严重的复发在fingolimod natalizumab后治疗处方
渐进多灶脑白质病的风险(PML)与长期natalizumab用于JCV-seropositive患者可能促使临床医生开关fingolimod多发性硬化(MS)患者。1,2许多患者服用natalizumab女士没有一线疗法如interferon-β或醋酸glatiramer,同样不太可能应对natalizumab后治疗。
推荐fingolimod natalizumab撤军后可能出现的逻辑,这可能导致疾病的反弹。3
方法和结果。
批准后anti-JCV抗体测试识别natalizumab-treated病人PML的危险,我们计划通过fingolimod 3 JCV-positive病人(JCV抗体测定至少执行20注入后3例)治疗natalizumab至少24个月,愿意减少风险的PML -病人1,女,25岁,疾病持续时间4年,前一年复发natalizumab数量:1,治疗前natalizumab:皮下interferon-β1,扩大残疾状态量表(eds): 2.0, natalizumab注入:24;病人2,女,32岁,疾病持续时间6年,前一年复发natalizumab数量:2,治疗前natalizumab:皮下interferon-β1,eds: 1.5, natalizumab注入:26;患者3,女,25岁,病程13年,前一年复发natalizumab数量:2,治疗前natalizumab: IM interferon-β1,eds: 2.0, natalizumab注入:32)。natalizumab下他们没有复发,没有新的损伤大脑MRI每6个月进行。
Fingolimod发起3病人(病人1和2)到4(病人3)个月后natalizumab悬挂促进免疫监视调整,4和最小化postnatalizumab复活女士或反弹的风险发生后3 - 6个月持续输注。3,5
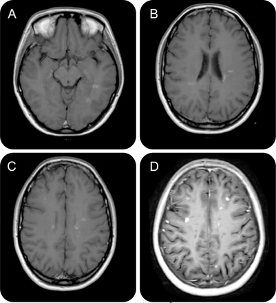
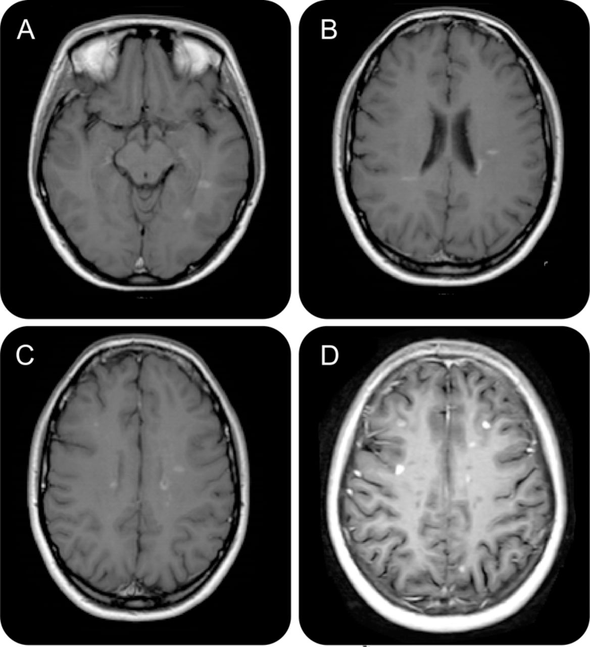
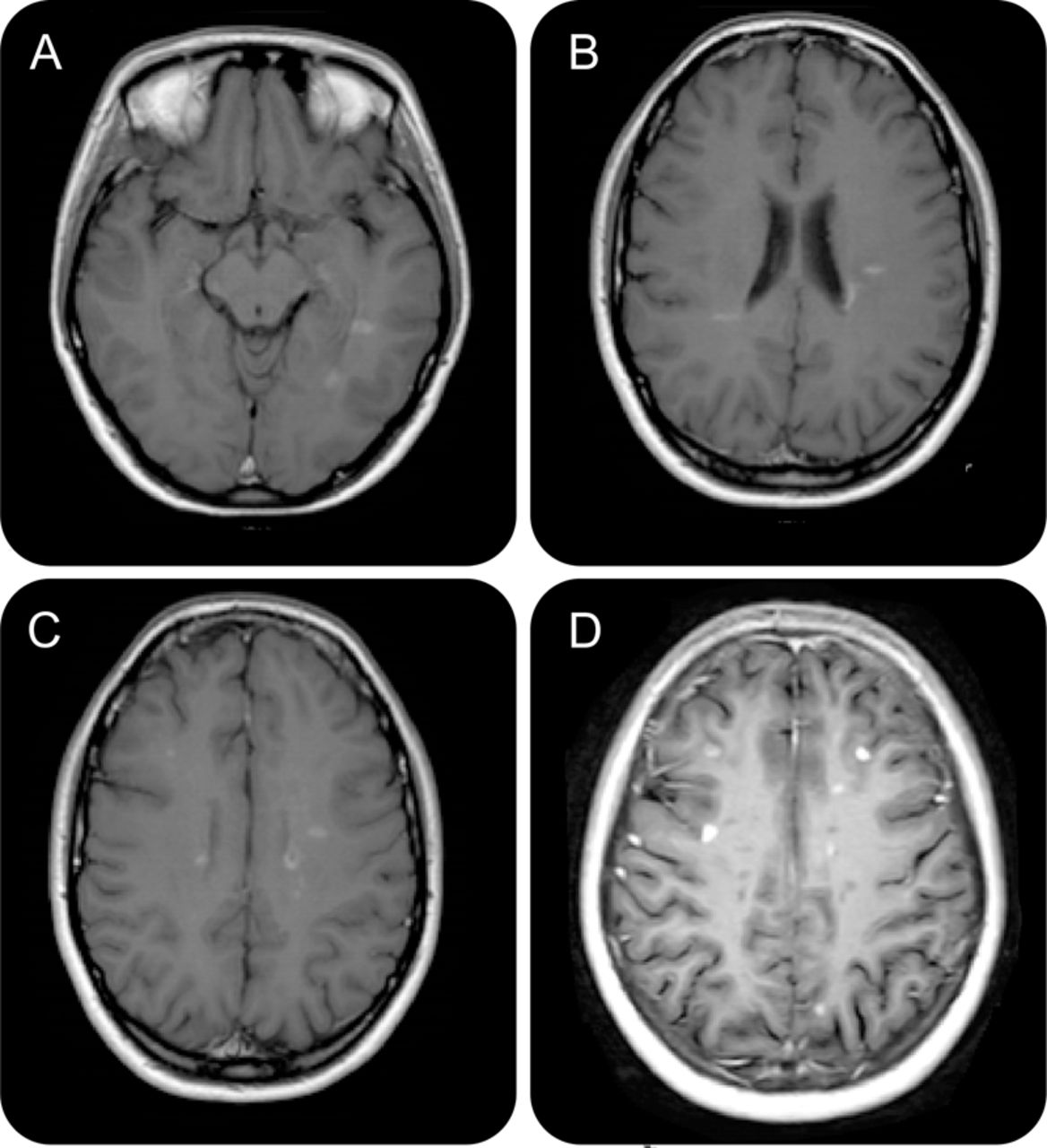
病人经历,然而,严重的女士复活16天(病人1),19天(病人2),和fingolimod启动后6天(病人3)。血细胞计数fingolimod启动显示预期的淋巴细胞减少(1 - 2周后患者1:480年淋巴细胞/毫升;病人2:520年淋巴细胞/毫升;患者3:550淋巴细胞/毫升)。患者1经验眼球震颤、步态共济失调和正确的肢体感觉障碍。患者2和3呈现严重的轻偏瘫,病人3 hemi-hypesthesia和构音障碍有关。eds增加1周患者1中从2.0到4.0,在病人2从1.5到5.5,从2.0到5.0病人3。大脑核磁共振扫描,执行临床复发发作后2 - 7日天,显示新T2损伤和8 Gd + 28 T1病变患者1,11个新的T2病灶和至少6 Gd + T1病变病人2 (图),重新激活和尺寸增加的内囊损伤的病人3。
他们对待1 g四甲基强的松龙连续5天。在这种治疗,患者1和3有临床恶化和住院接受进一步5和3天的甲基强的松龙。CSF JCV DNA的存在是在患者被排除在外。患者1,需要进一步5天的血浆置换。三个月后复发发作,eds病人1中是3.0,3.5病人2和2.5病人3。
讨论。
Natalizumab停止与女士复活/反弹3到6个月后悬挂,对应于失去药效的影响。3,5切换到glatiramer醋酸或interferon-β并不提供完整的疾病控制,5,6和我们的临床病例表明,即使fingolimod均匀有效控制反弹,如果在3 - 4个月后开始natalizumab中止。我们3例可能代表的例子从natalizumab切换的时间,但是没有提供答案在切换时应该完成。之前我们的经验可能意味着fingolimod natalizumab后开关可能是值得推荐的,但PML的风险可能高于无natalizumab惨败。
可以推测的是fingolimod干扰残余疾病控制机制natalizumab停用后仍持续几个月。在这方面,最初的证据,疾病复活不太频繁的患者显示药物3 - 6个月后悬挂某种程度的natalizumab-induced外围淋巴球增多,6由fingolimod而不是突然形成鲜明对比。Fingolimod,另一方面,会导致本身严重的复发可能,因为它改变了女士T调节细胞的免疫抑制特性,7natalizumab悬浮后的活动可能是重要的预防或缓解女士反弹。
需要更多的经验来确定适当的病人从natalizumab转向fingolimod的时机。目前,临床医生应该警惕发生严重复发的可能性当过渡的病人从一个药物。
脚注
研究经费:支持的基金会Italiana Sclerosi Multipla (Progetto Speciale FISM)。
编辑、页面1942年
作者的贡献:收购数据:罗西博士,里纳尔蒂博士。起草的手稿:Centonze博士。关键的修订手稿的重要知识内容:罗西博士,盖洛博士。获得资助:Centonze博士。
披露:d Centonze Merck-Serono顾问委员会成员,Teva,拜耳先灵葆雅,并得到了资助旅行,从默克公司Serono谢礼说话或咨询费用,Teva,诺华公司,拜耳先灵葆雅,赛诺菲-安万特(sanofi - aventis)和生原体Idec。他也是欧洲医学机构的外部专家顾问(EMA),为诺华制药和临床试验的主要研究者,默克公司Serono, Teva,拜耳先灵葆雅,赛诺菲-安万特、Idec,和罗氏。罗西收到拜耳先灵葆雅写作谢礼,谢礼在诺华,从诺华和资金,Teva,默克公司Serono。她是诺华公司作为sub-investigator参与临床试验,默克公司Serono, Teva,拜耳先灵葆雅,赛诺菲-安万特(sanofi - aventis)和生原体Idec。f·里纳尔蒂已经收到资金从默克公司Serono旅行和演讲酬金,Idec,赛诺菲-安万特(sanofi - aventis)和拜耳先灵葆雅。p·盖洛一直是诺华公司的董事会成员,Idec,默克公司Serono,赛诺菲-安万特(sanofi - aventis)和拜耳先灵葆雅;一直是一个顾问Idec,赛诺菲-安万特(sanofi - aventis)和Bayer-Schering;给专家证词Idec,赛诺菲-安万特(sanofi - aventis)和默克公司Serono;已经收到了来自诺华谢礼,Idec,赛诺菲-安万特,默克公司Serono,拜耳先灵葆雅;和有旅行/住宿费用或补偿帕多瓦大学的,诺华赛诺菲-安万特(sanofi - aventis) Idec,默克公司Serono,拜耳先灵葆雅。去首页Neurology.org为充分披露。
- 收到了2012年2月28日。
- 接受2012年6月18日。
- 版权©2012年长企业公司,。
引用
信:快速的网络通信
你可能也会感兴趣
相关文章
提醒我
推荐的文章
- 文章
在多发性硬化的一线治疗的选择使用风险决策分析大卫•Bargiela马修·t·比安奇布兰登·m·威斯多佛et al。
首页神经学,2017年1月13日 - 文章
natalizumab撤军后复发的风险结果从法国TYSEDMUS队列
卡洛琳Papeix,桑德拉Vukusic,罗曼·凯西等。
首页神经学:神经免疫学和神经炎症,2016年的10月28日 - 文章
Fingolimod natalizumab后短期复发的风险李Vilija g . Jokubaitis薇薇安托马斯Kalincik et al。
首页神经学,07年3月,2014 - 文章
从natalizumab转向fingolimod在名RRMS一项随机、安慰剂对照研究
路德维希·卡波斯Ernst-Wilhelm Radue,吉安卡洛Comi et al。
首页神经学,2015年5月29日


