2020年11月3日,
;95 (18)
居民和其他部分
教学实验:Nonketotic高血糖的hyperosmolar国家模仿急性缺血性中风
玛尔塔:巴拉,Anibal Chertcoff,米格尔Saucedo,法比奥·冈萨雷斯,路易斯·a·Miquelini,巴勃罗Bonardo,里卡多Reisin
第一次出版2020年8月14日,
DOI: https://doi.org/10.1212/WNL.0000000000010649
玛尔塔:巴拉
从神经学部门(M.I.B.首页,交流,硕士,F.G.,回堵,R。R。) and Neuroradiology (L.A.M.), Hospital Británico de Buenos Aires, Argentina.
医学博士
Anibal Chertcoff
从神经学部门(M.I.B.首页,交流,硕士,F.G.,回堵,R。R。) and Neuroradiology (L.A.M.), Hospital Británico de Buenos Aires, Argentina.
医学博士
米格尔Saucedo
从神经学部门(M.I.B.首页,交流,硕士,F.G.,回堵,R。R。) and Neuroradiology (L.A.M.), Hospital Británico de Buenos Aires, Argentina.
医学博士
法比奥·冈萨雷斯
从神经学部门(M.I.B.首页,交流,硕士,F.G.,回堵,R。R。) and Neuroradiology (L.A.M.), Hospital Británico de Buenos Aires, Argentina.
医学博士
路易斯·a·Miquelini
从神经学部门(M.I.B.首页,交流,硕士,F.G.,回堵,R。R。) and Neuroradiology (L.A.M.), Hospital Británico de Buenos Aires, Argentina.
医学博士
巴勃罗Bonardo
从神经学部门(M.I.B.首页,交流,硕士,F.G.,回堵,R。R。) and Neuroradiology (L.A.M.), Hospital Británico de Buenos Aires, Argentina.
医学博士
里卡多Reisin
从神经学部门(M.I.B.首页,交流,硕士,F.G.,回堵,R。R。) and Neuroradiology (L.A.M.), Hospital Británico de Buenos Aires, Argentina.
医学博士
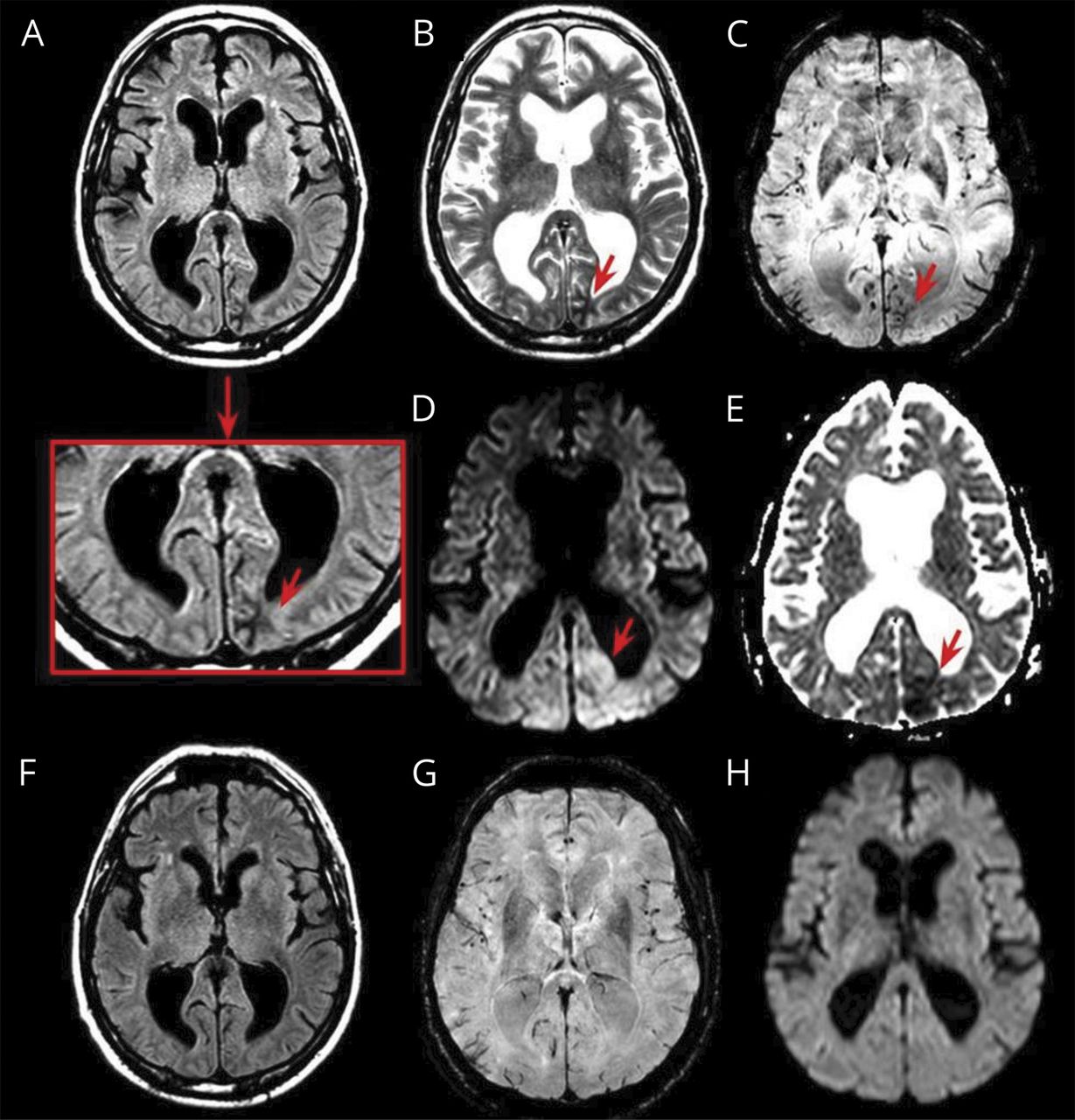
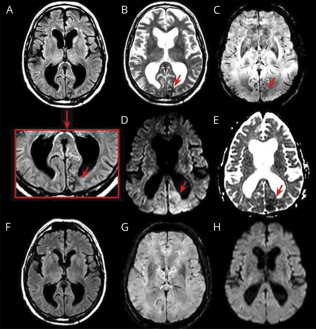
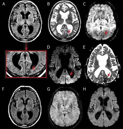
现年55岁的男子与糖尿病2型提出了持续72小时进化的同向偏盲。在承认,实验室检查发现血糖497 mg / dL, hyperosmolality无酮症;脑电图没有显示癫痫放电。脑电图做在接下来的日子里没有任何异常。脑部核磁共振成像显示左侧枕叶皮层下病变(图)。病人的症状和MRI异常降糖治疗后解决。
图
枕MRI改变nonketotic高血糖的hyperosmolar状态
入院时,脑部MRI显示左皮层下枕hypointense fluid-attenuated反转恢复损伤,T2,susceptibility-weighted成像地图,表观扩散系数(A - c和E)和hyperintense diffusion-weighted成像(D)。一个控制脑部MRI表现在3个月是正常的(F-H)。
Nonketotic高血糖的hyperosmolar状态是一个条件与神经赤字可以模拟急性缺血性中风。MRI发现在这种情况下的潜在机制还没有完全阐明,但它已经假定增加等离子体同渗重摩的后续发展超高粘度可能导致缺血的侮辱导致大脑中自由基的释放。1,2
研究资金
没有针对性的资金报告。
信息披露
作者报告没有披露相关的手稿。去首页Neurology.org/N为充分披露。
附录的作者
脚注
去首页Neurology.org/N为充分披露。资金信息和披露认为作者相关的,如果有的话,年底提供这篇文章。
- ©2020美国神经病学学会的首页
信:快速的网络通信
你可能也会感兴趣
广告
相关文章
主题讨论
提醒我
推荐的文章
- 简短的沟通
高血糖的偏盲:non-ketotic高血糖可逆的并发症帕特里克J.M.拉文等。
首页神经学,2005年8月22日 - 居民和其他部分
临床推理:急性发作与高血糖同向偏盲眼见为实
罗伊·e·Strowd阿什利Wabnitz Nikhil Balakrishnan et al。
首页神经学,2014年4月14日 - 临床和伦理挑战
同向偏盲在nonketotic高血糖发作的现象亚伦斯台曼巴塞尔因车祸w . Abou-Khalil帕特里克·拉文等。
首页神经学:临床实践,2013年8月28日 - 文章
Diffusion-weighted MRI hyperintensity模式库贾氏症有别于其他快速的痴呆症p .维塔利大肠Maccagnano,大肠Caverzasi et al。
首页神经学,2011年4月6日


