教学神经影像:抗nmda受体脑炎的非典型单侧皮质带状化
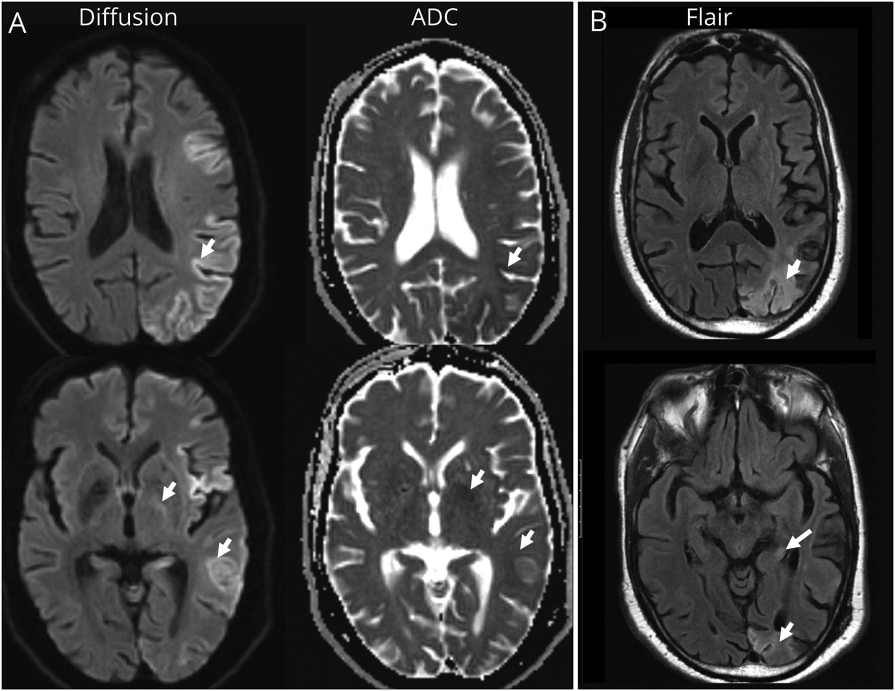
一名62岁的男性在车祸后表现出困惑、激动和压力,说话切线。脑MRI显示左半球皮层带状化,提示脑炎、癫痫或朊病毒病(图)。4天脑电图显示左半球减慢,但没有癫痫样活动。毒理学和感染性检查均为阴性。脑脊液抗nmda受体抗体阳性。肿瘤评估没有揭示什么。患者接受了5天的甲基强的松龙静脉注射和IVIG,注意力改善,能够遵从命令,并参与适当的谈话。抗nmda受体脑炎常发生于年轻女性患者1,2通常与畸胎瘤有关。虽然通常是正常的,但如果大脑MRI检查结果存在,病变更常报告在内侧颞叶。本病例表明,急性至亚急性精神状态改变伴非典型MRI发现单侧皮质带状病变可能是抗nmda受体脑炎的表现。识别这种非典型表现对于早期治疗和最大程度的功能恢复很重要。⇓
研究资金
作者报告说没有针对性的资金。
信息披露
作者报告没有披露与手稿相关的信息。去首页Neurology.org/N全面披露。
鸣谢
我们感谢David F. Schmidt先生对手稿进行了严格的编辑,以使其更加清晰。David F. Schmidt先生由于对知识内容的贡献有限而拒绝成为作者。
附录的作者
脚注
去首页Neurology.org/N全面披露。作者认为相关的资金信息和披露(如果有的话)将在文章末尾提供。
提交并经外部同行评审。处理编辑是Roy Strowd III,医学博士,医学博士,医学硕士。
教学幻灯片links.lww.com/WNL/C354。
- 收到了2022年1月13日。
- 最终接受2022年8月22日。
- ©2022美国神经病学学会首页
信件:快速在线通信
-
教学神经影像:抗n -甲基- d -天冬氨酸受体脑炎的非典型单侧皮质带状化
- 迈克尔Scheel,Neuroradiologist,Charité - Universitätsmedizin柏林
- 哈拉尔德Pruss,神经学家,Charité - Universitätsmedizin柏林
- Carsten芬克,神经学家,Charité - Universitätsmedizin柏林
2022年12月22日提交 -
教学神经影像:抗n -甲基- d -天冬氨酸受体脑炎的非典型单侧皮质带状化
- 艾德里安Budhram,神经学家,伦敦西部大学健康科学中心临床神经科学系
- ArioMirian,首页神经病学的居民,伦敦西部大学健康科学中心临床神经科学系
- 马纳斯基地沙玛,Neuroradiologist,西方大学伦敦健康科学中心医学影像系
提交日期:2022年10月11日
需求
如果你要上传关于文章的信件:
您必须在六个月内更新您的披露:http://submit.首页neurology.org
您的合著者必须发送一份完整的出版协议表格来首页(对于主要/通讯作者不需要填写以下表格即可),然后再上传您的评论。
如果你在回复一篇关于你最初撰写的文章的评论:
您(和共同作者)不需要填写表格或检查披露,因为作者表格仍然有效
并适用于信件。
提交规格:
- 文章必须少于200字,参考文献少于5篇。参考文献1必须是你所评论的文章。
- 投稿者不得超过5人。(例外:原作者回复可以包括文章的所有原作者)
- 只可提交发稿日起6个月内发表的文章。
- 不要冗余。在提交之前阅读文章上已经发布的任何评论。
- 提交的意见在发表前须经过编辑和编辑审查。


