视neuromyelitis谱系障碍的MRI特征
一个国际更新
做出评论
看到评论
文摘
最初的报道在19世纪以来,视neuromyelitis(动)被认为只涉及视觉神经和脊髓。然而,非常具体的发现anti-aquaporin-4抗体诊断生物标记动启用识别更多的不同临床表现的症状。脑MRI异常的病人血清反应阳性的anti-aquaporin-4抗体是常见的和一些可能相对独特的定位和配置。一些血清反应阳性的患者存在大脑参与在他们第一次袭击和/或继续在同一位置没有复发视神经和脊髓受累。因此,此类患者的大脑异常的特点已经成为增加的兴趣。在这方面,MRI具有越来越重要的作用在动及其谱系障碍的鉴别诊断(NMOSD),尤其是来自多发性硬化症。区分这些条件至关重要因为早期启动有效的免疫抑制治疗的关键是防止NMOSD attack-related残疾,而一些疾病修饰多发性硬化症药物可能加重疾病。因此,识别NMOSD MRI特征暗示的诊断和预后的影响。我们在此回顾大脑、视觉神经和脊髓MRI发现NMOSD。
术语表
- AQP4 =
- aquaporin-4;
- 免疫球蛋白 =
- 免疫球蛋白G;
- LETM =
- 纵向广泛的横向脊髓炎;
- MOG =
- myelin-oligodendrocyte糖蛋白;
- 女士 =
- 多发性硬化症;
- 动 =
- 视neuromyelitis;
- NMOSD =
- 视neuromyelitis谱系障碍;
- 在 =
- 视神经炎
视Neuromyelitis(动)是一种严重的中枢神经系统炎症性疾病的特点是攻击的视神经炎(上)和纵向广泛的横向脊髓炎(LETM)。1过去的十年目睹了巨大进步对我们理解动。这样的进步是由针对疾病的自身抗体的发现,NMO-immunoglobulin G (NMO-IgG),和随后的自身抗原识别的主要目标,aquaporin-4 (AQP4),拥有杰出的动作为一种独特的疾病多发性硬化症(MS)。2
目前的诊断标准,然而,仍然需要在和脊髓炎动诊断。3然而,anti-AQP4抗体的识别在当前诊断标准动表明更广泛的临床表型的障碍,所谓“动谱系障碍”(NMOSD)。4,5NMOSD包括anti-AQP4抗体血清反应阳性的患者有限或就职形式的动和特定的大脑异常。它还包括anti-AQP4抗体血清反应阳性的患者与其他自身免疫性疾病如系统性红斑狼疮、干燥综合征。4在这方面,MRI具有越来越重要的作用在区分NMOSD其他炎症性疾病的中枢神经系统,特别是女士。6,7区分这些条件是至关重要的,因为治疗方法是不同的。此外,最近的先进的核磁共振成像技术检测附加特定的标记,帮助阐明NMOSD组织损伤的潜在机制。
我们在此总结NMOSD的MRI结果和讨论他们的诊断和预后的影响。
在NMOSD大脑核磁共振的发现
自从早期研究使用大脑核磁共振正常时差,8,9无法解释的临床沉默和特异性的白质异常被发现在一些病人。AQP4-IgG化验的出现,很明显,一个高比例的NMOSD患者存在脑MRI异常,经常位于高AQP4表达相关的区域。10,11然而,大脑异常也发生在地方AQP4表达不是特别高。12虽然特异性的小点和补丁在皮层下白质和深度hyperintensity t2加权或fluid-attenuated反转恢复序列在NMOSD最常见的发现,某些病变NMOSD位置或外貌特征。6,7,11,- - - - - -,15
anti-AQP4抗体的发现之前,脑MRI异常报告只有13%到46%的患者动。1,8,16然而,当排除大脑MRI标准,脑部MRI异常的发生率增加50%到85%使用修改后的2006年动诊断标准3,11,13,17,e1-e3和在NMOSD患者血清反应阳性的51%到89%。5,12,18,19e4, e5此外,脑部MRI异常出现在43%到70%的已报告NMOSD患者。5,7,11解释差异的频率之间的研究可能是脑部MRI异常与疾病持续时间变得更加频繁。88年出版的系列血清反应阳性的儿童,大脑异常观察与可用的磁共振成像研究中,68%的儿童,主要是位于第三室周的地区(间脑的)和第四脑室(脑干)幕上的infratentorial白质,中脑和小脑。20.这是符合观测,45%到55%的儿童NMOSD展示情景性脑症状,包括ophthalmoparesis、棘手的呕吐和打嗝,改变意识,严重的行为变化,嗜睡症,共济失调,癫痫发作。20.
分类NMOSD大脑核磁共振的结果。
Periependymal病变周围室系统。
间脑的第三脑室和脑导水管周围病变。
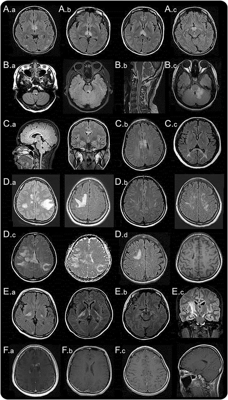
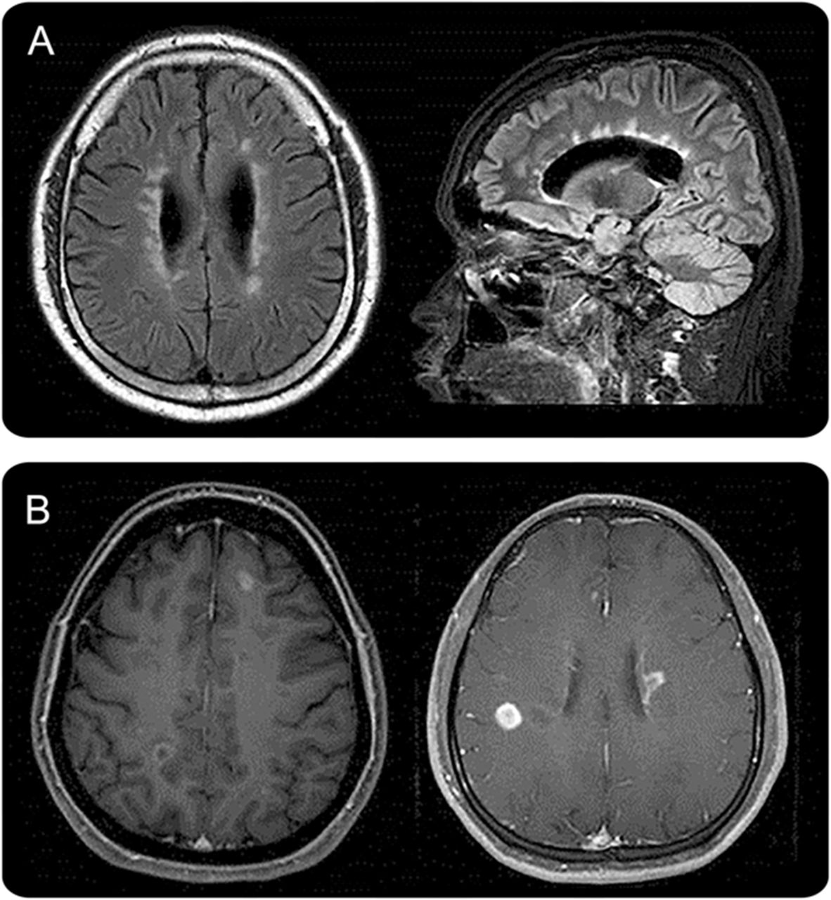
间脑的第三脑室和脑导水管周围的病变,包括丘脑、下丘脑、中脑的前边缘在NMOSD已报告(图1一个)。10,12这些病变通常无症状,但有些病人可能有抗利尿激素分泌不当综合征,e6嗜睡症,e7体温降低,低血压,嗜睡,肥胖,e8甲状腺功能减退、高泌乳素血症、继发性闭经、乳溢和行为变化。e9
间脑的病变周围(一)第三脑室和脑导水管,(A.b),包括丘脑、下丘脑、中脑的前边缘(交流)。(本科)背脑干损伤邻近第四脑室,(反方向)线性髓病变与颈脊髓损伤,相邻(公元前)水肿和大量的背侧脑干病变涉及小脑脚。(一个)立即胼胝体病变侧脑室,室管膜衬后,(C.b)“大理石模式”胼胝体的病变,(运费到付)“拱桥模式”胼胝体的病变。块状半球白质病变,簇状(地方检察官)(D.b)长spindle-like或放射状病变白质束后,(特区)广泛和汇合的半球病变显示表观扩散系数地图上增加扩散系数表明vasogenic水肿,(d)在慢性阶段半球病变显示cystic-like腔的变化。(E.a)皮质脊髓束损伤涉及的内囊后肢和中脑(后代e.b.)大脑脚(欧共体)纵向锥体束后广泛的病变。(范围内)的云雾状增强(F.b)侧脑室的室管膜表面的线性增强,(F.c)脑膜增强。
背侧脑干病变毗邻第四脑室。
最具体的脑部MRI异常患者NMOSD是背脑干病变毗邻第四脑室包括postrema面积和细胞核大港solitarius。这种病变是高度与顽固性呃逆,恶心、呕吐,10,12,21和在7%到46%的已报告NMOSD患者。12,15e1, e10汽油这个区域,催吐的反射中枢,没有那么严格的血脑屏障,使它更容易AQP4-IgG攻击。核磁共振以及临床证据支持这一概念,区域postrema NMOSD患者是一个重要的点的攻击,进一步表明,这一地区是一个门户循环免疫球蛋白进入中枢神经系统。22,23病理异常被发现在这一地区40%的患者动,但没有明显的神经元,轴突或髓鞘的损失。21髓损伤与颈脊髓损伤通常是连续的,通常采取线性形状(图1反方向)。这些病变可能与疾病的最初症状22,24或预示急性恶化。25各种脑干病变可能出现相应症状,如眼球震颤、构音障碍、吞咽困难、共济失调、眼肌麻痹。15,20.、e11 e12汽油
Periependymal侧脑室周围的病变。
在胼胝体病变中描述NMOSD患者的12%到40%。12,15,26因为动校正和女士经常有胼胝体的病变,本身并不是一个独特的位置发现NMOSD有别于然而女士,女士的胼胝体的病变是离散的,卵形的,垂直于心室和涉及胼胝体的低等方面(图2一个),e13, e14灯头NMOSD病变位于侧脑室立即旁边,后室管膜衬(图1一个)。12急性胼胝体的病变NMOSD经常水肿和异构,创建一个“大理石的模式”26有时涉及完整的厚度压部在一个独特的“拱桥模式”(图1中,C。b和运费到付)。12有时,大脑半球的胼胝体病变延伸到,形成一个广泛和汇合的白质病变。12NMOSD在慢性阶段,胼胝体的病变往往规模和强度降低,甚至消失26;然而,囊性变化,描述了胼胝体萎缩。e15某些临床症状,如认知和运动协调障碍,可能归因于胼胝体的病变,但他们还没有被很好地评估。
半球的白质病变。
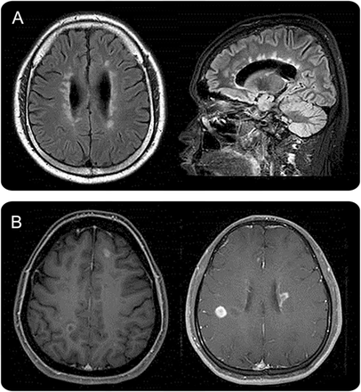
广泛和汇合的半球的白质病变是块状(> 3厘米直径最长)簇状经常或长期以来spindle-like放射状白质束(图1 d)。12质量效应通常是缺席的。e16天病灶扩散系数增加表观扩散系数地图上表明vasogenic水肿与急性炎症(图1特区),12,27偶尔模仿后部可逆性脑病综合症28或Balo病变。e17, e18发现了这些广泛病变更频繁地在anti-AQP4抗体血清反应阳性的血清反应阴性的病人。29日在慢性阶段,这些大病变倾向于缩小甚至消失,但是在某些情况下,cystic-like或空洞的变化显示(图1所示的代码)。e19, e20这些病变可能导致各种症状如轻偏瘫、脑病、视野缺陷取决于它们涉及的面积。大汇合的半球的白质病变与NMOSD孩子并不罕见。Tumefactive病灶周围水肿带和变量质量效应可能类似于急性播散性脑脊髓炎20.,30.或中枢神经系统恶性肿瘤。31日
病变包括皮质脊髓束。
病变包括皮质脊髓束可以单边或双边、并可能延长从深在大脑半球白质内囊后肢的到达大脑总花梗中脑、脑桥(图1 e)。12这些病变是连续的,通常纵向广泛,锥体束后(图1欧共体)。皮质脊髓束损伤被发现在23%到44%在一些群NMOSD患者12、e2在其他军团,偶尔被报道。11,13这是感兴趣的,与circumventricular地区,皮质脊髓束不AQP4的地区是高度表达;尚不清楚为什么这些地区也经常参与NMOSD。
在NMOSD视神经核磁共振的发现
核磁共振成像研究已经报道特异性的视神经鞘增厚,视神经hyperintensities t2加权序列和钆增强在t1序列在急性NMOSD。14,17然而,类似的结果也一直在中描述的女士,e22这些发现并不认为是NMOSD的诊断。最近的研究观察之间的微分视神经病变的MRI特征和NMOSD女士。32,33趋势更多的后参与视神经交叉等,同时两国疾病,一直在观察NMOSD (图3)。32,33因此,长段视神经的炎症,特别是当同时双边和后方延伸到视交叉,应该让我们怀疑NMOSD在适当的临床的诊断上下文。
在NMOSD脊髓MRI发现
的炎症过程在脊髓MRI特点是hyperintensity NMOSD t2加权序列和hypointensity在t1序列。这些脊髓MRI异常报告,一般来说,更频繁地出现在颈部和上胸段脊髓胸和腰区域比低23,34,e23优先参与中央灰质。34,35在脊髓,AQP4在灰质和丰富胶质细胞过程毗邻中央管室管膜细胞、脊髓白质的学位。e24
动的最明显的表现是LETM,定义为损伤时间跨度超过3或更多相邻椎段和主要涉及中央灰质在脊髓磁共振成像(图4)。4然而,并不是所有LETM LETM患者NMOSD,几项研究已经观察到显著的人口和临床特征差异anti-AQP4 LETM患者抗体正面与负面。19,36,- - - - - -,38LETM似乎不太特定的动的儿童比成年人。LETM经常被观察到在儿童急性播散性脑脊髓炎39,40也有17%的女士,e25在67%到88%的儿童单相横向脊髓炎。e26, e27因此,重要的是要记住,许多其他比NMOSD鉴别诊断时需要考虑病人与LETM礼物。
与女士比较NMOSD的成像
在临床实践中,动是女士的主要鉴别诊断,特别是疾病仅限于视神经和脊髓。区分这些条件是最重要的,因为不同的预后和治疗,像一些女士疗法会加剧动。43,- - - - - -,45因此,重要的是要改善的方法和分析来区分这些条件促进早期准确诊断。对比两种情况之间的特性可能会进一步改善我们的理解不同的致病过程。
而可以选择NMOSD患者使用特定的标记(血清anti-AQP4抗体),没有相应的生物标志物研究对比正常时差女士和女士经常用不同的选择标准,尤其是他们是否有限制动anti-AQP4抗体阳性的病人入选标准,这可能会影响结果。冲突也可能部分解释的数据使用各种化验anti-AQP4抗体,困惑的哪些不同敏感性和后续的持续时间的差异。
如前所述,最重要的成像特点动LETM,但少数患者可能集中位于短脊髓炎。46其他脊髓损伤的MRI特征,似乎NMOSD和总结女士之间的不同表。
2006年动诊断标准包括一个大脑核磁共振nondiagnostic女士(使用徽章标准)在开始对动校正的支持。然而,现在知道MS-like病变可能出现在10%到12.5%的情况下,11,e35%到42%的患者动满足Barkhof标准。6,14,15,47最近的一份报告显示,13%和9%的患者NMOSD,分别会见了Barkhof和欧洲磁成像在MS诊断标准,对大脑核磁共振在发病。7损伤概率地图没有发现显著病变位置anti-AQP4抗体阳性的病人在那些女士。6然而,特点是在大脑MRI女士发现敏感的和具体的,如存在侧脑室和劣质的颞叶病变,道森手指,或一个s形U-fiber病变患者归为皮质病变成像敏感女士透露他们没有在动(不包括一个日本动病理学的研究48),而他们被认为在大多数患者MS。49,50特征脑损伤女士环绕中央小静脉高强度MRI > 80%。50,51在动损伤,这是不那么频繁,报道在9%到35%的情况下50,52和可能表明疾病的不同的致病机制。
沉默的病变形成的频率似乎2疾病之间的不同。NMOSD患者不太可能发展临床沉默比患者MRI病灶女士然而,新的沉默MRI病灶发生在一小部分NMOSD患者。此外,大多数研究表明,nonlesional组织损伤等非传统成像计算弥散张量成像是公认的在女士,可能不发生在连接动除了大片和下游的病变。53,54总的来说,这些发现支持了临床观察动,女士相比,可能是lesion-dependent广义神经退行性疾病产生复发没有更多的病理,因此缺乏进步的阶段。
动和女士之间的差异指出可能与CNS-specific抗体介入病理学对星形胶质细胞,而不是针对髓T-cell-predominant炎症条件。支持这种可能性,星形函数的一个标志,myo肌醇是减少颈脊髓损伤的患者anti-AQP4抗体阳性,但不是在患者相比之下,女士N-acetyl-aspartate,髓鞘的一个标志——neurofilament-specific损伤,明显降低患者的女士与控制和减少无意义的患者相比anti-AQP4抗体阳性。55
重要对比NMOSD和扫描女士进行了总结表。因为长期系统的成像研究动尚未执行,报告的横断面差异与女士需要进一步确认。使用大脑开发算法标准所描述的马修斯等。6结合脊髓和视觉神经成像特性和可能非传统成像可能会进一步提高敏感性和特异性。
MRI异常的预后意义
Anti-AQP4抗体积极建立预后标记,和它的积极表示进一步的复发风险高、脊髓炎。56,57因为许多成像特性的存在表明严重的脊髓损伤,如T1 hypointensity水肿或气蚀和萎缩,NMOSD患者更可能有一个贫穷的复苏,难治性疼痛,e28和永久性残疾的风险很高。此外,NMOSD患者病变上颈椎地区扩展到脑干呼吸衰竭的风险。
高水平的胶质原纤维酸性蛋白在患者的CSF NMOSD急性发作期间与MRI脊髓病变长度和扩大残疾状态量表得分后6个月的攻击。这种相关性表明,影像学表现可能是成正比的星形胶质细胞损伤和有潜在的预后的影响。e29广泛的脑损伤的存在可能预测较高的复发和增加残疾在随访。e30纵向后续研究需要确认是否脑损伤患者预后比那些没有脑损伤。在这一点上,没有个人磁共振成像参数可以预测预后的动。
最近,抗体myelin-oligodendrocyte糖蛋白(MOG)中发现了一些NMOSD患者的临床特征,但缺乏anti-AQP4抗体。58患者表现出anti-MOG-positive和anti-AQP4-negative血清型建议少攻击,双边,尾脊髓炎,恢复患者比anti-AQP4抗体和抗体的血清反应阴性的人。59,60因此,患者呈现一个NMOSD表型与anti-MOG抗体可能有不同的潜在疾病的机制可能有更好的预后比anti-AQP4抗体,虽然这需要进一步的研究证实。
前景:MRI发现动诊断标准的上下文中
认为脑MRI异常患者频繁NMOSD驳斥了旧的学说,一个正常的大脑MRI是诊断为正常时差的先决条件。在此,我们回顾了我们知识的进步在NMOSD的光谱成像结果。然而,这些成像特性的敏感性和特异性NMOSD没有前瞻性的方式系统地调查,并没有发现可以被认为是特殊的或为NMOSD证据。因此,与其他中枢神经系统炎症性疾病,影像学表现应该及时广泛的鉴别诊断的主题超出了本文的范围。损伤概率地图的实际效用来区分动和有限的女士不清楚MS-suggestive发现一些传统标准的定义,例如“道森的手指。”e31情况进一步复杂化的最近的观察患者anti-MOG抗体,一些,但不是全部,考虑动光谱的一部分。58,59一些共性,但也不同的临床表现、流行病学,已报告和影像之间的这两个条件,表明NMOSD可能不是一个均匀nosologic实体。此外,由于NMOSD共存与其他中枢神经系统自身免疫性疾病和其他抗体抗原如anti-NMDA受体抗体可能存在anti-AQP4抗体血清反应阳性的患者,有可能对多种中枢神经系统自身免疫自身抗原可能参与NMOSD的炎性病变的形成。e32, e33新兴的NMOSD异质性是由广泛的神经影像学研究结果反映在本文中总结。改善成像领域,促进更具体的诊断,预后、治疗效果或其他病人护理的好处包括高分辨率的成像方法,三维成像位点专一的病变,和潜在的计算引导图像定量分析比较。国际协作的努力正在进行中,将允许权责发生制的足够大,小心动/ NMOSD特征患者更好地了解大脑参与的频率,更彻底地欣赏MRI异常临床诊断和预后的影响。
作者的贡献
H.J.金博士的构思和设计工作,分析了文学,写了手稿,批判性的回顾和修订后的手稿,批准最后的手稿。f博士保罗构思,分析了文学,写了手稿,批判性的回顾和修订后的手稿,批准最后的手稿。博士硕士Lana-Peixoto分析了文学,写了手稿,批判性的回顾和修订后的手稿,批准最后的手稿。n . Asgari博士分析了文学,写了手稿,批判性的回顾和修订后的手稿,批准最后的手稿。美国Tenembaum博士分析了文学,写了手稿,批判性的回顾和修订后的手稿,批准最后的手稿。j .宫博士分析了文学,写了手稿,批判性的回顾和修订后的手稿,批准最后的手稿。提到过Klawiter博士分析了文学,写了手稿,批判性的回顾和修订后的手稿,批准最后的手稿。佐藤位博士分析了文学,写了手稿,批判性的回顾和修订后的手稿,批准最后的手稿。博士j . de Seze批判性的回顾和修订后的手稿,并批准最后的手稿。博士j . Wuerfel批判性回顾和修订后的手稿,并批准最后的手稿。 Dr. B.L. Banwell critically reviewed and revised the manuscript, and approved the final manuscript. Dr. P. Villoslada critically reviewed and revised the manuscript, and approved the final manuscript. Dr. A. Saiz critically reviewed and revised the manuscript, and approved the final manuscript. Dr. K. Fujihara critically reviewed and revised the manuscript, and approved the final manuscript. Dr. S.-H. Kim analyzed the literature, wrote the manuscript, critically reviewed and revised the manuscript, and approved the final manuscript.
研究资金
没有针对性的资金报告。
信息披露
h .金正日会谈,商议,收到酬金和/或从拜耳先灵葆雅制药研究支持,Idec, Genzyme, Kael-GemVax,默克公司Serono,诺华,Teva-Handok,联合银行。他是一个指导委员会落实。f·保罗已经收到了德国研究理事会资助德国教育部和研究多发性硬化症(能力网络“KKNMS”),和Guthy-Jackson慈善基金会。他已经收到了旅行补偿,议长谢礼,从生原体研究支持,拜耳,Teva,默克公司诺华公司和赛诺菲安万特,曾担任指导委员会的成员由诺华OCTIMS研究。m . Lana-Peixoto报告没有披露相关的手稿。美国Tenembaum Genzyme公司提供咨询服务和生原体Idec和接收从默克公司Serono演讲费。n Asgari报告没有披露相关的手稿。j .宫部分是由高度专业化的服务来运行一个国家先天性肌无力和neuromyelitis服务。她已经收到了支持科学会议和咨询工作的报酬从默克公司Serono Idec,诺华,Teva, Chugai制药公司,拜耳先灵葆雅,从默克公司Serono和无限制的资助,诺华、Idec,和拜耳先灵葆雅。她医院信托收到基金作为临床领导RSS,她收到了来自社会和Guthy-Jackson女士基金会资助的研究无关。 E. Klawiter has received research funding from Roche. He has received consulting fees and/or speaking honoraria from Biogen Idec, Bayer Healthcare, Genzyme Corporation, and Teva Neuroscience. D. Sato receives scholarship funds from the Ministry of Education, Culture, Sports, Science and Technology (MEXT) of Japan and has received research support from Ichiro Kanehara Foundation. J. de Seze has received honoraria from Bayer Schering, Biogen Idec, LFB, Merck Serono, Novartis, Sanofi-Aventis, and Teva. He serves as a consultant for Alexion and Chugai. J. Wuerfel serves on advisory boards for Novartis and Biogen Idec. He received a research grant from Novartis, and speaker honoraria from Bayer, Novartis, and Biogen Idec. He is supported by the German Ministry of Science (BMBF/KKNMS). B. Banwell serves as a senior editor for多发性硬化和相关疾病的编辑委员会首页®。她作为顾问Idec,诺华,Teva神经科学,默克公司Serono。她一直由加拿大研究基金会女士,女士加拿大社会,CIHR。p . Villoslada罗氏作为董事会成员,诺华,Neurotec制药,Bionure Farma,诺华公司的顾问,罗氏,TFS,海德堡工程,落实Digna生物技术,Neurotec制药公司。他已经收到了研究欧洲委员会的支持,祝您健康研究所卡洛斯三世,Marato TV3、诺华,罗氏公司和诺华公司的差旅费用。他拥有与Digna生物技术专利,Bionure Farma,和股票/股票期权Bionure Farma。a . Saiz已收到赔偿咨询服务和在拜耳先灵葆雅,默克公司Serono, Idec,赛诺菲-安万特(sanofi - aventis)梯瓦制药产业,诺华。k .藤是拜耳先灵葆雅制药科学顾问委员会,Idec,三菱田边制药公司,诺华制药,Chugai制药、小野制药、日本制药、默克公司Serono, Alexion制药、落实和医疗检查;已收到资助旅行和议长从拜耳先灵葆雅制药谢礼,Idec,卫材公司,三菱田边制药公司,诺华制药,阿斯特拉制药公司,武田制药有限公司,透医疗有限公司,第一三共制药,和日本制药;作为编辑委员会的成员临床和实验神经免疫学(2009 -现在)和一个顾问委员会的成员斯里兰卡的神经学》杂志上首页;已经收到拜耳先灵葆雅制药研究支持,Idec日本,透医疗、Chemo-Sero-Therapeutic研究所梯瓦制药,三菱田边制药公司,帝人制药,Chugai制药、小野制药、日本制药、和Genzyme日本;和资助二级研究员(22229008,,2010 - 2015年)从教育部科学研究补助金,日本科技和二级研究员的科研补助金来自卫生部、福利和劳动的日本(2010年至今)。美国金报告没有披露相关的手稿。去首页Neurology.org为充分披露。
承认
作者感谢Guthy-Jackson慈善基金会组织动国际临床财团的支持& Biorepository。作者感谢Drs。布莱恩Weinshenker和杰克西蒙博士的评论和瓦莱丽Pasquetto对她的帮助。
脚注
Guthy-Jackson慈善基金会动国际临床财团& Biorepository coinvestigators上市首页®网站首页Neurology.org。
去首页Neurology.org为充分披露。资金信息和披露认为作者相关的,如果有的话,年底提供这篇文章。
补充数据首页Neurology.org
- 收到了2014年6月29日。
- 接受的最终形式2014年11月18日。
- ©2015美国神经病学学会的首页
引用
- 1。↵
- 2。↵
- 3所示。↵
- 4所示。↵
- 5。↵
- 6。↵
- 7所示。↵
- 8。↵
- 9。↵
- 10。↵
- 11。↵
- 12。↵
- 13。↵
- 14。↵
- 15。↵
- 16。↵
- 17所示。↵
- 18岁。↵
- 19所示。↵
- 20.↵
- 21。↵
- 22。↵
- 23。↵
- 24。↵
- 25。↵
- 26岁。↵
- 27。↵
- 28。↵
- 29。↵
- 30.↵
- 31日。↵
- 32。↵
- 33。↵
- 34。↵
- 35。↵
- 36。↵
- 37岁。↵
- 38。↵
- 39岁。↵
- 40。↵
- 41岁。↵
- 42。↵
- 43。↵
- 44岁。↵
- 45岁。↵
- 46岁。↵
- 47岁。↵
- 48。↵
- 49。↵
- 50。↵
- 51。↵
- 52岁。↵
- 53岁。↵
- 54。↵
- 55。↵
- 56。↵
- 57。↵
- 58岁。↵
- 59。↵
- 60。↵
信:快速的网络通信
你可能也会感兴趣
更多的网上
提醒我
推荐的文章
- 文章
以人群为基础的研究视neuromyelitis白种人n . Asgari明沟Lillevang,合Skejoe et al。
首页神经学,2011年5月2日 - 文章
区分MOG抗体阳性和AQP4抗体阳性动谱系障碍继同行工人达戈贝托- Callegaro -道格拉斯Kazutoshi佐藤,Marco Aurelio Lana-Peixoto et al。
首页神经学,2014年1月10日 - 文章
Neuromyelitis optica-IgG儿童中枢神经系统炎性脱髓鞘疾病b . Banwell s Tenembaum诉答:列侬et al。
首页神经学,2007年12月19日 - 观点和评论
国际共识视neuromyelitis谱系障碍的诊断标准迪恩·m·Wingerchuk Brenda Banwell,班纳特Jeffrey l . et al。
首页神经学,2015年6月19日


