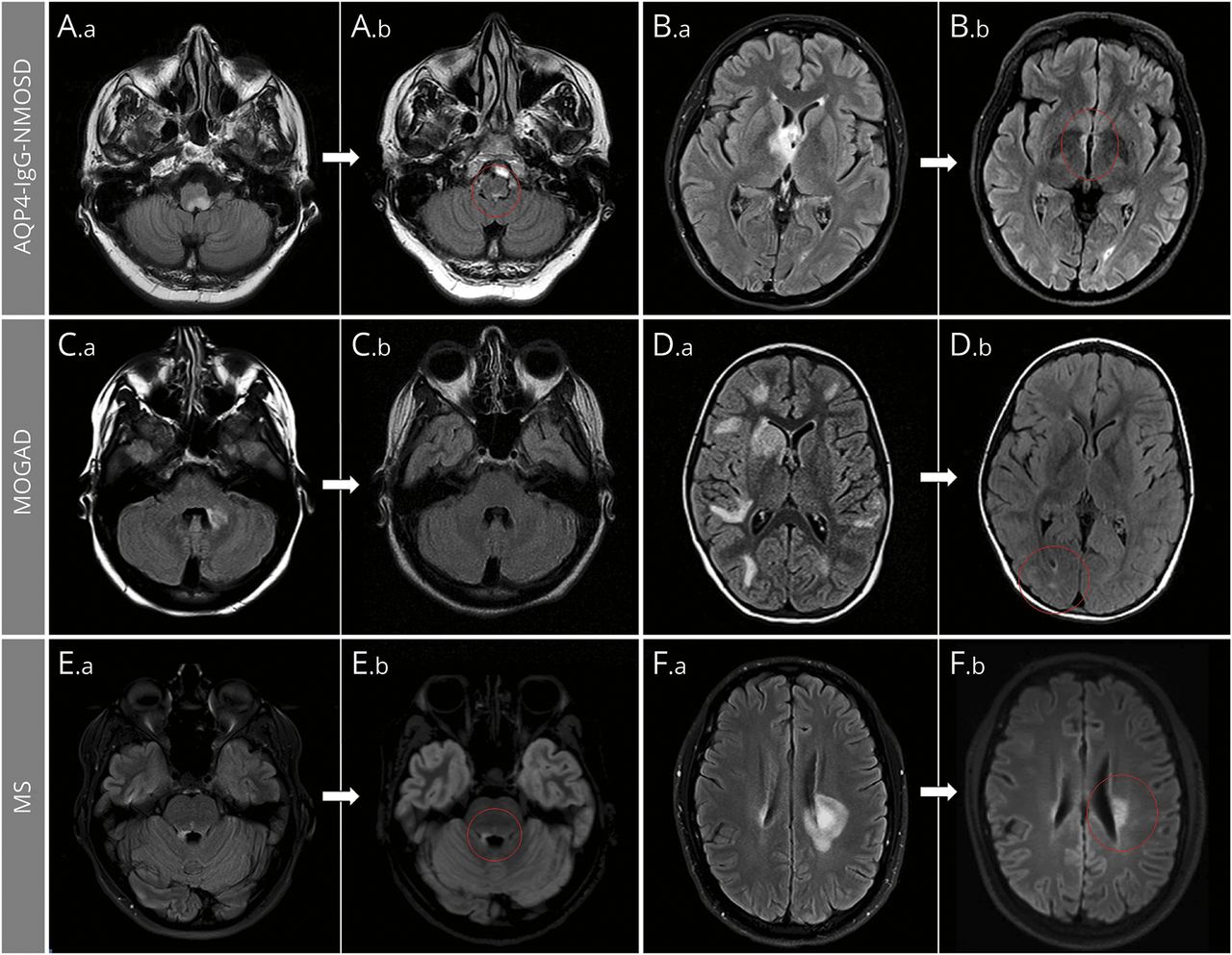
轴向fluid-attenuated反转恢复infratentorial (A, C, E)和幕上的(B, D, F)脑部MRI显示。AQP4-IgG-NMOSD患者(A、B),大急性病变。a、B。a) commonly show a prominent reduction of their initial size but rarely resolve completely, typically leaving tiny residual abnormalities (A.b, B.b; red circles). In patients with MOGAD (C, D), most large acute T2-hyperintense lesions (C.a, D.a) resolve to undetectable (C.b) at follow-up MRI, although some acute T2 lesions can leave some (often nonspecific) small foci of T2 hyperintensity (D.b; red circle). In patients with MS (E, F), acute T2-hyperintense lesions are relatively smaller (E.a, F.a) and typically show moderate reduction in size at follow-up, while remaining clearly detectable (E.b, F.b; red circles).
矢状(A。a、B。a, C。a, D。a, E。F。a) and axial (A.b, B.b, C.b, D.b, E.b, F.b) thoracic spinal cord T2-weighted images are shown. In patients with myelitis, T2-hyperintense lesions associated with AQP4-IgG-NMOSD, longitudinally extensive lesions with swelling of the spinal cord (A.a) and holocord involvement acutely (A.b [T7 vertebral body level]), frequently show a dramatic reduction in size at follow-up MRI but remain detectable, often accompanied by focal lesional spinal cord atrophy (B.a, B.b [T7 vertebral body level]). In patients with MOGAD myelitis, the acute ventral-predominant long T2 lesion extending to the conus (C.a) is gray matter restricted axially (C.b [T3 vertebral body level]) and resolved completely at follow-up MRI (D.a, D.b [T3 vertebral body level]). In patients with MS, the typically short acute myelitis T2-hyperintense lesion (E.a, E.b [T6-T7 vertebral body level]) often only has modest reduction in size at follow-up MRI (F.a, F.b [T6-T7 vertebral body level]), at which time it can be better appreciated to involve the periphery (right lateral columns) of the spinal cord on axial images (F.b [T6-T7 vertebral body level]).
(A)条图显示了不同的频率分析措施的患者水通道蛋白4-immunoglobulin G-positive neuromyelitis视谱系障碍(AQP4-IgG-NMOSD)(深蓝色酒吧),髓少突细胞glycoprotein-immunoglobulin G-associated障碍(MOGAD)(浅蓝色酒吧)和多发性硬化症(MS)(绿酒吧)在大脑和脊髓。尽管规模最大的减少在AQP4-IgG-NMOSD和MOGAD病变有关,只有后者的MRI异常显示完整的决议后续在大多数情况下。相反,病灶显示的大小会减少最小的女士在随访,类似于AQP4-IgG-NMOSD病变,不太可能完全解决。两组统计学意义差异由星号表示的酒吧(* * *)。(B)中位数为大脑和脊髓损伤轴向最大的区域,并为脊髓矢状,敏锐,MRI随访3组。确切的p所示值不同的比较表2和3。
指数T2病灶决议
完成解决大脑损伤指数,有或没有标准化的整个大脑核磁共振成像,观察到72%的患者MOGAD, MS患者的17%,和14%的患者AQP4-IgG-NMOSD (p< 0.001)(表2)。AQP4-IgG-NMOSD和MS组,所有索引病变完全解决infratentorial,虽然MOGAD组,他们都是幕上的(n = 6)和infratentorial (n = 7)。
完整的决议脊髓炎指数在79%的患者观察病变MOGAD, MS患者的0%,和0%的患者AQP4-IgG-NMOSD (p< 0.001)(表3)。脊髓炎袭击时,患者解决指数病变总是恰逢正常化脊髓MRI随访。
核磁共振T2信号的归一化异常
完全解决所有的特定的T2异常MRI随访与MOGAD更常见的大脑(MOGAD, 39%;AQP4-IgG-NMOSD, 10%;女士,5%)和脊髓(MOGAD, 79%;AQP4-IgG-NMOSD, 0%;女士,0%)攻击(表2和3)。通过回顾所有可用的后续核磁共振成像(包括那些得到6个月之前),中值(范围)时间几个月从急性第一个可用正常大脑核磁共振在那些谁T2病灶解决如下:MOGAD, 19 (1 - 96);AQP4-IgG-NMOSD 26 (18 - 95);女士,11 (10 - 13)。患者MOGAD脊髓炎攻击,中值(范围)的时间第一个正常随访MRI是9个月(1 - 96)。
决定因素的损伤在MOGAD决议
通过使用逻辑回归来预测T2病灶决议MOGAD患者,没有发现显著的协会之间的时间间隔急性和随访MRI、性、急性病变区域,异常钆增强MRI对急性疾病复发间隔其他中枢神经系统区域,颈椎和胸椎脊髓位置(仅脊髓炎患者),MOGAD表型(急性播散性脑脊髓炎/多病灶的中枢神经系统的参与和其他),单相和复发的疾病,急性治疗和管理它的类型(单一疗法和多个代理),或展开长期免疫抑制治疗和它的类型(anti-CD20 vs口服免疫抑制剂(咪唑硫嘌呤或霉酚酸酯)和MS疾病修饰剂)。此外,儿童没有区别(年龄< 18岁)和成年患者在大脑的频率MOGAD指数病变决议(7/11(64%)和6/7 (86%);p= 0.6),大脑MRI正常化(4/11 [36%]vs 3/7 (43%);p= 1.0)和脊髓MRI正常化(5/8(63%)和17/20 (85%);p= 0.3)。最后,对于那些谁重复MOG-IgG测试是可用的,损伤的频率分辨率对瞬态(即没有显著差异,testing negative at least 6 months after the initial MOG-IgG positivity) vs persistent (≥6 months) antibody positivity and brain (3/4 [75%] vs 8/10 [80%];p= 1.0)或骨髓炎(3/6(50%)和10/12 (83%);p分别为= 0.27)的攻击。
患者MRI规范化的临床特征
MOGAD组中位数eds最后临床随访是类似于那些显示正常MRI(大脑,eds 1(范围,0 - 2);脊髓炎,eds 1[0 - 6.5])与那些没有(大脑,eds 1(范围0 - 3.5);脊髓炎,eds 0.5(范围、鹿))(p≥0.6的比较)。间隔复发的频率是相同的。三个患者孤立MOGAD脊髓炎(和任何其他疾病复发)剩余脊髓功能障碍症状的时候正常随访MRI,包括主观感觉障碍(n = 3:瘙痒、烧灼刺痛),膀胱功能障碍(n = 2:增加尿频,尿犹豫),和温和的步态不稳(n = 1)。同样,一个临床孤立综合征患者的脑干髓鞘脱失导致急性双边核间眼肌麻痹了残余间歇复视和gaze-evoked眼球震颤最后后续尽管大脑核磁共振正常化。所有其他患者MRI的规范化随访没有残余残疾最后随访或残余临床赤字解释为其他攻击。
减少索引T2病灶的大小
患者大脑中攻击,指数的平均轴向断面收缩病变在MOGAD更高(213毫米2[范围,55 - 873])相比AQP4-IgG-NMOSD(104毫米2(范围0.7 - -597))和MS(36毫米2(范围0 - 506))(p< 0.001),但无显著差异之间观察到患者AQP4-IgG-NMOSD和中值相对减少%女士从急性磁共振成像(表2)。在脊髓,中位数指数病变面积减少类似于MOGAD和AQP4-IgG-NMOSD矢状(262 vs 309(范围0 - 888),0 - 1885毫米2;p= 0.4)和轴向(34(范围,4 - 100)和23岁(范围1 - 118)毫米2;p= 0.3)的图像,虽然相对减少%中值大小与急性MRI MOGAD组高(表3)。MS组,平均轴向区域减少毫米2和急性的相对减少% T2病灶MRI较低相比MOGAD和AQP4-IgG-NMOSD组(p< 0.001的比较;表3)。
讨论
我们确认清楚MOGAD之间T2损伤演化的差异,AQP4-IgG-NMOSD,和女士帮助定义不同疾病课程,告知诊断,帮助计划未来临床试验。脱髓鞘T2病灶在MOGAD倾向于解决完全在随访尽管他们敏锐地规模和初始伴随严重的临床障碍,这是符合良好的长期结果报道在大多数病人。12T2病灶与AQP4-IgG MOGAD中所观察到的类似的伴随临床严重程度和大小但很少完全解决,尽管大量减少大小(一般60% - -80%的急性MRI)小区域的剩余T2 hyperintensity通常是显而易见的。这对MRI假定疤痕,随着更多相关的脊髓萎缩而MOGAD描述在先前的研究中,23符合报告的不完全恢复和逐步attack-related残疾积累AQP4-IgG-NMOSD。24女士病变的特点是规模较小,不太严重的攻击敏锐但只显示适度减少大小(一般30% - -70%的急性MRI),很少完全解决尽管解决临床特征。我们推测,持久性的T2病灶,特别是较大的病变在关键的位置,随着时间的推移可能代表一个病灶为二级残疾的进展和趋势之间的一些病变女士长期活跃复发(阴燃MS病灶)可以支持这一假设。25,26此外,报告进步障碍归因于一个持久大T2病灶的雄辩的位置(如脊髓侧列)随着时间的推移变成局部萎缩也符合这一命题。27,- - - - - -,29日
虽然病变随着时间的女士是公认的持久性,损伤演化MOGAD和AQP4-IgG-NMOSD更深入研究,主要分析了之前研究的子集。在一群儿童中枢神经系统脱髓鞘疾病,归一化后的脊髓MRI观察急性期在6/8 (75%)MOGAD和0/4 AQP4-IgG-NMOSD(0%)例纵向广泛的横向脊髓炎。30.完整解决脑MRI异常也被报道在25/42(60%)患儿MOGAD平均4年之后,但只有20/109(18%)患者血清反应阴性的儿童中枢神经系统髓鞘脱失(大约一半的患者有一个表型女士,没有一个人显示病变分辨率)。31日我们之前报道MOGAD患者长期随访(平均14年)和高度复发与大脑和脊髓的正常随访MRI观察到18/25(72%)和6/6(100%)的患者,分别。12同时,最近一系列MOGAD患者脑干和小脑攻击我们组显示病变决议≥6个月观察到6/9(67%)的病人。21接受不同的研究设计和后续的持续时间,这些数字是符合我们的研究结果和建议MRI正常化MOGAD甚至可能出现在多个攻击。之前的一项研究具体分析大脑损伤演化在63例MRI NMOSD与AQP4-IgG(95%),共有211名急性脑损伤,在24%的发现完整的决议。17病变的较低的频率分辨率在我们的研究中可能与infratentorial病变的更大优势在我们的研究中损伤位置的差异可以影响组织损伤的程度但入选标准的差异,核磁共振成像扫描仪,或机会的作用是其他可能的解释。
我们的研究结果有相关性目前临床实践帮助选择个人MOGAD的风险更高。解决大多数或所有病变和病变的大幅减少大小与中枢神经系统脱髓鞘疾病的病人和之前袭击将帮助MOGAD选择那些在更高的风险和可能在低概率的情况下,避免测试错误的积极性增加的风险。鉴于MOG-IgG只有可用最近,有大量的与串行成像可用MOGAD患者可能尚未测试MOG-IgG和我们的发现是谁直接适用。同样,完全或接近完全可以使用T2病灶决议,除了其他措施,当遇到积极MOG-IgG测试来帮助区分真与假阳性的结果,特别是当抗体效价低,假积极的风险更高(高达四分之一的积极的结果可能是假阳性测试执行时不加区别地在实际临床设置)。32
意识的变化在这些疾病的中枢神经系统脱髓鞘病变演变随着时间的推移,对最优选择是重要的临床试验的结果的措施。发展新的或扩大对脑部MRI T2病灶常被作为主要结果措施女士因为它允许interattack评估疾病活动,但依赖于女士病变持续的趋势。对MOGAD类似的方法将更多的问题给病变的高频率分辨率作为一个或多个瞬态T2病灶可能出现和消失之间间隔MRI扫描。这也可能导致新无症状的发病率低T2病灶在儿童MOGAD在之前的研究中。33值得注意的是,病变决议在本研究中没有与少残疾MOGAD患者病变持续相比,表明T2异常孤独不适当的反映在MOGAD功能障碍。34类似clinical-MRI差异MOGAD有时伴随着正常MRI在严重攻击。35最后,没有持久的钆增强病变患者6个月后,它的存在应该是红旗替代nondemyelinating病因说明了之前的一项研究显示它喜欢肉质的脊髓病在AQP4-IgG-NMOSD脊髓炎。36
背后的机制的趋势MOGAD病变完全解决还没有完全理解。患者病变的时间分辨率MOGAD不同从几天到几个月和核磁共振扫描的缺乏预定义的时间间隔限制其评估很难确定在什么时间点2核磁共振成像病变可能解决。没有剩余的正常MRI T2病灶的频率更大比大脑和脊椎可能反映了大脑数量远高于脊柱病变,每次攻击允许更多的机会留下残余疤痕(例如,图2D)。同样值得注意的是,病变类似决议之前和之后的18岁。在一起,这些观察结果表明,损伤决议不仅仅是一个时间或年龄相关性过程,而且其他病变或特定病人的因素可能参与其中。脱髓鞘病变AQP4-IgG-NMOSD MOGAD显示的大小会减少同样大,其中一些可能反映了更大的减少水肿从大型水肿的T2病灶(特别是在脊髓)相比,但是,女士病变分辨率只有MOGAD很常见。remyelination大容量,减少神经元的损失,或主要功能与结构损伤MOGAD AQP4-IgG-NMOSD相比,女士可能解释这种差异。偶尔,严重水肿AQP4-IgG-NMOSD骨髓炎病灶在一个狭小的脊髓室可能会导致继发性缺血病变中发挥作用的持久性,虽然病变的持久性也观察到脑损伤与AQP4-IgG和其他因素,如补体介导的组织的破坏可能会导致残留的疤痕。37这也是符合罕见发生残留脑实质T1 hypointensity MOGAD后,支持更好的组织愈合和潜在的破坏性更小的病变导致MOGAD更有利的结果。获得进一步的洞察力从病理损伤演化研究是有限的解剖切片/评估通常是急性严重攻击只有稀缺的可用数据在病变的病理特点之间的攻击。38,- - - - - -,40
本研究受限于其回顾性质和缺乏标准化的中枢神经系统病变的MRI评估常规时间间隔相同的核磁共振成像扫描仪。这样的研究是必要的,但他们可能难以执行。获取攻击核磁共振成像,这可能是在不同的位置(例如,在医院设置),并获得研究核磁共振成像在急性设置可以复杂的伦理问题如果需要全身麻醉(如脑病患者)。此外,鉴于MOGAD的稀有和AQP4-IgG-NMOSD和要求没有间隔的攻击涉及同一地区,潜在的核磁共振研究有足够的力量将是昂贵的,可能需要多个中心,并可能需要很长时间,这包括单中心研究回顾> 15年。因此,这项研究提供了有价值的数据,这种前瞻性研究是等待。使用先进的核磁共振序列或更高的磁场扫描可以提高剩余异常的检测不明显的传统序列,但我们的研究与常规磁共振成像的一个好处是当前临床实践的直接再现性。一些技术方面可能偏见病变决议评估(例如,我们比较急性和后续的图像在不同的核磁共振扫描和轴向的变化/矢状削减可能错过小残余病变),但我们发现差异的大小3组不能被解释为这些技术问题(数字1 - 4)。此外,尽管随着时间的推移,比较不同MRI检查介绍可变性在成像设备,软件,病人定位,系列技术,和切片选择,这些将是随机变量,没有系统性偏差。患者接受许多不同的治疗最初的攻击和变量后随访持续时间可能导致观察到的差异3组。然而,两个急性和维持治疗患者非常类似AQP4-IgG-NMOSD和MOGAD (表1),加上患者急性MOGAD有短时间间隔和随访MRI (表2和3),因此时机没有解释他们的损伤的频率分辨率高。女士用anti-CD20药物治疗患者的比例在我们的研究中相对较低,但这些药物可能增加病变女士的频率分辨率。未来的研究将更好地阐明不同的急性和维护的具体影响免疫抑制剂(例如,anti-CD20 vs口服免疫抑制剂(咪唑硫嘌呤或霉酚酸酯)和MS疾病修饰剂)在MRI病灶进化。前最初的急性慢性T2病灶MRI可能影响损伤的决议,但我们的研究设计要求的攻击可归因于该地区首次临床兴趣减少的风险包含这样的病变。年龄会影响损伤的能力解决但这没有儿童和成人之间的差异在这项研究中,尽管有大量的儿科患者需要进一步的研究。最后,进化视神经病变的MRI没有分析研究由于专用轨道序列的有限的可用性和技术问题可以限制T2在视神经损伤检测的可靠性。
这种比较研究MRI与MOGAD相关病变的时间演化,AQP4-IgG-NMOSD,女士有相关性的临床实践和我们对这些疾病的发病机制的理解。
研究资金
国家卫生研究院的国家神经疾病和中风研究所(R01NS113828)。
信息披露
e . Sechi K.N. Krecke美国墨西拿,m . Buciuc报告没有披露相关的手稿。中华民国Pittock报告拨款,个人费用,和非金融支持Alexion制药、Inc . Grifols,自身免疫性脑炎联盟,并落实公司;有专利# 9891219(应用程序# 12 - 573942),”方法治疗视神经节neuromyelitis(动)管理eculizumab个体,aquaporin-4 (AQP4)免疫球蛋白自身抗体阳性”;专利,并等待免疫球蛋白自身免疫性神经疾病的生物标志物(GFAP septin-5, Kelch-like蛋白质11日,PDE10A,和MAP1B)。J.J.陈报告没有披露相关的手稿。人Weinshenker报告从RSR有限公司版税,牛津大学,济贫院民用里昂,和MVZ劳动PD福博士和同事GbR NMO-IgG的专利作为动和相关疾病的诊断测试;作为一个审判委员会的成员在动进行临床试验VielaBio Alexion制药公司;Chugai制药公司的顾问和三菱田边关于潜在临床试验动。A.S. Lopez-Chiriboga报告没有披露相关的手稿。严峻Lucchinetti收到生原体,授予国家多发性硬化症协会,金斯基金会和国家神经疾病和中风研究所进行的研究。 N.L. Zalewski, J.M. Tillema, A. Kunchok, S. Monaco, P.P. Morris, J.P. Fryer, A. Nguyen, T. Greenwood, and S.B. Syc-Mazurek report no disclosures relevant to the manuscript. B.M. Keegan reports personal funding by Biogen; publishing royalties for常见的陷阱在多发性硬化症和中枢神经系统脱髓鞘疾病;一篇社论,是董事会的成员多发性硬化和相关疾病。密纹唱片弗拉纳根报道,他曾在Alexion顾问团,基因泰克,地平线疗法。他已经收到了从药房次议长谢礼。他接到现时的版税。他是一个网站主要的调查员在随机临床试验在视neuromyelitis Inebilizumab谱系障碍由Medimmune / Viela-Bio /地平线疗法。他已经收到了美国国立卫生研究院资助(R01NS113828)。他是一名医学顾问委员会的MOG项目。他是一个杂志编辑委员会成员的神经科学和神经免疫学报告。
承认
本研究支持的Gianesini维罗纳大学研究从意大利联合信贷银行基金会的资助和梅奥诊所的多发性硬化和自身免疫性神经学中心和美国国立卫生研究院国家神经疾病和中风研究所(R01NS113828)。首页
附录的作者
脚注
去首页Neurology.org/N为充分披露。资金信息和披露认为作者相关的,如果有的话,年底提供这篇文章。
本文处理费用将由国家卫生研究院资助的。
188bet官网app网址播客:NPub.org/1g0etl
- 收到了2020年12月30日。
- 接受的最终形式2021年6月11日。
- 版权©2021年作者(年代)。发表的Wolters Kluwer健康,公司代表美国神经病学学会。首页
这是一个开放的分布式根据文章Creative Commons Attribution-NonCommercial-NoDerivatives许可证4.0 (CC BY-NC-ND),它允许下载和共享工作提供适当的引用。不能改变的工作以任何方式或使用未经许可的商业杂志。
引用
- 1。↵
- 弗拉纳根EP
- 2。↵
- 3所示。↵
- 4所示。↵
- 5。↵
- DubeyD,
- PittockSJ,
- KreckeKN,等
- 6。↵
- 7所示。↵
- 马里亚诺•R,
- 墨西拿年代,
- 库马尔K,
- kukW,
- 雷特心肌梗死,
- 宫J
- 8。↵
- 9。↵
- 10。↵
- 11。↵
- 12。↵
- Lopez-Chiriboga年代,
- SechiE,
- Buciuc米,等
- 13。↵
- 14。↵
- 15。↵
- 16。↵
- KitleyJ,
- 水域P,
- Woodhall米,等
- 17所示。↵
- 18岁。↵
- Jarius年代,
- 保罗F,
- AktasO,等
- 19所示。↵
- 20.↵
- 21。↵
- 银行SA,
- 莫里斯页,
- 陈JJ,等
- 22。↵
- 23。↵
- 马里亚诺•R,
- 墨西拿年代,
- Roca-Fernandez一个,
- 雷特心肌梗死,
- 香港Y,
- 宫晶澳
- 24。↵
- 25。↵
- Absinta米,
- 殉死P,
- MasuzzoF,等
- 26岁。↵
- 27。↵
- 28。↵
- SechiE,
- 墨西拿年代,
- 基冈BM,等
- 29。↵
- 30.↵
- 31日。↵
- 水域P,
- FaddaG,
- Woodhall米,等
- 32。↵
- Sechi EB米,
- PittockSJ,
- 陈JJ,等
- 33。↵
- FaddaG,
- BanwellB,
- 水域P,等
- 34。↵
- Buciuc米,
- SechiE,
- 弗拉纳根EP,
- Lopez-Chiriboga作为
- 35。↵
- SechiE,
- KreckeKN,
- PittockSJ,等
- 36。↵
- 37岁。↵
- 38。↵
- 39岁。↵
- 40。↵
信:快速的网络通信
-
读者反应:MRI病灶进化的比较在不同的中枢神经系统脱髓鞘疾病
- 史蒂文布伦纳,退休的神经学家,圣路易斯大学神经学部门。(退休)首页
2021年11月6日提交
你可能也会感兴趣
相关文章
-
没有找到相关文章。
提醒我
推荐的文章
- 文章
心室扩大的女士为期一年的改变在疾病的不同阶段
c·m·道尔顿k . a . Miszkiel p·w·奥康纳et al。
首页神经学,2006年3月13日 - 文章
纵向研究的T1 hypointense病变复发MSCRG干扰素β-1a的审判
J.H.西蒙,j .间歇告诉雅各布斯et al。
首页神经学,2000年7月25日 - 文章
初名RRMS灰质和白质体积变化2年的纵向研究
m·卡d . t .甜菜、奥特曼d . r . et al。
首页神经学,2005年3月21日 - 文章
随机对照试验的阿托伐他汀临床孤立综合征STAyCIS研究
e . Waubant d·佩尔蒂埃,m .质量等。
首页神经学,2012年3月28日


